Introducción
Menos del 1% de la población general, presentan alteraciones congénitas de las arterias coronarias1. En el 90% de las ocasiones, las alteraciones corresponden a anomalías en su origen2 y en dos terceras partes comprometen a la arteria descendente anterior y a la arteria circunfleja; mientras que el nacimiento de la arteria coronaria derecha desde el seno de Valsalva izquierdo comprende el tercio restante3. El 20% de las alteraciones congénitas de las arterias coronarias cursan con manifestaciones clínicas (angina, arritmias ventriculares, muerte súbita) (3), (4 y constituyen una causa importante de la mortalidad en los atletas jóvenes después de la cardiopatía hipertrófica obstructiva5. El perfeccionamiento de las técnicas diagnósticas como la arteriografía coronaria, la ecocardiografía, la tomografía axial computarizada con reconstrucción de los vasos coronarios y la resonancia nuclear magnética han facilitado su detección y manejo6.
Reporte de caso
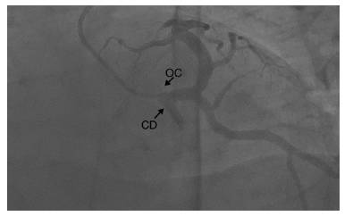
Corresponde a un paciente de género masculino de 44 años de edad, residente en la ciudad de Bucaramanga (Santander), conductor de transporte público; con antecedentes de: hipertensión arterial, diabetes mellitus tipo 2, obesidad y sedentarismo. Consultó al servicio de urgencias por presentar un episodio de dolor torácico retroesternal, no irradiado, de inicio súbito, de duración superior a 10 minutos y posteriormente episodio sincopal. Valorado inicialmente por sospecha del síndrome coronario agudo; se le realizó trazo electrocardiográfico, el cual muestra: ritmo sinusal, alteraciones de repolarización inferolaterales; la curva de troponina T ultrasensible es negativa. La ecocardiografía transtorácica evidenció función ventricular izquierda preservada (FEVI 57,9%), sin alteraciones segmentarias de la contractilidad ni disfunción valvular significativa. Se define la realización de la tomografía axial computarizada con reconstrucción de los vasos coronarios, identificándose un origen común de la arteria coronaria derecha y la arteria coronaria izquierda desde el seno coronario anterior izquierdo (Fig. 1) con trayecto anómalo de la arteria coronaria derecha transcurriendo entre el tronco principal de la arteria pulmonar y la aorta. Se le realizó la arteriografía coronaria (Figs. 2 y 3), que reportó: la arteria coronaria derecha dominante, de origen alto en el seno coronario izquierdo, con ectasia y flujo lento coronario, sin lesiones coronarias angiográficamente significativas adicionales.

Figura 1 Tomografía axial computarizada con reconstrucción de vasos coronarios, se muestra origen común de arteria coronaria con trayecto interarterial.

Figura 2 Arteriografía coronaria, se muestra origen común de arteria coronaria con trayecto interarterial. OC: origen común; CD: coronaria derecha.

