La exposición ocupacional a solventes orgánicos constituye un problema de salud pública de interés mundial y nacional. La Agencia Internacional de Investigación en Cáncer concluyó que la exposición ocupacional a pinturas es un factor que incrementa el riesgo de cáncer 1. Específicamente, el oficio de pintor y la exposición ocupacional a solventes orgánicos están asociados con un mayor riesgo de desarrollar cáncer de vejiga, riñón, pulmón, próstata, esófago, estómago, laringe y leucemias 2,3. Los pintores de carros emplean el 50% de los solventes orgánicos sintetizados en la industria y, específicamente en Colombia, el uso del Tiner 0.14, la mezcla compleja más frecuentemente empleada. El Tiner 0.14 es una mezcla compleja de disolventes que contiene xilenos (25.38%), tolueno (23,68%), isobutano (23,55%), benceno (7%) entre otros 4, todos considerados como carcinógenos 1. Actualmente, los Estados Unidos regulan la exposición a cada uno de estos compuestos; sin embargo, en Colombia la regulación ha sido un reto debido a que el 47,5% de los individuos expuestos pertenecen al sector informal urbano, trabajan en espacios de baja ventilación y carecen de implementos que disminuyan la exposición. Por lo tanto, estudios que informen sobre el riesgo de cáncer en trabajadores de este sector pueden promover la implementación de medidas de protección y regulación de la exposición a estos compuestos carcinogénicos.
Los marcadores biológicos (biomarcadores), en el contexto de la salud ocupacional, son indicadores de eventos en muestras biológicas que han sido desarrollados para evaluar exposición, efectos precoces y susceptibilidad de los individuos y poblaciones en contacto con los agentes tóxicos. Los estudios epidemiológicos moleculares, además de utilizar cuestionarios y las entrevistas para determinar riesgo de enfermedades, emplean biomarcadores, entre ellos, la frecuencia de micronúcleos (MNs) y la expresión de genes que metabolizan los solventes orgánicos para predecir el riesgo de desarrollar cáncer por exposición ocupacional. La prueba de MNs ha sido desarrollada, caracterizada y validada por estudios epidemiológicos prospectivos para identificar efectos tempranos de riesgo de cáncer 5,6. Específicamente, los MNs son fragmentos de cromosomas o cromosomas enteros, que quedan rezagados del núcleo principal en las células, formando pequeños núcleos adicionales con alta frecuencia de mutaciones. Los MNs se forman cuando se ocasionan roturas en el ADN, comúnmente causadas por las especies reactivas de oxígeno, que, cuando no son reparadas, los fragmentos del ADN quedan aislados y causan un evento inicial en el desarrollo de cáncer. Actualmente existe un banco de datos de la prueba de MNs a nivel internacional para identificar los compuestos que inducen un incremento en este biomarcador para evaluar el riesgo de cáncer y establecer medidas de regulación a estos compuestos 7. La activación y detoxificación de las especies reactivas de oxígeno causadas por el metabolismo de los solventes orgánicos está bajo control genético. Recientemente se ha identificado que los genes que codifican las diferentes enzimas metabólicas presentan polimorfismos en las poblaciones humanas y pueden modular la respuesta biológica y la susceptibilidad de individuos y poblaciones a agentes carcinogénicos, como los solventes orgánicos 8. Un ejemplo son los polimorfismos por deleción total de los genes GSTM1 y GSTT1, que resultan en la ausencia total de la enzima en individuos con genotipo homocigótico nulo y afecta a GSTM1 y GSTT19. Las enzimas GSTM1 y GSTT1 están involucradas en la detoxificación de carcinógenos ambientales y su ausencia ha sido