Services on Demand
Journal
Article
Indicators
-
Cited by SciELO -
Access statistics
Related links
-
Cited by Google -
Similars in
SciELO -
Similars in Google
Share
Revista Colombiana de Reumatología
Print version ISSN 0121-8123
Rev.Colomb.Reumatol. vol.15 no.3 Bogotá July/Sep. 2008
PRESENTACIóN DE CASO
Papel fisiopatológico de los anticuerpos antifosfolípidos en la generación de hidrocefalia de presión normal
Pathophysiologic role of antiphospholipid antibodies in the generation of normal pressure hydrocephalus
Gerardo Quintana1, José Félix Restrepo2, Antonio Iglesias3
1 Médico Internista y Reumatólogo. Departamento de Medicina, Facultad de Medicina. Universidad Nacional de Colombia, Sede Bogotá.2 Médico Internista y Reumatólogo. Profesor Titular. Facultad de Medicina. Universidad Nacional de Colombia. Jefe Departamento Médico, Facultad de Medicina. Universidad Nacional de Colombia, Sede Bogotá.
3 Médico Internista y Reumatólogo. Profesor titular. Facultad de Medicina. Unidad de Reumatología. Universidad Nacional de Colombia, Sede Bogotá.
Recibido para publicación: junio 6 de 2008.
Aceptado en forma revisada: agosto 15 de 2008.
Resumen
El síndrome antifosfolípido (SAF) es una enfermedad de origen autoinmune con diversas manifestaciones, principalmente trombóticas, en cualquier parte del organismo, donde el sistema nervioso central es sitio de manifestaciones clínicas muy prominentes, presentando además de trombos, alteraciones siquiátricas y una variedad de síndromes neurológicos no trombóticos.
Nuestro informe describe las características clínicas de presentación, hallazgos de laboratorio, y tratamiento en dos casos: el primero de hidrocefalia de presión normal (HPN) asociado a neurosífilis y otro asociado a SAF secundario a lupus eritematoso sistémico (LES).
Resaltamos el potencial papel patogénico de los anticuerpos antifosfolípidos en la generación de la HPN. Se comentan y discuten los posibles mecanismos fisiopatológicos a través de los cuales la presencia de tales auto-anticuerpos podría generar la HPN. Dentro de estos están la trombosis venosa cerebral, la falta de absorción del líquido cefalorraquídeo en la aracnoides, micro-trombosis venosa, micro-infartos y la meningitis aséptica.
Palabras clave: hidrocefalia de presión normal, síndrome antifosfolípido, lupus eritematoso sistémico, neurosífilis.
Summary
The antiphospholipid syndrome (APS) is an autoimmune disease with diverse manifestations, mainly thrombotic, in any part of the body, where the central system nervous is frequently involved and course with prominent clinical manifestations. In addition to presenting thrombus, the disease can present psychiatrics alterations and a variety of non thrombotic neurological syndromes.
Our report describes the clinical characteristics of presentation, laboratory finding and treatment in two cases: the first one of normal pressure hydrocephalus (NPH) associated to neurosyphilis and the other one and APS secondary to systemic lupus erythematosus (SLE).
We emphasize the potential pathogenic role of the antiphospholipid antibodies in the generation of such a neurological entity. We commented and discussed the possible physiopathologic mechanisms in which the presence of such auto-antibodies could generate NPH. Among these are the cerebral vein thrombosis, the lack of absorption of the cerebrospinal fluid in the arachnoid space, vein micro-thrombosis, micro-infarts in the brain and aseptic meningitis.
Key words: normal pressure hydrocephalus, antiphospholipid syndrome, systemic lupus erythematosus, neurosyphilis.
Introducción
El síndrome antifosfolípido es una enfermedad de origen autoinmune caracterizada principalmente por la presencia de trombosis de origen arterial y/o venoso y la determinación serológica de anticuerpos contra los fosfolípidos de membrana o sus cofactores. El SAF puede ser primario o secundario de acuerdo a la ausencia o coexistencia de otra enfermedad, tanto de origen inmunológica, neoplásica o infecciosa.
