Introducción
El quiste broncogénico es una malformación congénita broncopulmonar que ocurre entre la tercera y la séptima semana de gestación, cuando el intestino primitivo se divide en una porción dorsal, que dará origen al esófago, y otra porción ventral, que originará la yema pulmonar y el árbol traqueobronquial 1. Se presenta el caso clínico de un quiste broncogénico de localización singular.
Caso clínico
Se trata de una mujer de 43 años de edad, sin antecedentes médicos de interés, que acudió a urgencias por un dolor epigástrico de dos días de evolución. No refería náuseas, vómitos, fiebre ni cambios en el hábito intestinal.
En el examen físico presentaba abdomen doloroso a la palpación profunda en la región epigástrica, sin defensa ni peritonismo. No se detectaron masas ni visceromegalias. No presentaba ninguna alteración de los exámenes de laboratorio ni elevación de los marcadores tumorales.
En la ecografía se evidenció una formación de aspecto mixto, sólido y quístico, de 32 x 34 mm, de localización posterior al lóbulo hepático izquierdo, sin poderse determinar su dependencia orgánica. Se procedió a tomar una tomografía computadorizada de abdomen y pelvis, con contraste oral e intravenoso, y se observó una lesión hipodensa e hipocaptante que parecía estar localizada en el saco menor, posterior al lóbulo hepático izquierdo, en íntima relación con el segmento II y, también, con la unión esofagogástrica en el contorno de la curvatura menor, con discreta impronta sobre la sombra gástrica. Se trataba de una lesión de 33 x 38 mm, de contornos bien definidos, con densidad homogénea de unos 40 UH y que podría corresponder a una lesión sólida o quística con contenido denso en su interior. No se logró establecer de qué órgano dependía, si se trataba de una neoplasia de la pared gástrica, si era una lesión exofítica del parénquima hepática o si era independiente de ambos órganos.
Con la resonancia magnética se demostró una lesión quística, de 30 x 33 x 36 mm, delimitada por una fina cápsula, con un nivel líquido espeso en su región declive, y que se localizaba en el saco menor, en íntima relación con el borde posterointerno del lóbulo izquierdo del hígado, con la unión esofagogástrica y con la pared medial de la curvatura menor del estómago, donde la relación era más íntima.
Se planteó el diagnóstico diferencial con otras lesiones quísticas, como quistes de duplicación, entéricos, mesoteliales, linfangioma y pseudoquiste no pancreático, entre otros.
Se sometió a la paciente a una endoscopia de vías digestivas altas en la que se encontró esófago, estómago y duodeno de características normales. Se decidió programar una laparotomía exploratoria, en la cual se encontró una tumoración de aspecto quístico de aproximadamente 30 x 35 mm de diámetro, en la curvatura menor del estómago, muy cerca de la unión esofagogástrica, sin estar adherida a otras estructuras, y se procedió a su resección con márgenes libres (figura 1).
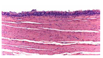
En el estudio anatomopatológico de la masa se encontró un epitelio columnar ciliado, áreas de la pared que correspondían a cartílago, músculo liso, glándulas bronquiales y tejido nervioso (figuras2 y 3). Se trataba de un quiste que contenía un líquido claro acelular.

Figura 2. Superficie de la mucosa gástrica y epitelio ciliado del quiste en el lado opuesto. Hematoxilina y eosina, 20X.

Figura 3 Revestimiento del quiste por un epitelio bronquial de tipo ciliado. Hematoxilina y eosina, 20X.
Con estos hallazgos, se hizo el diagnóstico de quiste broncogénico. La paciente evolucionó de forma satisfactoria durante el posoperatorio y fue dada de alta a los siete días de su ingreso hospitalario, sin complicaciones.
Discusión
En 1911, Blackader describió por primera vez un quiste broncogénico y, Maier, en 1948, reportó la primera resección quirúrgica de una de estas lesiones 2. En el estudio de histopatología, la pared del quiste mostraba elementos bronquiales, músculo liso, tejido elástico, tejido fibroso o cartílago, y su contenido era mixto, de secreciones seromucosas 3.
La mayoría de estas lesiones se diagnostican en la edad pediátrica. En los adultos, el quiste broncogénico es poco frecuente, y se localiza más frecuentemente en el pulmón 4 o el mediastino 5; también, se ha descrito su localización cervical 6. Su hallazgo en la región intraperitoneal y afectando la pared gástrica, es excepcional. Habitualmente, su curso es asintomático, pero se pueden presentar síntomas, como disnea, disfagia, tos y dolor, por compresión de las estructuras adyacentes o por infección 7.
Para el diagnóstico de esta lesión, la resonancia magnética y la tomografía computadorizada resultan imprescindibles, pues permiten establecer su naturaleza quística y su relación con los órganos vecinos. Suscita especial interés el hecho de que el quiste broncogénico sea una entidad infrecuente, de difícil diagnóstico y que puede simular múltiples lesiones benignas o malignas 8.
El tratamiento de estos quistes es su resección quirúrgica, por la sintomatología que pueden producir y por el raro riesgo de transformación maligna a adenocarcinoma o carcinoma de células escamosas 9. Para elegir la vía de abordaje debe tenerse en consideración la extensión del proceso, según las imágenes diagnósticas, y la experiencia del equipo quirúrgico. Con la resección completa de la lesión, se puede comprobar el diagnóstico, descartar o comprobar la proliferación neoplásica y hacer el control definitivo del proceso 10.














