Services on Demand
Journal
Article
Indicators
-
Cited by SciELO -
Access statistics
Related links
-
Cited by Google -
Similars in
SciELO -
Similars in Google
Share
Revista Colombiana de Ciencias Pecuarias
Print version ISSN 0120-0690On-line version ISSN 2256-2958
Rev Colom Cienc Pecua vol.21 no.3 Medellín July/Sept. 2008
Casos clínicos
Absceso intrarrenal y perinefrítico en una perra. Reporte de un caso¶
Intrarenal and perinephric abscesses in a bitch: A case report
Abscesso Intrarenal perinefrítico e uma cadela. Relato de caso
Carlos A Hernández1,2*, MV, Esp Clin; Rodrigo Restrepo3, MD, Patólogo; Janeth Pérez1,4, MV.
1Grupo de Investigación INCA-CES, Facultad de Medicina Veterinaria y Zootecnia, Universidad CES, Medellín, Colombia.
2Emergencias Veterinarias Inmediatas, Medellín, Colombia.
3Universidad Pontificia Bolivariana, Facultad de Medicina, Medellín, Colombia
4Grupo de Investigación CENTAURO, Escuela de Medicina Veterinaria, Facultad de Ciencias Agrarias, Universidad de Antioquia, Medellín, Colombia.
(Recibido: 7 noviembre, 2007; aceptado: 29 agosto, 2008)
Resumen
Una hembra de la raza schnauzer de 5 años de edad fue atendida por presentar vómito y decaimiento en los últimos dos días, los propietarios observaron descarga vulvar y tuvo su período estral tres semanas atrás. Al examen físico se detectó fiebre y dolor abdominal especialmente en el cuadrante craneal izquierdo y la presencia de cálculos vesicales. En la laparotomía exploratoria se encontró un absceso perinefrítico izquierdo, con fluido subcapsular purulento y cambios en la forma del riñón, por lo cual se efectuó nefrectomía y se realizó cistotomía para remover los cálculos vesicales. Luego de la recuperación se recomendó una dieta de prescripción para controlar la formación de cálculos. El examen histopatológico confirmó la presencia de un absceso renal y perinefrítico, condiciones poco frecuentes en caninos y posiblemente relacionadas con la pielonefritis predispuesta por la presencia de cálculos de estruvita.
Palabras clave: procedimiento de nefrectomía, riñón canino, urolitiasis en perros
Summary
A 5-year-old female schnauzer was attended for being lethargic and having vomit in the past two days. The bitch had been in estrous three weeks ago and the owners noticed a vulvar discharge. During the physical examination, fever and left cranial abdominal pain were found and the presence of bladder stones was suspected. During the exploratory laparotomy a renal and a perinephritic abscesses were found, then a nephrectomy were performed. A cistotomy were also performed and struvite bladder stones were removed. The patient recovered successfully and a commercial diet was prescribed to avoid new calculi formation. Histopathological examination confirmed the presence of both renal and perinephritic abscesses, conditions that are uncommon in dogs and in this case were probably related to pyelonephritis and struvite bladder stones.
Key words: canine urolithiasis, canine kidney, nephrectomy procedure
Resumo
Uma fêmea raça Schnauzer 5 anos de idade foi assistida por vômitos e apresentar decadência nos últimos dois dias, os proprietários observados e descarga vulvar estral período foi há três semanas. Ao exame físico foi detectada a febre e dor abdominal em especial no quadrante cranial esquerda e à presença de cálculos urinários. Na laparotomia exploradora encontrado um abscesso perinefrítico esquerda com purulento subcapsulares fluido e mudanças na forma de o rim, o que ocorreu e foi conduzido cistotomía nefrectomia para retirar cálculos da bexiga. Após a cobrança recomendou uma dieta específica para controlar a formação de cálculos. O exame histopatológico confirmou a presença de um rim e abscesso perinefrítico, condições incomuns em cães e, possivelmente relacionado com pielonefrite predispostos a presença de estruvita cálculos.
