SciELO - Scientific Electronic Library Online

 
vol.28 issue6Phase angle as an indicator of cardiovascular risk in university studentsFactors associated with prolonged hospital stay in patients with acute heart failure author indexsubject indexarticles search
Home Pagealphabetic serial listing  

Services on Demand

Journal

Article

Indicators

Related links

  • On index processCited by Google
  • Have no similar articlesSimilars in SciELO
  • On index processSimilars in Google

Share


Revista Colombiana de Cardiología

Print version ISSN 0120-5633

Rev. Colomb. Cardiol. vol.28 no.6 Bogota Nov./Dec. 2021  Epub Jan 07, 2022

https://doi.org/10.24875/rccar.m21000110 

IMAGEN EN CARDIOLOGÍA

Hendidura miocárdica: alteración estructural o variante de la normalidad

Myocardial cleft: Structural alteration or variant of normality

Manuel J. Fernández-Anguita1  * 

Virgilio Martínez-Mateo1 

1Servicio de Cardiología, Complejo Hospitalario La Mancha Centro, Alcázar de San Juan (Ciudad Real), España


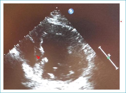
Las hendiduras o criptas miocárdicas pueden presentarse tanto en sujetos sanos como en pacientes con trastornos cardiovasculares. Presentamos el caso de un varón de 61 años, exfumador, que consulta por dolor torácico atípico con test de isquemia no concluyente. Se le realizó una coronariografía que no mostró lesiones en las arterias coronarias. En el ecocardiograma transtorácico se observó una hendidura en el septo inferior basal compatible con hendidura miocárdica (Fig. 1), por lo que se solicitó una resonancia magnética (RM) para completar el estudio. No se observaron alteraciones de la contractilidad en las secuencias de cine-RM ni fibrosis en las secuencias de realce tardío. Se confirma la presencia en la porción basal del septo inferior del diagnóstico de hendidura miocárdica (Fig. 2).

Figura 1 Imagen ecocardiográfica en la que se observa una hendidura digitiforme en el segmento basal del septo inferior (flecha). 

Figura 2 Imagen de resonancia magnética cardiaca en la que se observa, durante la diástole, una hendidura o cripta miocárdica en el segmento basal inferior (flecha), que no sobrepasa el borde epicárdico. 

La identificación de hendiduras miocárdicas se asocia con mutaciones genéticas relacionadas con la miocardiopatía hipertrófica, incluso en ausencia de fenotipo. Se ha postulado que podría deberse a isquemia miocárdica por disfunción microvascular o a disarray miocárdico. Su localización más frecuente es inferoseptal y su interés radica en determinar si su presencia constituye un estadio precoz de la enfermedad.

FinanciamientoLos autores declaran no recibir financiamiento.

Responsabilidades éticas

Protección de personas y animales. Los autores declaran que para esta investigación no se han realizado experimentos en seres humanos ni en animales.

Confidencialidad de los datos. Los autores declaran que han seguido los protocolos de su centro de trabajo sobre la publicación de datos de pacientes.

Derecho a la privacidad y consentimiento informado. Los autores han obtenido el consentimiento informado de los pacientes y/o sujetos referidos en el artículo. Este documento obra en poder del autor de correspondencia.

Recibido: 05 de Febrero de 2019; Aprobado: 21 de Abril de 2021

*Correspondencia: Manuel J. Fernández-Anguita E-mail: manueljosefernandezanguita@gmail.com

Conflicto de intereses

Los autores declaran no tener conflicto de intereses.

Creative Commons License Instituto Nacional de Cardiología Ignacio Chávez. Published by Permanyer. This is an open ccess article under the CC BY-NC-ND license