Introducción
La intususcepción se define como la introducción o invaginación de un segmento proximal del intestino dentro del segmento distal inmediato. Una vez adentro, el segmento invaginado es propulsado por la peristalsis y tracciona el mesenterio a lo largo de la invaginación, avanzando tanto como la contra tracción mesentérica se lo permite 1.
En niños menores de dos años la intususcepción es la causa más común de obstrucción intestinal. En ellos, la causa idiopática es usual y general mente no existe defecto anatómico subyacente; otras causas asociadas a este cuadro son las infecciones virales y las vacunas (para rotavirus parti cularmente), quizás debido a la hiperplasia reactiva de las placas de Peyer y de otros tejidos linfoides asociados a la mucosa intestinal que pueden actuar como punta de lanza para la intususcepción 2.
En niños mayores y adultos es rara la intususcepción y representa menos del 5 % de los casos; además, en este grupo poblacional la intususcepción es la causa de obstrucción intestinal solo en el 1-5 % de los casos. En adultos, hasta un 90 % de las intususcepciones son causadas por lesiones intraluminales las cuales sirven como punto inicial de tracción; aunque también puede darse por otras causas como idiopática, en postoperatorios de cirugías bariátricas, por apendicitis aguda y menos comúnmente por divertículos de Meckel invertidos (Cuadro 1) 3,4,5.
Aunque es una entidad relativamente rara en la población adulta, constituye una en tidad quirúrgica importante, con presentación clínica generalmente inespecífica, lo que lleva a que con frecuencia se realicen diagnósticos tardíos o intraoperatorios 6.
Se presenta el caso clínico de una paciente con una intususcepción ileotransversa. Además, se hace una revisión de la literatura actual disponible sobre la fisiopatología, presentación clínica, diagnóstico y manejo.
Caso clínico
Una mujer de 45 años, con antecedentes de hipotiroidismo tratado con levotiroxina, fumadora de 20 paquetes/año y una cesárea como antecedente quirúrgico, consultó por un cuadro de ocho días evolución consistente en dolor abdominal tipo cólico, de localización inicial en abdomen superior, que posteriormente se irradió al resto de este, refiriendo que en el último día el dolor aumentó en intensidad y frecuencia siendo calificado como 10/10 en la escala visual analógica del dolor. Refirió también náuseas, sin emesis. Reportaba cambios en el color de la orina (colúrica) y negaba deposiciones diarreicas u otros síntomas relevantes.
En la evaluación inicial presentaba signos vitales dentro de límites normales. Ma nifestaba dolor durante la palpación del hipocondrio derecho, aunque sin signos de irritación peritoneal. Por lo anterior se sospechó como principal causa del dolor una posible enfermedad hepatobiliar y se solicitaron pruebas de función hepática, bili rrubinas y análisis urinario.
Los resultados no evidenciaron alteraciones significativas mostrando únicamente una leve leucocitosis sin neutrofilia, por lo que se revaluó a la paciente y se evidenció aumento del dolor a la palpación en hemiabdomen inferior.
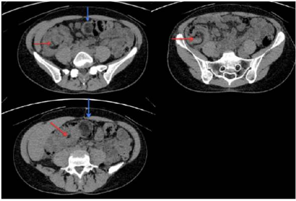
Se sospechó entonces que el dolor estuviera causado por una urolitiasis, por lo que se solicitó tomografía abdominal simple con protocolo en decúbito prono, en la que se evidenció imagen de intususcepción ileocecal con extensión hacia el colon trans verso y lesión sólida con densidad grasa que sugería lipoma intestinal en la cabeza de la intususcepción; no evidenciándose signos de obstrucción intestinal (Figura 1).
Se solicitó entonces valoración por cirugía general quienes explican a la paciente el procedimiento a realizar y, previo consentimiento informado sobre beneficios, ries gos y complicaciones proceden a realizar la cirugía con reducción laparoscópica de la intususcepción más hemicolectomía derecha abierta y anastomosis ileotransversa (Figura 2). La paciente evolucionó adecuadamente en el posoperatorio y fue dada de alta. Posteriormente, se realiza seguimiento ambulatorio sin encontrar complicacio nes asociadas y con resultado de biopsia que mostró lipoma submucoso ileal negativo para malignidad.

Figura 1 TAC simple de abdomen. La flecha roja señala el lipoma que actúa como punta de lanza a la cabeza de la intususcepción. La flecha azul evidencia la lesión en diana característica, la cual avanza hasta el colon transverso.
Discusión
La intususcepción se clasifica según su origen: en el intestino delgado (enteroen térica, ileocólica e ileocecal) o en el colon (colocolónica), y según su etiología o su presentación. Son de especial cuidado las ileocecales, debido al efecto obstructivo que produce la válvula cecal 6. El tipo de intususcepción más común es la entérica y la menos frecuente la colónica 7.
Las intususcepciones colónicas relacionadas con tumores se asocian a malignidad en un 65 a 70 %, mientras que las de intestino delgado solo se asocian a malignidad en un 30 a 35 % 4. Las estructuras superiores, específicamente esófago, estómago y duodeno, raramente se ven involucradas debido a su falta de movilidad, redundancia y fijación anatómica. Es usual que la intususcepción ocurra entre un segmento móvil del intestino que ingresa en un segmento relativamente fijo al retroperitoneo o por adherencias 8.