Palavras chave: procedimento de nefrectomia, rim canino, urolitíase em cães
Introducción
Los abscesos renales y perinefríticos son infecciones graves que pueden comprometer la vida de los pacientes pero que resultan ser muy poco frecuentes en los perros. La fisiopatología asociada con estos abscesos aun no está completamente entendida, sin embargo, en los caninos se han encontrado relacionados con infecciones ascendentes del tracto urinario, pielonefritis y nefrolitiasis (1, 4, 9). Sólo en un caso reportado se encontró un perro con diabetes mellitus el cual presentaba un absceso renal, sin embargo en los seres humanos la diabetes se considera uno de los factores predisponentes (4, 6). Otros factores asociados a la presencia de abscesos renales y perinefríticos en los seres humanos, incluyen reflujo vesico-ureteral, enfermedades crónicas debilitantes y estados de inmunosupresión (6). A la fecha, y en conocimiento de los autores, ninguno de estos factores ha sido asociado a la presentación de abscesos renales en los perros.
Este artículo describe el caso de una perra con pielonefritis, cálculos vesicales y un absceso intrarenal y perinefrítico. La nefrectomía unilateral permitió la resolución completa del caso, además el tratamiento quirúrgico estuvo acompañado de la remoción de los cálculos vesicales mediante cistotomía. El manejo nutricional posterior permitió el control en la formación de nuevos urolitos.
Evaluación del paciente
Anamnesis
Una hembra schnauzer miniatura intacta de 5 años de edad, con un peso de 8 kg, se presentó a consulta veterinaria 3 semanas luego de finalizar su período estral y debido a la presentación de vómito y anorexia en los últimos 2 días. Durante las dos últimas semanas, los propietarios habían notado a la perra decaída; además, antes de la visita al veterinario, advirtieron pequeñas cantidades de secreción vaginal mucosa y amarillenta.
Hallazgos al examen clínico y ayudas diagnósticas
La perra se encontraba obesa, además de apática y decaída al momento del examen clínico. La temperatura rectal era de 40.5 °C y mostraba signos de deshidratación leve. La palpación abdominal resultó complicada debido a su condición corporal, sin embargo se notó un abdomen tenso y sensible, especialmente en el cuadrante craneal izquierdo en donde la paciente mostraba una marcada incomodidad. La palpación caudal del abdomen permitió percibir estructuras compatibles con la presencia de múltiples cálculos vesicales y no se detectaron otras anormalidades. Basados en la historia de un estro reciente y la presentación clínica, se sospechó de un piómetra. Se tomaron muestras de sangre para hematología y análisis bioquímico (véase Tablas 1 y 2), en los cuales se apreció un marcado aumento de los neutrófilos en banda mientras que los valores bioquímicos se encontraban dentro de los límites normales de referencia. Los propietarios no autorizaron la realización de estudios por imagen por lo cual la paciente fue sometida a laparotomía exploratoria.
Enfoque del tratamiento y evolución
En las 12 horas previas a la realización de la laparotomía se dio inicio a la aplicación intravenosa de 25 mg/kg de ampicilina/sulbactam, además del tratamiento de restitución y mantenimiento con fluidoterapia intravenosa. La premedicación anestésica incluyó la aplicación de atropina (0.022 mg/kg), diazepam (0.2 mg/kg) e hidromorfona (0.05 mg/kg), y la paciente se indujo con un bolo de 2 mg/kg de propofol y se mantuvo con isofluorano.
La laparotomía fue realizada a través de la línea media ventral y se encontró cantidad moderada de efusión abdominal serosanguinolenta. El útero se encontró normal, y el riñón izquierdo presentaba aumento de tamaño y múltiples adherencias. La cápsula renal estaba engrosada y de consistencia firma, además se notaban los vasos sanguíneos severamente congestionados (véase Figura 1). Se realizó una incisión en la cápsula y se aspiró líquido seropurulento, además el riñón se encontró irregular y el uréter distendido. Debido a los cambios anormales detectados en el riñón, se decidió realizar nefrectomía. Igualmente, se realizó ovariohisterectomía y los cálculos en la vejiga fueron extraídos mediante cistotomía, en la cual se obtuvieron múltiples cálculos lisos de diferentes tamaños (desde 0.3 mm a 1.5 cm) (véase Figura 2). Durante el procedimiento quirúrgico también se realizó la toma de muestra de orina para cultivo bacteriano. Finalmente se fijó un Dren de Penrose en el cuadrante abdominal izquierdo con el fin de evitar la acumulación de líquido en el espacio retroperitoneal.
