Services on Demand
Journal
Article
Indicators
-
Cited by SciELO -
Access statistics
Related links
-
Cited by Google -
Similars in
SciELO -
Similars in Google
Share
Revista colombiana de Gastroenterología
Print version ISSN 0120-9957
Rev Col Gastroenterol vol.28 no.1 Bogotá Jan./Mar. 2013
Acute hepatic failure due to autoimmune hepatitis in a patient treated for hepatitis
Simón Correa Gaviria MD. (1), Yeinis Paola Espinoza Herrera MD. (2), Germán Osorio Sandoval MD. (3), Juan Carlos Restrepo Gutiérrez MD. (4)
(1) Medical student at the University of Antioquia, Member of the Gastro-hepatology Group at the University of Antioquia
(2) Medical Surgeon at the Universidad de Antioquia, Member of the Gastro-hepatology Group at the University of Antioquia
(3) Medical Surgeon and Pathologist, Member of the Gastro-hepatology Group at the University of Antioquia, Professor in the Medicine Faculty at the Universidad de Antioquia
(4) General Practitioner, Internist, Clinical Hepatology and Liver Transplant Specialist, Master's degree in Organ and Tissue Transplantation, Doctorate in Hepatology, Member of the Gastro-hepatology Group at the University of Antioquia
Received: 05-09-12 Accepted: 31-01-13
Abstract
We describe the case of a woman with chronic hepatitis C which had been diagnosed by biochemical, serological and histological criteria. She presented acute autoimmune hepatitis and acute liver failure a year after starting treatment with pegylated interferon and required orthotopic liver transplantation.
Key words
Hepatitis C, autoimmune hepatitis, liver failure, liver transplantation, interferon therapy.
INTRODUCTION
The hepatitis C virus (HCV) is a 9,600 nucleotide sin- gle-stranded linear ribonucleic acid (RNA) virus which belongs to the genus Hepacivirus of the Flaviviridae family. This virus codes for a polyprotein that is processed by cellular and viral proteases to yield four structural proteins and six nonstructural proteins (1-3). HCV's primary transmission route is percutaneous: blood transfusions and the reuse of needles and syringes are the most common risk factors (3-6). HCV reaches the liver by hematogenous spreading, and hepatocytes are its primary targets. Viral replication is so intense that it is estimated that more than ten trillion viral particles are produced daily even in chronic cases of this disease (3). However, like other hepatitis viruses, HCV is not cytopathic. Consequently injury to the liver occurs through a secondary mechanism characterized by destruction of infected cells which is mediated by humoral and cellular immune factors (2, 5, 7).
Chronic hepatitis is the most important presentation of HCV infection. It develops in up to 85% of cases and of this percentage about 20% develop liver cirrhosis (LC) which in turn entails an annual risk of 1% to 4% of developing hepatocellular carcinoma (Figure 1) (4, 5, 8-9). This fact combined with an estimated worldwide incidence of infection of between 2.2% and 3.0% of the world's population, in other words of between 130 million and 210 million people, makes this a global concern (10). However, the determination of the true incidence of infection HCV is difficult since most acute infections are asymptomatic. Available tests do not distinguish between acute, chronic, and resolved infections, and most countries do not collect information on emerging cases (5-6).
HCV infections are diagnosed through the detection of anti-HCV antibodies and viral genomes. Although detection of total antibodies by enzyme immunoassay (ELISA) is the diagnostic test of choice (2-4), false negatives can occur in immunocompromised patients suffering from renal failure or cryoglobulinemia associated with HCV (3). Since the presence of anti-HCV antibodies does not indicate whether an infection is active or resolved, testing for the viral genome in serum or plasma samples is necessary (3).
