SciELO - Scientific Electronic Library Online

 
vol.56 issue2Multi-organic dysfunction syndrome caused by dengue 3 in children of Neiva Huila, ColombiaBIOSYNTHESIS OF MORPHINE: ITS IMPORTANCE IN PARKINSON´S DISEASE author indexsubject indexarticles search
Home Pagealphabetic serial listing  

Services on Demand

Journal

Article

Indicators

Related links

  • On index processCited by Google
  • Have no similar articlesSimilars in SciELO
  • On index processSimilars in Google

Share


Revista de la Facultad de Medicina

Print version ISSN 0120-0011

rev.fac.med. vol.56 no.2 Bogotá Apr./June 2008

 

PRESENTACIÓN DE CASOS

MIOCARDITIS FULMINANTE EN UNA INFECCIÓN POR VIRUS DENGUE 1 EN NEIVA, HUILA COLOMBIA

Fatal myocarditis during a viral dengue 1 infection in Neiva, Huila Colombia

Doris Martha Salgado1, Martha RocíoVega2, César Panqueva3, Jairo Antonio Rodríguez-Godoy4

1. MD. Pediatra, Universidad Sur Colombiana y Departamento de Pediatría Hospital Universitario Hernando Moncaleano Perdomo.
2. MD. Pediatra, Universidad Sur Colombiana.
3. MD. Patólogo. Universidad Sur Colombiana.
4. MD. PhD. Inmunólogo. Grupo Parasitología y Medicina Tropical, Universidad Sur Colombiana, Neiva Colombia.

Correspondencia: jrodríguez@usco.edu.co


Resumen

Se presenta el caso de un niño de cinco años previamente sano quien fallece como consecuencia de un cuadro clínico compatible con miocarditis de curso fulminante asociada a fiebre dengue hemorrágica. Se demostró la presencia de virus dengue 1 en el tejido hepático mediante RT-PCR, por lo que se convierte en el primer caso reportado de miocarditis fulminante durante el curso de la infección por virus dengue en Neiva, Colombia.

Palabras clave: miocarditis, fiebre dengue hemorrágica.


Summary

A five year old boy previously healthy dies as a consequence of a dengue hemorrhagic fever-associated fulminant myocarditis. DEN 1 was showed in the liver tissue by RT-PCR.
To our knowledge this is the first case of fulminant myocarditis during the course of dengue virus infection in Neiva, Colombia.

Key words: myocarditis, dengue hemorrhagic fever.


Introducción

El virus dengue (VD), un flavivirus con cuatro serotipos diferentes, es transmitido principalmente por el mosquito Aedes aegypti; genera una de las enfermedades emergentes y de mayor importancia en la salud pública mundial. El dengue es endémico en más de 100 países tropicales y subtropicales con dos quintos de la población susceptible a la enfermedad. La Organización Mundial de la Salud estima que anualmente se generan alrededor de 50 millones de nuevos casos de dengue en el mundo, en el 2001 se reportaron 609000 infecciones por dengue en las Américas, de los cuales 15000 (2.5%) correspondieron a fiebre dengue hemorrágica (FDH) (1).

En la última década el VD ha aparecido en zonas andinas de Bolivia y Argentina, donde el mosquito no se había encontrado previamente. Infecta principalmente células dendríticas y del sistema monocito-macrófago; sin embargo, es probable que pueda infectar otras células como las endoteliales, hepatocitos y los linfocitos B (2).

Neiva, ciudad situada en el sur de Colombia, ha tenido una alta frecuencia de FDH, como lo reportado en la epidemia del 2004 en el que hubo 105 niños afectados, el 32 por ciento presentaron complicaciones en diversos órganos y el 13 por ciento miocarditis (3). Se han descrito encefalitis, hepatitis y alteraciones de la conducción miocárdica que incluyen la bradicardia sinusal incluso en otras regiones de Colombia como en Santander (3,4).

En el presente estudio, se pretende resaltar que el miocardio puede estar afectado en el curso de la infección por dengue, por lo que se reporta un niño de cinco años de edad quien murió con diagnóstico de dengue, virus DEN1 y miocarditis demostrada histopatológicamente.

Informe del Caso

Un niño de cinco años previamente sano, fue admitido al servicio de unidad de cuidados intensivos pediátricos (UCIP) del Hospital Universitario "Hernando Moncaleano Perdomo" (HUHMP) de Neiva, Huila, Colombia por un episodio de cinco días consistente en fiebre, exantema generalizado y dolor abdominal. Al examen físico se evidenciaron ruidos cardíacos de bajo timbre, taquicardia e hipoventilación pulmonar derecha, hepatomegalia, ascitis y lesiones máculo-papulares eritematosas generalizadas. El paciente no presentaba signos de sangrado. (Tabla 1). Los exámenes de laboratorio mostraron anormalidades hematológicas con leucocitosis, trombocitopenia leve y anemia. Los test de coagulación fueron prolongados y hubo alteración de las pruebas hepáticas. Los rayos X de tórax mostraron derrame pleural leve, sin cardiomegalia.

