Introducción
El adenoma paratiroideo ectópico hiperactivo produce secreción autónoma de parathormona originando hipercalcemia e hipercalciuria y representa entre el 1 y el 2 % de todos los casos de hiperparatiroidismo primario. La incidencia de adenoma paratiroideo ectópico en mediastino es entre 1 y 3 % 1,2. La localización pre-operatoria del adenoma paratiroideo ectópico es de vital importancia para tratar de forma exitosa el hiperparatiroidismo primario.
El hiperparatiroidismo primario generalmente es causado por adenomas paratiroi deos en 80 a 85 % de los casos, hiperplasias paratiroidea en 10 a 15 %, adenomas paratiroides múltiples y carcinoma de paratiroides en 2 a 3 %, respectivamente 1,2. Tiene una incidencia en la población general de 1:1 000 y puede ser tres veces más frecuente en mujeres que en hombres, llegando a 21:1 000 en menopáusicas 2. Se presenta un caso de adenoma paratiroideo mediastínico como causa de hiperpara tiroidismo primario.
Resumen del caso
Se trataba de una paciente femenina de 48 años quien consultó por presentar antecedentes de dolor en flanco izquierdo, de leve intensidad y aproximadamente dos años de evolución, acompañado de dolor óseo difuso, cefalea, fatiga excesiva y letargo. La paciente refería múltiples episodios de nefrolitiasis recurrente y meno pausia natural hacia dos años aproximadamente. Negaba el consumo de alcohol, tabaco o drogas recreativas.
El examen sistémico fue normal y no se encontraron tumoraciones ni linfadenopatías en el cuello. La presión arterial fue de 150/90 mm/Hg y frecuencia cardiaca de 90 latidos por minuto. Los análisis de hematología, orina, hormonas tiroideas, funcio nalismo hepático y renal, velocidad de sedimentación globular y nitrógeno ureico en sangre fueron normales. Las concentraciones de calcio sérico fueron 15,1 mg/dL (valor normal: 8,5 - 10,5 mg/dL) fósforo 2,2 mg/dL (2,5 - 4,5 mg/dL), magnesio, 1,6 mg/dL (1,6 - 2,4 mg/dL), vitamina D, 23,2 ng/mL (10 - 60 ng/mL) y ácido úrico sérico, 11 mg/dL.
La excreción urinaria de calcio fue de 312 mg en 24 horas (valor normal 100-300) y fósforo de 507 mg en 24 horas (400 - 1 300), mientras que la excreción de ácido úrico fue normal. Los valores de proteínas séricas también estaban normales con valores de albumina de 4,8 g/dL (3,5 - 5 g/dL). La concentración sérica de parathor mona fue de 13,7 ng/mL (0,5 - 1,5 ng/mL).
En la ecografía tiroidea, tanto el tamaño como el grosor del istmo y ambos lóbulos tiroideos fueron normales, no se observaron hallazgos ecográficos de nódulos o adenomas paratiroideo. La radiografía de tórax fue normal. Una ecografía renal y la pielografía intravenosa renal revelaron cálculos bilaterales pequeños, no obstructivos, con vías urinarias normales.
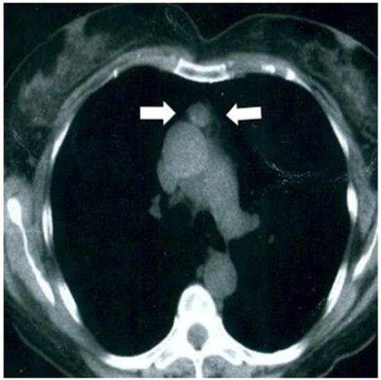
La prueba de densitometría ósea reveló osteopenia en columna lumbar y cuello fe moral (puntaje de T de 1,4 y 1,8, respectivamente), por lo que se realizó el diagnóstico de hiperparatiroidismo primario y se llevó a cabo una investigación adicional para localizar el adenoma. Una gammagrafía con tecnecio-99m sestamibi demostró área de acumulación que indicaba tejido paratiroideo ectópico en el mediastino anterior a nivel del arco aórtico (Figura 1). La tomografía computarizada no mostró anomalías en cuello, pero en mediastino anterior se observó tumoración de 6 x 3 centímetros ubicada en el polo superior de timo (Figura 2), por lo que fue entonces programada para abordaje quirúrgico.

