Services on Demand
Journal
Article
Indicators
-
Cited by SciELO -
Access statistics
Related links
-
Cited by Google -
Similars in
SciELO -
Similars in Google
Share
Revista de la Facultad de Medicina
Print version ISSN 0120-0011
rev.fac.med. vol.55 no.4 Bogotá Oct./Dec. 2007
INVESTIGACIÓN ORIGINAL
ACUMULACIÓN DE LA PROTEÍNA DE CHOQUE TÉRMICO, HSC70, EN CÉLULAS MA104 DESPUÉS DE LA INFECCIÓN CON ROTAVIRUS
Increase of heat shock cognate protein, HSC70, in MA104 cells following rotavirus infection
Diana Rocio Pulido Morera1,Orlando Acosta Losada2, Carlos Arturo Guerrero Fonseca3
1. Estudiante de Maestría en Genética, Facultad de Medicina, Universidad Nacional de Colombia, Bogotá.
2. PhD, MSc Biólogo, Profesor Asociado, Facultad de Medicina, Universidad Nacional de Colombia, Bogotá.
3. PhD, MSc, MD, Profesor Asociado, Facultad de Medicina, Universidad Nacional de Colombia, Bogotá.
Correspondencia: caguerrerof@unal.edu.co
Resumen
Antecedentes. La HSC70 actúa como coreceptor celular de los rotavirus durante la infección en células MA104, pero no se conocen los cambios en la expresión de esta proteína durante la infección del rotavirus.
Objetivo. Determinar si los niveles de acumulación de la proteína HSC70 en células MA104 cambian después de la infección con rotavirus.
Materiales y métodos. Se estudió la expresión de la proteína de estrés HSC70 mediante inmunofluorescencia, “Western blotting” y ELISA en células de la línea MA104 infectadas con tres cepas de rotavirus: Wa (humana), Rf (bovina), RRV (simio) durante un ciclo de replicación (0 hasta 16 h p.i.). Igualmente, se produjo un anticuerpo policlonal en conejo contra rotavirus que se utilizó para detectar los rotavirus.
Resultados La inmunofluorescencia en células infectadas con cada una de las tres cepas de rotavirus muestran una correlación directa entre el aumento de fluorescencia en el citoplasma con el aumento del antígeno viral. La fluorescencia en citoplasma es mayor 1.1. a dos veces en las células infectadas comparadas con las del control, mientras que, la fluorescencia en la membrana celular es semejante a aquella de las células no infectadas del control. La técnica de “western blotting” no permitió establecer diferencias entre los lisados de células MA104 infectadas y no infectadas, porque el aumento de la proteína no alcanza a ser detectado. Según los resultados de ELISA, la HSC70 aumenta en células MA104 después de la infección con RRV de 1.3 a dos veces después de ocho h p.i. Con Rf 1.3 y 2.5 veces después de diez h p.i. y Wa 1.7 a tres veces después de dos h p.i.
Conclusión. Los resultados sugieren que la HSC70 aumenta su expresión durante la infección con rotavirus y probablemente está implicada en los pasos del ciclo replicativo: la entrada, el empaquetamiento y la liberación de nuevas partículas virales.
Palabras clave: proteína del choque térmico HSC70, infecciones por rotavirus, técnica del anticuerpo fluorescente directa, formación de anticuerpos.
Summary
Background. HSC70 acts as a cellular coreceptor for rotavirus particles during the infection of MA104 cells, but changes in the accumulation levels of this protein through the rotavirus infection cycle are unknown.
Objetive. To determine if the accumulation levels of HSC70 in MA104 cells change during the infection by rotavirus.
Materials and methods. Immunofluorescene microscopy, Western blotting an ELISA were used in order to determine HSC70 accumulation levels in MA104 cells after infection (0 up to 16 h p.i.) by rotavirus strains Wa (human), Rf (bovine) and RRV (simian). Additionally, a rabbit polyclonal serum against purified rotavirus particles was used for detecting rotavirus antigen in an immunoperoxidase assay.
Results. The immunofluorescence staining of cells infected with each of three rotavirus strains showed a direct correlation between the increase of fluorescence in the cytoplasm and the increase of the viral antigen. The intensity of the cytoplasm fluorescence was 1.1 to 2.0 times higher in infected cells than that observed in control cells. On the other hand, the intensity of the fluorescence in the cell membrane was similar to that of the non-infected control cells. The Western blotting assay did not allow to establish measurable differences between infected and non-infected MA104 cells, because the increase of the protein are below the detection limit. According to the results of ELISA, HSC70 level increases 1 to 3 times in MA104 cells after (8 h p.i.) the infection with strain RRV, whereas infection with strain RF produced an increase which ranged from 1.3 to 2.5 times after 10 h p.i. Infection by strain Wa was correlated with un increase of HSC70 level between 1.7 and 3.0 times after 2 h p.i.
Conclusions. The results suggest that the increase of HSC70 accumulation level possibly corresponds to an increased expression of its gene during the rotavirus infection and probably it is involved in rotavirus multiplication steps additional to those of entry and exit processes.
Key words: HSC70 Heat-shock cognate protein, rotavirus infection, flourescent antiobody technique direct, antibody formation.
Introducción
Los rotavirus son virus RNA de doble cadena, pertenecientes a la familia Reoviridae, y son responsables de enfermedad diarreica en niños menores de cinco años; pueden provocar morbilidad grave y mortalidad en niños de países en desarrollo y en muchas especies de animales, incluidas las de importancia económica (1-3). Deben su nombre a su forma semejante a una rueda observada por microscopia electrónica. Las partículas virales tienen un diámetro de 75 nm y contienen once segmentos de RNA de doble cadena protegidos por una triple cápsula proteica. Las células blancas de los rotavirus son los enterocitos maduros del intestino de animales jóvenes, incluido el hombre (3).
