Services on Demand
Journal
Article
Indicators
-
Cited by SciELO -
Access statistics
Related links
-
Cited by Google -
Similars in
SciELO -
Similars in Google
Share
Colombian Journal of Anestesiology
Print version ISSN 0120-3347On-line version ISSN 2256-2087
Rev. colomb. anestesiol. vol.49 no.3 Bogotá July/Sept. 2021 Epub June 12, 2021
https://doi.org/10.5554/22562087.e969
REPORTE DE CASOS
Fibrinólisis sistémica exitosa en un paciente con Covid- 19: Reporte de Caso
a Anestesia, Hospital Universitario Ramón y Cajal. Madrid, España.
El nuevo coronavirus 2019-nCov o SARS-Cov-2 es responsable de la pandemia más importante del siglo XXI: la enfermedad del coronavirus (COVID-19).
La infección por 2019-nCov produce un estado de hipercoagulabilidad, que promueve peores desenlaces en estos pacientes. La fisiopatología de la exagerada activación de la coagulación en estos pacientes aún se desconoce y posiblemente involucre varios mecanismos, diferentes a los participan en la coagulopatía asociada a sepsis.
El presente artículo presenta el caso de un paciente sin antecedentes médicos y quien luego de 7 días de fiebre, diarrea y dolor epigástrico, fue diagnosticado con neumonía bilateral por COVID-19, agravada por la presencia de Síndrome de Dificultad Respiratoria Aguda. En este contexto, el paciente desarrolla un tromboembolismo pulmonar agudo masivo, acompañado de un trombo agudo en el ventrículo derecho, produciéndole inestabilidad hemodinámica. Por primera vez en nuestro centro, se realizó exitosamente una fibrinólisis sistémica, con resolución del trombo intracavitario y del shock hemodinámico agudo.
Palabras clave: SDRA; COVID-19; Coagulopatía; Fibrinólisis; Tromboembolismo pulmonar; SARS-Cov-2
The new coronavirus 2019-nCov or SARS-Cov-2 is responsible for the most important pandemic in the 21st century: the coronavirus disease (COVID-19).
The 2019-nCov infection elicits a hyper-coagulable state, conditioning a worse outcome in these patients. The pathophysiology of the exaggerated coagulation activation in these patients is still unknown, and probably involves several mechanisms, different from those involved in sepsis-associated coagulopathy.
This article discusses the case of a patient with no remarkable medical history, who after 7 days of fever, diarrhea and epigastric pain was diagnosed with COVID-19 bilateral pneumonia, further aggravated by severe Acute Respiratory Distress Syndrome. In this context, the patient experienced a massive acute pulmonary thromboembolism accompanied by an acute thrombus in the heart's right ventricle, leading to hemodynamic instability. For the first time in our center in these patients, systemic fibrinolysis was successfully performed, with resolution of the intracavitary thrombus and the acute hemodynamic shock.
Keywords: ARDS; COVID-19; Coagulopathy; Fibrinolysis; Pulmonary thromboembolism; SARS-Cov-2
INTRODUCCIÓN
El nuevo coronavirus 2019-nCov o SARS-Cov-2 es responsable de la pandemia más importante del siglo XXI, la enfermedad del (COVID-19). Inicialmente se identificó en diciembre de 2019 en Wuhan, China, y hasta la fecha (actualizado en septiembre de 2020) se sabe que ha afectado a 213 países, con más de treinta y tres millones de casos documentados.
España ha sido uno de los países más afectados. Para el 14 de mayo de 2020, se contabilizan más de 200.000 casos confirmados y más de 26.000 muertes. No hay duda de que estamos frente a un virus potente y aún se están estudiando sus vías de transmisión. La manifestación clínica más común es la neumonía bilateral, pero algunos pacientes desarrollan falla multiorgánica. Alrededor del 5% de los pacientes españoles terminan requiriendo ingreso a cuidados intensivos1. Los eventos tromboembólicos son una de las complicaciones más severas en estos pacientes, representando un número de muertes significativo2,3; por lo tanto, es razonable afirmar que el desarrollo de coagulopatía en estos paciente pudiera asociarse con un mal pronóstico 3.