Dentro de sus múltiples manifestaciones se destaca el prominente compromiso del sistema nervioso central (SNC) que se puede clasificar como enfermedad cerebro- vascular, alteraciones siquiátricas y otras manifestaciones no trombóticas1. Dentro de este último grupo se mencionan la sordera neurosensorial autoinmune, el síndrome de Guillain-Barré, la amnesia global transitoria, la epilepsia, el síndrome like de esclerosis múltiple y los síndromes oculares, entre otros Tabla 1 . Desde su descripción original en 19832, Hughes destacó el compromiso del SNC, resaltando la migraña refractaria, corea, epilepsia y eventos cerebrovasculares3.
En un principio se pensaba en un estado hipercoagulable como mecanismo fisiopatológico desencadenante de las manifestaciones del SNC asociadas a los AaF, pero poco a poco se han venido dilucidando nuevas teorías acerca del trastorno que finalmente lleva a las manifestaciones, que han surgido, precisamente por informes de ausencia de lesiones trombóticas y/o microtrombóticas en los estudios imagenológicos de casos como la corea4,5 y que hacen dudar de la naturaleza puramente trombótica del proceso. Los AaF pueden unirse a las neuronas o células gliales y alterar su función6. Sun informó que los anticuerpos anticardiolipina (AaC) se pueden unir al tejido cerebral del ratón e inhibir el crecimiento astrocitario7. Existe un alto índice de unión a la mielina en pacientes con LES con altos títulos de AaC como lo encontraron Khalili y Cooper8. También existe evidencia de la disfunción endotelial y actividad procoagulante consiguiente asociada a los AaF9, y más recientemente a anticuerpos anti-ß2 glicoproteína I (Aaß2 Gp I) a través del cofactor ß2 glicoproteína I, demostrados séricamente10 y a nivel del SNC, en neuronas, astrocitos y endoteliocitos11,12. Todos estos mecanismos son considerados las principales formas por las cuales los AaF desencadenan las diferentes expresiones clínicas, no solo sistémicas sino a nivel del SNC.
La HPN descrita originalmente por Hakim y Adams en 196513, es una entidad neurológica que se presenta como una tríada característica de alteración de la marcha, ausencia de control de esfínteres y alteración cognoscitiva, generalmente ocurre después de hemorragia subaracnoidea por aneurisma roto o traumatismo craneoencefálico, meningitis crónica (tuberculosa, sifilítica o de otros tipos), enfermedad de Paget de la base del cráneo, y mucopolisacaridosis de las meninges y acondroplasia. Sin embargo, en la mayor parte de los casos no puede establecerse la causa; al parecer se debe a meningitis fibrosante asintomática13,14. La presencia de HPN en asociación con AaF se ha documentado en un solo caso en la literatura, en paciente con SAF secundario a LES15.
Descripción de casos y resultados
Caso 1
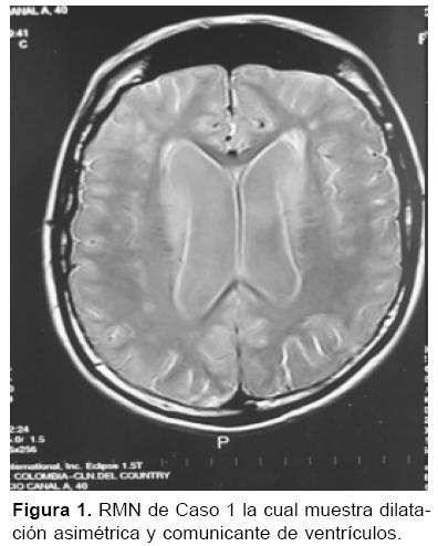
Paciente masculino de 44 años de edad, administrador hotelero, quien inicia cuadro clínico de cuatro años de evolución con síntomas neurológicos consistentes en ideas megalomaníacas, pérdida de memoria reciente, insomnio y ansiedad; para esa época se toma resonancia magnética (RM) cerebral que fue informada como normal. Seis meses después presenta comportamiento pueril y comienza con pérdida de funciones mentales superiores (alteración cognoscitiva, juicio, raciocinio, abstracción, cálculo), se realiza nueva RM que muestra dilatación ventricular sin efecto compresivo figura 1. En abril del 2001 por persistencia y empeoramiento de la sintomatología, se realiza punción lumbar con estudio de líquido cefalorraquídeo (LCR) que muestra: presión de apertura 13 cm, leucocitos 0, eritrocitos 0, glicemia 51 mg/dl (76), proteínas 4 g/dl, tinta china (-), VDRL (+) 1: 16 con FTA-ABS (+); ante lo cual el paciente es tratado con penicilina cristalina por 24 días con diagnóstico de neurosífilis. Se realizaron, además, anticuerpos antinucleares (ANA) que fueron positivos a 1: 40 con patrón granular, anticardiolipinas IgG 40 GPL e IgM mayor a 200 MPL, anti-ß2 glicoproteína I (-) y ecocardiograma normal.
