Services on Demand
Journal
Article
Indicators
-
Cited by SciELO -
Access statistics
Related links
-
Cited by Google -
Similars in
SciELO -
Similars in Google
Share
Revista colombiana de Gastroenterología
Print version ISSN 0120-9957On-line version ISSN 2500-7440
Rev. colomb. Gastroenterol. vol.39 no.1 Bogotá Jan./Mar. 2024 Epub May 16, 2024
https://doi.org/10.22516/25007440.1018
Reporte de casos
Adenomiomatosis vesicular en pediatría: a propósito de un caso
1 Universidad de Los Andes. Specialist in Epidemiology and Pediatrics Resident, Fundación Santa Fe de Bogotá. Bogotá, Colombia.
2Physician, Pediatrics Resident, Fundación Santa Fe de Bogotá. Bogotá, Colombia.
3 Pediatrician and Pediatric Gastroenterologist, Instituto Ortopedia Roosevelt. Bogotá, Colombia.
4 Pediatrician, Clínica Infantil Santa María del Lago. Bogotá, Colombia.
5 Pediatrician, Head of Pediatrics. Instituto Roosevelt. Bogotá, Colombia.
Objetivo:
La adenomiomatosis vesicular es una enfermedad poco frecuente en pediatría, caracterizada por la proliferación epitelial e hipertrofia muscular, asociada a la formación de trayectos fistulosos, clásicamente denominados senos de Rokitansky-Aschoff. Corresponde a una entidad anatomoclínica de muy difícil diagnóstico; la ecografía es la principal herramienta diagnóstica, y se realiza su confirmación por los hallazgos histológicos característicos.
Caso clínico:
Se trata de un adolescente de 15 años con diagnóstico previo de escoliosis congénita y hemivértebra en T11-12 con compresión medular secundaria y vértebras en mariposa en T5-L3, quien ingresa para el manejo quirúrgico de dicha entidad; en el posoperatorio inmediato presenta dolor abdominal en banda y elevación de enzimas pancreáticas, y se considera el diagnóstico inicial de pancreatitis aguda. En los estudios de imagen se evidencia una vesícula con engrosamiento aumentada de tamaño y con hallazgos compatibles de adenomiomatosis vesicular. La paciente presenta mejoría de sus síntomas después de la realización de colecistectomía laparoscópica. El diagnóstico de adenomiomatosis vesicular fue confirmado posteriormente por histología.
Conclusión:
La adenomiomatosis de la vesícula biliar es sumamente rara en niños, poco se conoce de su patogenia y patología; se diagnostica principalmente por ecografía, en la que se identifica la hipertrofia de la capa muscular y la formación de trayectos fistulosos, conocidos como senos de Rokitansky-Aschoff.
Palabras clave: Vesícula biliar; colecistitis; pancreatitis; laparoscopia; pediatría
Objective:
Gallbladder adenomyomatosis (ADM) is a rare disease in pediatrics, characterized by epithelial proliferation and muscle hypertrophy, associated with the formation of fistulous tracts, classically called Rokitansky-Aschoff sinuses. It is an anatomical and clinical entity that is difficult to diagnose. Ultrasound is the primary diagnostic tool, but ADM is confirmed by its characteristic histological findings.
Clinical case:
A 15-year-old adolescent with a previous diagnosis of congenital scoliosis and hemivertebra at T11-12 with secondary spinal cord compression and butterfly vertebrae at T5-L3 was admitted for surgical management of this entity. In the immediate postoperative period, band-like abdominal pain and elevated pancreatic enzymes were present, considering the initial diagnosis of acute pancreatitis. Imaging studies revealed a thickened gallbladder with increased size and findings compatible with gallbladder ADM. The patient showed improvement in symptoms after undergoing laparoscopic cholecystectomy. The diagnosis of gallbladder ADM was later confirmed by histology.
Conclusion:
Gallbladder ADM is extremely rare in children; little is known about its pathogenesis and pathology. It is diagnosed mainly by ultrasound, which identifies hypertrophy of the muscular layer and the formation of fistulous tracts, known as Rokitansky-Aschoff sinuses.
Keywords: Gallbladder; cholecystitis; pancreatitis; laparoscopy; pediatrics
Introducción
La adenomiomatosis de la vesícula biliar en pediatría es una patología infrecuente, benigna y adquirida, de etiología desconocida1 caracterizada principalmente por una proliferación epitelial localizada o difusa con invaginación de la mucosa a través de una capa muscular hipertrofiada, lo que forma divertículos intramurales o trayectos sinusales2 llamados senos de Rokitansky-Aschoff1. Existen muchos aspectos que aún no se conocen de esta entidad, como su patogenia, factores asociados y las indicaciones de la cirugía, especialmente en la población pediátrica2. En adultos se evidencia hasta en el 5% de las colecistectomías y en pediatría se han descrito muy pocos casos3.