The objective of HCV treatment is to obtain sustained viral response (SVR) which is defined as the reduction of HCV RNA to at least 50 IU/mL at 24 weeks after antiviral treatment has ended (6, 11). The drugs of choice are pegylated interferon (PEG-IFN) and ribavirin which achieve sustained viral response in up to 55% of cases. SVR is achieved in more than 50% of cases for most virus genotypes and in more than 80% in cases with genotypes 2 and 3 (5, 6, 12). The introduction of triple therapy which includes PEGIFN and ribavirin plus an inhibitor of HCV protease such as telaprevir and boceprevir has increased the SVR rate by at least 20% to 25% among those infected with HCV genotype 1 who have not received prior treatment. The SVR rate increases to 40% among those who have not responded to conventional treatment with PEG-IFN and ribavirin (13). IFN-PEG is a drug which binds to specific receptors on the cell membrane thereby inducing synthesis of proteins which act as antiviral, antiproliferative and immunomodulatory agents (14). There are many adverse effects associated with IFN-PEG which occur in over 10% of patients. They include anemia, leukopenia and thrombocytopenia secondary to bone marrow suppression, depression, fatigue, irritability, weight loss, sleep disturbances, decreased appetite, fever, myalgia, headaches, nausea, vomiting and diarrhea (14). The onset, exacerbation or de novo expression of autoimmune diseases has been reported in 4% to 19% of patients treated with PEG-IFN and ribavirin. The most common are thyroiditis and autoimmune hepatitis (AIH), but type 1 diabetes mellitus, hemolytic anemia, psoriasis, rheumatoid arthritis, systemic lupus erythemato-sus, primary biliary cirrhosis and sarcoidosis have all been reported (15, 16). The presence of some form of autoimmune disease is an absolute contraindication to treatment with IFNPEG and ribavirin (4, 6, 14).
AIH is a chronic, progressive disease of unknown etiology whose pathogenesis is attributed to an immune reaction against hepatocellular autoantigens (17-18). It is predominantly periportal and irreversible and is often characterized by circulating antibodies and hypergammaglobulinemia which can cause hepatocellular necrosis, fibrosis or cirrhosis (17, 19, 20, 21). Although AIH's etiology is not yet known, it is suspected that environmental agents trigger immune responses against antigens in genetically predisposed individuals. This causes chronic and progressive inflammation of liver followed by necrosis and fibrosis (20-22). Molecular mimicry and cross-reactivity between viral epitopes and specific liver antigens could be the cause of AIH's association with other viral diseases such as measles, herpes, hepatitis A and B, cytomegalovirus and Epstein-Barr virus (21-23). Antigenic similarity with hepatitis C virus has also been described (21).
In most cases the clinical presentation of AIH does not differ from other forms of chronic hepatitis (24). However, AIH is acute in more than 25% of presents as acute liver failure in 5% of cases (25, 26).
Keeping in mind that acute liver failure is the major determinant in the prognosis of AIH, and that acute liver failure has a mortality rate of 13% to 33% depending on the severity of the presentation and access to a liver transplantation service (27, 28), we present the case of a patient in our Department of Hepatology who initially presented AIH as acute liver failure after more than a year of treatment with PEG-IFN and ribavirin for chronic HCV infection.
