Services on Demand
Journal
Article
Indicators
-
Cited by SciELO -
Access statistics
Related links
-
Cited by Google -
Similars in
SciELO -
Similars in Google
Share
Acta Neurológica Colombiana
Print version ISSN 0120-8748
Acta Neurol Colomb. vol.32 no.4 Bogotá Oct./Dec. 2016
https://doi.org/10.22379/24224022116
https://doi.org/10.22379/24224022116
Caso clínico
Lesión esplénica reversible con encefalopatía/encefalitis leve (MERS)
Mild encephalitis/encephalopathy with a reversible splenial lesion (MERS)
Marvid Sol Duarte Moreno (1), Edna Julieth Bobadilla Quesada (2), Pablo Vásquez Hoyos (3), Juan David Roa Giraldo (4)
(1) Residente de 4º año de Neuropediatría. Universidad Nacional de Colombia. Bogotá.
(2) Residende de 4º año de Neuropediatría. Universidad Nacional de Colombia. Bogotá.
(3) Pediatra intensivista. Docente. Departamento de Pediatría. Universidad Nacional de Colombia. Bogotá.
(4) Universidad Nacional de Colombia. Neuropediatra Intensivista. Hospital de San José. Bogotá.
Recibido: 18/06/16. Aceptado: 9/01/17.
Correspondencia: Marvid Sol Duarte Moreno, msduartem@unal.edu.co
Resumen
El síndrome de lesión esplénica reversible (RESLES) corresponde a una lesión transitoria presente en un espectro de entidades con características clínicas y radiológicas definidas con buen pronóstico. La lesión esplénica reversible con encefalopatía/encefalitis leve (MERS) hace parte de este grupo de enfermedades. Presentamos el caso de una niña con un cuadro clínico que inicia con un pródromo febril y evoluciona hacia alteración de estado de conciencia. Se realiza resonancia magnética (RMN) cerebral simple que muestra lesión en el esplenio del cuerpo calloso hipointensa en T1 e hiperintensa en T2 y FLAIR, con restricción en la difusión y mapa de ADC. La sintomatología y los hallazgos radiológicos se resolvieron a partir de las 4 semanas. El cuadro clínico y el curso imagenológico de este caso corresponde a un cuadro típico de MERS. Esta entidad tiene baja incidencia y es poco conocida en nuestro país, razones por las cuales el diagnóstico es difícil en la mayoría de los casos.
Palabras clave: encefalopatía, encefalitis, cuerpo calloso, imagen por resonancia magnética, esplenio.(DeCS).
Summary
The Reversible Splenial Lesions Syndrome (RESLES) has been described as a transient lesion in a group of diseases with special clinical and radiological features and with a good prognosis. An encephalopathy with a reversible splenium of the corpus callosum lesion (MERS) is part of these diseases. We present a case report of an 11 years old female with a febrile prodromal phase that evolved into an altered state of consciousness. Simple brain MRI findings comprise a lesion in the splenium of the corpus callosum, hypointense on T1, hyperintense on T2 and FLAIR, with restricted diffusion on ADC. The clinical symptoms and radiological findings resolved after 4 weeks. The clinical course and images of this case are typical presentation of MERS. This entity has a low incidence and not very renowned in our country, for this reason, the diagnosis is difficult in most cases.
Key words: encephalopathy, encephalitis, corpus callosum, magnetic resonance imaging, splenium (MeSH).
Introducción
El síndrome de lesión esplénica reversible (RESLES, por sus siglas en inglés), corresponde a una entidad clínico radiológica que abarca diferentes enfermedades específicas, las cuales cursan con lesiones adquiridas reversibles del esplenio del cuerpo calloso. Entre este espectro de enfermedades se encuentra la lesión esplénica reversible con encefalopatía/encefalitis leve (MERS, por sus siglas en inglés). El cuadro clásico inicia en un proceso febril seguido de encefalopatía. Su pronóstico es excelente, con resolución de los síntomas y hallazgos imagenológicos en el trascurso del primer mes de evolución de la enfermedad. La mayoría de los casos han sido reportados en Japón. Este es el primer caso reportado en edad pediátrica en Latinoamérica1,2.
El primer reporte de esta entidad aparece en la década de los noventa asociado a individuos con epilepsia3. Desde entonces múltiples casos han sido publicados en la literatura, principalmente en pacientes de edad pediátrica y de origen asiático; es así como en series orientales la incidencia de RESLES es menos del 1 % de todos los pacientes con encefalitis/encefalopatía, y menos del 6 % de todos los casos con lesiones del esplenio del cuerpo calloso1. Sin embargo, estos datos aún son controversiales, ya que otros autores reportan que tan solo un subgrupo de las entidades que están inmersas en este síndrome, como lo es el MERS, corresponde al 16 % de todas las encefalopatías agudas en Japón4. A pesar de esto, es una entidad poco conocida y posiblemente subdiagnosticada en nuestro medio.