Este informe describe el caso de un paciente de 43 años de edad, infectado con SARS-Cov-2 e ingresado a nuestra unidad de cuidados intensivos (UCI) del Hospital Ramón y Cajal, Madrid, España. El paciente había estado en ventilación mecánica por 20 días, y desarrolló tromboembolismo pulmonar agudo con inestabilidad hemodinámica que requirió fibrinólisis sistémica.
REPORTE DE CASO
Este caso describe a un paciente masculino de 43 años de edad, con 83 kg de peso corporal y un IMC de 26,5 (obesidad clase I), sin antecedentes médicos. El paciente ingresa al hospital el 19 de marzo de 2020, con una historia de 7 días de fiebre (39°C), además de diarrea, dolor epigástrico y astenia. Se le realizó una prueba de reacción de la cadena de polimerasa (PCR), la cual resultó positiva para el virus SARS-CoV-2. Al paciente se le diagnosticó infección respiratoria, neumonía bilateral asociada a la COVID-19, CURB 65 2 puntos, NEWS 10 puntos, siendo éste el diagnóstico más probable debido a la pre-valencia de la enfermedad y en función de su sintomatología y a la presencia de opacidades bilaterales difusas en los pulmones, como se aprecia en la radiografía de tórax. Luego de permanecer hospitalizado por 8 días, el paciente desarrolla progresivamente falla respiratoria y el estado físico revela confusión, taquipnea, dificultad para respirar y sudoración. La saturación de oxígeno era 81%, con una fracción de oxígeno inspirado (FiO2) de 100% con máscara de oxígeno y depósito adicional. El paciente requirió intubación y debía ser ingresado a la UCI. En virtud de la alta demanda de camas en la UCI del primer hospital, el paciente fue trasladado a nuestra UCI en el Hospital Universitario Ramón y Cajal, Madrid. No se cuenta con información adicional sobre resultados de laboratorio ni parámetros de oxigenación al momento del ingreso a nuestro hospital.
El paciente no tenía antecedentes personales ni familiares de coagulopatía. Como se muestra en la Tabla 1, al momento de ingresar a la ICU, los niveles de Dímero D (DD) estaban elevados, con 22,426 ng/mL
TABLA 1 Datos de evolución del paciente: imágenes diagnósticas, modos de ventilación, resultados de laboratorio significativos.
| Trasladado a la UCI del Hospital Ramón y Cajal ↓ |
||||||||||||||
|---|---|---|---|---|---|---|---|---|---|---|---|---|---|---|
| Fecha | 3/4/20 | 7/4/20 | 10/4/20 | 12/4/20 | 13/4/20 | 14/4/20 | 15/4/20 | 16/4/20 | 17/4/20 | 19/4/20 | 21/4/20 | 25/4/20 | 26 -30/4 | 1-4/5 |
| IMÁGENES | Rayos-X | Rayos-X | Rayos-X | Rayos-X | Rayos-X | Rayos-X | Rayos-X | Rayos-X | ||||||
| ECT | ||||||||||||||
| US pulmón | US pulmón | Angio-CT | ||||||||||||
| ECT | ECT | ECT | ||||||||||||
| Ventilación | IOT | TRAQUEOTOMÍA | T-HF | COT 3-4lpm | ||||||||||
| 3a PRONO | 4a PRONO | |||||||||||||
| OXIDO NÍTRICO | ||||||||||||||
| Hemodinamia | Adrenalina + Noradrenalina | |||||||||||||
