Services on Demand
Journal
Article
Indicators
-
Cited by SciELO -
Access statistics
Related links
-
Cited by Google -
Similars in
SciELO -
Similars in Google
Share
Revista colombiana de Gastroenterología
Print version ISSN 0120-9957On-line version ISSN 2500-7440
Rev. colomb. Gastroenterol. vol.38 no.1 Bogotá Jan./Mar. 2023 Epub June 07, 2023
https://doi.org/10.22516/25007440.895
Reporte de caso
Hernia paraduodenal congénita: reporte de un caso
1General Surgeon, Antioquia Cancer Center, Clínica CES. Medellín, Colombia
2Medical Student, Universidad CES. Medellín, Colombia
La hernia paraduodenal es una anomalía congénita poco frecuente que surge de una alteración en la rotación del intestino medio durante la embriogénesis. En consecuencia, el intestino delgado queda atrapado en un saco del mesenterio colónico posterior. Dicha entidad puede comprometer la viabilidad del segmento intestinal y la vida del paciente. Su diagnóstico es difícil, pocas veces sospechado y muchas veces confundido con otras causas de dolor abdominal. Presentamos el caso de un paciente de 29 años con una hernia paraduodenal documentada durante la cirugía, su corrección y seguimiento, en el cual no se documentaron complicaciones.
Palabras clave: Hernia abdominal; intestino delgado; abdomen agudo; procedimientos quirúrgicos
Paraduodenal hernia is a rare congenital anomaly that arises from an alteration in the midgut rotation during embryogenesis. Consequently, the small intestine becomes trapped in a sac of the posterior mesentery of the colon. This entity can compromise the intestinal segment’s viability and the patient’s life. Its diagnosis is difficult, rarely suspected, and often confused with other causes of abdominal pain. We present the case of a 29-year-old male patient with a documented paraduodenal hernia during surgery, its correction, and follow-up, in which no complications were reported.
Keywords: Abdominal hernia; small intestine; acute abdomen; surgical procedures
Introducción
La hernia paraduodenal (HP) es una alteración que hace parte de las hernias congénitas. Es una entidad poco frecuente, generalmente diagnosticada durante una cirugía1.
Existen múltiples tipos de hernias internas congénitas, en orden de frecuencia de presentación se encuentran las HP, pericecales, del foramen de Winslow, transmesentéricas, perivesicales y omentales1. Las hernias internas causan el 1% de las obstrucciones intestinales y, dentro de estas, la HP aporta el 53% y es más frecuente en hombres que en mujeres, con una incidencia 3 a 1.
A pesar de su naturaleza congénita, las complicaciones que llevan a su diagnóstico se presentan entre la tercera y cuarta décadas de la vida2. El riesgo de desarrollar una obstrucción o perforación intestinal es del 50% durante toda la vida con una mortalidad del 20% al 50%3-5. Las HP pueden ser izquierdas (75%) o derechas (25%) y ocurren debido a alteraciones en la rotación del intestino o a mala fusión de los pliegues mesentéricos durante la embriogénesis1,3.
Presentación del caso
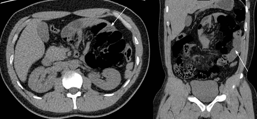
Se trata de un paciente masculino de 29 años, sin antecedentes médicos ni quirúrgicos. Ingresó al servicio de urgencias por un cuadro clínico de 24 horas de evolución consistente en dolor abdominal de inicio súbito, tipo cólico, localizado en el mesogastrio y el flanco izquierdo, acompañado de distensión abdominal y emesis, irradiado a la región paravertebral izquierda y a la fosa ilíaca izquierda. En el examen físico se documentó taquicardia sinusal, abdomen distendido y dolor a la palpación profunda acentuada en el hemiabdomen izquierdo, sin signos de irritación peritoneal. Los paraclínicos evidenciaron leucocitosis (15 000 cél/μL), neutrofilia (12 750 cél/μL), proteína C-reactiva elevada (16 mg/dL). Inicialmente, se sospechó una urolitiasis con efecto obstructivo, por lo que se realizó una urografía por tomografía (uroTAC) simple, que evidenció un conglomerado de asas intestinales ubicadas hacia el hemiabdomen izquierdo con edema intestinal difuso y escaso líquido entre las asas (Figura 1).