El objetivo es describir y analizar un caso de presentación típica de esta entidad patológica en Colombia para aumentar el conocimiento y facilitar la identificación de futuros casos.
Presentación del caso
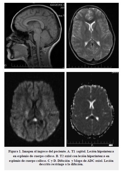
Paciente femenina de 11 años, quien consultó al servicio de urgencias por un cuadro de 3 días de evolución, inició con cefalea pulsátil frontal que empeoró progresivamente y posteriormente se acompañó de disartria, dificultad en la marcha con aumento del polígono de sustentación, fiebre cuantificada y somnolencia. No presentaba antecedentes médicos de importancia. Al examen físico de ingreso a urgencias se encontró un puntaje en la escala Glasgow de 10/15 (ocular 3, verbal 2, motor 5) con pobre seguimiento de instrucciones, escasa movilización espontánea de miembros superiores, todos los reflejos normales y sin signos meníngeos. Se consideró inicialmente como primera posibilidad diagnostica encefalitis y se iniciaron estudios, incluyendo una RMN cerebral simple y con contraste que mostró una lesión única en esplenio de cuerpo calloso hipointensa en T1 e hiperintensa en T2 y FLAIR, que restringe a la difusión en mapa de ADC, sin realce con el medio de contraste (figura 1). Se tomó estudio de líquido cefalorraquídeo (LCR) que mostró pleocitosis (184 células x mm3) linfocitaria (60 %), hiperproteinorraquia (125 mg/dL), lactato ligeramente elevado (3 mmol/L), con el resto de parámetros dentro de los rangos normales. El cultivo bacteriano y la reacción en cadena de la polimerasa (PCR) para Herpes I y II fueron negativos. Se completaron estudios con búsqueda de causas autoinmunes para lo cual se solicitaron: anticitoplasma de neutrófilo, complemento (C3 y C4), complemento CH50, anticardiolipinas IGG e IGM, anticuerpos anti ADN de doble cadena, Anti Ro y Anti Smith que estuvieron dentro de rangos normales. Se amplió estudio imagenológico con RMN de columna simple y contrastada, la cual no presentó lesiones.
Se administró tratamiento con aciclovir por 14 días e inmunoglobulina a dosis total de 2 gr/kg dividida en dos dosis. Se realizó una punción lumbar de control al tercer día con disminución de parámetros inflamatorios. En la evolución clínica se encontró resolución total de los síntomas a las 4 semanas, con RMN cerebral de control al mes y al año del inicio del cuadro dentro de límites normales (figura 2).
Discusión
El caso clínico ilustra un cuadro clínico e imagenológico característico de RESLES. Esta, agrupa una serie de entidades que en conjunto se pueden considerar un espectro de la enfermedad variando en la gravedad y el pronóstico de las lesiones. En este grupo se encuentra el MERS, un síndrome clínico radiológico considerado como una patología benigna por su excelente pronóstico en la mayoría de los casos, dado por una recuperación total en aproximadamente 1 mes. Escasos casos se han publicado donde no se ha logrado una resolución completa ya sea clínica o imagenológica4,5.
Clínicamente se caracteriza por un pródromo de fiebre, vómito, diarrea o tos, seguido por alteración de la conciencia 56 %, alteraciones del comportamiento 78 %, crisis convulsivas 33 %, ataxia, disartria y síndrome de desconexión callosa (apraxias callosales, anomia táctil, o problemas de integración de la información visual). El tiempo entre el pródromo y el cuadro de encefalopatía varía entre 1 a 7 días. A pesar de ser estas las manifestaciones usuales, existen casos reportados en que la única manifestación es hablar dormido2,6,7. En estudios de laboratorio se ha descrito la presencia de hiponatremia en el 83 % de los casos, hallazgo que no se evidenció en nuestro paciente2, 8.
Entre las etiologías de la enfermedad se encuentran infecciones virales, como, influenza, parainfluenza, parvovirus B19; infecciones bacterianas como Mycoplasma spp, Staphyloccocus aureus y Enterococcus faecalis; infecciones parasitarias como malaria; asociado a uso de anticonvulsivantes (principalmente en tratamientos que llevan largo tiempo instaurado y a los cuales se les ha hecho una suspensión brusca); causas postvacunales como en el caso de la vacuna de parotiditis o como complicación de enfermedades sistémicas como es la enfermedad de Kawasaki4,9-15.