A pesar del tratamiento y ante la poca respuesta clínica, se decide realizar biopsia cerebral que muestra gliosis cerebral severa con pérdida neuronal y cambios espongiformes y a pesar de no aislarse espiroqueta, se considera neurosífilis en etapa tardía de la enfermedad, en la cual se dificulta la identificación del germen.
El paciente persiste con sintomatología y empeoramiento de sus funciones mentales superiores; además, ausencia de control de esfínteres, marcha atáxica y alteración cognoscitiva. Se repite RM cerebral que muestra gran dilatación de ventrículos con efecto compresivo incipiente; se realiza prueba de LCR para determinar hidrocefalia de presión normal, la cual fue positiva; ante lo cual se decide derivación ventrículo-peritoneal con una respuesta favorable y mejoría parcial de su cuadro neurológico (control de esfínteres y marcha atáxica). Se repite estudio de cardiolipinas que muestra IgG de 84 GPL e IgM de 385 MPL (junio 2002). Se inicia tratamiento con asa 100 mg/día y clopidogrel 75 mg/día, con lo que presenta estabilización y leve recuperación de su sintomatología.
En febrero de 2004 se toman controles, encontrando LCR con VDRL (-) y FTA-ABS (+) y citoquímico normal, cardiolipinas, anti-ß2 glicoproteína I y P ribosomal normales; la serología sérica es reactiva 1/2, FTA-ABS (+) y cardiolipinas IgG 19,8 GPL, IgM 29,2 MPL y anti- ß2 glicoproteína I IgG 24,3 SGU y P-ribosomal normal.
Caso 2
Paciente femenina de 48 años natural y procedente de Ibagué, casada, y se desempeña como secretaria. La enfermedad se le inició en agosto de 2002, con malestar general, poliartritis (interfalángicas proximales, muñecas, rodillas, hombros), fiebre, pérdida de peso y anorexia. Posteriormente, la paciente presenta alopecia, eritema malar, fotosensibilidad y un rash en la v del cuello y en los brazos, además úlceras orales. En octubre, la paciente presenta debilidad muscular en miembros superiores y miembros inferiores; por el eritema y la debilidad muscular, a la paciente se le plantea un diagnóstico de dermatomiositis y le inician tratamiento con prednisona (30 mg/día).
De agosto a noviembre, la paciente no mejora y en forma súbita presenta una disminución de la fuerza del hemicuerpo izquierdo, confusión y afasia. Se le practica una arteriografía y se documenta una trombosis de la arteria cerebral media y de la cerebral posterior. Se interna en el Hospital Federico Lleras Acosta de Ibagué y se encuentra una Hb 9,8 g/dl, Hcto 30,6 %, leucocitos de 3400 ml3 (N 64%, L 28%, M 5%, E 3%). Parcial de orina, creatinina, transaminasas, CPK total, glicemia y triglecéridos, todos normales. ANA 1: 320 con patrón moteado y colesterol total 232 mg/dl.
La paciente es observada en nuestra Unidad a finales de noviembre, se plantea el diagnóstico de lupus con un síndrome antifosfolípido secundario. Se le practican los siguientes exámenes: Anticardiolipina IgG 68 GPL, IgM 48 MPL, Beta2 glicoproteína I 12 u, anti- Ro 85, RnP 65, anti-La y anti-Sm negativos, anti-DNA normal, C3 116 mg/dl y C4 22 mg/dl. La paciente en ese momento se encontraba emaciada, con una importante pérdida de peso y presenta como complicación un absceso alrededor de la cadera izquierda; es tratada con Ciprofloxacina y se da continuidad a la warfarina iniciada en Ibagué, donde le fue drenado el absceso; tenía una albúmina de 2,7 g/dl y globulinas de 3,9 g/dl. Se le explica que continúe con 30 mg de prednisona y se le solicitan nuevos estudios inmunológicos. ANA 1: 640 moteado, anticardiolipina IgG 136 GPL e lgM 38 MPL, anticoagulante lúpico y VDRL negativos.