Se ha propuesto que el receptor funcional para rotavirus corresponde a un complejo de varias macromoléculas que incluye, entre otras, las integrinas avb3 (4-6), a2b1 (7-11), axb2 (8,9) y la proteína de choque térmico HSC70 (5,12-15), presente en la superficie de células MA104; la interacción de esta última proteína con el rotavirus podría ocurrir en un paso posterior a la adsorción. La proteína HSC70 normalmente está implicada en múltiples acciones en la célula (16,17).
De otro lado, la infección de células animales por virus frecuentemente resulta en una respuesta de estrés celular caracterizada por el aumento y relocalización de las proteínas de choque térmico (18). Una gran variedad de virus como adenovirus, herpesvirus, alfavirus, paramyxovirus, rhabdovirus, citomegalovirus (CMVs) y poxvirus (18,19) inducen una respuesta de estrés que conduce a un aumento en la síntesis de mRNAs y su traducción a proteínas que en la mayoría de los casos pertenecen a la familia de las HSP60, HSP70 y HSP90. El tipo de proteína inducida y el mecanismo por el cual ello ocurre dependen del virus y de la célula infectada. Algunos virus pueden directamente aumentar la expresión de los genes de estrés sin modificar la de los demás genes; otros detienen la transcripción de la mayoría de los genes, excepto la de las proteínas de estrés (18). En otros casos, la infección bloquea el transporte de muchos mRNAs desde el núcleo al citoplasma, sin afectar el transporte del mRNA de las HSP70, acumulándose en el citoplasma a una velocidad normal. Sin embargo, en infecciones por rotavirus se disminuye severamente la síntesis de proteínas celulares sin afectar las chaperonas BIP (GRP78) y GRP94 (20), aunque no se han estudiado las demás chaperonas. Todo lo anterior sugiere, que muchos virus permiten la expresión de las proteínas de estrés en niveles normales o aumentados, probablemente porque se requieren para su replicación y ensamblaje.
Existen evidencias que sugieren que HSC70 actúa como receptor celular de los rotavirus durante la infección en células MA104 (5,12-15), también se propone un papel en la salida del rotavirus durante la fase lítica (21). Sin embargo, no se conocen los cambios en la expresión de esta proteína durante la infección del rotavirus, es decir, si la expresión de este gen aumenta después de la infección o si se mantiene estable. En el presente trabajo se presenta evidencia del incremento citoplasmático de la HSC70 en células MA104 infectadas con rotavirus, lo cual sugiere fuertemente que la expresión del correspondiente gen se encuentra igualmente aumentada en respuesta a la infección. Este conocimiento permitirá comprender mejor la interacción entre el virus y las moléculas de la célula hospedera no solo durante los pasos iniciales de la infección sino durante el conjunto del proceso de la multiplicación del virus.
Material y métodos
Rotavirus. Se utilizaron lisados celulares obtenidos a partir de la infección con las cepas liofilizadas Wa (humana), RRV (simiana) y Rf (bovina) procedentes del laboratorio del dr. Carlos Arias del Instituto de Biotecnología, UNAM, México. Para infectar las células, en todos los casos, el virus fue activado con tripsina (10 mg/ ml) durante 30 minutos a 37 °C.
Células de línea MA104. Son células epiteliales de riñón de mono verde procedentes de la Universidad Autónoma de México. Las células se cultivaron en frascos de 75 cm2 con medio MEM SIGMA (Minimal Esential Medium Eagle) y Suero Fetal Bovino al 10 por ciento en incubadora de CO2 a 37oC.
Anticuerpos. Anticuerpo policlonal IgG contra HSC70 (sc-1059 Santa Cruz biotechnology); Anticuerpo IgG conjugado FITC anticonejo (sc-2369 Santa Cruz biotechnology); IgG HRP anticonejo (SC 2004 J3002 Santacruz biotechnology).
Replicación de las cepas de rotavirus. Las células MA104 se infectaron separadamente con cada una de las tres cepas de rotavirus que se emplearon: Wa, RRV y Rf. Las células confluentes se lavaron dos veces con medio MEM para retirar el SFB. Se adicionaron cinco mililitros de un lisado celular previamente activado con tripsina y se incubó a 37°C durante una hora. Se retiró el sobrenadante con los virus no adheridos y se adicionaron entre 5 a 10 ml de medio de cultivo sin SFB, dependiendo del tamaño del frasco de cultivo y de la concentración del rotavirus en el lisado. Las células se mantuvieron a 37C hasta observarse lisis celular total, en un tiempo aproximado de 30 a 48 horas. Se recuperó el lisado y se almacenó por separado cada cepa a -20°C. El lisado celular fue congelado y descongelado dos veces con el fin de liberar el virus intracelular y el adherido en la membrana. Posteriormente el lisado se cuantificó en unidades formadoras de foco (UFF), según técnica descrita (22).
Purificación de rotavirus en CsCl
El lisado viral cosechado en MA104 fue ultracentrifugado a 101500 g por una hora y 30 minutos a 4 ºC. El pellet fue resuspendido en un ml de buffer TSM (Tris 0.01 M, pH 7.4, NaCl 0.15 M, Mgcl2 0.001M). Al volumen anterior (1 ml) se adicionó freón para disociar membranas (1:1/3 vol:vol virus: freón) y se dio vortex por cinco minutos. La solución fue centrifugada a 13000 g por 10 minutos a 4 ºC quedando en la base del tubo el freón, una fase intermedia de proteínas y en la parte superior el sobrenadante donde se ubicará el virus soluble. El sobrenadante fue recolectado en un tubo de ultracentracentrifugación y al freón se le adicionó nuevamente TSM seguido de aplicación adicional de vortex y de centrifugación en las condiciones anteriores. Este procedimiento se repitió tres veces. El sobrenadante recolectado fue ultracentrifugado a 101500 g por una hora y 30 minutos a 4 ºC para sedimentar el virus. El sedimento fue resuspendido en TSM y ultracentrifugado a 217100 g por una hora a 4 ºC en un gradiente de cloruro de cesio (CsCl). Este gradiente se preparó en el rotor TS SW 50.38 (Sorvall) así: 0.5 ml con densidad 1.4157, un ml con densidad 1.3039, 0.5 ml con densidad 1.2070 y 0.5 ml con sacarosa al 30 por ciento. La banda correspondiente a las DLPs se recupera de la región correspondiente a una densidad de 1,38 g/ml, mientras que las TLPs se ubican en la densidad de 1.32 g/ml. Las bandas que contenían las TLPs y las DLPs fueron resuspendidas separadamente en buffer TMS.