La recuperación de la anestesia fue demorada, sus mucosas permanecieron pálidas y su temperatura corporal baja (36.5 °C). En una muestra de sangre que fue tomada para evaluar el eritrograma se encontró anemia marcada (hematocrito 12% y hemoglobina 3.4 g/dl), sin embargo no se consideró su reintervención quirúrgica debido a que no se demostró un drenaje de sangre activo a través del dren y la anemia fue atribuida a la pérdida de sangre durante la cirugía. La perra fue transfundida en un período de 6 horas y recuperó su temperatura normal y comenzó a ingerir agua 8 horas posteriores a la intervención.
El protocolo farmacológico de tratamiento postquirúrgico se muestra en la Tabla 3. El Dren de Penrose se retiró 24 horas después de la cirugía habiendo acumulado un total de 300 ml de líquido serosanguinolento. Luego de 4 días de tratamiento se suspendieron el tramadol, la ranitidina y el ondansetrón. El cultivo urinario resultó negativo y siete días luego del procedimiento quirúrgico se suspendió el tratamiento antibiótico intravenoso continuándose vía oral en casa con la administración de enrofloxacina (10 mg/kg SID) y ampicilina/sulbactam (25 mg/kg BID) durante quince días más sin reportar ninguna complicación. Las suturas de la piel se retiraron 10 días luego de la intervención.
Hallazgos macroscópicos e histopatológicos
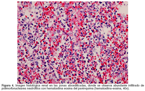
El riñón se encontraba aumentado de tamaño y la superficie presentaba un absceso de color amarillo pálido y consistencia dura. Al corte se revela un absceso amarillento tanto en la corteza como en la médula (véase Figura 3). En la evaluación histológica (véase Figura 4) se observó infección bacteriana ascendente ocasionando pielonefritis aguda. También se hallaron numerosos leucocitos polimorfonucleares llenando los túbulos renales.
Seguimiento del paciente
Los resultados de los análisis determinaron que los cálculos se encontraban compuestos de estruvita. Pasados 20 días de la cirugía se realizó una ecografía y se observaron pequeños cálculos renales en el riñón derecho que variaron de 1 a 2 mm de tamaño. Dado el tipo de cálculos encontrados en la cistotomía y los hallazgos ecográficos, se prescribió un manejo dietético1. Finalmente la paciente se recuperó por completo de la cirugía y se programaron citas de control cada dos meses.
Discusión
En los perros los abscesos ya sea renales o perinefríticos, o en su defecto la combinación de ambos, son hallazgos muy poco frecuentes (1, 4). Para el conocimiento de los autores, muy pocos casos han sido reportados en la literatura (1, 9). Como en los seres humanos, probablemente la fuente más común de abscesos intrarenales en perros sea una enfermedad renal intrínseca (10), aunque otra forma menos frecuente y descrita en seres humanos, es la diseminación de una infección hacia la corteza renal desde otro sitio primario de infección como la piel o el tracto respiratorio (10). Los autores no conocen ningún reporte que describa esta situación en caninos.
Por lo general, la litiasis es un factor predisponente para las infecciones recurrentes del tracto urinario y la extensión de esta infección renal crónica lleva al desarrollo de pielonefritis. En este caso, la presencia de cálculos en la vejiga y en el riñón derecho, sugieren que el riñón izquierdo se encontraba igualmente afectado por urolitos, lo que originó la pielonefritis y llevó a la formación del absceso renal. En los seres humanos, está descrito que los abscesos intrarrenales pueden progresar en tres formas diferentes: en primer lugar, pueden perforar la cápsula renal y formar un absceso perinefrítico tal y como puede haber sucedido en este caso; en otros casos, pueden perforar el sistema renal colector y causar piuria; y en último lugar, pueden permanecer como un absceso intraparenquimatoso crónico (10).