Presentación del caso
Se trata de una paciente de 15 años (peso: 42,5 kg, talla: 141 cm, índice de masa corporal [IMC]: 21,4 kg/m2) con diagnóstico de ingreso a la institución de escoliosis congénita, hemivértebra a nivel de T11-12 con compresión medular secundaria y vértebras en mariposa a nivel de T5-L3, quien fue hospitalizada para la resección de hemivértebra la T11-12 e instrumentación de T5-L3 en dos tiempos quirúrgicos. Después del segundo tiempo quirúrgico, la paciente presentó náuseas, dolor y distensión abdominal, con evacuaciones diarreicas sin moco ni sangre, además de disminución de los ruidos intestinales.
Se realizó una ecografía abdominal con hallazgos ecográficos de una vesícula con engrosamiento focal de sus paredes, asociado a líquido perivesicular, ascitis y páncreas con engrosamiento focal de la cola con un diámetro de hasta 22 mm (Figura 1). Laboratorios con elevación de aspartato-aminotransferasa (AST) 235 U/L y alanina-aminotransferasa (ALT) 93 U/L, amilasa sérica: 104 U/L, γ-glutamil transpeptidasa (GGT) 96 U/L, lipasa 813,4 U/L y proteína C-reactiva (PCR) 84,5 mg/dL, por lo cual se inició el manejo de pancreatitis aguda.

Fuente: historia clínica del paciente.
Figura 1 Ecografía de abdomen total. La imagen indica un engrosamiento focal de las paredes en la porción del cuerpo y cuello con líquido perivesicular. Páncreas con engrosamiento focal de la bolsa con un diámetro de hasta 22 mm.
La paciente inicialmente no mejora con el tratamiento administrado, continuando con dolor abdominal intenso y deterioro clínico, por lo cual se decide realizar tomografía de abdomen contrastada con evidencia cambios de patología vesicular correspondientes a adenomiomatosis, con líquido perivesicular asociado e íleo intestinal (Figura 2). Ante el deterioro imagenológico a nivel vesicular, se consideró que la paciente reunía las condiciones para ser llevada a cirugía laparoscópica, en la que se encontró una vesícula de paredes gruesas con presencia de material purulento (piocolecisto) con la vesícula adherida al duodeno.

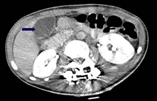
Fuente: historia clínica del paciente.
Figura 2 Tomografía axial computarizada (TAC) de abdomen contrastado. La flecha indica persistencia de hallazgos compatibles con adenomiomatosis vesicular, un discreto aumento del diámetro anteroposterior de la cola y grasa peripancreática conservada con aumento perivesicular.
Posteriormente, en el examen histopatológico se encontró la pared de la vesícula biliar con amplias áreas necróticas en la mucosa e infiltrados inflamatorios polimorfonucleares graves transmurales, con senos de Rokitansky-Aschoff e hipertrofia muscular, con material necrótico en la luz. No hubo complicaciones posoperatorias, la paciente evolucionó hacia la mejoría y fue dada de alta de la institución.
Discusión
La adenomiomatosis vesicular se ha descrito con una variedad de nombres, y este es término el utilizado actualmente; y fue descrito por primera vez por Jutras y colaboradores en 19603. Corresponde a una patología anatomoclínica, cuyo diagnóstico preciso es muy difícil4, y como enfermedad de la vesícula biliar, relativamente muy rara en niños, que implica colecistitis y colelitiasis3,5. Hasta el momento, es una afección sumamente infrecuente, de la cual no se conoce su patogenia ni las indicaciones para cirugía, especialmente en la población pediátrica. En adultos se observa en el 5% de las muestras obtenidas durante la colecistectomía3,6. Hasta el 2020 se han descrito solo diez casos de esta enfermedad en niños3.
Corresponde a una entidad que se caracteriza por la proliferación epitelial, asociada a hipertrofia de la capa muscular con la formación de trayectos fistulosos, conocidos como senos de Rokitansky-Aschoff3,6. Estos adenomiomas son neoformaciones benignas leiomiomatosas caracterizadas por la proliferación del epitelio superficial, con invaginaciones en el espesor de la capa muscular4. Es más común en mujeres que en hombres, con una relación 3:1, lo que concuerda con nuestra paciente, que es una adolescente1,7.
Puede presentar cambios a nivel del epitelio metaplásico (metaplasia intestinal, pilórica), inflamatorio y con fibrosis. Estos hallazgos no son considerados como una posible lesión premaligna; sin embargo, la displasia y carcinoma in situ o invasivo pueden formarse en el epitelio de la adenomiomatosis, lo que lleva progresivamente a carcinoma, que estaría asociado a la presencia de litiasis, inflamación crónica y cambios metaplásicos más que a la misma adenomiomatosis, lo que corresponde a la reconocida asociación entre litiasis y cáncer vesicular8.