Figura 1 UroTAC en la que se observa un corte axial y coronal, respectivamente. Las flechas señalan el conglomerado de asas intestinales en el hemiabdomen izquierdo. Fuente: archivo de los autores.
Solicitaron valoración por nuestro grupo de cirugía general. Al momento de la valoración, encontramos al paciente con signos de irritación peritoneal, por lo que se programó de manera inmediata para cirugía. Inicialmente se realizó un abordaje laparoscópico en el que se observó una gran distensión de las asas intestinales, por lo que se decidió convertir a cirugía abierta. Realizamos una laparotomía mediana supra- e infraumbilical. Al explorar la cavidad abdominal, se detectó una HP izquierda que contenía 2 metros de intestino delgado proximal dentro del saco herniario, dilatación proximal al sitio de la obstrucción y al hiato de entrada al saco con isquemia de todo el segmento de intestino comprometido. Se procedió a seccionar la cápsula de tejido fibrótico peritoneal y se redujo el contenido, con lo que logramos el restablecimiento del flujo arterial y recuperamos la viabilidad del segmento comprometido. Posteriormente se resecó por completo la cápsula y el saco herniario, y finalmente verificamos que no quedara ningún hiato en la cavidad abdominal para evitar el riesgo de recidiva (Figuras 2, 3 y 4). El paciente evolucionó sin eventualidades y fue dado de alta al cuarto día posoperatorio.

Figura 2 Laparotomía en la que se evidencia el saco herniario creado por el peritoneo retroperitoneal de la fosa de Landzert. Fuente: archivo de los autores.

Figura 3 Dedo del cirujano pasando por el hiato de la fosa de Landzert por donde salen asas intestinales. Fuente: archivo de los autores.
Discusión
Embriológicamente, el intestino ha sido dividido en intestino anterior, medio (IM) y posterior. Las HP se producen cuando hay una alteración en cualquier parte de la formación del IM, el cual es definido como todas las porciones intestinales irrigadas por la arteria mesentérica superior (AMS), lo que incluye el duodeno distal, yeyuno, íleon, colon ascendente y colon transverso proximal3. En consecuencia, el desarrollo embrionario del IM se divide en dos porciones: prearterial y posarterial. La porción prearterial abarca desde el duodeno distal hasta el conducto onfalomesentérico, mientras que la posarterial empieza distal al conducto onfalomesentérico hasta el colon transverso proximal. Durante la quinta semana de gestación, el IM es llevado hacia el saco vitelino, posteriormente rota 90° en sentido antihorario sobre el eje de la AMS y regresa a la cavidad abdominal en la décima semana de gestación. Dicha cavidad en ese momento es lo suficientemente grande para albergar este segmento intestinal; la porción prearterial queda a la derecha de la AMS y la porción posarterial, a la izquierda de la AMS. Presenta una segunda rotación de 180° antihorario para un total de 270° y, finalmente, quedar en posición anatómica. Si esto no ocurre, se produce un fenómeno de mala rotación intestinal6.
La HP se produce cuando hay alguna falla en la rotación de la porción prearterial del intestino delgado al interponerse en la fusión del colon (posarterial) con el retroperitoneo, lo que crea las fosas por donde se va a producir la hernia: la fosa de Landzert a la izquierda de la AMS, con un 75% de frecuencia, y la fosa de Waldeyer al lado derecho, con un 25% de frecuencia3,7,8.