CASE REPORT
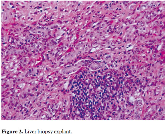
In August 2006 a 36 year old woman who is an industrial engineer, mother of two children and housewife was admitted to the emergency room after onset of disorientation, dysarthria and lack of motor coordination. She had been treated for chronic HCV infection for almost one year at another health facility. Her biochemical, serological and histological tests from that facility confirmed the diagnosis of chronic HCV infection. Her viral load was negative after twelve weeks of antiviral treatment with PEG-IFN and ribavirin. When admitted to our emergency room she had completed thirty-one weeks of treatment with these drugs. The patient had no other significant medical history. She was negative for blood transfusions, alcohol intake, hepatotoxic drugs, psychoactive substances and exposure to environmental toxins. Her family history showed two sisters with systemic lupus erythematosus while her father had unclassified arthritis. Physical examination showed drow-siness, jaundice, Hippocratic facies, a smooth tongue, globose abdomen, and grade I edema in lower extremities but no ascites. Laboratory tests showed aspartate aminotransferase level of 262 U/L (NV = <25), alanine aminotransferase level of 226 U/L (NV <29), alkaline phosphatase level of 221 U/L (NV = 65-95), prothrombin time (PT) of 34 seconds (NV = 11.5-13.5). Blood tests were negative hepatotropic and non-exclusive hepatotropic virus infections and for antinuclear antibodies (ANA). Blood tests were positive for anti smooth muscle antibodies (ASMA) with titers of 1:160. We defined the patient's clinical picture as acute hepatitis with an autoimmune etiology and consequently began to manage hepatic encephalopathy with lactulose. However, the patient did not improve with this treatment. Instead, her health progressively deteriorated. The next day an orthotopic liver transplant (OLT) was performed. A biopsy of the liver explant showed extensive coagulation necrosis, mononuclear inflammatory infiltrate and interface activity (See Figure 2).
The patient presented multiple postoperative complications including hypertensive crisis, severe hypocalcemia and acute anemia secondary to a giant subhepatic hematoma formation. For this latter complication an exploratory laparotomy was done. Four days after the procedure the patient showed acute cellular rejection, but this improved after adjustment of immunosuppression. From that point on the patient evolved satisfactorily, and twelve days later she was discharged on prescribed oral immunosuppression therapy. Currently the patient attends regular checkups at our institution and is free of HCV and AIH.
DISCUSSION
The diagnosis of AIH is defined by a scoring system proposed in 1999 by the International Autoimmune HepatitisGroup (Table 1). Scoring variables include biochemical, histological and serological markers (29). Using this system the patient had a score indicating a probably diagnosis of type I AIH because she test positive for antinuclear antibodies (ANAs) and anti-smooth muscle antibodies (ASMAs). Considering that this patient's diagnosis of chronic HCV infection was determined biochemical, serological and histological criteria, but that the hepatotropic virus blood test taken upon admittance to our emergency room was negative for HCV, we confirmed that this was a case of liver failure of an autoimmune etiology in a patient with a previous diagnosis of chronic HCV infection.
AMA, anti-mitochondrial antibodies; ANA antinuclear antibodies, anti-LC1, antibodies against liver cytosol type 1. antiLKM1, antibodies against liver / kidney type 1 anti-SLA/LP, antibodies against soluble liver antigen/liver-pancreas; ratio FA/FA or AST/ALT ratio of serum alkaline phosphatase and serum transaminase (or alanine aminotransferase), HLA, human leukocyte antigen, IgG, serum immunoglobulin G; pANCA, perinuclear anti-neutrophil cytoplasmic antibodies; SMA, smooth muscle antibody.
Acute hepatic failure due to autoimmune hepatitis in a patient treated for hepatitis 65
In 2004 Lorke et al. published a case report of a patient who had developed AIH after nine months of treatment with PEG-IFN for chronic HCV infection. They suspected the onset of AIH due to transaminase levels as high as 429 U/L, with a decreasing HCV viral load. Elsewhere Yasui et al. reported (30) the case of a 38 year old patient who not only presented fulminant hepatic failure due to AIH during treatment for chronic hepatitis C with PEG-IFN and ribavirin, but also Hashimoto thyroiditis at 20 weeks after start of treatment. Here the elevated ALT, jaundice and prolonged PT were also key factors leading to suspicion of an AIH diagnosis (31). A patient in a case reported by Petropoulou et al. presented AIH after two years of treatment with PEGIFN and ribavirin (32).