Producción de anticuerpos policlonales contra rotavirus
Para generar anticuerpos contra los rotavirus, se inoculó el conejo con partículas virales purificadas en CsCl. Se utilizó aproximadamente 1mg por dosis, en tres aplicaciones separadas 15 días. La primera inoculación con adyuvante completo de Freund y las dos últimas con adyuvante incompleto. Ocho días después de aplicada la última dosis el conejo se sangró totalmente. Se obtuvo el suero hiperinmune que se alicuotó en tubos Eppendorf con glicerol estéril (1:1) y se almacenó a -20°C, según protocolo de Harlow and Lane (23). A los dos anticuerpos se les descartó reacciones inespecíficas: que el preinmune no reconociera el antígeno inoculado y que no tuviera reacción cruzada con las proteínas celulares.
Inmunofluorescencia
La acumulación de HSC70 se determinó mediante inmunofluorescencia indirecta sobre células infectadas, utilizando como control células no infectadas. Se utilizó 1 X 10-7 UFF/ml de cada una de las tres cepas de rotavirus. Las laminillas se infectaron simultáneamente con la misma cepa y en todos los tratamientos se dejó una hora adsorbiendo el virus con la célula. Al cabo de este tiempo, las células presentes en las laminillas se cosecharon a diferentes tiempos postinfección (0,2,4,6,8,10,12 y 16 h p.i). Las células cosechadas en estos tiempos se fijaron con metanol puro o con paraformaldehido. El primero se utilizó para retirar lípidos y poder identificar la proteína HSC70 citoplasmática y el segundo fija para la célula sin permeabilizarla, permitiendo detectar solamente las proteínas de la membrana plasmática. Para tener células infectadas y células “no infectadas”, en la misma laminilla, se estandarizó infectándolas con aproximadamente 1000 unidades formadoras de focos, UFF/50 ?l (equivalente a una MOI de 0,02), de esta manera es posible comparar la fluorescencia de las diferentes células en una misma laminilla.
Después de fijadas las células, se evaluó la infección viral empleando el anticuerpo (Ac) primario que reconoce todas las proteínas estructurales de las tres cepas de rotavirus, generado como se describió anteriormente. El Ac primario se detectó empleando un Ac conjugado con peroxidasa y se reveló utilizando como sustrato aminoetilcarbazol (AEC). Las células infectadas se identificaron por estar teñidas de “rojo” en tanto que las no infectadas permanecieron traslucidas. Para la detección de HSC70, estás mismas laminillas, luego de revelarlas para peroxidasa, se lavaron tres veces con PBS y se incubaron con el anticuerpo comercial policlonal contra HSC70 (Santacruz SC-1059), en una dilución 1:100 o con el Ac producido utilizando como antígeno la proteína recombinante de HSC70, en una dilución 1:500 (24). El Ac primario se detectó con un Ac conjugado marcado con fluoresceina. La laminilla se colocó sobre un porta objetos con glicerol al 70 por ciento y para la evaluación y se utilizó un microscopio de fluorescencia (Nikon).
Western blotting
Células cultivadas en cajas de 75 cm2 se infectaron y se cosecharon en los diferentes tiempos ya mencionados, desprendiendo la monocapa con PBS-EDTA. Las células se recuperaron, se centrifugaron y se lisaron con buffer RIPA (150 mM NaCl, 1% NP-40, 0.5% DOC,0.1% SDS, 50mM Tris, pH 8) y el lisado se almacenó a –70oC en presencia del inhibidor de proteasas, PMFS, hasta su uso.
Las muestras se analizaron por electroforesis SDS–PAGE al 10 por ciento, según técnica descrita (25) Los geles se tiñeron con azul de Coomassie y se estableció la cantidad de muestra que debería utilizarse para obtener un patrón homogéneo de proteínas. Esto se hizo por medio de la monitarización cuantitativa de las cantidades de cada tratamiento mediante electroforesis SDS-PAGE y mediante la coloración de los geles con azul de Comassie. Es decir, se determinó la cantidad del lisado celular que debía adicionarse al gel, de tal manera que las cantidades de proteína total aplicadas en cada carril fueran comparables en cada uno de los tiempos de cosecha y poder así establecer las diferencias en la expresión de la HSC70 reveladas en el “Western blot”.
La membrana de transferencia PVDF se activó durante 15 segundos en metanol. El “Western blotting” se hizo en condiciones húmedas según lo recomendado (24). La intensidad de la banda obtenida para HSC70 se relacionó con aquella de la banda obtenida de las células no infectadas. La misma membrana se incubó con un anticuerpo, producido en conejo, contra vimentina en dilución 1:1000, donado por dr. Carlos Arias UNAM México. Como secundario se utilizó Ac anticonejo conjugado con fosfatasa alcalina (1:2500).