Con respecto a la presentación clínica, los síntomas empiezan entre la tercera y cuarta décadas de la vida (38,5 años de edad en promedio)9. El 50% de los pacientes presenta dolor abdominal tipo cólico leve, crónico, principalmente posprandial y exacerbado por maniobras de Valsalva con períodos de remisión completa. Puede producir episodios recurrentes de náuseas, vómito, malabsorción crónica y pérdida de peso. Estos síntomas usualmente cambian de características o mejoran con los cambios de posición. Cuando la hernia es pequeña y se reduce espontáneamente, los pacientes presentan manifestaciones leves como dispepsia. El otro 50% de los casos se presenta con abdomen agudo por obstrucción intestinal súbita que puede producir isquemia masiva del intestino delgado, especialmente cuando hay compromiso de más del 40% de este1,3-5.
La exploración física no arroja signos clínicos típicos: menos del 20% de los pacientes presenta una masa en el cuadrante superior izquierdo con dolor variable según el grado de incarceración e isquemia intestinal. En el caso reportado, la presentación clínica fue una obstrucción intestinal completa sin síntomas previos.
Muchas de las HP son diagnosticadas de forma incidental en una imagen, laparotomía o autopsia2,5,9. Los estudios radiográficos simples son poco específicos, mostrarán signos de obstrucción intestinal con conglomerado de asas intestinales hacia el lado izquierdo del abdomen superior3. Los estudios contrastados como la tomografía documentan una masa de bordes regulares y lisos con asas de intestino delgado encapsuladas en el hemiabdomen superior. Se ha descrito esta imagen como el borde de Donnelly. Adicionalmente, se pueden ver anomalías en los vasos mesentéricos consistentes en congestión, apiñamiento, torsión y estiramiento de estos4,5,10.
Si la HP es izquierda, se puede observar un grupo de asas intestinales delimitada por el páncreas, estómago y porción ascendente del duodeno, hacia la izquierda del ligamento de Treitz, detrás de la cola pancreática, que desplaza la vena mesentérica inferior hacia la izquierda o entre el colon transverso y la glándula suprarrenal izquierda. Cuando la HP es derecha, el acúmulo de asas se localiza inferolateral a la porción descendente del duodeno y puede observarse también un asa aferente de yeyuno y un asa eferente de yeyuno o íleo, a través del orificio de entrada de la fosa de Waldeyer3,5. La sensibilidad y la especificidad de la tomografía es de aproximadamente de 63% y 76%, respectivamente11. La laparoscopia diagnostica puede ser de gran utilidad en los casos en los que no se pudo verificar el diagnóstico con imágenes2.
El tratamiento de estos pacientes debe cumplir con los principios fundamentales de reducir el intestino herniado, verificar su viabilidad y reparar el defecto herniario9. La cirugía siempre está indicada, aun en pacientes asintomáticos con diagnóstico incidental, pues las HP tienen 50% de riesgo de incarceración a lo largo de la vida6. Se debe tener especial cuidado al abrir el saco anterior, puesto que generalmente pasan vasos importantes. En el caso de la HP izquierda, puede pasar la vena mesentérica inferior y la arteria mesentérica inferior o la rama ascendente de la cólica izquierda. En el caso de la derecha, puede pasar la arteria cólica media con su rama derecha y los vasos mesentéricos superiores3,8.
En una HP izquierda, idealmente se debe realizar una reducción simple del contenido herniario y cerrar la fosa de Landzert con una sutura no absorbible. Sin embargo, hay casos en los que no es posible realizarlo por la presión ejercida de los intestinos sobre el borde del defecto, por lo cual es necesario realizar una herniotomía que permita liberar el intestino; en este punto es fundamental el cuidado vascular ya mencionado3. En nuestro caso no fue posible la reducción manual del contenido herniario y fue necesario realizar una herniotomía anterior con ligadura de la vena mesentérica inferior para evitar sangrados no controlados. De este modo se pudo liberar el intestino isquémico y evitar la necrosis transmural secundaria. El abordaje por vía laparoscópica es seguro y eficaz cuando se realiza de forma electiva; sin embargo, por las condiciones del paciente se decidió realizar una técnica abierta.