| FiO2 (%) | 65 | 60 | 60 | 50 | 65 | 100 | 85 | 85 | 70 | 55 | 50 | 55 | [40-45] | [28-40] |
| PaO2 (mmHg) | 117 | 84 | 72 | 63 | 75 | 72 | 70 | 87 | 64 | 79 | 105 | 82 | [64-71] | [66-105] |
| Pa/Fi | 180 | 140 | 120 | 130 | 115 | 72 | 82 | 102 | 91 | 143 | 200 | 150 | [158-232] | [160-375 ] |
| Puntaje SIC | 2 | 2 | 2 | 2 | 2 | 2 | 2 | 2 | 2 | 2 | 2 | 2 | 2 | [1-2] |
| SOFA | 4 | 3 | 3 | 3 | 7 | 7 | 7 | 7 | 5 | 3 | 3 | 3 | [2-3] | [1-2] |
| DD (ng/mL) | 22426 | 11142 | 19406 | 15477 | 19933 | >35000 | 6918 | 4948 | 4241 | 4288 | 12935 | 9749 | [6809-8720] | [1649-6964] |
| Hb (g/dL) | 10.3 | 8.8 | 9.4 | 8.2 | 8.1 | 8.2 | 8.5 | 8.3 | 9.8 | 11 | 12.8 | 11.2 | 11.3 | [12.19.2] |
| Plaquetas (/μL) | 287000 | 215000 | 201000 | 184000 | 171000 | 186000 | 239000 | 269000 | 314000 | 369000 | 356000 | 232000 | [22.5-25]x103 | [26.5-17.8] x103 |
| INR | 1.05 | 0.94 | 0.95 | 1.06 | 1.09 | 1.14 | 1.14 | 1.05 | 0.9 | 0.94 | 1.03 | 0.97 | [0.97-1.01] | [0.97-1.03] |
| Troponina (ng/mL) | 0 | 0 | 0 | 0 | 0 | 0 | 0 | 0 | 0 | 0 | 0 | 0 | 0 | 0 |
| Creatinine (mg/dL) | 0.65 | 0.55 | 0.58 | 0.51 | 0.52 | 0.49 | 0.59 | 0.52 | 0.49 | 0.52 | 0.53 | 0.49 | [0.53-0.55] | [0.54-0.57] |
| TFG (mL/min) | 133.4 | 161.8 | 152 | 176 | 172.6 | 184 | 149 | 172 | 184 | 172 | 168 | 184 | [162-168] | [165-127] |
| Bilirrubina (mg/dL) | 1.57 | 0.46 | 0.19 | 0.47 | 0.46 | 0.41 | 0.47 | 0.38 | 0.33 | 0.38 | 0.76 | 0.37 | [0.55-0.63] | [0.63-0.39] |
| IL-6 (pg/mL) | 985.53 | 87.66 | 1097 | 287.41 | ||||||||||
COT: oxigenoterapia convencional, DD: Dímero D, ECT: ecocardiografía transtorácica, FiO2: fracción inspirada de oxígeno, Hb: hemoglobina, IL-6: interleucina 6, INR: Índice Internacional Normalizado, Pa/Fi: índice de fracción de oxígeno inspirado, PaO2: presión parcial de oxígeno, SIC: Coagulopatía inducida por sepsis, SOFA: Valoración de falla orgánica secuencial, TFG: Tasa de Filtración Glomerular, T-HF: oxígeno de alto flujo por traqueotomía, US pulmón: ultrasonido de pulmón.
FUENTE: Autores, a partir de información de pacientes del Hospital Ramón y Cajal.
Durante su estancia en la UCI, el paciente recibió terapia alternante con ventilación controlada y ventilación de soporte de presión (PS/CPAP); se dio inicio a nuestro protocolo para COVID-19, el cual consistía en: lopinavir/ritonavir (80mg/20mg, 8 días) + Cloroquina (200mg, 8 días) + Acromicina (500mg, 8 días) + Metilprednisolona (1mg/ kg/día) + Remdesivir (100mg, 10 días) + Tocilizumab (400mg, 2 dosis).
Como se muestra en la Tabla 1, nuestro paciente cumplía con los criterios de Berlín para el Síndrome de Dificultad Respiratoria Aguda (SDRA), con un PaO2/FiO2 de 180; la ecografía de pulmón descartó la presencia de edema hidrostático. El paciente se sometió a tres sesiones largas en posición prona (24-48 horas cada una) y al quinto día de haber sido ingresado, se le realizó una traqueotomía para facilitar el destete de la ventilación mecánica.