Figura 1 Gammagrafía con tecnecio-99m sestamibi. Las flechas señalan el área de acumulación que indicaba tejido paratiroideo ectópico

Figura 2 Imagen de tomografía computada de tórax. Las flechas señalan la tumoración en mediastino anterior
Se realizó la cirugía de esternotomía media completa procediendo a disecar la grasa pericárdica y mediastínica, se identificaron y disecaron cuernos de timo inferior, acom pañado de ligadura y sección de la vena tímica. Los nervios frénicos fueron identificados y separados en ambos lados. Los cuernos del timo superior fueron separados y ex traídos del tejido adiposo que los rodeaba, observado un tumor ubicado en la parte posterior del timo superior. Se realizó timectomía incorporando la lesión mediastínica.
La histopatología del tumor presentaba proliferación tumoral sustancial de células uniformes con núcleos ovalados, cromatina nuclear abundante citoplasma claro y ligeramente eosinofílico, dispuestas en islas con vasos sanguíneos sinusoidales alrededor dentro de cápsula fibrosa delgada y tejido adiposo externo a esta (Figura 3). No se observaron signos de malignidad. Todas estas características eran compatibles con adenoma paratiroideo dentro de timo involucionado.

Figura 3 Microfotografía de corte del adenoma paratiroideo. Se observan células uniformes con núcleos ovalados, cromatina nuclear abundante citoplasma claro y ligeramente eosinofílico envueltas en una capa fibrosa. Coloración hematoxilina-eosina. A. 10X y B. 60X.
Durante el postoperatorio mediato la paciente mostró algunos síntomas de hipocal cemia transitoria, siendo tratada con reemplazo de calcio oral y alfacalcidiol hasta la normalización de los valores de parathormona. Luego de este periodo, y al eliminar el adenoma paratiroideo como fuente de producción ectópica de parathormona, la pa ciente ha permanecido asintomática, con glándulas paratiroideas funcionales nor males y concentraciones de calcio - fósforo normales con valores de parathormona de 1,2 ng/mL a las seis semanas y de 0,5 ng/mL (valor normal - bajo) seis meses después de la cirugía y luego de descontinuar el tratamiento médico previamente descrito.
Discusión
Las glándulas paratiroides (cuatro de ellas en el 83 % de la población general) se localizan en la región anterior de cuello, en el lado posterior de la glándula tiroides. Son de color amarillo-blanco, ovoides y hasta 20 % de la población puede tener glándulas en localizaciones ectópicas 3. Estas glándulas derivan del endodermo entre la quinta y sexta semana de gestación. Las paratiroides superiores surgen de la cuarta bolsa branquial, mientras que las inferiores de la zona dorsal de la tercera bolsa branquial. Posteriormente, migran a su destino final en la octava semana de gestación. Las inferiores se ubican en el área en la cual la arteria tiroidea inferior ingresa al parénquima y las superiores en el tejido adiposo de la parte posterior del polo superior de la tiroides, cerca del área donde el nervio recurrente entra en la laringe 4.
Dado que la migración es extremadamente variable, es fácil comprender la posibi lidad de ectopia glandular o glándulas supernumerarias. Las paratiroides inferiores pueden migrar al mediastino anterior, por su íntima relación con el timo, mientras que las superiores pueden migrar al mediastino posterior que está estrechamente conectado al origen esofágico 4.
La mayoría de los adenomas paratiroideos están localizados en la región del cuello y en el mediastino. En particular, 11 a 25 % de los adenomas paratiroideos están localizados dentro del mediastino, de los cuales alrededor del 2 % son difíciles de extirpar utilizando el abordaje cervical. Además, los adenomas paratiroideos me diastínicos suelen ser pequeños y producen hiperparatiroidismo primario en forma poco frecuente, por lo tanto, la localización precisa es esencial 5.
Asimismo, es uno de los motivos de re-intervención, ya que la glándula ectópica puede estar presente hasta en 75 % de los casos de hiperparatiroidismo primario persistente o recurrente 6. Los sitios ectópicos más comunes son espacio traqueo-esofágico, vaina carotidea, área intra-tiroidea y para-esofágica. La relación observada con la pre sencia dentro del timo es que ambas estructuras comparten un origen embriológico similar. El abordaje mediastínico en pacientes previamente operados por hiperparati roidismo primario puede llegar hasta el 15 % de los casos 7.