reportada como un factor de riesgo genético en la formación de cáncer (10). Dependiendo del número de polimorfismos en las dos copias de los genes GSTM1 y GSTT1, los individuos pueden poseer uno de los siguientes genotipos. Para el gen GSTM1 (que codifica la enzima GSTM1), su polimorfismo genético resulta de la deleción del gen, el tipo silvestre que contiene el gen GSTM1 (GSTM1 +) y el mutante nulo (GSTM1 0). En consecuencia, los individuos pueden poseer uno de los siguientes genotipos: homocigótico: GSTM1 +/+ presencia del gen silvestre; heterocigótico: GSTM1 +/0 y homocigótico: GSTM1 0/0 (genotipo nulo), deleción total del gen y no se expresa la enzima. La presencia del gen tipo silvestre (GSTM1 +/+) se detecta porque, una vez amplificado y corrido en electrofoesis, genera una banda de 215 pb, la cual está ausente en el genotipo nulo
Para el gen cción del gen completo, lo que representa la ausencia de la enzima codificada por el gen, el tipo silvestre que contiene el gen GSTT1 (GSTT1 +) y el mutante nulo (GSTT1 0). En consecuencia, los individuos pueden poseer uno de los siguientes genotipos: homocigoto: GSTT1 +/+; presencia del gen silvestre; heterocigoto: GSTT1 +/0 y homocigoto GSTT1 0/0 (genotipo nulo), deleción total del gen y no se expresa la enzima. La presencia del gen silvestre (GSTT1 +/+) se detecta porque, una vez amplificado y corrido en electroforesis, genera una banda de 480 pb, la cual está ausente en el genotipo nulo 11.
El objetivo del estudio fue evaluar la frecuencia de MNs e influencia de los polimorfismos en los genes GSTM1 y GSTT1 como biomarcador de riesgo de cáncer en pintores de carros (n=152) con respecto a individuos referentes (n=152). Este estudio es de interés porque permite identificar y entender qué factores ocupacionales (exposición a solventes orgánicos) y genéticos (polimorfismos en los genes del metabolismo) determinan las diferencias individuales en la respuesta biológica a carcinógenos.
METODOLOGÍA
Tipo de estudio
Estudio epidemiológico molecular, tipo corte transversal analítico, interacción gen-ambiente, con comparación entre grupos para identificar las asociaciones entre los genotipos por polimorfismos genéticos, con exposición ocupacional a solventes orgánicos y con la frecuencia de MNs 12. Este estudio empleó las herramientas de la epidemiología tradicional, como los cuestionarios, y de la epidemiología molecular, los biomarcadores de efecto, como los micronúcleos (MNs), como indicadores del riesgo de cáncer y de susceptibilidad genética, como los polimorfismos de los genes del metabolismo.
Población objeto de estudio
La población objeto de estudio estuvo constituida por un grupo de pintores de carros expuestos a solventes orgánicos (n=152) y un grupo referente no expuesto (n=152) de trabajadores, todos del departamento del Cauca (Colombia), específicamente de los municipios de Popayán, Santander de Quilichao, Piendamó, Timbío, el Bordo, el Tambo y Puerto Tejada. Los criterios de inclusión y exclusión de selección de toda la muestra fueron los mismos, excepto que los individuos del grupo referente no debían haber estado expuestos ocupacionalmente a los solventes orgánicos: hombres mayores de edad (18 años) y menores de 55 años, no fumadores ni exfumadores. Los criterios de inclusión del grupo expuesto fueron: aceptación voluntaria para participar en el estudio, ser pintores de carros con una exposición a solventes orgánicos >5 años, con promedio de 8 horas diarias en los talleres, vinculados a pequeñas empresas del sector informal, expuestos principalmente al Tiner 0.14 y carentes de medidas de protección como guantes, máscaras o ropa específica para el trabajo.