Después del ingreso el paciente se encontraba hemodinámicamente estable y no requirió medicamentos vasoactivos. Adicionalmente, el paciente recibió tratamiento dirigido con antibióticos a base de meropenem + ampicilina + anidulafungin para tratar una bacteriemia documentada por enterococos y colonización por hongos con Candida Glabrata, que se identificaron mediante un cultivo de aspirado bronquial. A pesar de la terapia con antibióticos, el paciente continuó con fiebre y elevación de la proteína Creactiva (PCR).
13 de abril, 2020 - el día del evento
Más temprano esa mañana, se documentaron aumento de los niveles de DD y hemocultivos positivos repetidos para enterococos fecalis. Dos días antes se había iniciado tratamiento anticoagulante con 40mg de enoxaparina /12 horas, nuevamente por aumento de los niveles de DD de 11,142 ng/mL a 19,406 ng/mL. Las plaquetas y los parámetros de coagulación se mantuvieron dentro de los rangos normales todo el tiempo.
Se realizó una ecocardiografía transtorácica para descartar endocarditis activa; no se observaron signos de endocarditis, falla de corazón derecho, ni patología cardiaca anormal.
Después de alguna horas el paciente presenta desaturación progresiva y constante, con pobre respuesta a las maniobras de reclutamiento alveolar, requiriendo aumento de FiO2 hasta 100%, para mantener una PaO2/FiO2 de 80-85. Debido a su inestabilidad hemodinámica, se inició perfusión continua de noradrenalina y adrenalina.
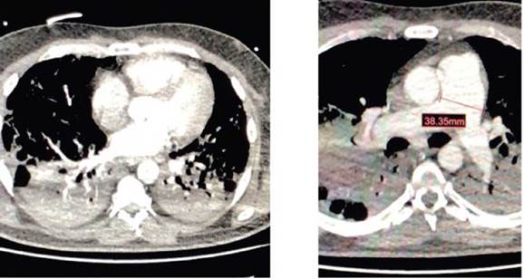
Ante la sospecha de tromboembolismo pulmonar, se realizó una angiotomografía de las arterias pulmonares (Imagen 1). El diagnóstico fue defectos de llenado central de las arterias pulmonares principales; múltiples trombos en las arterias pulmonares lobares, así como signos radiológicos sugestivos de consecuencias hemodinámicas en las cámaras del corazón derecho.

Defectos de llenado central en ambas arterias pulmonares principales y presencia de trombos. Signos radiológicos sugestivos de consecuencias hemodinámicas en las cámaras del corazón derecho: calibre de la arteria pulmonar hasta de 38mm, rectificación del tabique interventricular. FUENTE: Autores.
IMAGEN 1 Angiotomografía: tromboembolismo pulmonar agudo.
Un ecocardiograma transtorácico (ECT) realizado posteriormente mostró un ventrículo izquierdo no dilatado o hipertrófico, función sistólica preservada sin disrupción segmentaria. Un ecocardiograma transtorácico (ECT) realizado posteriormente a la cabecera del paciente, mostró un ventrículo izquierdo no dilatado ni hipertrófico, función sistólica preservada, sin disrupciones segmentarias. Dilatación del ventrículo derecho (VD) con disminución de la función (TAPSE 12mm, S' 7,5). Hipocinesia moderada de la pared lateral del VD (segmentos basal y medio) compatible con el signo de McConnell. La imagen interventricular era compatible con un trombo de 2x3,5 cm cerca de la banda moderadora del ventrículo derecho. No se encontraron trombos en la arteria pulmonar, ni en sus ramificaciones y sin presencia de disfunción valvular significativa ni derrame pericárdico. Evidencia de colapso parcial y dilatación de la vena cava inferior.
Ante inestabilidad hemodinámica e hipoxemia refractaria, a pesar de la ventilación mecánica controlada con FiO2 100%, se realizó fibrinólisis sistémica con Alteplase 100mg (perfusión por 2 horas), seguida de una perfusión de heparina no fraccionada (HNF: 1000 UI por hora). La heparina se descontinuó después de dos horas porque el paciente desarrolló hemorragia activa a través de la herida de la traqueotomía. Una vez controlada la hemorragia, se reinició la perfusión, manteniendo un tiempo de tromboplastina parcial (TTP) de 2,5 veces el valor normal.