El electrocardiograma (ECG) mostró taquicardia sinusal y complejos QRS de bajo voltaje en derivación precordial y en miembros inferiores. Se hizo un diagnóstico de FDH y se inició terapia de reanimación con cristaloides intravenosos con poca respuesta clínica. Se hizo consideración diagnóstica de choque cardiogénico y se le administró tratamiento con inotrópicos, diuréticos y soporte respiratorio. La condición clínica mejoró por corto tiempo, pero posteriormente el monitoreo electrocardiográfico mostró depresión severa del segmento ST y fibrilación ventricular que revirtió con el desfibrilador, sin embargo, a pesar de múltiples maniobras el paciente no respondió adecuadamente y falleció.

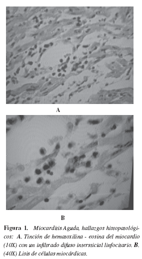
La autopsia evidenció petequias en casi todos los órganos con derrame pleural y pericárdico. Hubo un intenso infiltrado linfocitario en miocardio acompañado de lisis celular extensa (Figura 1). La infección por VD fue confirmada por IgM específica positiva (ELISA, PanBio) y mediante RT-PCR se confirmó el virus DEN1 usando los primeros diseñados por Lanciotti et al (5) (Figura 2).

Discusión

La miocarditis se define como la inflamación de las paredes musculares cardíacas. La historia natural va desde lesiones benignas asintomáticas hasta la miocarditis fulminante y la muerte, con una forma intermedia de cardiomiopatía dilatada (6).

Debido a que la presentación clínica es muy variable, la confirmación patológica a través de biopsia, sigue siendo una prueba importante de diagnóstico. Un cuadro microscópico típico de miocarditis aguda es aquella con infiltración mononuclear intersticial focal o difusa que involucran linfocitos y células plasmáticas. Las células polimorfonucleares son rara vez vistas pero se puede apreciar infiltrado eosinofílico con alguna frecuencia. En 1986, los criterios para el diagnóstico de miocarditis fueron establecidos en Dallas, USA y se clasificó basado en la presencia de infiltración y necrosis, así la miocarditis aguda es definida por presencia de infiltración linfocítica y necrosis, la miocarditis borderline tiene infiltración pero no necrosis y la ausencia de las dos descarta la miocarditis. Sin embargo, la fiabilidad de esta herramienta diagnóstica depende de la calidad de la biopsia (7).

Aunque autopsias de pacientes con infección por VD sólo describen hemorragia subendocárdica y cambios anóxicos no específicos (8) se encontró lisis severa e infiltrado linfocitario difuso compatible con miocarditis aguda. Este hallazgo es infrecuente, pues casi todos los casos de miocarditis en niños están asociados con virus Coxsackie B (9). En este niño, el cuadro clínico no sugiere una infección por enterovirus y sí desarrolló un cuadro clínico de choque dengue hemorrágico en cuyo curso presentó compromiso miocárdico.

Estudios de miocarditis en modelos murinos han dejado al descubierto mecanismos inmuno-lógicos involucrados en la fisiopatología de la misma. Tal es el caso de Huber et al., (10) quienes describieron citotoxicidad celular mediada por células T, macrófagos y células NK en el miocardio de un ratón infectado por virus Coxsackie B3. La citotoxicidad celular mediada por anticuerpos también puede participar en la destrucción tisular miocárdica. Este modelo mostró que aunque la viremia estaba presente en el día quinto, la destrucción miocárdica fue aparente de dos a tres días después de que los títulos virales declinaban. Un patrón similar de daño miocárdico se ha descrito en otras enfermedades virales, donde una fuerte respuesta inmune es vista en el día quinto del comienzo de la fiebre y coincide con la máxima expresión clínica de la enfermedad debido a daño endotelial, hepático y plaquetario (11). Esta observación se puede aplicar a este paciente quien mostró enzimas hepáticas elevadas, derrame pleural y signos de choque cardiogénico al día quinto de la enfermedad.