Ensayo de ELISA
Los ensayos de ELISA se realizaron recubriendo el pozo con un primer anticuerpo policlonal contra HSC70 producido en cabra (1:500 0.4 mg/ml Santa Cruz SC-1059). Después de lavar el exceso de anticuerpo se bloqueó la placa con leche descremada al tres por ciento y ovoalbumina al dos por ciento. Después de lavar la placa se aplicaron los lisados celulares obtenidos en diferentes tiempos y se incubaron toda la noche a 4oC, se lavaron cuatro veces y se adicionó el segundo anticuerpo contra HSC70 generado en este trabajo (1:1000) y se incubó por una hora a 37 °C. Se lavó cuatro veces y se incubó durante 45 minutos a 37oC con el Ac anti-conejo, conjugado con peroxidasa (1:5000) durante una hora a 37°C. Después de cuatro lavados se reveló la placa utilizando como sustrato OPD (O-Fenilenediamina dihidrocloruro) diluido en buffer estable de reacción de peroxidasa marca PIERCE. Las placas fueron leídas como absorbancia a 493 nm en un lector de ELISA. Como control se utilizaron pozos sin lisado de células MA104, y en su lugar PBS, y con lisado de células no infectadas.
Para cuantificar la cantidad de antígenos virales se realizó ELISA en sándwich empleando como anticuerpo de captura un policlonal contra rotavirus producido en cabra 1:500 (donado por Carlos Arias UNAM México), se adicionaron los lisados celulares obtenidos con cada una de las tres cepas de rotavirus y sobre éstos el anticuerpo secundario conjugado con peroxidasa 1:5000, se aplicaron los mismos tiempos de incubación, el mismo bloqueo y cantidad de lavados que para los ensayos descritos arriba.
Análisis de intensidad de fluorescencia con el programa ImageJ
Con el programa ImageJ 1.33 V Wayne Rasban National Institutes of Health USA, (http://rsb.info.nih.gov) se analizaron las microfotografias de fluorescencia de las células MA104 infectadas con rotavirus para cuantificar la intensidad de la fluorescencia. Con estos valores analizados en el programa Excel se obtuvo una tabla y se generó una gráfica que representa las intensidades de fluorescencia de cada una de las células evaluadas. Para esto se procedió de la siguiente manera:
1. A las imágenes en archivos (.TIF por ejemplo) se les marcó el borde de cada célula o de las células representativas con el seleccionador manual.
2. Se seleccionó la opción “dibujar” que está en el menú edición en la barra principal para que el área delimitada no se borrara.
3. Se eligió en el menú imagen la opción color para utilizar un color de la línea que hiciera contraste con el fondo de la fotografía.
4. Una vez seleccionada y marcada el área de la célula, con la opción “mesuare” (medir) del menú analizar se obtuvo el dato de la intensidad. Estos valores generaron una ventana llamada “measure” que se mantuvo abierta mientras se ejecutó el proceso.
5. Se repitieron los anteriores pasos para todas las áreas marcadas en cada imagen y en todas las microfotografías.
6. Con el seleccionador para cuadro de texto de la barra principal se indicó el lugar dentro del área marcada donde se quería ubicar el número que identificara a cada una de las células a comparar.
7. Los datos de la ventana “measure” generada para cada imagen se copiaron en un archivo del programa Excel y se elaboró la tabla correspondiente con las columnas: número de célula, área, valor de intensidad. A partir de estos valores se construyó una gráfica que representa la intensidad de fluorescencia correspondiente a cada célula seleccionada.
Resultados
Producción de anticuerpos policlonales contra rotavirus aislados en CsCl
Los rotavirus de las cepas Wa (humana), RRV (simio), Rf (bovina) y Ym (porcina) se cosecharon en células MA104, purificados en gradiente de cloruro de cesio (CsCl) por ultracentrifugación, se utilizaron como antígeno en un conejo. De éste se obtuvieron 42 ml de suero hiperinmune al cual se le determinó el título óptimo de trabajo así: para detectar los rotavirus en células infectadas mediante técnica de inmunocitoquímica 1:3.000, para “Western blotting” de un lisado celular 1:2.000–3.000 y para ELISA de lisados celulares 1:8.000-32.000.
Expresión de la proteína HSC70 en células MA104 infectadas con rotavirus
Para determinar si cambiaba el patrón de expresión de la proteína HSC70 luego de la infección con rotavirus, células MA104 con más o menos 80 por ciento de confluencia, crecidas sobre laminillas cubreobjetos se infectaron con las tres cepas: Wa, Rf y RRV como se describió en materiales y métodos. Luego de fijarlas se incubaron con el Ac contra rotavirus realizándose cada prueba por triplicado. Dado que el anticuerpo secundario era un conjugado con peroxidasa, al revelarlo las células infectadas mostraron coloración rojiza. La intensidad de la coloración en el cultivo para los tres virus empleados muestra diferentes grados: intensa, moderada, tenue y negativa. Entre las dos y ocho horas predomina la tinción tenue a mediana. Entre ocho y 16 horas hay una gama de intensidades; a mayor número de horas p.i. predominan las células intensamente coloreadas. Para las 12 y 16 h p.i. se encuentran sectores de las láminas con células lisadas por el virus y parcialmente desprendidas. En todos los casos, en el cultivo sobre las láminas había células con coloración típica de células infectadas y células con tinción negativa (Figura 1 I y II A,C,E,G,I,K,M).
Una vez identificadas las células infectadas con rotavirus con ambos tratamientos de fijación, las láminas se lavaron con PBS y se incubaron con el Ac contra HSC70 (Santa Cruz sc-1059) en dilución 1:100 o con el Ac generado en nuestro laboratorio (26) contra HSC70 recombinante en dilución 1:1000. Como Ac secundario se utilizó 1:400 del conjugado con fluoresceína y se evalúo en el microscopio de fluorescencia.