Los criterios de inclusión del grupo referente fueron no tener una exposición ocupacional a los solventes orgánicos y/o a algún otro agente químico o físico en su lugar de trabajo. Fueron excluidos del estudio los individuos fumadores y exfumadores y/o que habían estado expuestos a otros factores de riesgo en el trabajo como a los plaguicidas, o haber sido irradiados con rayos "X", en los últimos 3 meses anteriores a la toma de la muestra de sangre, o sufrido de enfermedades como hepatitis o si habían consumido drogas psicoactivas. Además, se les excluía si consumían o habían consumido medicamentos terapéuticos conocidos como genotóxicos, mutagénicos y carcinogénicos, de acuerdo con el listado reportado por Brambilla y Martelli 13. Los individuos expuestos y referentes fueron pareados por estatus socioeconómico, sexo y edad. A partir de la información obtenida en los cuestionarios, se seleccionaron los individuos de la muestra objeto de estudio. La metodología y las condiciones éticas del estudio fueron aprobadas por el Comité de Ética de la Universidad del Cauca. De acuerdo con el tipo de estudio epidemiológico y con base en las directrices internacionales "IPCS" 14, y la bibliografía relativa a epidemiologia moderna 15, y la epidemiología molecular 12, se diseñó y se calculó el tamaño de la muestra óptima para realizar el estudio a través del método de Fleiss16. El método de muestreo realizado fue de tipo no probabilístico de "muestreo por cuotas", para seleccionar dos grupos de comparación, de acuerdo con los criterios de inclusión y exclusión, cada grupo con un número establecido de individuos de manera pareada.
Obtención de las muestras de sangre y prueba de micronúcleos (MN)
Luego de firmado el consentimiento informado, se tomó una muestra de 15 mL de sangre periférica de cada individuo en dos alícuotas: 3 ml en un vacutainer con heparina de sodio (Dickenson), anticoagulante, para la prueba de MNs, y 10 ml en un vacutainer con EDTA para aislar el ADN e identificar los polimorfismos de los genes objeto de estudio. Todas las muestras de sangre fueron codificadas y procesadas inmediatamente, una vez se encontraron en el laboratorio de Toxicología Genética y Citogenética de la Universidad del Cauca.
Se establecieron dos cultivos de sangre periférica por individuo en condiciones estériles 14. Cada cultivo contuvo 0,5 ml de sangre total, 4,5 ml de medio RPMI 1640 (Sigma R8758 USA), suplementado con suero bovino fetal al 10% (Gibco/Invitrogen 15000-144 Brazil), L-Glutamina al 1% (Sigma A 5959, USA) y antibiótico al 1% (Estreptomicina-Penicilina a 100 ^L/ml), de acuerdo a procedimientos ya establecidos. Los linfocitos fueron estimulados con fitohemaglutinina al 2%, (Sigma L8754 USA) y se incubaron a 37 °C por 72 horas en una atmósfera húmeda con CO2 al 5%. A las 44 horas después de iniciados los cultivos se les adicionó 0,2 ml de Citocalasina-B a cada cultivo a una concentración de 6 ug/mL, para inhibir la citocinesis y obtener células binucleadas (primer ciclo de división celular). Las células fueron cosechadas a las 72 horas por centrifugación a 1000 rpm por 5 minutos y tratadas con solución hipotónica de KCl (0.075M) por 3 minutos e inmediatamente fijadas con Carnoy (3 Metanol- 1 Ácido acético), realizando de 2 a 3 preparaciones citogenéticas por individuo. Las preparaciones fueron codificadas (doble ciego) y coloreadas con Giemsa al 10%. Para el registro de micronúcleos, se utilizó un microscopio de luz óptica, se analizaron 2000 células binucleadas por individuo, analizando solo las células binucleadas que tenían bien definida y conservada la membrana celular, teniendo en cuenta los criterios establecidos por Fenech et al. 19. El registro manual se ingresó a una base de datos en medio magnético para realizar el análisis estadístico, siguiendo los criterios establecidos por Fenech et al. 19. El registro de los micronúcleos se realizó con "doble ciego" y con base en las Directrices Internacionales para Estudios de Biomonitoreo de Efecto Genotóxicos en Humanos. El registro se realizó en microscopio óptico a 100X, analizando células binucleadas (Figura 1). El registro se ingresó a una base de datos para su análisis estadístico. Aislamiento de linfocitos, extracción de ADN genómico y genotipificación de los genes del metabolismo glutation-s transferasas (GSTM1 y GSTT1)

Figura 1 Linfocito Binucleado con micronùcleo. La célula binucleada se obtuvo después de cultivar los linfocitos humanos bloqueando la citocinesis con Citocalasina-B
El aislamiento de linfocitos se realizó por el procedimiento de gradiente Ficoll-Histopaque 20, para la extracción del ADN genómico y las células mononucleares de sangre periférica ("PBMC"), lisadas con proteinasa K para su digestión. El ADN genómico fue aislado de las "PBMC" con el kit DNeasy (Qiagen, USA), de acuerdo con las instrucciones del fabricante, y cada muestra de ADN fue almacenado a -20 °C. La genotipificación de los polimorfismos genéticos para los genes objeto de estudio se empleó la técnica de la Reacción de la Polimerasa en Cadena ("PCR") para los genes del metabolismo GSTM1 y GSTT1 21.