Figura 3 Arteriografía coronaria, se muestra origen común de arteria coronaria con trayecto interarterial. OC: origen común; CD: coronaria derecha.
El paciente fue evaluado por el grupo de cirugía cardiovascular, con indicación de derivación aortocoronaria, realizándose anastomosis de la arteria mamaria interna derecha con la arteria coronaria derecha. Durante la hospitalización y posterior a ella, la evolución clínica fue satisfactoria.
Discusión
La identificación de alteraciones congénitas de las arterias coronarias es poco frecuente. La literatura describe una incidencia en la población general menor al 1%, la cual puede estar subestimada dado el espectro clínico que varía desde la ausencia de los síntomas hasta la presencia de los síntomas cardiovasculares (aproximadamente en el 20% de los casos); el caso presentado cursa clínicamente con dolor torácico y síncope. Dentro de las alteraciones congénitas de las arterias coronarias, las que se relacionan con mayor expresión clínica son: el origen de la arteria coronaria izquierda desde la arteria pulmonar, la presencia de grandes fístulas arteriovenosas coronarias y aquellas anomalías que cursan con trayecto interarterial entre la aorta y la arteria pulmonar como ocurre en el caso presentado7.
Las alteraciones en la anatomía coronaria se clasifican de acuerdo con su origen o nacimiento, a su alteración estructural (hipoplasia o aneurisma), al trayecto (puente muscular) y a su lugar de drenaje (fístula) (8. Según su origen se subdividen de acuerdo a su nacimiento (pulmonar o aórtico), las que surgen a nivel aórtico se subdividen a su vez en anomalías de número (exceso o ausencia de ostium) y en anomalías de situación3. Dentro de esta clasificación, se destacan las alteraciones en su origen, dada su mayor relación con la muerte súbita, especialmente, en la población adolescente sometida a estrés deportivo (principalmente en presencia de origen anómalo del tronco de la arteria coronaria izquierda desde el seno coronario derecho y de la arteria coronaria derecha en el seno coronario izquierdo, especialmente, cuando estas arterias presentan un trayecto interarterial entre la aorta y la arteria pulmonar) (9. Burke et al. Han reportado que el 12% de los episodios de muerte súbita relacionados con la actividad física (en población entre 14 y 40 años) se asocian a origen anómalo de las arterias coronarias, en comparación con un 1,2% de los no relacionados con la actividad física10. El grupo de pacientes que presentan origen anómalo del tronco de la arteria coronaria izquierda desde el seno coronario derecho, cursan con pronóstico ominoso, falleciendo aproximadamente el 50% antes de los 20 años de edad, relacionándose el 81% de estos eventos con un esfuerzo físico extenuante10.
Los factores asociados con los mecanismos fisiopatológicos de la isquemia miocárdica, en pacientes con alteraciones congénitas en el origen de las arterias coronarias tipo arteria coronaria derecha en el seno coronario izquierdo, comprenden alteraciones a nivel del ostium coronario (en forma de hendidura o de ojal), la presencia de un trayecto oblicuo en el origen arterial con angulación menor a 45 grados entre la arteria coronaria y la pared aórtica y el trayecto interarterial anómalo11, situaciones que explican el sustrato isquémico presente, aun en ausencia de ateroesclerosis coronaria. La arteriografía coronaria ha sido la técnica más comúnmente utilizada para el diagnóstico de estas anomalías, dado el carácter incidental de este tipo de patología12; no obstante, nuevas técnicas como la tomografía axial computarizada con reconstrucción de vasos coronarios han permitido su detección rápida, precisa y mínimamente invasiva, siendo demostrada su superioridad frente a la arteriografía coronaria en documentación del origen ostial y del trayecto proximal de las arterias coronarias13.
El tratamiento de las alteraciones congénitas de las arterias coronarias, en los adultos sintomáticos con bajo riesgo de isquemia, puede ser conservador, mediante el uso de los betabloqueadores14; en otros grupos de pacientes, especialmente, aquellos de alto riesgo, el tratamiento es quirúrgico, con técnicas de la derivación coronaria o la reconstrucción y el reposicionamiento del ostium coronario; decisión que varía de acuerdo con la anatomía y el tipo de lesión documentada. Las indicaciones aceptadas del manejo quirúrgico son: el origen anómalo de la arteria coronaria izquierda con trayectoria entre la aorta y la arteria pulmonar (interarterial), la documentación de la isquemia debido a la compresión coronaria y el origen anómalo de la arteria coronaria derecha con trayecto interarterial15, indicación que motivó el tratamiento quirúrgico en este paciente.
Conclusiones
Es importante resaltar que las alteraciones congénitas de las arterias coronarias, constituyen un diagnóstico diferencial dentro del estudio del dolor torácico, a pesar de ser una patología con baja incidencia pero con desenlaces fuertes incluyendo la mortalidad; razón por la que deben ser sospechadas y diagnosticadas mediante técnicas precisas y mínimamente invasivas como es el caso de la tomografía axial computarizada con reconstrucción de los vasos coronarios, indicando de acuerdo a la anatomía coronaria documentada y a la historia clínica del paciente la necesidad de una estrategia conservadora o quirúrgica.