A partir de las seis h.p.i. en las células fijadas con metanol, y en todos los casos de las fijadas con paraformaldehído, las células infectadas mostraron una intensidad mayor de fluorescencia respecto a las no infectadas cuando se compara con la lámina control (células no infectadas), o con las células con tinción negativa en la misma lamina. Igualmente, al comparar la intensidad entre las células infectadas se encuentra, en términos generales, una correlación entre la intensidad de la coloración rojiza típica y la intensidad de la fluorescencia, sin importar la cepa viral empleada (Figura 1 I y II B,D,F,D,F,H,J,L,N). Las microfotografías expuestas fueron seleccionadas intencionalmente, pues a las dos y cuatro horas de infección, sobre las láminas el número de células infectadas era bajo y lo mostrado en las imágenes corresponde a unos pocos sectores de la laminilla, pero en ellos ya se aprecia el fenómeno descrito: correlación entre la infección con la intensidad de fluorescencia.
La aparente correlación entre las células positivas a la infección viral y la presencia de HSC70 se observó en todos los tiempos post-cosecha, tanto en células fijadas con metanol como con paraformaldehido. No obstante, la evaluación es subjetiva y no se puede estimar con precisión. El efecto descrito se observó tanto con anticuerpo contra HSC70 comercial sc-1059, como con el generado contra HSC70 recombinante, descrito en este trabajo. Sin embargo, en las láminas infectadas también se encontraron células intensamente rojas pero negativas para la fluorescencia. Este tipo de células es minoritario pero evidente a lo largo de la lámina examinada.
El patrón de fluorescencia es diferente en las láminas permeabilizadas con metanol, respecto a las fijadas con paraformaldehido al cuatro por ciento. En las láminas tratadas con metanol frío, la fluorescencia dentro de las células infectadas se distribuye heterogéneamente por zonas que corresponden, en su mayoría, con el patrón observado para el color rojo, concentrándose en determinados sectores y en ocasiones con una distribución punteada (Figura 1 I B–H). Después de diez h p.i. se aprecian bastantes células con una fluorescencia punteada, la cual ocupa una mayor área (Figura 1 II J-N). Las células de la lámina control que no fueron infectadas, presentan una fluorescencia baja pero homogénea en casi toda su superficie. Mientras que con paraformaldehido a las 2 y 4 h p.i., las células infectadas que se observan homogéneamente rojas, no lo son para la fluorescencia, presentando zonas más fluorescentes y zonas menos fluorescentes, como señalan las flechas en la figura 1 II (B y D). A partir de las seis h p.i., se ve homogénea la fluorescencia en la membrana de las células infectadas, pero a las 16 h vuelve a cambiar a un patrón diseminado (Figura 1 II N). En contraste, las células de la lámina control que no fueron infectadas, presentan una fluorescencia homogénea en casi toda su superficie.
Para disminuir la subjetividad al interpretar la intensidad de fluorescencia, a las imágenes se les aplicó el programa ImagenJ (http://rsb.info.nih.gov) corroborando que hay una correlación entre la intensidad de la coloración rojiza y la intensidad de la fluorescencia en las células infectadas, sin importar la cepa viral empleada; en el caso de las células tratadas con metanol la intensidad de fluorescencia aumenta de 1.1 a dos veces a partir de las seis horas y en el caso de las células fijadas con paraformaldehido se nota diferencias entre los valores de fluorescencia de células infectadas comparadas con las no infectadas en la misma laminilla pero no con las laminillas del control sin infectar (Figura 2 I,II y III).
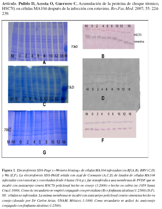
Otras técnicas empleada para analizar los cambios en la expresión de la proteína HSC70 durante la infección fueron el “Western blotting” y el ELISA. Para ambas técnicas, células MA104 confluentes cultivadas en frascos de 75 cm2 se infectaron con cada uno de los tres virus y se cosecharon en los tiempos ya mencionados. Se desprendieron con PBS-EDTA, se centrifugaron y se lisaron con buffer RIPA. Para las dos técnicas, se determinó la cantidad del lisado celular que debía adicionarse al gel, como se describe en materiales y métodos. Los resultados del “Western blotting” sugieren que la banda de HSC70 después de la adsorción (cero h p.i.) y a las dos y cuatro horas es semejante respecto a las células no infectadas (NI), pero la banda aparenta ser más delgada respecto a las observadas en las seis a 16 h p.i., con las cepas Rf y Wa (Figura 3 B y F). El resultado del “Western blotting” con los lisados de las células infectadas con la cepa RRV, muestra una aparente homogeneidad en todos los tiempos post infección, con una aparente mayor intensidad con relación al control (Figura 3 D).
Como control de la técnica se evaluó la proteína celular vimentina en la misma membrana, encontrándose que la banda correspondiente no muestra diferencias respecto a las células no infectadas (Figura 3 B,D,F).
Para la técnica de ELISA (Figura 4) se empleó un quinceavo (1/15) de la cantidad de muestra de cada lisado usada para el “Western blotting”. Estos resultados muestran diferencias en la cantidad de proteína detectada en los lisados de células no infectadas con respecto a las infectadas. RRV mostró un aumento de 1.75, 1.35 y dos veces a las ocho, diez y 12 h p.i., respectivamente. Los lisados de la cepa Rf mostraron un aumento de 1.36, 1.56 y 2.46 veces solamente a las diez, 12 y 16 h p.i., respectivamente. Mientras que Wa mostró un aumento de 1.7, 2, 2.32, 2.45, 2.12 y tres veces a las 0, cuatro, ocho, diez, 12 y 16 h p.i., respectivamente. Las demás horas, con los virus RRV y Rf, no mostraron diferencias respecto al control, excepto a las cuatro h p.i para RF que presenta una disminución respecto al control. Para corroborar que hubo replicación viral en estas células se realizaron ensayos de ELISA para medir la cantidad de antígeno viral en los lisados celulares de los diferentes tiempos de cosecha con las tres cepas, empleando anticuerpos policlonales contra rotavirus. Como se aprecia en las gráficas hubo un aumento de la cantidad de virus a medida que avanzaron los tiempos de infección.