Esta entidad puede afectar la vesícula biliar de acuerdo con cuatro patrones principales: localizado, segmentario, anular y difuso5, sin comprometer a la serosa1. El primero de estos es el patrón más común, caracterizado por un engrosamiento focal, que suele afectar más frecuentemente a la región del fondo vesicular5; además de que puede presentarse un nódulo umbilicado en el fondo, llamado adenomioma9; así como la adenomiomatosis difusa se presenta con una afectación típica en el cuerpo vesicular relacionada con un engrosamiento circunferencial total de la pared con forma de “reloj de arena”. En nuestra paciente, el ultrasonido evidenció un engrosamiento concéntrico de sus paredes de hasta 5 mm hacia el cuello vesicular.
Acerca de las manifestaciones clínicas, cuando se presentan síntomas, suelen simular una colelitiasis por dolor tipo cólico o derivarse de la obstrucción de la vía biliar principal; en otros casos pueden simular una pancreatitis aguda4. En nuestro caso hubo una elevación de lipasa hasta 1408 U/L y amilasa 307 U/L, y presentó mejoría posterior a la colecistectomía. En general, en la población pediátrica se ha evidenciado que el síntoma principal es el dolor abdominal agudo, inespecífico y recurrente, con emesis y fiebre en algunos casos3. De estos síntomas descritos, el dolor abdominal agudo e inespecífico y las náuseas fueron los síntomas presentados en nuestra paciente.
En múltiples casos, el diagnóstico de la adenomiomatosis de la vesícula se realiza de forma incidental por una ecografía o tomografía abdominal, indicada para estudiar otras entidades3. Los hallazgos más comunes que se describen son el engrosamiento focal o difuso de la pared vesical; presencia de divertículos pequeños intramurales, que pueden contener bilis, en espacios quísticos pequeños, múltiples y anecoicos; también como focos ecogénicos intramurales, cuando contienen colecciones de colesterol o barro biliar, que se asocian o no a sombra acústica, o artefactos de reverberación o de centelleo en la ecografía Doppler color1. En comparación con nuestro caso, se evidenció un engrosamiento focal de la pared vesicular y de la cola del páncreas asociada a líquido perivesicular como hallazgos imagenológicos.
En otros estudios como la resonancia magnética los senos de Rokitansky-Aschoff crean el signo del “collar de perlas” que son espacios de forma redonda, múltiples, con secuencias hiperintensas en secuencia T2, hallazgo que tiene un 92% de especificidad para adenomiomatosis vesicular10. En la mayoría de los pacientes, la ecografía y la resonancia magnética son pruebas suficientes para su diagnóstico, la confirmación definitiva se obtiene mediante un análisis histopatológico de la pieza anatómica, en el cual generalmente se describe a la vesícula dividida en múltiples segmentos por septos de epitelio columnar, tejido conectivo y fibras de músculo liso11. También presenta invaginación de la mucosa que se extiende a través del tejido fibromuscular subepitelial, senos de Rokitansky-Aschoff y, en algunos casos, asociados a la hiperplasia del músculo liso. La presencia de tejido muscular liso confirma el origen congénito. Los senos de Rokitansky-Aschoff pueden contener en su interior bilis espesa, moco y cálculos, que llevan a presentar cambios inflamatorios, fibróticos y metaplásicos (metaplasia intestinal, de glándulas pilóricas)1. Pueden aparecer en la ecografía como estructuras quísticas intramurales deficientes en eco; si contienen lodos, se vuelven ecogénicos, y llegan a producir artefactos de sombra ecográfica distal o de anillo hacia abajo (“cola de cometa”)2,12. Estos por sí mismos no se consideran anormales, pero generalmente se encuentran asociados a adenomiomatosis y colecistitis1.
En los pacientes asintomáticos no está indicada la realización de tratamiento quirúrgico, mientras que en los casos sintomáticos sí se valora la realización de la colecistectomía, preferiblemente por vía laparoscópica11. Según lo reportado actualmente en la literatura, no se han descrito en la población pediátrica casos de carcinoma con adenomiomatosis vesicular en niños; sin embargo, en los pacientes con síntomas es una opción recurrir a la colecistectomía, aunque aún no se conoce con claridad cuál es el mejor momento para la realización de la misma3.
Finalmente, la adenomiomatosis de la vesícula biliar es una entidad infrecuente, más aún en pediatría, lo que resulta fundamental para su diagnóstico la identificación de los senos de Rokitansky-Aschoff, y la ecografía es la ayuda diagnóstica de elección13. Estos métodos imagenológicos sumados a la experticia del médico llevan a la detección de cada vez más casos, razón por la cual el reporte y diagnóstico de esta entidad podrían estar cada vez más en ascenso. La patogenia de la adenomiomatosis no se comprende completamente, aunque esta se asocia con cálculos en la vesícula biliar y enfermedades inflamatorias crónicas4.