Conclusiones
Las hernias congénitas son infrecuentes; dentro de este grupo, las HP son las más comunes y, a su vez, la HP izquierda es la de mayor presentación. Conocer esta entidad es fundamental para sospecharla y poder diagnosticarla. El tratamiento siempre es quirúrgico, ya sea por vía abierta o laparoscópica según las condiciones del paciente.
REFERENCIAS
1. Yeo CJ. Shackelford’s surgery of the alimentary tract. 8.a edición. Filadelfia: Elsevier; 2019. [ Links ]
2. Ben Moussa M, Nouhi I, Lachguar T, El Absi M, El Faricha El Alami EH, El Ouanani M, et al. A paraduodenal hernia revealed by bowel obstruction: case report and literature review. Pan Afr Med J. 2018;31:120. https://doi.org/10.11604/pamj.2018.31.120.13538 [ Links ]
3. Mateo De Acosta A DA, Enrique Bello A, De León L, Vázquez S DG, Waissbluth G JA. Diagnóstico y manejo de la hernia paraduodenal. Rev Chil Cir. 2011;63(1):102-9. https://doi.org/10.4067/S0718-40262011000100019 [ Links ]
4. Donnelly LF, Rencken IO, de Lorimier AA, Gooding CA. Left paraduodenal hernia leading to ileal obstruction. Pediatr Radiol. 1996;26(8):534-6. https://doi.org/10.1007/BF01372236 [ Links ]
5. Martin LC, Merkle EM, Thompson WM. Review of Internal Hernias: Radiographic and Clinical Findings. Am J Roentgenol. 2006;186(3):703-17. https://doi.org/10.2214/AJR.05.0644 [ Links ]
6. Nuño-Guzmán CM, Arróniz-Jáuregui J, Hernández-González C, Reyes-Macías F, Nava-Garibaldi R, Guerrero-Díaz F, et al. Right Paraduodenal Hernia in an Adult Patient: Diagnostic Approach and Surgical Management. Case Rep Gastroenterol. 2011;5(2):479-86. https://doi.org/10.1159/000331033 [ Links ]
7. Martins A, Gonçalves Á, Almeida T, Gomes R, Lomba J, Midões A. Left Paraduodenal Hernia. J Gastrointest Surg. 2018;22(5):925-7. https://doi.org/10.1007/s11605-017-3626-4 [ Links ]
8. Sinensky A, Dukleska K, Marks JA. Paraduodenal Hernia: a Rare Cause of Acute Abdominal Pain. J Gastrointest Surg. 2019;23(11):2309-11. https://doi.org/10.1007/s11605-019-04315-9 [ Links ]
9. Huang Y-M, Chou AS-B, Wu Y-K, Wu C-C, Lee M-C, Chen H-T, et al. Left paraduodenal hernia presenting as recurrent small bowel obstruction. World J Gastroenterol WJG. 2005;11(41):6557-9. https://doi.org/10.3748/wjg.v11.i41.6557 [ Links ]
10. Lopez CM, Healy JM, Ozgediz DE. Obstructed Paraduodenal Hernia. J Gastrointest Surg. 2019;23(3):599-600. https://doi.org/10.1007/s11605-018-3848-0 [ Links ]
11. Blachar A, Federle MP, Dodson SF. Internal Hernia: Clinical and Imaging Findings in 17 Patients with Emphasis on CT Criteria. Radiology. 2001;218(1):68-74. https://doi.org/10.1148/radiology.218.1.r01ja5368 [ Links ]
Citación:
2Vásquez-Maya C, Donado-Jiménez MJ, Zapata-Uribe P. Hernia paraduodenal congénita: reporte de un caso. Revista. colomb. Gastroenterol. 2023;38(1):89-93. https://doi.org/10.22516/25007440.895
Recibido: 13 de Marzo de 2022; Aprobado: 24 de Abril de 2022










text in 