La presentación clínica puede ser aguda y en la población adulta con frecuencia los síntomas son subagudos -como en el caso de descrito-, crónicos o intermitentes con re currencia, en concordancia con la obstrucción parcial e intermitente que producen 6,9.
Los síntomas y signos más comunes son dolor, náuseas, vómito, diarrea y sangre en las heces (en jalea de “grosella”), y menos común constipación y masa abdominal 6,10. Al examen físico se puede evidenciar el signo de Dance (fosa iliaca derecha que se palpa vacía) con frecuencia asociado a la palpación de masa en flanco e hipo condrio derecho, hallazgo no descrito en el examen físico de la paciente 4,9.
Los análisis de laboratorio no son específicos, pudiéndose evidenciar leve leuco citosis con desviación hacia la izquierda y elevación inespecífica de la proteína C reactiva 11. La paciente presentaba leucocitosis leve sin presentar desviación de la curva hacia la izquierda pues no presentaba neutrofilia.
El estudio de imagen más sensible para el diagnóstico es la tomografía contrastada que tiene una precisión entre 58 y 100 %, por lo que es el estándar de oro. Con esta se puede evidenciar la lesión en diana, que consiste en un área central densa con un halo de menor atenuación que corresponden, respectivamente, al intususceptum y al intususcepiens edematizado 4,10,12 y en el plano sagital se puede evidenciar el signo de la “salchicha” o pseudoriñon. Estas lesiones, aunque altamente sugestivas, no son patognomónicas. La tomografía puede dar información sobre la localización, nivel y causa de la intususcepción, además sobre posibles complicaciones como signos de obstrucción intestinal, isquemia intestinal, liquido libre, adenopatías y po sibles metástasis 8,13,14. Con el aumento en la disponibilidad de la tomografía se ha evidenciado un aumento en la prevalencia de las intususcepciones transitorias asintomáticas que suelen resolver espontáneamente 8,15.
La ultrasonografía se ha descrito como una opción diagnóstica en la población pediátrica, ademas ofrece información sobre la circulación enteral. Sin embargo, presenta serias limitaciones en pacientes obesos o con aumento de gas intestinal; además es operador dependiente. Lo anterior, más el advenimiento y mayor dispo nibilidad de técnicas de imagen con mejor rendimiento, hacen que la ultrasonografía y la radiografía abdominal hayan quedado relegadas 4,7.
El diagnóstico de la paciente del caso se realizó con una tomografía simple de abdomen con protocolo decúbito prono (uroTAC), pues la sospecha diagnóstica distaba de la causa real de los síntomas. Sin embargo, mediante esta técnica se pudo realizar un diagnóstico certero de intususcepción y su causa subyacente. Debe quedar claro que, ante la sospecha de intususcepción, siempre se debe realizar una tomografía de ab domen contrastada como se mencionó previamente. Esto ilustra por qué, a menudo, el diagnóstico se retrasa y es frecuente que se realice un diagnóstico preoperatorio de obstrucción intestinal y la intususcepción sea encontrada en el acto quirúrgico.
En los adultos, el manejo quirúrgico sigue siendo la elección en más del 90 % de los casos. La cirugía puede modificarse y afectarse por factores tales como localización, obstrucción intestinal aguda subyacente, lesión intestinal isquémica, tamaño de la resección, probabilidad de malignidad de la lesión, entre otras. Anteriormente, la la parotomía con resección en bloque era el tratamiento más empleado; sin embargo, las técnicas actuales están más a favor de realizar una reducción previa de la intu suscepción y realizar posteriormente la resección de la lesión y la anastomosis. Este manejo cobra mayor importancia cuando la resección en bloque implica resecar una gran porción de intestino o se sospecha una lesión benigna 8,13,15.
Quienes se encuentran a favor de la resección en bloque argumentan que la ma nipulación del segmento invaginado y de su recipiente puede causar embolización de células cancerígenas a través del sistema venoso en caso de lesiones malignas; además, la manipulación de los segmentos intestinales edematizados y friables, po dría aumentar la probabilidad de perforación intestinal produciendo la liberación de material intestinal y células cancerígenas al peritoneo, lo que podría llevar a mayor diseminación. Sin embargo, en la literatura no hay evidencia sólida que respalde estas teorías, solo se cuenta con reportes anecdóticos. Se propone un abordaje se lectivo de reducción y resección, tal como se desarrolló en el caso clínico presen tado, aunque en nuestro caso fue necesaria la conversión a cirugía abierta para la adecuada realización de la colectomía. El manejo laparoscópico total es factible con las técnicas y los recursos adecuados, logrando tasas de éxito similares a la cirugía convencional 8,11,13,14,15.
Conclusiones
La intususcepción en adultos es una entidad relativamente rara y en la cual la causa idiopática es la excepción y las lesiones que actúan como punta de lanza son la regla. Su presentación clínica es inespecífica lo que dificulta la realización de un diagnóstico oportuno, requiriendo una alta sospecha para solicitar las ayudas diag nósticas que permitan identificarla y proceder a su manejo. El tratamiento es prin cipalmente quirúrgico.