Discusión
El anticuerpo policlonal generado contra rotavirus se utiliza en la actualidad para identificar las células infectadas (en todos los procedimientos que se llevan a cabo en el laboratorio), tanto en líneas celulares (MA104 y CaCo-2) como en enterocitos de cultivo primario.
Los tiempos de infección que se manejaron (cero a 16 h p.i.) fueron elegidos porque corresponden al tiempo que tarda un ciclo replicativo del rotavirus, existen cepas de replicación rápida (ocho a diez horas), de replicación tardía (14-16 horas) y en promedio la mayoría de cepas se replican en 12 horas (27), por lo que cualquiera de los casos está incluido en estos tiempos de cosecha.
En las láminas evaluadas se apreciaron distintos patrones de coloración rojiza sugiriendo diferentes cantidades de antígeno viral en las células; esto explica que entre cero a dos horas de infección la tinción sea tenue, probablemente porque no hay una producción de partículas virales en igual cantidad respecto a cuando se analiza a las seis a doce h p.i., en cuyo caso la tinción es fuerte y bien definida. Estas observaciones corresponden con los resultados de ELISA para antígenos virales medidos en los lisados celulares. La tinción rojiza observada en las células fijadas con paraformaldehído corresponde a proteínas virales en la membrana celular, dado que la célula no queda permeabilizada. En este caso, probablemente, a medida que se sintetizan las proteínas virales son transportadas hasta la membrana.
Los resultados de este trabajo sobre la acumulación de la proteína HSC70 sugieren fuertemente que el gen correspondiente se sobreexpresa en respuesta a la infección con los rotavirus en MA104, como ha sido reportado para células CaCo-2 infectadas con RRV (28). El aumento se inicia luego de las seis horas de infección a juzgar por lo hallado con el análisis de la intensidad de fluorescencia y ELISA de lisados de células infectadas. De las cero a cuatro h p.i. la intensidad de fluorescencia y los valores de ELISA, en general, son más semejantes a los de las células no infectadas, correspondiendo a acontecimientos tempranos del ciclo replicativo y a partir de las seis horas la replicación viral aumenta y con ello también la participación de la HSC70. Durante las dos primeras horas de infección la técnica de Western blotting no detecta, de manera evidente, un aumento de la proteína al compararla con las células no infectadas, pero el ELISA si, sobre todo en el caso del tratamiento con la cepa Wa. Estas diferencias en los resultados de las técnicas obedecen a su sensibilidad, que es mayor en la técnica del ELISA y pudo evidenciar diferencias no aparentes por el “Western blotting“. Los resultados de la inmunofluorescencia indican que hay sobreexpresión de HSC70 a nivel citoplasmático dado que la fluorescencia es intensa al permeabilizar las células con metanol; al hablar de sobreexpresión con las técnicas empleadas en este estudio, nos referimos a un aumento en la cantidad de proteína HSC70 sintetizada o del aumento de la de la vida media de la proteína generando su acumulación, pero para aclarar este aspecto no son suficientes estas aproximaciones (fluorescencia, ELISA o “western blotting”), habría que recurrir a aproximaciones más finas o sensibles por ejemplo a radiomarcaje para detectar las nuevas proteínas sintetizadas por las células.
Al fijar las células con paraformaldehido al cuatro por ciento que hace entrecruzamientos y no las permeabiliza, permite entonces detectar la proteína en la superficie de la membrana citoplasmática la intensidad de fluorescencia es semejante al control de laminilla con células no infectadas, lo cual corresponde a lo esperado, pues los acontecimientos de replicación del rotavirus son citoplasmáticos. A las 16 horas, figura 1 II y III, después de la infección la intensidad se aumenta considerablemente, casi cuatro veces, lo cual puede corresponder a permeabilización celular, por el tiempo de infección transcurrido.
En los resultados de ELISA, en los tiempos que para la proteína HSC70 presentaron valores menores que el de las células no infectadas (cuatro y seis horas con Rf y seis y diez horas con RRV) también se registraron cantidades de antígeno viral disminuidas, indicando posiblemente que el virus en estos frascos no infectó todas las células o hubo una replicación baja del virus y por lo tanto la HSC70 no aumentó según lo esperado. Se sabe que una vez el rotavirus ingresa a la célula, este abate la síntesis de proteínas celulares (20). Que la HSC70 no disminuya y al contrario se aumente durante el transcurso de la infección sugiere que el rotavirus utiliza este tipo de chaperona para su proceso infeccioso. Probablemente el rotavirus una vez penetra modifica la expresión genética hacia su propio beneficio para iniciar la replicación. Los resultados de este trabajo permiten suponer que esta proteína está participando en la maduración, transporte y ensamblaje de las proteínas virales. No sabemos a qué nivel se modifique la expresión de la proteína, probablemente el virus induce los factores HFS que activan la transcripción de HSC70 y a otras moléculas que regulen la expresión a nivel post traduccional. Sin embargo, para esclarecer estas posibilidades se debe analizar la expresión del mRNA durante la infección, (trabajo que se ha comenzado en este laboratorio).
Según los resultados del ELISA, el aumento posterior a las ocho horas con las cepas RRV y Rf, indicaría que la participación de la proteína sea sobre todo en el empaquetamiento de nuevas partículas virales.