The most widely accepted hypothesis explaining the occurrence of autoimmune disease in patients with chronic HCV infections is molecular mimicry between virus proteins and some autoantigens. The IFN not only eliminates the virus from hepatocytes, but through an adaptive immune response toward type 1 T helper cells optimizes and accelerates the recognition of autoantigens which may increase the risk of autoimmune disease (16, 33). The family history of systemic lupus erythematosus in the patient's two sisters and the patient's father's unclassified arthritis suggest that our patient had some genetic predisposition to autoimmunity. Hence, our recommendation for patients with this type of medical history is long-term follow up of not only HCV viral load but also of any evidence of autoimmunity even after sustained viral response has been obtained (16, 32). Furthermore, high levels of transaminase in the absence of recent use of hepatotoxic drugs and high levels of autoantibodies should suggest AIH induced by IFN-PEG (31-32).
Finally, a study by Lorke et al. describes that after starting treatment with prednisolone and azathioprine TGP levels decreased to nearly normal, but levels of HCV RNA increased (30). The patient reported by Petropoulou et al. also responded to immunosuppression with established steroids and azathioprine. The patient reported by Yasui et al. underwent liver transplantation as did our patient, although in both cases IFN had been discontinued and replaced with treatment with steroids and azathioprine. At diagnosis both of these patients had acute liver failure (31).
1. Major M, Feinstone S. The molecular virology of hepatitis C. Hepatology 1997; 25: 1527-1538. [ Links ]
2. McHutchison J. Understanding Hepatitis C. Am J Manag Care 2004; 10: S21-S29 [ Links ]
3. Navas M, Restrepo J. Virus de las hepatitis. En: Enfermedades infecciosas, 6ta Ed. Medellín, Colombia: CIB; 2003. p. 473-486. [ Links ]
4. Wong T, Lee S. Hepatitis C: a review for primary care physicians. Canadian Medical Association Journal 2006; 174(5): 649-659. [ Links ]
5. McHutchison J, Bacon B. Chronic hepatitis C: an age wave of disease burden. Am J Manag Care 2005; 11: S286-S295. [ Links ]
6. EASL Clinical Practice Guidelines: Management of hepatitis C virus infection. Journal of Hepatology 2011; 55: 245-264. [ Links ]
7. Hoofnagle J. Course and outcomes of hepatitis C. Hepatology 2002; 36: S21-S29. [ Links ]
8. Di Bisceglie A. Natural history of hepatitis C: its impact on clinical management. Hepatology 2000; 31: 1014-1018. [ Links ]
9. Seeff LB. Natural history of chronic hepatitis C. Hepatology 2002; 36: S35-S46. [ Links ]
10. Chevaliez S, Pawlotsky J. Diagnosis and management of chronic viral hepatitis: antigens, antibodies and viral genomes. Best Pract Res Clin Gastroenterol 2008; 22:1031-1048, [ Links ]
11. Ghany M, Strader D, Thomas D, Seeff L. Diagnosis, management, and treatment of hepatitis C: an update. Hepatology 2009; 49: 1335-1374. [ Links ]
12. McHutchison J, Manns M, Patel K, Poynard T, Lindsay K, Trepo C, et al. Adherence to combination therapy enhances sustained response in genotype-1-infected patients with chronic hepatitis C. Gastroenterology 2002; 123: 1061-1069. [ Links ]
13. Ramachandran P, Fraser A, Agarwal K, Austin A, Brown A, Foster G, et al. UK consensus guidelines for the use of the protease inhibitors boceprevir and telaprevir in genotype 1 chronic hepatitis C infected patients. Aliment Pharmacol Ther 2012; 35(6): 647-662. [ Links ]