En estudios imagenológicos de esta entidad se aprecian lesiones hipointensas en T1, hiperintensas en T2 y que restringen en difusión en mapa de ADC, las cuales involucran en todos los casos el esplenio del cuerpo calloso. Se ha subclasificado la entidad en MERS tipo1 y tipo 2 según la extensión de la lesión, en el primer caso la lesión está circunscrita al esplenio del cuerpo calloso, mientras que, en el segundo puede extenderse a lo largo de todo el cuerpo calloso y a la sustancia blanca extracallosal, principalmente frontoparietal. De estos dos patrones el primero es de mejor pronóstico1,2.
Otras características que también han demostrado tener valor pronóstico es la severidad de la alteración de conciencia, así como el registro de EEG donde la lentificación difusa es de pobre pronóstico, mientras que el EEG normal o lenificación occipital, es de mejor pronóstico1,2.
El mecanismo fisiopatológico de las lesiones en el sistema nervioso central aún no es claro, sin embargo, entre las posibles explicaciones se encuentran el edema intramielínico o las células inflamatorias y el edema intersticial. Este último se ha descrito principalmente en casos neonatales donde no se ha completado la mielinización del cuerpo calloso1,8,16.
Está en discusión si la entidad corresponde o no a una encefalitis, basados principalmente en los hallazgos de alteraciones en LCR. Múltiples reportes aislados revelan pleocitosis y proteinorraquía asociados a la enfermedad, lo que concuerda con este caso en el cual se encontró una pleocitosis significativa y proteinorraquía que mejoró con el trascurso del tiempo. Otros autores en grandes series no han evidenciado estas alteraciones, por lo cual los hallazgos del LCR son variables y no se correlacionan claramente con una etiología específica6.
El diagnóstico diferencial más importante en la edad pediátrica corresponde a la encefalomielitis aguda diseminada (ADEM), cuyas características clínicas y radiológicas, que permiten su diferenciación, están dadas por un curso clínico más severo y prolongado e imágenes con lesiones de sustancia blanca asimétricas bilaterales, sin restricción a la difusión y con realce variable con el medio de contraste6,17. Otros diagnósticos diferenciales importantes incluyen: isquemia, infecciones, lesiones traumáticas, esclerosis múltiple y síndrome de encefalopatía posterior reversible; entre otras6,17,18. En nuestro paciente se solicitó RMN axial simple y contrastada para descartar enfermedades desmielinizantes cranioespinales.
Con respecto al tratamiento, se ha reportado el uso de varios esquemas entre ellos los corticoides sistémicos, la inmunoglobulina y los antivirales, o en algunos casos, se ha dado solo manejo de soporte y no se ha visto que haya un cambio en el desenlace de la enfermedad, aunque no hay ensayos clínicos que puedan confirmar estos hallazgos. En nuestro caso se utilizó un esquema de aciclovir e inmunoglobulina con resolución del cuadro a las 4 semanas, lo cual es similar a lo reportado por la literatura mundial2,3,6.
El MERS es una entidad principalmente relatada en series japonesas, los casos descritos fuera de Japón son escasos y en la revisión de la literatura solo se encontró un caso previo reportado en México3, siendo este, el primer caso pediátrico descrito en Latinoamérica. Esto puede sugerir la existencia de un componente genético y racial que aumenta la susceptibilidad a padecer esta entidad en poblaciones específicas.
Ya que estas lesiones son transitorias y de rápida resolución, según lo descrito en la literatura, es posible que las dificultades en nuestro sistema de salud para el acceso temprano a las imágenes diagnósticas adecuadas y el poco conocimiento que se tiene en nuestro entorno de esta patología, favorezca para que esta entidad continúe siendo subdiagnosticada en nuestra población, asociado también a las dificultades que tenemos en la búsqueda etiológica de esta patología.
Conclusiones
El RESLES es una patología importante para considerar como diagnóstico diferencial de otras entidades como la encefalitis viral y ADEM, ya que tiene un pronóstico benigno y no ha demostrado cambio de su historia natural con los diferentes esquemas de tratamiento descritos. Es necesario aumentar el conocimiento de esta entidad para enfocar el estudio de la mejor forma posible17.
Conflicto de interés
Los autores manifiestan no tener conflictos de intereses en este estudio.