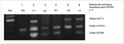
Las condiciones de las "PCR" Multiplex fueron establecidas basadas en reportes anteriores 21. Inicio: 94 °C/5 min. Desnaturalización del ADN: 94 °C/2 min. Alineación de "primers": 59 °C/1 min. Extensión o polimerización de ADN polimerasa: 72 °C/1 min. Extensión final: 72 °C/10 min. Enfriamiento: 4 °C. Las secuencias de "primers" empleadas fueron: GSTM1: F 5' -GAA-CTC-CCT-GAA-AAG-CTA-AAG-C-3' y R 5' -GTT-GGG-CTC-AAA-TAT-ACG-GTG-G-3'. CYP1A1 Control interno: F 5' -GAA-CTG-CCA-CTT-CAG-CTG-TCT-3' y R 5' -CAG-CTG-CAT-TTG-GAA-GTG-CTC-3'. GSTT1: F 5' -TTC-CTT-ACT-GGT-CCT-CAC-ATC-TC-3' y R 5' -TCA-CCG-GAT-CAT-GGC-CAG-CA-3. Posteriormente, las muestras del producto amplificado fueron corridas y analizadas por electroforesis en geles de agarosa. La deleción total o no de los genes GSTT1 y GSTM1 se registró por la presencia o ausencia de una banda de 480pb para el gen GSTT1 y por una banda de 215pb para el gen GSTM1 . La presencia del gen tipo silvestre se detecta porque una vez amplificado y corrido en electroforesis, genera una banda de 215 pb; en el genotipo nulo esta banda no se observa (Figura 2).

Geles de agarosa con el patrón de las bandas luego de la amplificación ("PCR Multiplex") para la identificación de los genotipos para genes del metabolismo GSTM1 y GSTT1 en los individuos de la población objeto de estudio. PM Marcador de Peso Molecular conocido 1000 pb. 1. Banda de amplificación del gen CYP1A1 Control Interno de 312pb, presente en todos los carriles del gel. Individuo con genotipos GSTM1 y GSTT1 nulo, ausencia de bandas. 2 y 6, individuos con genotipos GSTT1 y GSTM1 positivo, bandas de 480 y 215 pb, respectivamente. 3 y 4, individuos con genotipos GSTT1 nulo y GSTM1 positivo banda de 215 pb. 5, individuo con genotipos GSTT1 positivo banda de 480 pb y GSTM1 nulo.
Figura 2 Geles de agarosa con el patrón de bandas que muestra los polimorfismos identificados
Análisis estadístico
Para decidir emplear en el análisis pruebas paramétricas o no paramétricas se evaluó la distribución normal de los datos por la prueba de Kolmogórov-Smirnov. La homogeneidad de varianzas por la prueba de Levene y la independencia de datos por la prueba de Rachas.
