Introducción
La embolia pulmonar por herida por arma de fuego es potencialmente fatal y una complicación rara que puede presentarse en los servicios de urgencias 1. Clásicamente, se han reportado casos en los ambientes de guerra, pero en los últimos años, se ha presentado una mayor incidencia por la violencia social civil. Los síntomas son variables, desde disnea, hemoptisis o dolor torácico, hasta inestabilidad hemodinámica.
Se presenta un caso inusual de embolia pulmonar secundaria a heridas por proyectil por arma de fuego, con un resultado hemodinámico exitoso. Se revisó la literatura científica universal actual sobre las estrategias diagnósticas y terapéuticas que permiten establecer cuáles son las adecuadas para la atención de estos pacientes.
Caso clínico
Se trata de un paciente de sexo masculino de 18 años de edad que ingresó al servicio de urgencias de un hospital de alta complejidad especializado en trauma en Medellín (Colombia). Fue remitido desde una unidad de baja complejidad por presentar hipotensión y alteración sensorial, y heridas por proyectil de arma de fuego en la cara, el cuello (herida transfixiante), la región tora-coabdominal derecha (múltiples) y el miembro superior derecho.
Al ingreso sus signos vitales eran: presión arterial de 113/78 mm Hg, frecuencia cardíaca de 123 latidos por minuto, frecuencia respiratoria de 25 por minuto y 100 % de saturación de oxígeno, después de reanimación con 2 litros de lactato de Ringer y 2 unidades de glóbulos rojos. Los resultados de los gases arteriales fueron: pH de 7,39; pCO2 de 33 mm Hg y pO2 de 574 mm Hg, base exceso de -4,4 y lactato de 2,3 mmol/L.
Por los traumas descritos, se decidió ordenar una tomografía de cuello que fue negativa para lesión traumática vascular; se encontró una herida prevertebral con trayecto transcervical y fractura lineal no desplazada del muro anterior del cuerpo vertebral C4, que ameritaba descartar una lesión no evidente del esófago o de la vía aérea.
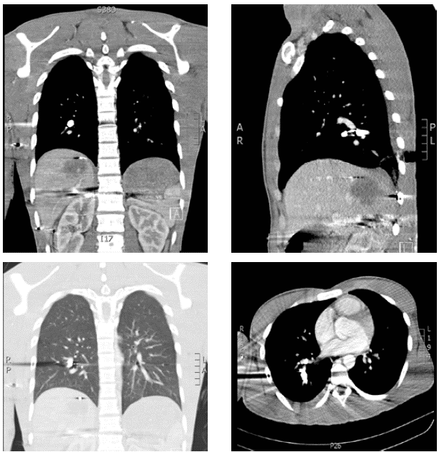
Se practicó una tomografía toracoabdominal con contraste que mostró neumomediastino: proyectil en la arteria pulmonar del lóbulo inferior derecho, con signos de embolia pulmonar aguda en sus ramas distales, proyectil en los tejidos blandos de la pared torácica posterior derecha asociado con laceración y contusión en la base pulmonar; no había neumotórax ni hemotórax; además, se apreció una laceración hepática profunda con compromiso del segmento VII, con signos de sangrado activo y hematoma subcap-sular hepático contenido (figura 1). Se ordenó una arteriografía que no demostró sangrado activo; también, se practicó angiotomografía y arteriografía del miembro superior derecho y no se encontró sangrado ni lesión vascular.

Figura 1 Angiotomografía con énfasis en el pulmón: proyectil de arma de fuego localizado en la arteria pulmonar del lóbulo inferior derecho, embolia pulmonar aguda en ramas para el lóbulo inferior derecho distal al proyectil, y proyectil en los tejidos blandos de la pared torácica posterior derecha, asociado con laceración y contusión pulmonar basal
El paciente fue sometido a una cervicotomía derecha para explorar la herida soplante por transfixión en la zona II del cuello; se practicó sutura del esófago y toracostomía derecha, y posteriormente, se trasladó a la unidad de cuidados intensivos.
En forma multidisciplinaria (intervencionismo, cirugía general y cirugía de tórax) se decidió no practicar otra arteriografía por el proyectil alojado en la arteria lobar inferior derecha, pues su resultado no generaría ningún cambio en el manejo del paciente.
El paciente evolucionó satisfactoriamente y fue dado de alta a los siete días. En la cita de control ambulatorio, se observó una adecuada evolución clínica.
Discusión
El primer reporte de embolia pulmonar por herida con arma de fuego fue hecho por Thomas Davis en 1934 en un niño de 10 años de edad con una herida en el tórax y migración de un fragmento del proyectil hasta el ventrículo derecho 1,2. Posteriormente, se han descrito otros casos por migración del proyectil en el sistema venoso y en el arterial. Hay reportes de soldados americanos con este tipo de embolia durante la segunda guerra mundial y en la guerra del Vietnam, con una incidencia cercana al 0,3 % 3.
Es más frecuente entre los 20 y los 30 años de edad (79,4 %), y es más frecuente en hombres (87,8 %) que en mujeres (12,2 %) En los últimos años, su incidencia se ha debido a la violencia social civil (85 %) más que a las guerras (15 %). Existen otros elementos que se han asociado con la formación de embolias pulmonares, como fragmentos de hacha, elementos de acupuntura, agujas, catéteres, filtros, guías, endoprótesis (stents), válvulas, etc. 1,4.
Yoon, et al., hicieron una búsqueda bibliográfica en PubMed y Google Scholar en el 2018, y encontraron informes o series de casos descritos desde 1960 hasta 2018. En total, hallaron 54 artículos con 62 pacientes con embolias torácicas, con compromiso de aurícula derecha (9,7 %), ventrículo derecho (54,8 %), arteria pulmonar (32,3 %) y vena cava inferior intratorácica (3,2 %). Fue llamativo que solo 11,3 % de los pacientes presentaron síntomas directamente relacionados con la embolia 5.
