SciELO - Scientific Electronic Library Online

 
vol.47 issue4Acute arterial thrombosis in SARS-CoV-2 infectionVogt-Koyanagi-Harada disease author indexsubject indexarticles search
Home Pagealphabetic serial listing  

Services on Demand

Journal

Article

Indicators

Related links

  • On index processCited by Google
  • Have no similar articlesSimilars in SciELO
  • On index processSimilars in Google

Share


Acta Medica Colombiana

Print version ISSN 0120-2448

Acta Med Colomb vol.47 no.4 Bogotá Jul./Dec. 2022  Epub May 29, 2023

https://doi.org/10.36104/amc.2022.2371 

Imágenes en medicina interna

Poliquistosis renal: más que los ríñones

JOSÉ SANTIAGO CORTÉS-GUZMÁNa  * 

LUIS FERNANDO DURÁN GUTIÉRREZb 

a Residente de Medicina Interna. Facultad de Salud, Universidad Surcolombiana, Hospital Universitario Hernando Moncaleano Perdomo, Neiva (Colombia).

b Jefe del Servicio de Medicina Interna. Hospital Universitario Hern nando Moncaleano Perdomo. Neiva (Colombia).


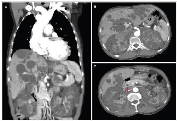
Hombre de 66 años con antecedente de insuficiencia cardiaca (IC), hipertensión arterial y en fermedad renal crónica ingresó al servicio de urgencias con síntomas de IC aguda descompensada. El ecocardiograma transtorácico mostró una insuficiencia aórtica severa. La angiografía coronaria mostró dilatación de la aorta ascendente (43 mm) y de la raíz aórtica. Una tomografía computarizada contrastada mostró múltiples lesiones quísticas > 5 mm en el hígado y los riñones (Figura 1 A y B); había un único quiste en la cabeza del páncreas (Figura 1 C). El paciente tenía niveles normales de enzimas hepáticas y un CA 19-9 elevado. Se diagnosticó una poliquistosis renal autosómica dominante (PQRAD). Se descartaron aneurismas en la circulación cerebral por angiografía. Al paciente se le reemplazó la aorta ascendente y la raíz aórtica y egresó con mejoría de sus síntomas. La PQRAD puede afectar al hígado y al páncreas, y puede estar relacionada con aneurismas en la aorta o las arterias cerebrales 1,2.

Figura 1 Tomografía simple y contrastada de abdomen A. Corte coronal que muestra dilatación de raíz aórtica y aorta ascendente, quistes en hígado y riñones. B. Corte transversal que muestra múltiples lesiones quísticas en parénquima hepático y de ambos riñones. C. Corte transversal que muestra quiste en cabeza de páncreas señalado por flecha roja y múltiples lesiones quísticas en parénquima hepático y renal. 

References

1. Cornec-Le Gall E, Alam A, Perrone RD. Autosomal dominant polycystic kidney disease. Lancet. 2019;393(10174):919-935. doi:10.1016/S0140-6736(18)32782-X [ Links ]

2. Bergmann C, Guay-Woodford LM, Harris PC, Horie S, Peters DJM, Torres VE. Polycystic kidney disease. Nat Rev Dis Prim. 2018;4(1):50. doi:10.1038/s41572-018-0047-y [ Links ]

Recibido: 01 de Noviembre de 2021; Aprobado: 03 de Febrero de 2022

* Correspondencia: Dr. José Santiago Cortés-Guzmán. Neiva (Colombia). E-Mail: jsancg@gmail.com

Creative Commons License This is an open-access article distributed under the terms of the Creative Commons Attribution License