Las diferencias para variables cualitativas y la frecuencia de MN entre trabajadores expuestos y referentes no expuestos fueron calculadas empleando la prueba x2-Test y la prueba no paramétrica de Mann-Whitney, respectivamente. La asociación entre el tiempo de exposición a solventes orgánicos y la frecuencia de MN fue evaluada empleando la prueba de Kruskal-Wallis. El equilibro de Hardy-Weinberg fue evaluado para cada polimorfismo, para establecer y comparar la frecuencia de genotipos observados con la frecuencia de genotipos esperados se empleó la prueba de Bondad de ajuste (x2 (]?(O-E)2/E); la asociación entre la edad y la frecuencia de MN en la población total del grupo expuestos y referentes fue evaluada por la prueba de correlación Spearman's; el riesgo relativo (RR) y los intervalos de confianza de 95% (ic 95%) fueron obtenidos del análisis de correlación de regresión de Poisson con el propósito de evaluar la asociación independiente entre la frecuencia de MN y de los polimorfismos de los genes del metabolismo de xenobióticos (GSTM1 GSTT1). El nivel de significancia estadística P<0,05 (α, probabilidad de error Tipo I), nivel de confianza de 95% (1-α) con un poder de >0,8 (β, probabilidad de error Tipo II). El análisis estadístico se realizó con el programa estadístico SPSS versión 13.0 (Statistical Package for the Social Sciences).
RESULTADOS
En la Tabla 1 se muestran las características demográficas de la población objeto de estudio y la frecuencia de MNs. La edad promedio de la población objeto de estudio fue de 38,75 ± 10, entre un rango de 18 a 55 años. No hubo diferencias significativas entre los promedios de edad entre el grupo referente y expuesto (p>0,05). El tiempo promedio de exposición, en años, para los individuos del grupo expuesto fue de 17.7 ± 9,9, en un rango de 5 a 39 años. El solvente orgánico empleado con mayor frecuencia fue el Tiner comercial 0.14, el cual es una mezcla compleja de solventes 4. Importante, el grupo expuesto a los solventes orgánicos presentó un incremento de 1.6 veces, estadísticamente significativo en la frecuencia de MNs, en comparación al grupo referente-no expuesto (Tabla 1). La variable continua del tiempo de exposición fue categorizada en 3 grupos, por rango de tiempo de exposición: a) 5-10 años; b) 11-19 años y c) >20 años de exposición. Por cada uno de los rangos de tiempo de exposición, se determinó el promedio de la frecuencia de MNs. Además, se tomó como valor de referencia frecuencia de MNs del grupo referente (0,87 ± 0.77). Se determinó un incremento significativo de la frecuencia de MNs para cada rango de tiempo de exposición a solventes orgánicos en relación con el grupo referente (Mann- Whitney p<0,0001). Sin embargo, no se encontró un incremento en la frecuencia de MNs entre los rangos de tiempo de exposición (Figura 3).
Tabla 1 Características de la población objeto de estudio y frecuencia de micronúcleos, en el grupo referente (no expuesto) y el grupo expuesto a los solventes orgánicos
| Categoría | No de individuos (%) | Valor p | ||
|---|---|---|---|---|
| Población total objeto de estudio | Grupo referente (no expuesto) | Grupo expuesto | ||
| Número de individuos | 304 | 152 | 152 | |
| Edad (promedio ± DE, años) | 38.75 ± 10 | 38.4 ± 9.9 | 39,1 ± 10.1 | 0.580a |
| Tiempo de exposición (promedio ± DE, años) | 0 | 17.7 ± 9.9 | <0.0001*a | |
| Frecuencia de MN/1000 células binucleadas (media ± E.S.) | 2.26 ± 9.9 | 0.87 ± 0.78 | 1.39 ± 0.92 | <0.0001*a |
a Determinado por la prueba "U" de Mann-Whitney; DE- Desviación Estándar; E.S.: Error estándar; *Diferencia significativa, p<0.05. MN: Micronúcleos; se incluyen datos totales y por grupo de estudio del número de individuos, edad promedio y promedio del tiempo de exposición del grupo expuesto.

Frecuencia basal de micronúcleos (MNs) en 1 000 células binucleadas en el grupo referente (Valor de referencia). Las barras representan la desviación estándar del promedio. Asteriscos indica un incremento estadísticamente significativo de la frecuencia MNs en 1 000 células binucleadas con el tiempo de exposición en comparación al valor de referencia (U de Mann-Whitney, ***p<0.0001).