Los autores consideran que la causa más probable de la formación del absceso perinefrítico en este caso fue la extensión del absceso renal por medio de una perforación en la cápsula. Otras posibles causas de los abscesos perinefríticos, tal y como suceden en los abscesos renales, incluyen mecanismos diversos. En algunos casos el absceso perinefrítico se origina de una pielonefritis, inclusive sin la presencia de absceso renal y con la cápsula renal intacta. En estos procesos, el edema retroperitoneal se origina por la permeabilidad incrementada de los túbulos renales proximales necróticos y daño en los túbulos colectores que se encontrarían obstruidos (5, 8). En un reporte se sugiere este mecanismo en un perro con absceso perinefrítico y pielonefritis sin tener absceso renal (5). Otros mecanismos descritos en seres humanos incluyen la diseminación hematógena de una infección en un sitio distante o la presencia de focos infecciosos cercanos como en los casos de rupturas viscerales o en procesos supurativos del tórax (10).
El método de diagnóstico preferido para identificar un absceso renal y perinefrítico en caninos es la ecografía (1, 4, 5). Usualmente, en los abscesos renales se observan estructuras ovaladas hipoecoicas con márgenes engrosados (2). En los casos en los cuales hay un absceso perirrenal, se pueden ver áreas rodeadas de líquido (hipoecoicas), dorsal a los riñones. La ultrasonografía también es una herramienta útil para la aspiración del líquido con el fin de obtener muestras para citología y cultivo bacteriano. En un caso reportado se utilizó la tomografía computarizada para confirmar la presencia de un absceso perinefrítico y permitió la visualización de una pielonefritis que no había sido detectada mediante ultrasonografía (5). En el presente caso, los propietarios de los perros no autorizaron la realización de métodos de diagnóstico por imagen y prefirieron la realización de una laparotomía exploratoria. De igual forma, se realizó la evaluación ecográfica del tracto urinario 20 días después del procedimiento quirúrgico, lo que permitió detectar pequeños cálculos en el riñón derecho. Este hallazgo refuerza la teoría que la pielonefritis pudo originarse por una infección crónica predispuesta por la presencia de los cálculos en el riñón.
En el cultivo urinario no se presentó crecimiento bacteriano en el presente caso y se atribuyó a la administración previa de antibióticos. En los seres humanos, las bacterias usualmente asociadas con abscesos renales dependen del mecanismo que causa el absceso, por ejemplo, cuando es causado por diseminación de infección desde sitios distantes, pueden ser causadas por Staphylococcus, mientras que cuando están asociadas con infección renal son causadas por microorganismos usualmente encontrados en la orina (E. coli, Proteus y Pseudomonas) (10). La misma situación se aprecia en abscesos perinefríticos (10). Los cultivos bacterianos realizados en casos previamente reportados, encontraron E. coli en un perro con absceso renal y Staphylococcus hyicus en un perro con absceso perinefrítico (4, 5). En ambos casos, el origen de las infecciones fue atribuido a enfermedades renales.
Con respecto al tratamiento, los casos conocidos por los autores en caninos han sido abordados mediante la realización de nefrectomía en presencia de abscesos renales o perinefríticos (1, 4, 9). Sólo en un caso reportado, en un perro con absceso perinefrítico ocasionado como consecuencia de pielonefritis, se trató mediante la aspiración de líquido en el espacio perirrenal, lo que permitió la recuperación del paciente con la ayuda del tratamiento antibiótico específico (5). En el caso planteado en este artículo, el absceso retroperitoneal, la presencia de pus subcapsular, y la consistencia anormal del riñón, contribuyeron a la decisión del médico veterinario cirujano de realizar la resección completa del riñón izquierdo. Otras indicaciones para la realización de nefrectomía en perros incluyen trauma, neoplasia, hidronefrosis avanzada, cálculos renales, hematuria idiopática de origen renal, infección por Dioctophyma renale y donación del riñón para transplante (3, 7). La utilización del Dren de Penrose también fue escogida basada en la gran acumulación de líquido retroperitoneal.
