Services on Demand
Journal
Article
Indicators
-
Cited by SciELO -
Access statistics
Related links
-
Cited by Google -
Similars in
SciELO -
Similars in Google
Share
Acta Medica Colombiana
Print version ISSN 0120-2448
Acta Med Colomb vol.47 no.2 Bogotá Apr./June 2022 Epub Jan 07, 2023
https://doi.org/10.36104/amc.2022.2240
Imágenes en medicina interna
Uso de tomografía axial computarizada (TAC) con doble contraste en el diagnóstico de pancreatitis aguda por áscaris
aMédico General Servicio de Urgencias Hospital Universitario San Ignacio; Bogotá, D.C. (Colombia).
bEspecialista de Medicina de Urgencias Hospital Universitario San Ignacio; Bogotá, D.C. (Colombia).
c Residente de Medicina de Urgencias Pontificia Universidad Javeriana. Bogotá, D.C. (Colombia).
Masculino de 35 años de bajo estrato socioeconómico sin otros antecedentes. Ingresó a urgencias por dolor epigástrico súbito de intensidad severa. A la valoración sin alteración de signos vitales, sin signos de irritación peritoneal. Se descartó síndrome coronario agu do y perforación de víscera hueca. Estudios evidenciaron elevación de bilirrubinas, transaminasas, fosfatasa alcalina y en especial de amilasa. Se realizó diagnósti co de pancreatitis aguda (PA) sin evidencia de disfunción multior-gánica. Se completó estudio con ecografía de abdomen superior sin litiasis biliar, con colecciones en ambas goteras parietocólicas. Se indicó realizar una tomografía de abdomen computarizada con do ble contraste (TAC de abdomen) la cual identificó pancreatitis aguda (Figura 1) y defecto de llenado de morfología tubular localizado ha cia la papila duodenal (Figura 2). La endoscopia de vías digestivas altas (EVDA) reveló un único parásito de 25 cm ubicado en la papila duodenal. Tras cubrimiento antibiótico y desparasitación el paciente cursó a la quinta semana de seguimiento con pancreatitis necrotizante amura llada, requirió manejo con necrosectomía y drenaje de colecciones.

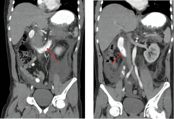
Figura 1 Tomografía de abdomen computarizada con doble contraste corte axial que evidencia pancreatitis aguda edematosa in tersticial (indicador amarillo), forma tubular correspondiente a áscaris (indicador rojo) y liquido peri-pancreático no encapsulado.

Figura 2 Tomografía de abdomen con doble contraste corte coronal que evidencia áscaris en la papila duodenal, segunda y tercera porción del duodeno (indicador rojo).
La PA es una condición inflamatoria usualmente ocasionada por cálculos biliares o consumo excesivo de alcohol. Khuroo et al. ha descrito que 23% de los casos de PA en India son ocasionados por áscaris, asociándolo a malas condiciones de salubridad 1. El diagnóstico es usualmente clínico al encontrar áscaris en las deposicio nes. En ocasiones la ecografía revela signos indirectos como figuras móviles dentro de víscera hueca 2. En este caso excepcional no hubo infestación se trataba de un único parásito, para lo cual la TAC abdominal con doble contraste fue de gran ayuda. La realización temprana de TAC en el servicio de urgencias puede realizar diagnóstico o cambiar conductas de tratamiento en cerca de 15% de casos de PA 3.
References
1. Khuroo MS, Zargar SA, Yattoo GN, Koul P, Khan BA, Dar MY, Alai MS. Ascaris-induced acute pancreatitis. Br J Surg. 1992 Dec;79(12): 1335-8. doi: 10.1002/bjs.1800791231. PMID: 1486433. [ Links ]
2. Khuroo MS, Rather AA, Khuroo NS, Khuroo MS. Hepatobiliary and pancreatic ascariasis. World Journal of Gastroenterology. 2016;22(33):7507-17. [ Links ]
3. Lohse, M. R., Ullah, K., Seda, J., Thode, H. C., Jr, Singer, A. J., & Morley, E. J. The role of emergency department computed tomography in early acute pancreatitis. The American journal of emergency medicine. 2021; 48, 92-95. [ Links ]
Recibido: 28 de Junio de 2021; Aprobado: 19 de Octubre de 2021










text in 