Figura 3 Diferencias en la frecuencia micronúcleos entre el tiempo de exposición a solventes orgánicos por rangos de tiempo de exposición
A partir de la metodología de PCR Multiplex, se identifiacaron y registraron los diferentes polimorfismos de los genes GSTM1 y GSTT1 para cada invidiuo, y se establecieron las frecuencias genotípicas y alélicas de los genes del metabolismo GSTM1 y GSTT1 en el grupo expuesto y en el grupo referente y en la población total (Tabla 2).
Tabla 2 Distribución de las frecuencias genotípicas y alélicas de los genes del metabolismo GSTM1 y GSTT1, en el grupo referente y en el grupo expuesto a los solventes orgánicos
| Gen | Genotipo | Grupo Referente n = 152 (%) | Grupo Expuesto n = 152 (%) | Población Total = 304 (%) | Frecuencia Alélica | Valor-p* |
|---|---|---|---|---|---|---|
| GSTM1 | Positivo | 107 (70.4) | 99 (65.1) | 206 (67.8) | Positivo 0.47 | 0.326 |
| Nulo | 45 (29.6) | 53 (34.9) | 98 (32.2) | Nulo 0.53 | ||
| GSTT1 | Positivo | 124 (81.6) | 129 (84.9) | 253 (83,2) | Positivo 0.59 | 0.443 |
| Nulo | 28 (18.4) | 23 (15.1) | 51 (16,8) | Nulo 0.41 |
Prueba estadística de Chi-cuadrado (x2). La prueba estadística no es significativa, sugiriendo que no existen diferencias entre frecuencias genotípicas y alélicas de los genes del metabolismo GSTM1 y GSTT1, en el grupo referente y en el grupo expuesto a los solventes orgánicos. Estos resultados sugieren que son grupos comparables con relación a las características genéticas evaluadas en este estudio.
El genotipo registrado con mayor frecuencia en la población fue el GSTT1 positivo con 83,2%. El genotipo registro en la menor frecuencia en la población objeto de estudio fue GSTT1 nulo con 16,8%. En relación con el gen GSTM1, el genotipo registrado con mayor frecuencia fue el GSTM1 positivo, con 67,8% y el registrado con menor frecuencia fue el GSTM1 nulo, con 32,2% (Tabla 2). Importante, las frecuencias alélicas y genotípicas para cada uno de los genes son iguales en los dos grupos de estudio, pues permiten comparar la influencia de estas variables genéticas y la frecuencia de MNs.
Para determinar la asociación de los polimorfismos genéticos, la frecuencia de MNs en linfocitos de sangre periférica y la exposición a solventes orgánicos en los grupos de estudio, se hizo un análisis de regresión de Poisson y otras pruebas concomitantes, como los intervalos de confianza de 95%. Se estableció una diferencia estadísticamente significativa entre la frecuencia de MNs totales entre los dos grupos con un cociente de Riesgo Relativo (RR) de 1,61 (IC 95% 1,29 - 1,99; p<0,0001). Este valor de RR, atribuido solo al factor de exposición a solventes orgánicos, fue el más alto en relación con los otros valores de RR para la combinación entre los factores de riesgo incluidos en el estudio. Este valor indica que el factor exposición a solventes orgánicos, como factor único de riesgo, incrementa en 1,6 veces más el riesgo de presentar un aumento en la frecuencia de MNs en linfocitos de sangre periférica, en los individuos del grupo expuesto a solventes orgánicos (Tabla 3).
La comparación entre la frecuencia de micronúcleos y los genotipos nulo y positivo para GSTM1 y GSTT1 en el grupo expuesto y en el grupo referente no tuvo diferencia estadísticamente significativa. En la Tabla 3 se puede observar que los individuos expuestos, con genotipo nulo para GSTM1 y GSTT1 tienen la misma frecuencia de MNs y RR que los individuos expuestos con genotipo positivo para GSTM1 y GSTT1. Esta misma relación se determinó para los individuos referentes con diferencias en los genotipos de GSTM1 y GSTT1. Estos resultados sugieren que las frecuencias de los polimorfismos de los genes GSTM1 y GSTT1 no están asociadas al incremento en la frecuencia de MNs.