Al evaluar la proteína del filamento intermedio, vimentina, en la membrana del “Western blotting”, no se evidencian diferencias en la banda de vimentina entre las células infectadas y no infectadas. Dado que el análisis de la vimentina se hace en la misma membrana donde se analizó la HSC70, permitió corroborar que los cambios en el tamaño de la banda observados con HSC70 no obedecen a variaciones técnicas al momento de adicionar las muestras en el gel de electroforesis.
En las láminas con células infectadas con cada uno de los tres virus, evaluadas por fluorescencia, se aprecia un número bajo, no cuantificado, de células con fluorescencia negativa para HSC70 pero tinción rojiza intensa, sugiriendo que están infectadas. Probablemente implique que algunas células, al azar, entran en apoptosis como mecanismo de defensa contra la infección de los rotavirus, como ha sido reportado para la línea celular CaCo-2 en infecciones con RRV y para virus como los reovirus (29,30). La apoptosis se caracterizó por cambios en la morfología de las células incluyendo condensación de la cromatina, fragmentación de DNA, pérdida de la membrana mitocondrial y consecuente liberación del citocromo C (29). Muchos virus pueden promover o inhibir la apoptosis para aumentar su patogenicidad. Este proceso puede representar un mecanismo antiviral para limitar la replicación viral por destrucción de la célula infectada o una forma en que los virus inducen la muerte celular mientras limitan la inflamación y otras respuestas inmunes (31).Al parecer la apoptosis inducida por RRV depende del aumento del número de partículas infecciosas por célula y del tiempo de infección porque se presenta desde las cuatro hasta 24 horas de infección. En el trabajo no mencionan el posible mecanismo por el cual se induce la apoptosis.
Se conoce la participación de la HSC70 durante la entrada del rotavirus a la célula y se han identificado las regiones de las proteínas virales con las que se presenta interacción durante la penetración a partir de estudios con péptidos sintéticos y ensayos de inhibición de la infección con diferentes cepas. Por ejemplo, entre los aminoácidos 642 a 658 (32) y 539 a 559 (32) de la proteína VP5, entre los aminoácido 280 a 297 en la proteína VP6 y se propone el posible reconocimiento con VP7 en los aminoácidos 243 a 264 (32); probablemente HSC70 sea importante no solo para la interacción durante el proceso de adsorción y penetración, sino también durante la replicación viral, actuando como chaperona previniendo el plegamiento de los péptidos virales recién formados o en su transporte a regiones del retículo endoplasmático.
De otro lado, se ha sugerido la presencia de HSC70 en rafts o microdominios lipídicos en las células MA104 y CaCo-2 aplicando técnicas de Elisa, coinmunoprecipitación y “Western blotting” de lisados celulares separados en gradientes de sacarosa por ultracentrifugación (33,14) y recientemente se han hallado fuertes argumentos de que el rotavirus usa los microdominios lipídicos para transportarse hacia la superficie de la célula después de su replicación (9,10), encontrándose que las nuevas partículas virales sintetizadas se asocian con rafts in vivo in vitro, pues las proteínas virales coinmunoprecipitaron con fracciones de rafts sobre gradientes de densidad al igual que las partículas infectivas y dsRNA. Con microscopía confocal se demostró la colocalización dentro de la célula de rafts y de las proteínas del virión. Los resultados de este laboratorio y los de la literatura permiten inferir que HSC70 está implicada como receptor en el proceso de entrada, se sobreexpresa durante el proceso de replicación y también está implicada en la salida del rotavirus de la célula.
En conclusión, los resultados de este trabajo sugieren que la proteína de estrés HSC70 que se encuentra asociada a rafts dentro de células MA104, aumenta durante el ciclo de replicación del rotavirus en citoplasma y en la membrana citoplasmática a juzgar por lo hallado con las técnicas de inmunofluorescencia y ELISA. Es probable que HSC70 además de ser molécula receptora puede participar durante, la traducción de proteínas virales, el empaquetamiento y el transporte de las nuevas partículas virales hasta la membrana citoplasmáticas para su liberación.
Agradecimientos
El soporte financiero fue otorgado por la Maestría en Bioquímica de la Facultad de Medicina de la Universidad Nacional de Colombia.
Referencias
1. Arias CF, López S, Espejo RT. Gene protein product of SA11 simian Rotavirus genoma. J. Virol. 1982; 41: 42-50. [ Links ]
2. Méndez E, López S, Cuadras MA, Romero P, Arias CF. Entry of rotaviruses is a multistep process. Virology. 1999; 263:450-459. [ Links ]
3. Desselberger U. Genome rearrangements of rotaviruses. Advances in virus research 1996; 46: 69 – 95 [ Links ]
4. Guerrero CA, Mendez E, Zarate S, Pavel I, López S, Arias A. Integrin alpha V Beta-3 mediates rotavirus cell entry. Proc. Natl. Acad. Sci. USA. 2000; 97: 14644-14649. [ Links ]
5. Guerrero CA. Tesis para optar el titulo de Doctor en Ciencias. Identificación y caracterización de receptores celulares para rotavirus Universidad Nacional Autónoma de México 2000. [ Links ]
