Caso
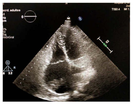
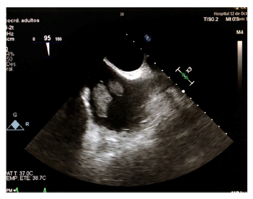
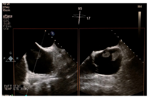
Varón de 70 años de edad, quien acudió a urgencias por episodio vasovagal con hallazgo incidental de fibrilación auricular con respuesta ventricular controlada, que se trató de manera ambulatoria mediante anticoagulación oral con acenocumarol. Durante el control ambulatorio, dos meses después, se hizo ecocardiograma transtorácico en el que se evidenció masa auricular derecha de gran tamaño (fig. 1), motivo por el cual fue ingresado. Se completó el estudio con un ecocardiograma transesofágico que reportó dos masas contiguas (32x18mm y 16x22mm) en la desembocadura de la vena cava inferior, dependientes de la válvula de Eustaquio, que atravesaban la aurícula derecha y alcanzaban el septo interauricular sin comprometer la función de la válvula tricúspide (figs. 2 y fig 3). Como primera posibilidad diagnóstica se planteó un mixoma auricular y ante la posibilidad de embolización se optó por manejo quirúrgico, no sin antes efectuar una coronariografía, que no reportó lesiones; se programó para resección del mixoma. Durante la cirugía se hallaron dos masas de aspecto fibroelástico (fig. 4 ) que no se relacionaban con el septo y que al ser resecadas no alteraban la competencia de la válvula tricúspide. La cirugía y el postoperatorio cursaron sin complicaciones y el estudio anatomo-patológico informó que las masas correspondían a trombos, sin hallazgos de componente tumoral. Durante el seguimiento a seis meses permanecía asintomático y en ritmo de fibrilación auricular.

Figura 1 Ecocardiograma transtorácico en proyección de cuatro cámaras, en el que se observan las dos masas en la aurícula derecha.

Figura 2 Ecocardiograma transesofágico en una proyección en la que se observan las cavas y se evidencian dos masas en la desembocadura de la vena cava inferior, dependientes de la válvula de Eustaquio.

Figura 3 Se observan las dos masas alcanzando el septo interauricular sin comprometer la función de la válvula tricúspide en el ecocardiograma transesofágico.
Discusión
Las masas auriculares derechas son poco frecuentes y en su mayoría corresponden a tumores benignos como el mixoma, o a trombos o vegetaciones endocardíticas. Los mixomas son responsables de casi un 80% de las masas intracardíacas, y por lo tanto, son la primera opción diagnóstica, especialmente cuando son de gran tamaño, si bien su prevalencia en el lado derecho es menos frecuente y oscila entre un 15 y 20%1.
Los pacientes que se encuentran en ritmo de fibrilación auricular presentan un estado de hipercoagulabilidad, activación plaquetaria y disfunción endotelial dentro de ambas aurículas que predispone a la formación de trombos2. La presencia de trombos en el lado derecho es rara y su frecuencia oscila entre 0,75-2% en comparación con un 10% en el caso de la orejuela izquierda3,4. Sin embargo, debe ser una posibilidad diagnóstica a considerar debido a que la aparición de trombos condiciona una mortalidad tres veces más alta en los pacientes con fibrilación auricular y es un predictor independiente de muerte3.
La ecocardiografía es una prueba accesible y de bajo costo, que permite caracterizar las masas intracardíacas, y es una herramienta valiosa en el diagnóstico diferencial1. Teniendo en cuenta que la mayoría de los pacientes con masas auriculares se encuentran asintomáticos o debutan con una embolia sistémica, la ecocardiografía permite efectuar un diagnóstico oportuno y un abordaje terapéutico adecuado según la etiología, la localización, el tamaño y el riesgo de embolización.
Los trombos auriculares derechos pueden tratarse mediante cirugía, anticoagulación oral o incluso mediante fibrinólisis con activador tisular del plasminógeno (t-PA) en casos en los que el riesgo quirúrgico es prohibitivo5. Los trombos auriculares derechos suelen ser un hallazgo secundario en el estudio de un paciente que debuta con embolia pulmonar y no presenta trombosis venosa profunda; por tanto, el enfoque terapéutico depende de la situación clínica en el momento del episodio agudo, eligiéndose principalmente el tratamiento trombolítico en aquellas embolias que clasifican en riesgo intermedio o alto6. El paciente del caso fue tratado mediante cirugía debido a que no debutó con una complicación tromboembólica, tenía bajo riesgo quirúrgico, se encontraba bajo tratamiento anticoagulante desde el diagnóstico de fibrilación auricular y la masa alcanzaba un tamaño que condicionaba un riesgo embólico alto.
El paciente persistía en fibrilación auricular luego de 6 meses de seguimiento, por lo que se podía inferir que el trombo era una complicación secundaria a la arritmia, a pesar de encontrarse con anticoagulación oral. Sin embargo, en este caso, al no haberse hecho un ecocardiograma en el momento del diagnóstico de la fibrilación auricular, no se pudo objetivar la presencia o no del trombo auricular y, por tanto, no fue posible situar su aparición antes o después del inicio de la terapia anticoagulante. Se cree que el reconocimiento temprano en estos casos es importante debido a que los trombos en la aurícula derecha pueden alcanzar tamaños significativos y tienen riesgo potencial de causar embolia pulmonar4,7. La toma de un ecocardiograma al momento del diagnóstico de fibrilación auricular hubiera podido mostrar la masa auricular derecha de manera precoz y el tratamiento mediante cirugía se habría instaurado con rapidez para disminuir así el riesgo de complicaciones embólicas potenciales con el uso únicamente de anticoagulación.
Las guías recomiendan realizar un ecocardiograma transtorácico en el momento del diagnóstico de fibrilación auricular para permitir un mejor enfoque terapéutico, incluso en los casos con estabilidad hemodinámica y adecuada tolerancia clínica8,9. No obstante, a pese a conocerse el potencial embólico de los trombos en el lado derecho, en las guías no se hace mención al estudio ecocardiográfico reglado de la aurícula y la orejuela derechas4,8,9. Aunque no se conoce con exactitud la incidencia de embolia pulmonar en pacientes con fibrilación auricular hay estudios que han reportado prevalencias de hasta de un 19%10. Por consiguiente, los autores de este documento sugieren que el estudio ecocardiográfico de la aurícula y la orejuela derechas debería recomendarse en las guías, de la misma manera que se establece para el lado izquierdo, considerando que solo tomaría unos minutos más al operador y podría impactar de manera significativa en la morbimortalidad de los pacientes con fibrilación auricular11.