Tabla 3 Asociación de los factores de riesgo genético (genotipo) y factor de exposición a los solventes orgánicos con la frecuencia de micronúcleos
| Genes | Factor genético genotipo | Factor exposición | Frecuencia MN (promedio ± DE) | Frecuencia de Micronúcleos | ||
|---|---|---|---|---|---|---|
| RR† | IC 95% | Valor-p | ||||
| No expuestos | 0.87 ± 0.78 | Referencia | ||||
| Expuestos | 1.39 ± 0.92 | 1.61 | 1.29 - 1.99 | <0.0001* | ||
| GSTM1 | Positivo | No expuestos | 0.90 ± 0.78 | Referencia | ||
| Nulo | No expuestos | 0.80 ± 0.79 | 0.96 | 0.76 - 1.20 | 0.708 | |
| Positivo | Expuestos | 1.41 ± 0.85 | 1.59 | 1.28 - 1.97 | <0.0001* | |
| Nulo | Expuestos | 1.36 ± 1.04 | 1.47 | 1.25 - 1.77 | <0.0001* | |
| GSTT1 | Positivo | No expuestos | 0.90 ± 0.77 | Referencia | ||
| Nulo | No expuestos | 0.71 ± 0.81 | 0.98 | 0.73 - 1.31 | 0.882 | |
| Positivo | Expuestos | 1.37 ± 0.90 | 1.58 | 1.27 - 1.97 | <0.0001* | |
| Nulo | Expuestos | 1.52 ± 0.99 | 1.65 | 1.25 - 1.88 | <0.0001* | |
Análisis de Regresión de "Poisson"; MN- Micronúcleos, DE Desviación Estándar. RR, Riesgo Relativo. IC Intervalo de Confianza; * Diferencia Estadísticamente Significativa, p<0,05.
DISCUSIÓN
El presente estudio epidemiológico molecular evaluó la frecuencia de MNs y la influencia de los polimorfismos en los genes GSTM1 y GSTT1, como biomarcador de riesgo de cáncer en pintores de carros, con respecto al riesgo en individuos referentes. Aquí reportamos un incremento estadísticamente significativo de 1.6 veces en la frecuencia de MNs en los individuos expuestos a solventes orgánicos, con respecto al grupo referente-no expuesto. La frecuencia de MNs es un biomarcador de rotura en los cromosomas (clastogénico) y cambio en el número de cromosomas (aneugénico) en las células. Importante, la frecuencia de MNs en linfocitos de sangre periférica ha sido un biomarcador ampliamente validado para predecir el riesgo de cáncer en individuos 5,6,22. A pesar de que los daños clastogénicos y aneugénicos evaluados por el biomarcador de MNs se determinó en linfocitos de sangre periférica, esta es una variable "proxy" de los daños ocurridos y potencialmente no reparados en múltiples tipos de células en el cuerpo del individuo expuesto 23. Los mecanismos moleculares que conducen al daño cromosómico y a la formación de MNs por solventes orgánicos aún no están específicamente determinados. Sin embargo, se pueden dar por la interacción directa de los metabolitos secundarios con el ADN 24 o por la interacción de estos metabolitos con las enzimas reparadoras o replicadoras del ADN 25.
Durante los últimos 30 años varios estudios han evaluado los daños en el ADN inducidos por los solventes orgánicos, y han reportado tanto resultados negativos 26 como resultados positivos. En otro estudio anterior, se reporta un incremento de 1.,3 veces mayor en la frecuencia de alteraciones cromosómicas (ACs) por otro biomarcador de riesgo de cáncer, en individuos expuestos a solventes orgánicos en comparación a individuos referentes 4. Igualmente, los resultados en el incremento de otros biomarcadores por exposición a uno o varios solventes orgánicos reportan un incremento significativo 27, ACs 28, aductos en el ADN 29, entre otros 30-34, en el grupo expuesto en comparación con el grupo referente. En este estudio se identificó un incremento en MNs en el grupo expuesto con un tiempo de exposición >20 años. Sin embargo, la frecuencia de MNs no incrementó de manera significativa en función del tiempo de exposición (>5 años). Estos resultados sugieren que el riesgo de cáncer por exposición a solventes orgánicos incrementa de manera significativa en todo el grupo de expuestos, pero de manera incrementada después de largos periodos de exposición.