La paciente regresa porque presenta en forma súbita cefalea pulsátil, confusión, marcha lenta y sordera súbita del oído izquierdo, y se piensa en un nuevo evento cerebro-vascular. Es revisada por neurología, que le solicita una nueva RM y se encuentran los hallazgos figura 2. Una vez documentado el diagnóstico es valorada nuevamente por neurología y se decide la derivación neuro-quirúrgica con una válvula de Hakim, la paciente es intervenida y presenta una importante mejoría de su cuadro neurológico y es dada de alta.
Discusión
Se trata de dos pacientes quienes presentan hidrocefalia de presión normal asociada a dos cuadros clínicos neurológicos diferentes, pero que hacen parte de potenciales manifestaciones de la HPN; en el primer caso encontramos la típica tríada descrita para la enfermedad (alteración de la marcha, alteraciones cognoscitivas e incontinencia esfinteriana), y en el segundo caso encontramos alteraciones de la marcha por lentificación y la presencia de debilidad en las cuatro extremidades.
En el primer caso se documenta una infección crónica a nivel del SNC del tipo neurosífilis, sin presentar clínicamente, las fases primaria ni secundaria de la enfermedad, con estudio positivo para LCR y se descarta la presencia de otro tipo de entidad neoplásica o autoinmune, y en el caso 2 se confirmó la presencia de un LES con otros cuadros neurológicos, además de la HPN, que hacían parte de manifestaciones asociadas a AaF (eventos cerebro-vasculares). Ambos pacientes fueron tratados de manera adecuada para sus enfermedades de base; en el caso 1 fue necesaria la hospitalización durante tres semanas para la administración intravenosa de penicilina cristalina a las dosis conocidas para neurosífilis, y en el caso 2, fue manejada con esteroides para la fase aguda de su enfermedad.
A pesar de los tratamientos establecidos y como consecuencia de una HPN establecida, fue necesaria la intervención neuroquirúrgica para la correspondiente derivación, una vez confirmado el diagnóstico. En ambos casos se presenta una mejoría parcial pero importante de la sintomatología previa que justifica el procedimiento; en el primer caso y como lo confirmó la biopsia cerebral, los cambios cerebrales presentes eran muy importantes, determinando la recuperación incompleta del paciente. Para el caso del LES hubo una mejor respuesta y la paciente se encuentra en control ambulatorio.
Es importante anotar que la situación que compartían ambos pacientes era la presencia de AaF a títulos altos; además, en el primer caso llamaron la atención los títulos de anti-cardiolipina IgM, los cuales se encontraban bastante elevados, síntoma compatible con el diagnóstico de neurosífilis como lo anotaron en su estudio Gallo y cols.16, donde determinaron la síntesis intratecal de cardiolipinas, principalmente del tipo IgM en la neurosífilis. También es conocido cómo a mayores niveles de AaC existe una mayor probabilidad de eventos tromboembólicos17. Estos datos son muy relevantes a la hora de analizar los dos casos informados y su posible papel en la generación de la HPN.
Queremos resaltar, entonces, la posibilidad de que estos auto-anticuerpos sean responsables, al menos en parte, de los potenciales mecanismos fisiopatológicos causantes de la HPN; si bien no sería una manifestación frecuente de los AaF en el SNC, sí alertaría a la comunidad médica hacia la búsqueda de estos anticuerpos ante la presencia de la enfermedad.
La causa de la HPN es muy poco conocida, en especial la asociada al SAF primario o secundario, y se ha relacionado con antecedentes de hemorragia subaracnoidea por cualquier mecanismo (traumático, malformación arteriovenosa, etc.), infecciones crónicas (meningitis sifilítica, tuberculosa, entre otras) y principalmente la de causa no aparente, al parecer por una meningitis fibrozante13,14. Estas situaciones subyacentes llevan a la falta de absorción del líquido cefalorraquídeo en la aracnoides, micro-trombosis venosa, micro-infartos y la meningitis aséptica, que serían los potenciales mecanismos fisiopatológicos responsables de la HPN15.