Poco tiempo después de la fibrinólisis, el paciente presenta una evidente mejoría clínica hemodinámica y respiratoria. La saturación aumentó a 98%, de manera que el FiO2 se redujo al 90% y la perfusión con adrenalina se disminuyó a 0,02 mcg/kg/min. Dos horas más tarde, el paciente se desaturó bajando a 90% con FiO2 100% y desarrolló hipotensión; la dosis de adrenalina se aumentó a 0,05 mcg/ kg/min. Debido a la hipoxemia refractaria con 78% de saturación de oxígeno y un valor PaFi de 60, se le administró óxido nítrico (ON) unas horas más tarde, a una concentración de 20 partes por millón (ppm).
Se realiza un ecocardiograma transtorácico (ECT) para descartar la presencia de trombos pulmonares intracavitarios y proximales. El ventrículo derecho estaba dilatado con disfunción leve a moderada (TAPSE 17), por lo cual se inició tratamiento con Milrinona. Una ecografía de las extremidades inferiores descarta la presencia de trombosis venosa superficial y profunda. Entre tanto, continúa tratamiento con HNF y el valor DD continúa aumentando hasta llegar a >35.000 (ng/mL).
La función respiratoria del paciente continúa deteriorándose y al día siguiente se coloca de nuevo en posición prona. Luego de 36 horas de pronación, el paciente muestra una notoria mejoría hemodinámica y de la oxigenación, por lo cual se reduce la dosis de ON y se retiran la adrenalina y la noradrenalina. Un nuevo ECT muestra una función mejorada del ventrículo derecho (TAPSE 23). El tratamiento de anticoagulación se cambia a enoxaparina 80mg/12h y los niveles de DD van disminuyendo progresivamente. En la Tabla 1 se muestran los valores DD y otros parámetros importantes.
En el transcurso de los próximos días, se fueron reduciendo gradualmente el soporte ventilatorio y el ON, hasta retirar por completo el ON después de 8 días de tratamiento. Trece días después del evento, veintidós días después de que el paciente fuera ingresado a nuestra UCI, se logra destetarlo a oxígeno de alto flujo (50% FiO2 y 50 litros de flujo) a través de la traqueotomía. Finalmente, se retira la sonda el 25 de abril.
Luego de 30 días en nuestra UCI, el paciente fue trasladado al piso de medicina interna, con 3 litros de oxígeno suplementario con una cánula nasal convencional (Oxigenoterapia continua 3L), obteniéndose valores adecuados de gasometría. Se mantuvo el tratamiento anticoagulante con enoxaparina 80mg/12 horas.
En la actualidad, el paciente continúa hospitalizado, sin signos neurológicos focales y se encuentra hemodinámicamente estable; eupneico con 2 litros de oxigeno-terapia continua, recibiendo fisioterapia motora por el desarrollo de polineuropatía y atención siquiátrica para la dependencia de opioides.
DISCUSIÓN
La infección por 2019-nCov lleva al desarrollo de un estado de hipercoagulación y peores desenlaces en estos pacientes. Las autopsias realizadas en pacientes con COVID-19 en nuestro hospital, identificaron microtrombos diseminados en la vasculatura pulmonar. La fisiopatología de la coagulación exagerada en estos pacientes todavía no se ha determinado con precisión y probablemente involucre a múltiples mecanismos, diferentes a lo que están presentes en coagulopatía asociada a sepsis. Aún no se tienen datos específicos sobre la incidencia global de trombosis en pacientes con infección por SARS-CoV-2 4.
El caso aquí reportado trata sobre un paciente con tromboembolismo pulmonar masivo agudo, además de la formación aguda de trombos en el ventrículo derecho, que da lugar a inestabilidad hemodinámica que requirió fibrinólisis sistémica, con un desenlace exitoso. Otros factores tales como infección sistémica, reposo prolongado y el uso de catéter venoso central, pueden haber contribuido al desarrollo del evento.