Se ha descrito que el mecanismo del trauma se relaciona con distintos aspectos, como la energía cinética de la entrada del proyectil contra alguna estructura vascular puede sufrir alteraciones en el trayecto al disminuir dicha energía. Puede haber ruptura, aplastamiento, desgarro, abrasión o quemadura de los tejidos blandos y la migración se produce según el flujo sanguíneo.
Es más frecuente (70 %) la migración por el sistema arterial a sitios como el cuello y las extremidades inferiores; por el sistema venoso (30 %), se localizan en las cavidades cardíacas o en las arterias pulmonares.
Se han informado casos de embolias paradójicas (1 %) a partir de fístulas arteriovenosas traumáticas o congénitas 1,6. Asimismo, hay reportes de migración o embolización inmediata o tardía (hasta 14 años después) 7. La trayectoria del proyectil o del objeto migratorio depende del peso, la velocidad, el tamaño, la forma, los movimientos musculares y respiratorios, la anatomía vascular, la posición del paciente en el momento del impacto, el calibre del vaso y la bifurcación vascular (inversamente proporcional) 1,5,8,9.
La sintomatología depende de la localización, la trombosis asociada, los fenómenos de la isquemia o las complicaciones hemorrágicas. Es más frecuente (70 %) que no se generen síntomas. En caso de que se generen, entre los más frecuentes se describen el dolor torácico, la disnea y la hemoptisis por la erosión vascular y el infarto pulmonar asociado 1,5.
Entre las complicaciones de un proyectil de arma de fuego alojado en otras partes del cuerpo se encuentran: la isquemia, trombosis de extremidades, pseudoaneurismas, hemorragia, derrame pleural, la insuficiencia vascular, endocarditis, etc. 10.
Se necesita una fuerte sospecha clínica para determinar el sitio donde se puede alojar el proyectil. En algunos casos, la sintomatología puede servir de guía, de lo contrario, solo con las imágenes y otro tipo de ayudas diagnósticas, se llega a confirmarlo 3. La localización radiológica permite determinar si determinado paciente se beneficiaría o no de la extracción del proyectil y la angiotomografía de las arterias pulmonares, que es el estudio de elección 1,3. Como alternativas, se puede contar -según la disponibilidad- con la ecocardiografía transesofágica o la transtorácica
En la actualidad, no existen guías de un tratamiento establecido específicamente para el manejo de un paciente con un proyectil localizado en las arterias pulmonares Por esta razón, la decisión debe tomarse en forma multidisciplinaria y según con los hallazgos clínicos, el estado hemodinámico y el riesgo de las complicaciones asociadas que se han descrito.
Se ha descrito un manejo conservador cuando el paciente es asintomático, la integración del proyectil con el tejido adyacente es menor de 5 mm, hay fragmentos libres en las cavidades cardíacas o cuando no hay riesgo de complicaciones inmediatas, como infarto pulmonar, absceso o daño bronquial 1,12. La intervención quirúrgica debe considerarse en el paciente gravemente comprometido, con el proyectil localizado en arterias pulmonares principales o lobares, con gran peligro de embolia pulmonar asociada, o de localización intracardiaca con repercusión hemodinámica u otro tipo de complicaciones 13,14. También, existe la posibilidad de una técnica de intervencionismo radiológico, con tasas de éxito hasta del 53 % en las series publicadas. Hasta el momento no hay indicaciones específicas, por lo cual la decisión debe tomarse con el equipo de trauma 15-17.
En cuanto a otras conductas, a pesar de que no hay ninguna evidencia sólida que lo sugiera como una necesidad, se debe considerar la profilaxis antibiótica por el riesgo de infección asociada, principalmente endocarditis 18,19. Asimismo, la anticoagulación debe considerarse por un tiempo mínimo de 12 meses, salvo ante la presencia de hemorragia significativa o estado de choque hemorrágico agudo, casos en que deberá contemporizarse 19,20. Por otra parte, existe el riesgo de toxicidad por plomo, al liberarse este elemento del proyectil durante el transcurso de los años; es más frecuente el reporte de estos casos cuando el proyectil se aloja cerca de membranas sinoviales articulares21-23.
Conclusiones
La atención de estos pacientes requiere manejo por un grupo multidisciplinario que permita llegar a un diagnóstico oportuno para guiar la terapia adecuada debido a la dificultad diagnóstica y, en muchos casos, las complicaciones que se suelen presentar a corto plazo por la rápida inestabilidad hemodinámica.
La elección del manejo quirúrgico, si corresponde, debe ser individualizada en función de los síntomas y la ubicación del proyectil en el sistema vascular. Según la revisión bibliográfica y las recomendaciones de los expertos, los pacientes deben someterse a una intervención quirúrgica o endovascular cuando el proyectil se localiza en las arterias pulmonares principales o lobares y las compromete. Cuando este se localiza en las arterias segmentarias y subsegmentarias, se puede considerar un manejo conservador médico con seguimiento de imágenes diagnósticas, pues los pacientes tienden a presentar fístulas con el bronquio y vasoespasmo compensatorio, los cuales mitigarían otras complicaciones como la hipertensión pulmonar.
A la luz de la evidencia actual, no hay guías de implementación ni comparación de técnicas quirúrgicas con las intervencionistas, que permitan hacer una recomendación sólida sobre el manejo. Por esta razón, las decisiones se deben tomar con base en el grupo de trabajo multidisciplinario que evalúe al paciente.