En este punto es donde cobra importancia la presencia de los AaF, pues estos anticuerpos, a través de muchas alteraciones pueden ser los responsables de la generación de los mecanismos descritos. Se sabe que existe una vasculopatía no inflamatoria con necrosis fibrinoide de vasos sanguíneos en cerebros en estudios postmorten de pacientes con LES18,19; además esta vasculopatía, altamente asociada con AaF, podría ser de origen trombótico20 o relacionada con cambios en las paredes de los vasos21 a través de otros mecanismos, tales como la ateromatosis acelerada por alta oxidación de las lipoproteínas de baja densidad en presencia de Aaß2-Gp I, situación conocida como síndrome de estrés de membrana22, con la subsecuente disfunción endotelial, aumentando su actividad procoagulante a través de la expresión del factor tisular23-25 y moléculas de adhesión26, fibronolisis alterada27,28 e imbalance de la relación tromboxano A2 / prostaciclina29,30; en los monocitos, se aumenta la expresión del factor tisular31-35, y a nivel de las plaquetas se produce un aumento de su activación y agregación30.
La habilidad de los Aaß2-Gp I séricos para unirse al tejido cerebral demostró la presencia de moléculas de ß2-Gp I en astrocitos, neuronas y endoteliocitos36, resaltando sus propiedades antigénicas como células con cofactores y su unión a los AaF como mecanismos generadores de daño a nivel cerebral12. Así, la lesión cerebral puede ocurrir por una interacción directa con las neuronas, y/o por mecanismos indirectos, tales como interacciones con los astrocitos y un subsecuente daño de su función como célula soporte de las neuronas11.
Todos estos mecanismos también han sido materia de investigación en técnicas imagenológicas, a través de SPECT37-40 y RNM con espectroscopia41, en los cuales se evidencia un daño cerebral difuso y alteración de la perfusión cerebral, en estudios de pacientes con LES y SAF secundario.
Una vez activada esta serie de alteraciones que suceden en el SNC de pacientes con anticuerpos antifosfolípidos, característicamente a títulos altos y de manera secundaria, se puede comprender cómo tales alteraciones llevan a la generación de los mecanismos responsables de la HPN (trombosis venosa cerebral, la falta de absorción del líquido cefalorraquídeo en la aracnoides asociado a micro-trombosis venosa y/o micro-infartos y alteración de meninges) y por consiguiente planteamos el potencial papel fisiopatológico de los AaF en el desarrollo de HPN y proponemos el estudio sistemático de estos anticuerpos ante la presencia de la enfermedad, así, como el tratamiento consecuente para evitar secuelas incapacitantes e irreversibles.
Conclusión
Se presentan dos casos nuevos de HPN asociados a AaF en el contexto de SAF secundario, que a pesar de tener unas entidades patológicas de base bien definidas (neurosífilis y LES), no explican por sí solas el desarrollo de la enfermedad, pero sí permiten proponer el papel fisiopatológico de los anticuerpos antifosfolípidos en la generación de la HPN. Se exponen los mecanismos por los cuales la presencia de estos auto-anticuerpos produce las alteraciones en el SNC, resaltando la falta de absorción de LCR por parte de las granulaciones aracnoides por micro-trombosis y/o micro-infartos y alteraciones meníngeas, que son responsables de la HPN. También se puede decir que la HPN es una forma mixta de las manifestaciones neurológicas del SAF (trombótica, psiquiátrica y manifestación no trombótica). Finalmente, ante la presencia de esta enfermedad debe descartarse la presencia de AaF e iniciar un tratamiento apropiado acorde al diagnóstico.