Existen pocos datos de buena calidad sobre la incidencia de eventos trombóticos en pacientes con COVID 19 en la UCI. Un estudio observacional desarrollado por Klok y colaboradores en hospitales holandeses, estimó la incidencia de estos eventos trombóticos en aproximadamente 31% 5. Estudios asiáticos estiman la incidencia de coagulopatía en alrededor de 19% 6, excluyendo la información sobre eventos trombóticos. Sin embargo, ellos afirman que estos eventos son menos comunes en las poblaciones asiáticas, bien sea debido a factores genéticos o porque siguen una guías antitrombóticas profilácticas diferentes7.
A falta de contraindicaciones, el uso profiláctico de heparina de bajo peso molecular en todos los pacientes hospitalizados con -COVID-19, incluyendo los que no se encuentran en la UCI, es ampliamente aceptado por el ISTH y por la Sociedad Americana de Hematología. Existe un fuerte debate sobre la dosis terapéutica de anticoagulante y sobre el tiempo. Klok y colaboradores recomiendan una "alta dosis terapéutica" para todos los pacientes5.
Las actuales guías en la mayoría de los hospitales sugieren el uso de una dosis profiláctica de heparina de bajo peso molecular en todos los pacientes. "Las dosis profilácticas altas" (mayores a 40mg/24h de enoxaparina, entre 0,5 y 1mg/kg/h) y la dosis terapéutica (1mg/kg/24h de enoxaparina), deben reservarse para pacientes de alto riesgo, lo cual coincide con Tang y colaboradores, quienes reportaron una menor mortalidad después de 28 días de hospitalización, en una subpoblación de pacientes con COVID-19 y sepsis (40% vs 64.2%; P = 0,02) o seis veces los niveles de dímero D (32,8% vs 52,4%; P = 0,01)8. Más aun, un estudio reciente en el Hospital Mount Sinai, desarrollado por Paranjpe y colaboradores, concluyó que el tratamiento anticoagulante prolongado en pacientes hospitalizados con COVID-19, se asoció a una menor mortalidad (hazard ratio 0,86 por día; IC 95%, 0,82-0,89; P<0,001)9.
Ninguno de estos dos estudios, Tang y Paranjpe, reportaron eventos significativos asociados con anticoagulación. La incidencia no aumentó 9 y se describieron como poco frecuentes y generalmente leves8.
Es evidente que existe la necesidad de una estratificación de riesgo antitrombótico, a fin de determinar el esquema de anticoagulación óptimo. En la actualidad, la mayoría de las guían incluyen un puntaje de coagulopatía inducida por sepsis - SIC >4 (incluyendo recuento plaquetario, INR y la escala SOFA) y niveles aumentados de Dímero D (tres o cuatro veces superiores) 7-9. Otros factores de riesgo trombótico son: edad superior a los 65 años, sobrepeso, enfermedades crónicas subyacentes, cáncer, sepsis, antecedentes personales o familiares de enfermedad tromboembólica venosa, altos niveles de citoquina, o factores de riesgo especiales asociados a la UCI (sedación, inmovilización o el uso de catéter venoso central) 8-11.
Entre todos los factores mencionados, nuestro paciente solo cumplía con: inmovilización, presencia de catéter venoso central y niveles de DD y de citoquinas(IL-6) marcadamente elevados.
Un debate interesante sería si la manipulación del catéter venoso central en estos pacientes, que presentan una mayor tendencia a desarrollar un estado de hipercoagulabilidad, podría relacionarse con la génesis, o con la inmovilización de los trombos intracardiacos. Nuestro paciente desarrolló repentinamente esta presentación clínica impresionante, a pesar de haber tenido un ecocardiograma normal apenas una horas antes y de estar anticoagulado con heparina de bajo peso molecular: 40mg/12 horas, a pesar de un valor SIC < 4.