El tratamiento antimicrobiano debe estar basado en los resultados de los cultivos bacterianos, sin embargo y como en este caso, cuando no se obtienen resultados del cultivo, la decisión del antibiótico debe basarse en el posible origen de la infección según se describió. En este caso la combinación de ampicilina/sulbactam y ciprofloxacina se usó con resultados satisfactorios. En los seres humanos, si el absceso renal se diagnóstica tempranamente puede ser tratado efectivamente, con un mínimo de morbi-mortalidad, mientras que los abscesos complicados pueden ocasionar una alta mortalidad, especialmente en pacientes inmunosuprimidos y caquécticos (6). En animales no se han podido generar conclusiones en este sentido debido a los pocos casos publicados.
Conclusiones
Los abscesos renales y perinefríticos son condiciones que ponen en riesgo la vida de los pacientes, sin embargo sólo unos pocos casos han sido reportados en caninos. El ultrasonido abdominal es probablemente la forma de diagnóstico más accesible cuando no se dispone de métodos avanzados por imagen, sin embargo, la visualización directa mediante laparotomía exploratoria fue útil en este caso, y permitió la realización de la nefrectomía. La resección del riñón permitió la recuperación de la paciente, sin embargo, se requerirán más estudios para explorar otras alternativas terapéuticas en los perros.
Referencias
1. Agut A, Laredo FG, Belda E, Seva J, Soler M. Left perinephric abscess associated with nephrolithiasis and bladder calculi in a bitch. Vet Rec 2004; 154:562-565. [ Links ]
2. Espada Y, Novellas R, Ruiz de Gopegui R. Renal Ultrasound in dogs and cats. Vet Res Comm 2006; 30 Suppl 1:133-137. [ Links ]
3. Gookin JL, Stone EA, Spaulding KA, Berry CR. Unilateral nephrectomy in dogs with renal disease: 30 cases (1985-1994). J Am Vet Med Assoc 1996; 208:2020-2026. [ Links ]
4. Hess RS, Ilan I. Renal abscess in a dog with transient diabetes mellitus. J Small Anim Pract 2003; 44:13-6. [ Links ]
5. Hylands R. Veterinary Diagnostic Imaging. Can Vet J 2006; 47:1033-1035. [ Links ]
6. Jaik NP, Sajuitha K, Mathew M, Sekar U, Kuruvilla S, et al. Renal abscess. JAPI 2006; 54:241-243. [ Links ]
7. Lanz OI, Waldron DR. Renal and ureteral surgery in dogs. Clin Tech Small Anim Pract 2000; 15:1-10. [ Links ]
8. Levine S, Saltzman A, Branch C. A model for perinephric fluid accumulation in uremic rats with toxic nephrosis. Toxicol Lett 2003; 146:9-15. [ Links ]
9. Lewis DC, Adamson DR, Jacobs KA, Lamb WA. Pyelonephritis, nephrolithiasis and perinephric abscessation in a dog. Aust Vet J 1988; 65:195-196. [ Links ]
10. Morgan WR, Nyberg LM. Perinephric and intrarenal abscesses. Urology 1985; 26:529-536. [ Links ]
¶ Para citar este artículo: Hernández CA, Restrepo R, Pérez J. Absceso intrarrenal y perinefrítico en una perra. Reporte de un caso. Rev Colomb Cienc Pecu 2008; 21:406-412.
* Autor para el envío de correspondencia y la solicitud de separatas: Facultad de Medicina Veterinaria y Zootecnia, Universidad CES. AA 054591. Medellín, Colombia. E-mail: chernandez@ces.edu.co Tel: (+574) 444 05 55. Fax: (+574) 311 35 05.




