No es claro si el VD tiene tropismo cardíaco y si directamente invade células cardíacas, pero hay muchos reportes de signos de miocarditis en pacientes con infección por VD. Promphan, por ejemplo, describió a un niño de 13 años quien mostró bradicardia debido a disfunción del nodo sinusal (12). En una revisión retrospectiva de pacientes con manifestaciones de miocarditis tales como choque cardiogénico con cambios en el EKG o ecocardiográficos, la infección por DEN3 fue confirmada en un caso (13). Otro estudio acerca de los cambios hemodinámicos de pacientes con FDH, reportaron disminución de la fracción de eyección principalmente durante la fase aguda, pero el índice cardíaco permaneció subnormal durante la convalecencia. Este hallazgo, es explicado por el bajo volumen al final de la diástole en los pacientes que presentaban choque (14). Kabra et al., reportó miocarditis en el 17 por ciento de pacientes (9 de 54), 22 por ciento de ellos presentaron disfunción miocárdica severa (15). Estos estudios sugieren que la miocarditis no es infrecuente en la infección por VD y que usualmente tiene un curso benigno y transitorio, sin embargo hasta ahora no se ha aislado VD de tejido cardíaco.

En este paciente, el virus DEN1 fue confirmado en el tejido hepático a través de RT-PCR por la Doctora Gloria Rey del Instituto Nacional de Salud de Bogotá. Este hallazgo es importante pues es el primer reporte de la región a nivel hepático con este serotipo.

Agradecimientos

Agradecemos al personal de la Unidad de Cuidados Intensivos Pediátricos del Hospital Universitario "Hernando Moncaleano Perdomo" de Neiva, Colombia por su colaboración.

Referencias

1. World Health Organization. Understanding dengue pathogenesis: implicatins for vaccine design. Bull World Health Org. 2005; 83: 308 -14.         [ Links ]

2. Recent advances in deciphering viral and host determinants of dengue virus replication and pathogenesis. J Virol 2006; 80: 11418 – 11431.         [ Links ]

3. Salgado DM, Ibarra M, Cifuentes G, Garzón M, Rodríguez JA, Castro D. Caracterización clínica y epidemiológica de dengue hemorrágico en Neiva, Colombia, 2004.Bogotá. Rev Salud Pública. 2007; 9: 53-63.         [ Links ]

4. Méndez A, Gonzalez G. Manifestaciones clínicas inusuales del dengue hemorrágico en niños. Biomédica. 2006; 26: 61- 70        [ Links ]

5. Lanciotti RS, Calisher CH, Gubler DJ, Chang GJ, Vorndam AV. Rapid detection and typing of dengue viruses from clinical samples by using reverse transcriptase-polymerase chain reaction. J Clin Microbiol. 1992;30:545-51.         [ Links ]

6. Friedman R, Schowengerdt K, Towbin J. The science and practice of Paediatric Cardiology. Williams and Wilkins Baltimore. Myocarditis. 1998:1777-1791.         [ Links ]

7. Arezt HT, Billingham ME, Edwards WD, Factor SM, Fallon JT, Fenoglio JJ Jr. et al. Myocarditis: a histopathologic definition and classification. Am J Cardiovasc Pathol. 1987;1: 3-14.         [ Links ]

8. Gubler DJ. Pathology of dengue infection .In: Gubler DJ, Kuno G. Dengue and dengue hemorrhagic fever. London: CAB International. 1997: 115-132.         [ Links ]

9. Wheeler D, Kooy N. A formidable challenge The Diagnosis and treatment of viral myocarditis in children. Crit Care Clin. 2003. 19: 365 -391.         [ Links ]

10. Huber S, Job L, Woodruff J. Lysis of infected myofiber by coxsackie virus B-3 immune T lymphocytes. Am J Pathol. 1980:681-694.         [ Links ]

11. Lei HY, Yeh TM, Liu HS, Lin YS, Chen SH, Liu CC. Immunopathogenesis of dengue virus infection. J Biomed Sci. 2001; 8: 377-388.         [ Links ]

12. Promphan W, Sopotammarak S, Pruekprasert P, Kajornwattanakul W, Kongpattanayothin A. Dengue Myocarditis. Southeast Asian J Trop Med Public Health. 2004; 35: 611-3.         [ Links ]

13. Khongphatthanayothing A, Suesaowalak M, Muangmingsook S, Bhattarakosol P, Pancharoen C. Hemodynamic profiles of patients with dengue hemorrhagic fever during toxic stage: an echocardiograph study. Intensive Care Med. 2003; 29: 570-4.         [ Links ]

14. Wali JP. Cardiac involvement in dengue hemorrhagic fever. Int J Cardiol. 1998; 64: 31- 6.         [ Links ]

15. Kabra SK. Myocardial dysfunction in children with dengue haemorrhagic fever. Natl Med J India. 1998; 11: 59- 61.         [ Links ]