En nuestro centro, todos los pacientes ingresados a la unidad de cuidados intensivos, reciben dosis profilácticas (siempre y cuando su función renal sea normal) de acuerdo con el siguiente protocolo: <80 Kg de peso corporal: enoxaparina 40 mg/día; 80-100 kg: enoxaparina 60mg/día; >100kg: enoxaparina 40mg/12 horas. Las dosis terapéuticas (1 mg/kg cada 24 horas) se reservan para pacientes con factores de riesgo (SIC> 4 o historia de tromboembolismo venoso).
Se recomienda hacer mediciones seriadas de DD, tiempo de protrombina y recuento plaquetario (en orden descendente), para todos los pacientes con COVID-19, considerando que a medida que su condición se deteriora, se hace necesario administrar tratamientos más agresivos 12. El nivel de DD se ha considerado un predictor de mortalidad independiente 3,6, puede ser valioso, no solo para la detección temprana de pacientes con alto riesgo de trombosis, sino también para predecir sus desenlaces 9.
Nosotros vemos pacientes sin factores de riesgo, aparte de la inmovilidad y altos niveles de DD, que desarrollan eventos tromboembólicos que ponen su vida en peligro. Sería necesario llevar a cabo otros estudios para identificar correctamente cuáles pacientes se beneficiarían de la anticoagulación terapéutica, a fin de prevenir eventos tromboembólicos. Más aun, ha habido reportes de pacientes con SDRA por causa de COVID-19, que desarrollan más complicaciones y de mayor severidad, que las complicaciones trombóticas relacionadas con los pacientes con SDRA sin COVID-19 13.
Creemos que este reporte de caso es un aporte valioso, puesto que trata el tema de la evolución clínica del primer paciente con COVID-19 tratado exitosamente con fibrinólisis. Esto pudiera abrir el camino hacia nuevas hipótesis para investigación en el futuro, sobre la necesidad de administrar tratamiento anticoagulante precoz a pacientes críticos con infección por SARS-Cov-2.
Sin embargo, este es un caso puramente descriptivo del cual no podemos hacer asociaciones estadísticas. Es necesario realizar estudios prospectivos, aleatorizados, doble ciegos, de acuerdo con los estudios realizados por Tang y colaboradores y por Paranjpe y colaboradores, para evaluar la asociación entre anticoagulación temprana y mortalidad.
CONCLUSIÓN
La COVID-19 implica un estado de hipercoagulabilidad, probablemente mediada por citoquinas, que genera lesión micro y macrovascular. Este caso resalta la necesidad de llevar a cabo nuevos estudios para mejorar la estratificación del riesgo de trombosis en pacientes infectados por SARS-Cov-2, a fin de evaluar el potencial y los beneficios de la anticoagulación temprana.
Un deterioro repentino de la función respiratoria, con hipoxemia refractaria a maniobras de reclutamiento alveolar en pacientes infectados con SARS-CoV-2, siempre deberá llevarnos a pensar en tromboembolismo pulmonar agudo como causa subyacente. El ecocardiograma y la angiotomografía deberán ser de utilidad para establecer el diagnóstico y orientar la indicación de fibrinólisis sistémica precoz, en presencia de inestabilidad hemodinámica.
Protección de sujetos humanos y animales
Los autores declaran que los procedimientos seguidos se conformaron a las normas éticas del comité de experimentación humana responsable y de acuerdo con la Asociación Médica Mundial y la Declaración de Helsinki.
Confidencialidad de la información
Los autores declaran que han seguido los protocolos de su centro de trabajo sobre la publicación de datos de pacientes.
Derecho a la privacidad y consentimiento informado
Los autores declaran que en este artículo no aparecen datos de pacientes. Los autores han obtenido el consentimiento informado del paciente referido en el artículo. Este documento obra en poder del autor de correspondencia.
AGRADECIMIENTOS
Contribución de los autores
- BF: concibió y escribió el proyecto inicial y final del trabajo.
- BO: llevó a cabo la recolección y la interpretación de los datos.
- LB y DG: presentaron la propuesta del proyecto original e hicieron correcciones al último borrador.
- MG, GB, ML y PR: hicieron comentarios ayudaron con la recopilación de datos.
Agradecimiento
Ninguno declarado.