Las glándulas paratiroides participan en la regulación de las concentraciones de calcio al producir la paratohormona como respuesta a la hipocalcemia. El hiperpa ratiroidismo se define como la secreción excesiva de paratohormona que resulta en hipercalcemia e hipofosfatemia. La mayoría de los pacientes con hiperparatiroi dismo primario son asintomáticos. Aquellos sintomáticos pueden tener síntomas del sistema esquelético, urinarios y gastrointestinales. Las manifestaciones clínicas aparecen asociadas a la hipercalcemia: nefrolitiasis, dolor óseo, calambres muscu lares, pancreatitis, depresión, ansiedad y fatiga. Esta también puede ser causada por cáncer metastásico, mieloma múltiple, sarcoidosis y otras enfermedades granulo matosas, ingestión de calcio o vitamina D y otras enfermedades más raras 3.
El deterioro reversible del funcionalismo renal puede provocar hipertensión, urolitiasis, polidipsia y poliuria, presentes en 15 a 20 % de los pacientes 8. La hipertensión arterial puede ser secundaria a hiperparatiroidismo. No obstante la extirpación del tejido paratiroideo hiperfuncional no siempre conduce a normalización de la presión ar terial 9.
No existe un estudio de imágenes con 100 % de sensibilidad y especificidad para iden tificar un adenoma paratiroideo ectópico, por lo que se debe utilizar la combinación de pruebas funcionales y estructurales 10. Las modalidades diagnósticas incluyen tomografía computarizada, resonancia magnética, radioisótopos que utilizan isoni trato de 99m-tecnecio-metoxibuyilo y exploración con tecnecio-99m sestamibi de doble fase 11,12.
El ultrasonido no es útil en la localización ectópica preoperatoria de la lesión. El uso de la medicina nuclear aumenta la sensibilidad del diagnóstico cerca del 90 %. Los resultados falsos positivos en la gammagrafía son causados por el depósito del marcador dentro de un vaso de gran calibre 3. La localización preoperatoria exitosa de las glándulas ectópicas es más probable cuando se realiza la citología de aspi ración con aguja fina de una lesión sospechosa y se mide la hormona paratiroidea en el material aspirado. Reportes previos informan de la utilidad de la extracción de la vena longitudinal y el monitoreo de las concentraciones séricas de parathormona intraoperatorios 11.
La primera paratiroidectomía exitosa se describió en 1929. En la actualidad el ade noma paratiroideo mediastínico requiere un abordaje quirúrgico específico y aún controvertido. No obstante, tiene una tasa de éxito mayor del 95% para la curación del hiperparatiroidismo primario 6. Generalmente, la cirugía es bien tolerada y fun damental para lograr resolución a largo plazo y debe realizarse a todos los pacientes sintomáticos. Las opciones quirúrgicas que pueden considerarse para la extirpación de las glándulas paratiroides ectópicas mediastínicas incluyen: cervicotomía ante rior inferior, cervicotomía con esternotomía parcial superior, esternotomía parcial, esternotomía total, toracotomía antero-lateral, toracoscopia, cirugía torácica asistida por video, toracoscopia y ablación angiográfica 13,14,15.
No obstante, el uso del abordaje toracoscópico es controversial debido a que en oca siones no se logra visualización adecuada de la glándula ectópica en el mediastino, en especial cuando está cerca del diafragma.
Conclusión
El hiperparatiroidismo primario es una enfermedad que produce manifestaciones clínicas graves. Los adenomas paratiroideos ectópicos con localización mediastínica son raros, pero pueden causar persistencia o recurrencia. Estos tumores son secun darios a la migración de las glándulas paratiroides al mediastino. La combinación de pruebas diagnósticas funcionales y estructurales es indispensable para la locali zación preoperatoria de tumores paratiroideos ectópicos con secreción excesiva de paratohormona. La exploración quirúrgica del mediastino es obligatoria para eliminar estas lesiones.