Referencias
1. Zhang S, Ma Y, Feng J. Clinicoradiological Spectrum of Reversible Splenial Lesion Syndrome (RESLES) in Adults: A Retrospective Study of a Rare Entity. Medicine. 2015;94(6):e512. [ Links ]
2. Kashiwagi M, Tanabe T, Shimakawa S, Nakamura M, Murata S, Shabana K, et al. Clinico-radiological spectrum of reversible splenial lesions in children. Brain Dev. 2014;36(4):330-6. [ Links ]
3. Álvarez Palazuelos LE, Padilla Martínez JJ, Chiquete Anaya E, Fonseca Castillo N, Bañuelos Acosta R, Ruiz Sandoval JL. Encefalitis/encefalopatía con lesión esplénica reversible. Rev Mex Neuroci. 2007;8(3):286-90. [ Links ]
4. Suzuki H, Kusaka T, Okada H. Clinically mild encephalitis/encephalopathy with a reversible splenial lesion caused by human parvovirus b19 infection: a case of two brothers with hereditary spherocytosis. Pediatr Neurol. 2014;51(3):470-2. [ Links ]
5. Hashimoto Y, Takanashi J, Kaiho K, Fujii K, Okubo T, Ota S, et al. A splenial lesion with transiently reduced diffusion in clinically mild encephalitis is not always reversible: A case report. Brain Dev. 2009;31(9):710-2. [ Links ]
6. Ka A, Britton P, Troedson C, Webster R, Procopis P, Ging J, et al. Mild encephalopathy with reversible splenial lesion: an important differential of encephalitis. Eur J Paediatr Neurol. 2015;19(3):377-82. [ Links ]
7. Iype M, Ahamed S, Thomas B, Kailas L. Acute encephalopathy with a lesion of the splenium of the corpus callosum--a report of two cases. Brain Dev. 2012;34(4):322-4. [ Links ]
8. Takanashi J, Tada H, Maeda M, Suzuki M, Terada H, Barkovich AJ. Encephalopathy with a reversible splenial lesion is associated with hyponatremia. Brain Dev. 2009;31(3):217-20. [ Links ]
9. Takanashi J, Tada H, Kuroki H, Barkovich AJ. Delirious behavior in influenza is associated with a reversible splenial lesion. Brain Dev. 2009;31(6):423-6. [ Links ]
10. Abenhaim Halpern L, Agyeman P, Steinlin M, El-Koussy M, Grunt S. Mild encephalopathy with splenial lesion and parainfluenza virus infection. Pediatr Neurol. 2013;48(3):252-4. [ Links ]
11. Takanashi J, Shiihara T, Hasegawa T, Takayanagi M, Hara M, Okumura A, et al. Clinically mild encephalitis with a reversible splenial lesion (MERS) after mumps vaccination. J Neurol Sci. 2015;349(1-2):226-8. [ Links ]
12. Takanashi J, Shirai K, Sugawara Y, Okamoto Y, Obonai T, Terada H. Kawasaki disease complicated by mild encephalopathy with a reversible splenial lesion (MERS). J Neurol Sci. 2012;315(1-2):167-9. [ Links ]
13. Kometani H, Kawatani M, Ohta G, Okazaki S, Ogura K, Yasutomi M, et al. Marked elevation of interleukin-6 in mild encephalopathy with a reversible splenial lesion (MERS) associated with acute focal bacterial nephritis caused by Enterococcus faecalis. Brain Dev. 2014;36(6):551-3. [ Links ]
14. Hantson P, Hernalsteen D, Cosnard G. Reversible splenial lesion syndrome in cerebral malaria. J Neuroradiol. 2010;37(4):243-6. [ Links ]
15. Hong JM, Joo IS. A case of isolated and transient splenial lesion of the corpus callosum associated with disseminated Staphylococcus aureus infection. J Neurol Sci. 2006;250(1-2):156-8. [ Links ]
16. Takanashi J, Imamura A, Hayakawa F, Terada H. Differences in the time course of splenial and white matter lesions in clinically mild encephalitis/encephalopathy with a reversible splenial lesion (MERS). J Neurol Sci. 2010;292(1-2):24-7. [ Links ]
17. Goenka AH, Mukund A, Ahuja J, Kumar A. Reversible lesion in the splenium of the corpus callosum in a child with influenza-associated encephalitis-encephalopathy (IAEE). J Clin Neurosci.Falta año;17(5):607. [ Links ]
18. Osuka S, Imai H, Ishikawa E, Matsushita A, Yamamoto T, Nozue H, et al. Mild encephalitis/encephalopathy with a reversible splenial lesion: evaluation by diffusion tensor imaging. Two case reports. Neurol Med Chir (Tokyo). 2010;50(12):1118-22. [ Links ]