REFERENCIAS
1. Domínguez-Gil B, Coll E, Fernández-Ruiz M, Corral E, del Río F, Zaragoza R, et al. COVID-19 In Spain: Transplantation In The Midst Of The Pandemic. Am J Transplant. 2020;20:2593-8. doi: http://dx.doi.org/10.1111/ajt.15983. [ Links ]
2. Huang C, Wang Y, Li X, et al. Clinical features of patients infected with 2019 novel coronavirus in Wuhan, China. Lancet. 2020;395(10223):497-506. doi: http://dx.doi.org/10.1016/S0140-6736(20)30183-5. [ Links ]
3. Tang N, Li D, Wang X, Sun Z. Abnormal coagulation parameters are associated with poor prognosis in patients with novel coronavirus pneumonia. J ThrombHaemost. 2020;18(4):844-847. doi: https://dx.doi.org/10.1111/jth.14768. [ Links ]
4. Chong PY, Chui P, Ling AE, et al. Analysis of deaths during the severe acute respiratory syndrome (SARS) epidemic in Singapore: challenges in determining a SARS diagnosis [J]. Arch Pathol Lab Med. 2004;128(2):195-204. [ Links ]
5. Klok FA, Kruip MJHA, van der Meer NJM, et al. Incidence of thrombotic complications in critically ill ICU patients with COVID-19. Thromb Res. 2020;S0049-3848(20)30120-1. doi: https://dx.doi.org/10.1016/j.thromres.2020.04.013. [ Links ]
6. Zhou F, Yu T, Du R, et al. Clinical course and risk factors for mortality of adult inpatients with COVID-19 in Wuhan, China: a retrospective cohort study. Lancet. 2020;395:1054-1062. doi: https://doi.org/10.1016/S0140-6736(20)30566-3. [ Links ]
7. Zakai NA, McClure LA. Racial differences in venous thromboembolism. J ThrombHaemost . 2011;9(10):1877-1882. doi: http://dx.doi.org/10.1111/j.1538-7836.2011.04443.x. [ Links ]
8. Tang N, Bai H, Chen X, Gong J, Li D, Sun Z. Anticoagulant treatment is associated with decreased mortality in severe coronavirus disease 2019 patients with coagulopathy. J ThrombHaemost . 2020;18:1094-1099. doi: https://doi.org/10.1111/jth.14817. [ Links ]
9. Paranjpe I, Fuster V, Lala A, Russak A, Glicksberg BS, Levin MA, et al. Association of Treatment Dose Anticoagulation with In-Hospital Survival Among Hospitalized Patients with COVID-19. Journal of the American College of Cardiology. 2020;76(1):122-4. doi: https://doi.org/10.1016/j.jacc.2020.05.001. [ Links ]
10. Kollias A, Kyriakoulis KG, Dimakakos E, Poulakou G, Stergiou GS, Syrigos K. Thromboembolic risk and anticoagulant therapy in COVID-19 patients: emerging evidence and call for action. Br J Haematol. 2020. doi: https://doi.org/10.1111/bjh.16727. [ Links ]
11. Guan WJ, Ni ZY, Hu Y, et al. Clinical Characteristics of Coronavirus Disease 2019 in China. N Engl J Med. 2020;382:1708-20. doi: https://doi.org/10.1056/NEJMoa2002032. [ Links ]
12. Thachil J, Tang N, Gando S, Falanga A, Cattaneo M, Levi M, et al. ISTH interim guidance on recognition and management of coagulopathy in COVID-19. J ThrombHaemost . 2020;18:1023-1026. Disponible en: https://doi.org/10.1111/jth.14810. [ Links ]
13. Helms J, Tacquard C, Severac F et al. High risk of thrombosis in patients with severe SARS-CoV-2 infection: a multicenter prospective cohort study. Intensive Care Med. 2020;46:1089-98. doi: https://doi.org/10.1007/s00134-020-06062-x. [ Links ]
Recibido: 08 de Junio de 2020; Aprobado: 20 de Octubre de 2020; Aprobado: 09 de Marzo de 2021










text in 