REFERENCIAS
1. Burgos AM, Csendes A, Villanueva M, Cárdenas G, Narbona S, Caballero M, et al. Hallazgos clínicos e histopatológicos en pacientes con adenomiomatosis vesicular. Rev Cir. 2016;68(5) 363-367. https://doi.org/10.1016/j.rchic.2016.06.010 [ Links ]
2. Zarate YA, Bosanko KA, Jarasvaraparn C, Vengoechea J, McDonough EM. Description of the first case of adenomyomatosis of the gallbladder in an infant. Case Rep Pediatr. 2014;2014:248369. https://doi.org/10.1155/2014/248369 [ Links ]
3. Pasierbek M, Korlacki W, Grabowski A. Adenomiomatosis vesicular en un adolescente, una afección muy rara. Arch Argent Pediatr. 2020;118(1):43-7. https://doi.org/10.5546/aap.2020.e43 [ Links ]
4. Pérez-Alonso AJ, Argote-Camacho ÁX, Rubio-López J, Olmo-Rivas D, Petrone P. Adenomiomatosis de la vía biliar, incidencia de 10 años y revisión de la bibliografía actual. Rev Colomb Cir. 2015;30(2) 112-118. https://doi.org/10.30944/20117582.319 [ Links ]
5. Bonatti M, Vezzali N, Lombardo F, Ferro F, Zamboni G, Tauber M, et al. Gallbladder adenomyomatosis: imaging findings, tricks and pitfalls. Insights Imaging. 2017;8(2):243-253. https://doi.org/10.1007/s13244-017-0544-7 [ Links ]
6. Parolini F, Indolfi G, Magne MG, Salemme M, Cheli M, Boroni G, et al. Adenomyomatosis of the gallbladder in childhood: A systematic review of the literature and an additional case report. World J Clin Pediatr. 2016; 5(2) 223-7. https://doi.org/10.5409/wjcp.v5.i2.223 [ Links ]
7. Akçam M, Buyukyavuz I, Çiriş M, Eriş N. Adenomyomatosis of the gallbladder resembling honeycomb in a child. Eur J Pediatr. 2008;167(9):1079-1081. https://doi.org/10.1007/s00431-007-0623-8 [ Links ]
8. Lam CM, Yuen AW, Wai AC, Leung RM, Lee AY, Ng KK, et al. Gallbladder cancer presenting with acute cholecystitis: a population-based study. Surg Endosc. 2005;19(5):697-701. https://doi.org/10.1007/s00464-004-9116-2 [ Links ]
9. Sermon A, Himpens J, Leman G. Symptomatic adenomyomatosis of the gallbladder--report of a case. Acta Chir Belg. 2003;103(2):225-9. https://doi.org/10.1080/00015458.2003.11679412 [ Links ]
10. Haradome H, Ichikawa T, Sou H, Yoshikawa T, Nakamura A, Araki T, et al. The pearl necklace sign: an imaging sign of adenomyomatosis of the gallbladder at MR cholangiopancreatography. Radiology. 2003;227(1):80-8. https://doi.org/10.1148/radiol.2271011378 [ Links ]
11. Menocal N, Garrote A, García DA, Santos J. Vesícula biliar multiseptada: Una anomalía congénita infrecuente. Revista Chilena de Radiología. 2011;17(4):176-178. https://doi.org/10.4067/S0717-93082011000400006 [ Links ]
12. Yu MH, Lee JY, Yoon JH, Baek JH, Han JK, Choi BI. Color Doppler twinkling artifacts from gallbladder adenomyomatosis with 1.8 MHz and 4.0 MHz color Doppler frequencies. Ultrasound Med Biol. 2012;38(7):1188-94. https://doi.org/10.1016/j.ultrasmedbio.2012.03.010 [ Links ]
13. Cariati A, Cetta F. Rokitansky-Aschoff sinuses of the gallbladder are associated with black pigment gallstone formation: a scanning electron microscopy study. Ultrastruct Pathol. 2003;27(4):265-70. https://doi.org/10.1080/01913120309913 [ Links ]
Citación: Prieto C, Franco-Vivas M, Rondón-Reyes LN, Pinzón-Salamanca JY, Suescún-Vargas JM. Adenomiomatosis vesicular en pediatría: a propósito de un caso. Revista. colomb. Gastroenterol. 2024;39(1):77-80. https://doi.org/10.22516/25007440.1018
Recibido: 05 de Febrero de 2023; Aprobado: 07 de Julio de 2023










text in 