6. Zarate S, Romero P, Espinosa R, Arias CF, López S. VP7 mediates the interaction of rotaviruses with integrin ?vâ3 through a novel integrin-binding site. J. Virol. 2004; 78: 10839-10847. [ Links ]
7. Ciarlet M, Crawford SE, Cheng E., Blut S, Rice D, Bergelson J, Estes M. VLA-2 (a2b1) integrin promotes rotavirus entry into cells but is not necessary for rotavirus attachment. J. Virol. 2002; 76:1109-1123. [ Links ]
8. Coulson BS, Londrigan SH, Lee DJ. Rotavirus contains intergrin ligand sequences and a disintegrin-like domain implicated in virus entry into cells. Proc. Natl. Acad. Sci. USA. 1997; 94:5389-5394. [ Links ]
9. Graham K, Zeng W, Takada Y, Jackson DC, Coulson BS. Effects on rotavirus cell binding and infection of monomeric and polymeric peptides containing ?2â1 and ?xâ2 integrin ligand sequences. J. Virol. 2004; 78:11786-11797. [ Links ]
10. Zárate S, Espinosa R, Romero P, Méndez E, Arias CF, López S. The VP5 domain of VP4 can mediate the attachment of rotaviruses to cells. J. Virol. 2000; 74:593-599 [ Links ]
11. Zárate S, Espinosa R, Romero P, Guerrero CA, Arias CF, López S. Integrin alpha 2 Beta 1 mediates the cell attachment of the rotavirus neuraminidase-resistant variant nar3. Virology. 2000; 278: 50-54. [ Links ]
12. Guerrero CA, Bouyssounade D, Zarate S, Pavel I, López T, Espinosa R, Romero P, et al. The Heat Shock Cognate Protein 70 Is Involved in Rotavirus Cell Entry. J. Virol. 2001;76:4096-4102. [ Links ]
13. Pérez-Vargas J, Romero P, López S, Arias CF. The Peptide-Binding and ATPase domains of recombinant hsc70 Are Required to interact with rotavirus and reduce its infectivity. J. Virol. 2006; 80: 3322-3331. [ Links ]
14. Varon Carlos. Tesis de grado Pontificia Universidad Javeriana. Análisis de la relación entre la HSC70 y la integrina B3 en la membrana citoplasmática de células MA104 2005. [ Links ]
15. Zárate S, Arias CF, López S. Interaction of rotavirus with HSC70 during cell entry is mediated by VP5. J. Virol. 2003; 77: 7254-7260 [ Links ]
16. Haus U, Trommeler FP, Hartmann H, Lottspeich F, Noegel AA, Schleicher M. The heat shock cognate protein from Dictyostelium afect actin polimerization through interaction with the actin-binding protein cap32/34. J EMBO 1993; 12:3763-3771. [ Links ]
17. Hirai I, Noriyuki Sato WQ, Seiji O, Toshihiko T, and kokichi k. Localization of pNT22 70 kDa heat shock cognate-like protein in the plasma membrane. Cell Structure and function. 1998;23:153-158. [ Links ]
18. Jindal S, Malkovsky M. Stress responses to viral infection. Trends in Microbiology. 1994; 2:89-91. [ Links ]
19. Ohgitani E, Kobayashi K, Takeshita K, Imanishi J. Biphasic translocation of 70 kDa heat shock protein in human cytomegalovirus-infected cells. J.Gen.Vir. 1999; 80: 63-68. [ Links ]
20. Arias C, Guerrero CA, Mendez E, Zarate S, Pavel I, López S. Early events of rotavirus infection: The search for the receptor(s). Gastroenteritis virus. Novartis Foundation. Inglaterra. 2000. [ Links ]
21. Cuadras MA, Greenberg HB. Rotavirus infectious particles use lipid rafts during replication for transport to the cell surface in vitro and in vivo. Virology. 2003; 313: 1: 308-21. [ Links ]
22. Guerrero CA, Zarate S, Corkidi G, López S, Arias CF. Biochemical characterization of rotavirus receptor in MA104 cells. J Virol 2000; Vol 74: 9362-9371. [ Links ]
23. Harlow E, Lane D. Antibodies A laboratory Manual. Edited by Cold Spring Harbor Laboratory 1988:298 - 299. [ Links ]
24. Ausubel FM, Brent R, Kingston RE, Moore DD, Seidman JD, Smith AJ. & Struhl K. eds Current Protocols in Molecular Biology. New York: Wiley; 1990: 10.10. [ Links ]
25. Laemmmli UK. Cleavage of stuctural proteins during the assembly of the head of bacteriophage T4. Nature 1970; 680: 227. [ Links ]
26. Cely Castro R, Diaz J, Pulido D, Acosta O, Guerrero CA. Producción de la proteína de choque térmico HSC70 recombinante en Escherichia Coli BL21(DE3) para generar anticuerpos policlonales. Revista de la Facultad de Medicina 2006; 54 : 156-168. [ Links ]
27. Estes, M K, Cohen J. Rotavirus gene structure and function. Microbiol Rev. 1989; 53:410-49. [ Links ]
28. Cuadras MA, Feigelstock DA, Sungwhan A, and Greenberg HB. Expression in CaCo-2 infectec rotavirus Gene Expression Pattern in Caco-2 Cells following Rotavirus Infection. J Virol, 2002; 76: 4467-4482. [ Links ]
29. Chaibi C, Cotte-Laffitte J, Sandre C, Esclatine A, Servin AL, Quero AM, Geniteau-Legendre M. Rotavirus induces apoptosis in fully differentiated human intestinal Caco-2 cells. Virology. 2005;332:480-90. [ Links ]
30. Fields BN. Reoviridae. Virology. Edited by Fields BN, Knipe DN, Howley P M, Chanock R M, Melnick JL, Monath TP, Roizman B. & S.E. Straus. New York Raven Press 2001; 1553-1555. [ Links ]
31. Hay S, Kannourakis G. A time to kill: viral manipulation of the cell death program. J Gen Virol. 2002; 83(Pt 7):1547-64. [ Links ]
32. Gualtero D F, Guzmán F, Acosta O, Guerrero C A. Amino acid domains 280-297 of VP6 and 531-554 of VP4 are implicated in heat shock cognate protein hsc70-mediated rotavirus infection. Arch VIROL Manuscript Number: -D-07-00145R1 (en prensa). [ Links ]
33. Isa P, Realpe M, Romero P, Lopez S, Arias CF. Rotavirus RRV associates with lipid membrane microdomains during cell entry. Virology 2004; 322:370-81. [ Links ]