Referencias
1. McNeil HP, Chesterman CN, Krilis SA. Immunology and clinical importance of antiphospholipid antibodies. Adv Immunol 1991; 49: 193-280. [ Links ]
2. Hughes GRV. Thrombosis, abortion, cerebral disease and the lupus anticoagulant. Br Med J 1983; 287: 1088-1089. [ Links ]
3. Hughes GRV. The Prosser-White oration 1983. Connective tissue disease and the skin. Clin Exp Dermatol 1984; 9: 535-544. [ Links ]
4. Khamashta MA, Gil A, Anciones B, Lavilla P, Valencia ME, Pintado V, et al. Chorea in systemic lupus erythematosus: association with antiphospholipid antibodies. Ann Rheum Dis 1988; 47: 681-683. [ Links ]
5. Asherson RA, Derksen RH, Harris EN, Bouma BN, Gharavi AE, Kater L, et al. Chorea in systemic lupus erythematosus and lupus-like disease: ssociation with antiphospholipid antibodies. Semin Arthritis Rheum 1987; 16: 253-259. [ Links ]
6. Sanna G, Bertolaccini ML, Cuadrado MJ, Khamashta MA, Hughes GRV. Central nervous system involvement in the antiphospholipid (Hughes) syndrome. Rheumatology 2003; 42: 200-213. [ Links ]
7. Sun KH, Liu WT, Tsai CY, Liao TS, Lin WM, Yu CL. Inhibition of astrocyte proliferation and binding to brain tissue of anticardiolipin antibodies purified from lupus serum. Ann Rheum Dis 1992; 51: 707-712. [ Links ]
8. Khalili A, Cooper RC. A study of immune responses to myelin and cardiolipin in patients with systemic lupus erythematosus (SLE). Clin Exp Immunol 1991; 85: 365-372. [ Links ]
9. Oosting JD, DerksenRH, Blokzijl L, Sixma JJ, de Groot PG. Antiphospholipid antibody positive sera enhance endothelial cell procoagulant activitystudies in a thrombosis model. Thromb Haemost 1992; 68: 278-284. [ Links ]
10. Del Papa N, Raschi E, Catelli L, Khamashta MA, Ichikawa K, Tincani A, et al. Endothelial cells as target for antiphospholipid antibodies. Human polyclonal and monoclonal anti-beta 2-glycoprotein I antibodies react in vitro with endothelial cells through adherent beta 2- glycoprotein I and induce endothelial activation. Arthritis Rheum 1997; 40: 551-561. [ Links ]
11. Caronti B, Calderaro C, Alessandri C, Conti F, Tinghino R, Pini C, et al. Serum Anti-b2-glycoprotein I Antibodies from Patients with Antiphospholipid Antibody Syndrome Bind Central Nervous System Cells. J Autoimmunity 1998; 11: 425-429. [ Links ]
12. Caronti B, Pittoni V, Palladini G, Valesini G. Anti-b2- glycoprotein I antibodies bind to central nervous system. J Neurol Sci 1998; 156(2): 211-219. [ Links ]
13. Hakim S, Adams RD. The special clinical problem of symptomatic hydrocephalus with normal cerebrospinal fluid pressure. Observations on cerebrospinal hydrodynamics. J Neurol Sci 1965; 2(4): 307-327. [ Links ]
14. Adams RD, Fisher CM, Hakim S, Ojemann RG, Sweet WH. Symptomatic occult hydrocephalus with normal cerebral fluid pressure: A treatable syndrome. N Engl J Med 1965; 273: 117-126. [ Links ]
15. Mortifee PR, Bebb RA, Stein H. Communicating hydrocephalus in systemic lupus erythematosus with antiphospholipid antibody syndrome. J Rheumatol 1992; (8): 1299-302. [ Links ]
16. Gallo P, Sivieri S, Ferrarini AM, Giometto B, Ruffatti A, Ritter E, et al. Cerebrovascular and neurological disorders associated with antiphospholipid antibodies in CSF end serum. J Neurol Sci 1994; 122: 97-101. [ Links ]
17. Briley DP, Coull BM, Goodnigth SH. Neurological disease associated with antiphospholipid antibodies. Ann Neurol 1989; 25: 221-227. [ Links ]
18. Johnson RT, Richardson EP. The neurological manifestations of systemic lupus erythematosus, a clinicalpathological study of 24 cases and review of the literature. Medicine (Baltimore) 1968; 47: 337-340. [ Links ]
19. Hanly JG, Walsh BMG, Sangafang V. Brain pathology in systemic lupus erythematosus. J Rheumatol 1992: 19: 732-741. [ Links ]
20. Lie JT. Vasculopathy in the antiphospholipid syndrome: thrombosis or vasculitis or both? J Rheumatol. 1989; 16: 713-715. [ Links ]
21. Alarcon-Segovia D, Cardiel M, Reyes E. Antiphospholipid arterial vasculopathy. J Rheumatol 1989; 16: 762-767. [ Links ]