14. Del Río A. Tratamiento con interferón en las hepatitis crónicas. Med Clin (Barc) 1994; 103: 498-504. [ Links ]
15. García L, García C, Rodriguez S, Borque M, García A, Iglesias R, et al. Latent autoimmune hepatitis triggered during interferon therapy in patients with chronic hepatitis C. Gastroenterology 1995; 108: 1770-1777. [ Links ]
16. Guru V, Ahmad I, Israel J. Concurrent Autoimmune Hepatitis and Grave's Disease in Hepatitis C during Pegylated Interferon α-2a and Ribavirin Therapy. The Saudi Journal of Gastroenterology 2011; 17 (5): 348-352. [ Links ]
17. Muñoz L, Gaytám J. Hepatitis Autoinmunitaria: Presentación Clínica y Evolución. En: Muñoz L. Hepatología. 1 ed. Ciudad de México: McGraw-Hill; 2007. p. 223-233. [ Links ]
18. Muratori L, Muratori P, Granito A, Pappas G, Cassani F, Renzi M. Current topics in autoinmune hepatitis. Dig Liver Dis 2010; 42(11): 757-764. [ Links ]
19. Zeman MV, Hirschfield GM. Autoantibodies and liver disease: uses and abuses. Can J Gastroenterol 2010; 24(4): 225-231. [ Links ]
20. Ukomadu, C. Chronic Nonviral Hepatitis. En: Current Diagnosis and Treatment: Gastroenteroloy, Hepatology and Endoscopy. 1ed. EE.UU: McGraw-Hill; 2009. p. 444-448. [ Links ]
21. Orts J, Zúñiga A, Alarcón I. Hepatitis autoinmune. An Med Interna (Madrid) 2004; 21(7): 340-354. [ Links ]
22. Krawitt E. Autoimmune Hepatitis. N Engl J Med 2006; 354: 54-66. [ Links ]
23. Strassburg C. Autoimmune hepatitis. Best Pract Res Clin Gastroenterol 2010; 24(5): 667-682. [ Links ]
24. Krawitt EL. Autoimmune hepatitis. N Engl J Med 1996; 334: 897-903. [ Links ]
25. Nikias G, Batts K, Czaja A. The nature and prognostic implications of autoimmune hepatitis with acute presentation. J Hepatol 1994; 21: 866-871. [ Links ]
26. Lee W, Squires R, Nyberg S, Doo E, Hoofnagle J. Acute liver failure: Summary of a workshop. Hepatology 2008; 47: 1401-1415. [ Links ]
27. Escorsell A, Mas A, De la Mata M. Acute Liver Failure in Spain: Analysis of 267 Cases. Liver transplantation 2007; 13: 1389-1395. [ Links ]
28. Cháves N, Barrientos T, Guerrero C, Santiago J, Méndez N, Uribe M. Increased mortality from acute liver failure in Mexico. Annals of Hepatology 2012; 11(2): 257-262. [ Links ]
29. Álvarez F, Berg P, Bianchi F, Bianchi L, Burroughs A, Cancado E, et al. International Autoimmune Hepatitis Group Report: review of criteria for diagnosis of autoimmune hepatitis. J Hepatol 1999; 31: 929-938. [ Links ]
30. Lörke J, Erhardt A, Häussinger D. Induction of autoimmune hepatitis by pegylated interferon alfa-2b in chronic hepatitis C. Clin Gastroenterol Hepatol 2004; 2: A20. [ Links ]
31. Yasui S, Fujiwara K, Yokosuka O. Autoimmune fulminant hepatic failure in chronic hepatitis C during Peg-interferon-alpha 2b plus ribavirin treatment showing histological heterogeneity. Dig Liver Dis 2011; 43(8): 666-7. [ Links ]
32. Petropoulou K, Dourakis S, Delladetsima J, Archimandritis A. Autoimmune hepatitis, 2 years after successful peg-interferon-alpha 2b plus ribavirin treatment in a patient with chronic hepatitis C. Annals of Gastroenterology 2010; 23(2): 142-145. [ Links ]
33. Conrad B. Potential Mechanisms of Interferon-α Induced Autoimmunity. Autoimmunity 2003; 36 (8): 519-523. [ Links ]
34. Lauer G, Walker B. Hepatitis C virus infection. N Engl J Med 2001; 345(1): 41-52. [ Links ]










text in 