El objetivo de la epidemiología molecular es identificar individuos expuestos ocupacionalmente a carcinógenos y que han heredado un juego de polimorfismos y mutaciones en genes asociados con la susceptibilidad al cáncer y otras enfermedades. Anteriormente, estudios en líneas celulares y bacterias de Harder et ál. 35 y Pariselli et ál. determinaron que los solventes orgánicos puede conducir además a un incremento del daño en el ADN, por inhibición de las enzimas Glutation-S transferasas (GST), encargadas de la detoxificación celular de metabolitos producto del metabolismo de solventes orgánicos. Esta baja capacidad de eliminación de los metabolitos por bloqueo de estas enzimas puede conferirles a las células una vulnerabilidad a la expresión de los efectos genotóxicos que puede conllevar al incremento de la formación de MNs. En este estudio se evaluó si los polimorfismos en los genes GSTM1 y GSTT1, que resultan en la ausencia de estas enzimas, podrían influenciar la frecuencia de MNs en los dos grupos de estudio. Se determinó que, a diferencia de otros estudios 4,36,37, la frecuencia de MNs no incrementa con la ausencia de GSTM1 o GSTT1 en el grupo expuesto o referente. Estas diferencias en los resultados pueden ser atribuidas a otros factores genéticos de confusión, como la mezcla ancestral de estos individuos, basado en un anterior reporte 38. Es importante mencionar que estas diferencias en los resultados no son atribuibles a un bajo poder en la muestra de individuos evaluados. Antes de iniciar el estudio, se calculó la muestra mínima (n=125 individuos por grupo) para identificar la interacción entre los polimorfismos en GSTM1 y GSTT1 y la frecuencia de biomarcadores de riesgo de cáncer basados en previos estudios que reportan la frecuencia de estos polimorfismos en la población caucana 4,39.
En resumen, los resultados de este estudio sugieren que el factor que más influencia el incremento en la frecuencia de micronúcleos es la exposición ocupacional a los solventes orgánicos, como factor de susceptibilidad adquirida, y no los polimorfismos genéticos para los genes GSTM1 y GSTT1. La medición de la frecuencia de daño cromosómico en humanos expuestos a clastógenos ocupacionales y/o ambientales ha sido una prioridad de salud pública a nivel internacional por décadas, y un incremento en los niveles de MNs en grupos de poblaciones es interpretado como evidencia de exposición genotóxica, efectos biológicos tempranos del ADN y riesgo de cáncer 40. Los estudios de evaluación sobre los efectos genotóxicos de los solventes orgánicos constituyen la forma más efectiva de poder hacer prevención temprana del cáncer mediante la toma de decisiones y acciones tendientes a la reducción y eliminación de los riesgos del cáncer en poblaciones ocupacionalmente expuestas. Además, las pruebas cortas para evaluar genotoxicidad, como la prueba de MNs, deben ser empleadas no solo para identificar carcinógenos en el lugar de trabajo, sino también para evitar la introducción de nuevos carcinógenos en el trabajo. Por lo tanto, es prioritario y rentable poder prevenir el riesgo de cáncer con un esfuerzo conjunto de los investigadores, las universidades, el Gobierno, la industria y las administradoras de riesgos laborales, mediante el diseño de estrategias y políticas de educación, de higiene industrial, de promoción y prevención y de monitoreo biológico. La identificación a tiempo de indicadores y poblaciones en mayor riesgo de cáncer puede permitir una efectiva intervención en los trabajadores y en los puestos de trabajo ♠