22. Manson JJ, Isemberg DA. Antiphospholipid syndrome. The International Journal of Biochemistry & Cell Biology 2003; 35: 1015-1020. [ Links ]
23. Oosting JD, Derksen RHWM, Blokzijl L, Sixma JJ, de Groot PG. Antiphospholipid antibody positive sera enhance endothelial cell procoagulant activity: studies in a thrombosis model. Thromb Haemost 1992; 68: 278-284. [ Links ]
24. Branch DW, Rodgers GM. Induction of endothelial cell tissue factor activity by sera from patients with antiphospholipid syndrome: a possible mechanism of thrombosis. Am J Obstet Gynecol 1993; 168: 206-210. [ Links ]
25. Kornberg A, Renadineau Y, Blank M, Youinou P, Shoenfeld Y. Anti-beta 2-glycoprotein-I antibodies and anti-endothelial cell antibodies induce tissue factor in endothelial cells. Isr Med Assoc J 2000; 2(Suppl): 27-31. [ Links ]
26. Meroni PL, Raschi E, Camera M, Testoni C, Nicoletti F, Tincani A, et al. Endothelial activation by aPL: a potential pathogenetic mechanism for the clinical manifestations of the syndrome. J Autoimmun 2000; 15: 237-240. [ Links ]
27. Jurado M, Paramo JA, Gutierrez-Pimentel M, Rocha E. Fibrinolytic potential and antiphospholipid antibodies in systemic lupus erythematosus and other connective tissue disorders. Thromb Haemost 1992; 688: 516-520. [ Links ]
28. Ames PRJ, Tommasino C, Iannaconne L, Brillante M, Cimino R, Brancaccio V. Coagulation activation and fibrinolytic imbalance in subjects with idiopathic antiphospholipid antibodies-a crucial role for acquired free protein S deficiency. Thromb Haemost 1996; 75: 190-194. [ Links ]
29. Lellouche F, Martinuzzo M, Said P, Maclouf J, Carreras LO. Imbalance of thromboxane/prostacyclin biosynthesis in patients with lupus anticoagulant. Blood 1991; 78: 2894-2899. [ Links ]
30. Espinosa G, Cervera R, Font J, Shoenfeld Y. Antiphospholipid syndrome: pathogenic mechanisms. Autoimmunity Reviews 2003; 2: 86-93. [ Links ]
31. Cuadrado MJ, Lopez-Pedrera C, Khamashta MA, et al. Thrombosis in primary antiphospholipid syndrome: a pivotal role for monocyte tissue factor expression. Arthritis Rheum 1997; 40: 834-841. [ Links ]
32. Dobado-Barrios PM, Lopez-Pedrera C, Velasco F, Aguirre MA, Torres A, Cuadrado MJ. Increased levels of tissue factor mRNA in mononuclear blood cells of patients with primary antiphospholipid syndrome. Thromb Haemost 1999; 82: 1578-1582. [ Links ]
33. Reverter JC, Tàssies D, Font J, Monteagudo J, Escolar G, Ingelmo M, et al. Hypercoagulable state in patients with antiphospholipid syndrome is related to high induced tissue factor expression on monocytes and to low free protein S. Arterioscler Thromb Vasc Biol 1996; 16: 1319-1326. [ Links ]
34. Reverter JC, Tàssies D, Font J, Khamashta MA, Ichikawa K, Cervera R, et al. Effects of human monoclonal anticardiolipin antibodies on platelet function and on tissue factor expression on monocytes. Arthritis Rheum 1998; 41: 1420-1427. [ Links ]
35. Cakir B, Arnett FC, Roubey RAS. Autoantibodies to tissue factor pathway inhibitor in the antiphospholipid syndrome. Arthritis Rheum 1999; 42: S281. [ Links ]
36. Avery VM, Adrian DL, Gordon DL. Detection of mosaic protein mRNA in human astrocytes. Immunol Cell Biol 1993; 71: 215-219. [ Links ]
37. Maeshima E, Yamada Y, Yukawa S, Nomoto H. Higher cortical dysfunction, antiphospholipid antibodies and neuroradiological examinations in systemic lupus erythematosus. Intern Med 1992; 31: 1169-1174. [ Links ]
38. Kato T, Nanbu I, Tohyama J, Ohba S. Evaluation of cerebral perfusion imaging with N-isopropyl-p-[123I]iodoamphetamine (IMP) in the cases of antiphospholipid syndrome. Kaku Igaku. Jap J Nucl Med 1995; 32: 31-40. [ Links ]
39. Kao CH, Lan JL, Hsieh JF, Ho YJ, ChangLai SP, Lee JK, Ding HJ. Evaluation of regional cerebral blood flow with 99mTc-HMPAO in primary antiphospholipid antibody syndrome. J Nucl Med 1999; 40: 1446-1450. [ Links ]
40. Hilker R, Thiel A, Geisen C, Rudolf J. Cerebral blood flow and glucose metabolism in multi-infarct-dementia related to primary antiphospholipid antibody syndrome. Lupus 2000; 9: 311-316. [ Links ]















