Services on Demand
Journal
Article
Indicators
-
Cited by SciELO -
Access statistics
Related links
-
Cited by Google -
Similars in
SciELO -
Similars in Google
Share
Colombian Journal of Anestesiology
Print version ISSN 0120-3347On-line version ISSN 2256-2087
Rev. colomb. anestesiol. vol.50 no.1 Bogotá Jan./Mar. 2022 Epub Jan 18, 2022
https://doi.org/10.5554/22562087.e978
Reporte de casos
Parálisis bilateral de cuerdas vocales tras infección por COVID-19. ¿Una manifestación neuroinvasiva? Serie de casos
a Anestesiología y Reanimación, Hospital Universitario Severo Ochoa. Madrid, España.
b Anestesiología y Reanimación. Clínica Colsubsidio Calle 100. Bogotá. Colombia.
El agente causal de la enfermedad por coronavirus (COVID-19), asociado a síndrome respiratorio agudo grave (SARS-CoV-2), genera un espectro de síntomas que afectan fundamentalmente el sistema respiratorio, el sistema nervioso central (SNC), la regulación hemostásica y el sistema inmune. La parálisis bilateral de cuerdas vocales (PBCV) es una entidad cuya incidencia en infectados se desconoce, bien porque no se presentan durante el tiempo suficiente o por la dificultad de establecer una causalidad directa con el virus.
La infección vírica, como causa de PBCV, está descrita en la literatura y se sospecha que una parte de los casos idiopáticos corresponden a infecciones víricas no diagnosticadas. Aunque los mecanismos neurotrópicos no están completamente aclarados para el SARS-CoV-2, existen indicios sólidos para asegurar su potencial neuroinvasivo. Las causas traumáticas, neoplásicas y neurológicas son las etiologías más comunes de PBCV, sin que se pueda descartar el origen vírico. Es plausible una causalidad entre el COVID-19 y la PBCV, que requerirá mayores estudios a corto y largo plazo. Presentamos una serie de casos que sostienen y discuten la hipótesis en consideración.
Palabras clave: Parálisis bilateral de cuerdas vocales; Neuroinvasión; Neurotropismo; SARS-CoV-2; COVID-19
The agent that causes the coronavirus disease (COVID-19), associated with the severe acute respiratory syndrome (SARS-CoV-2), produces a spectrum of symptoms that mainly affect the respiratory system, the central nervous system (CNS), the regulation of hemostasis and the immune system. Bilateral vocal fold paralysis (BVFP) is a condition of unknown incidence among infected patients, either because it is short-lived or because of the difficulty in establishing a direct cause to the virus.
Viral infection has been described in the literature as a cause of BVFP and there is the suspicion that a proportion of the idiopathic cases are due to undiagnosed viral infections. Although the neurotropic mechanisms for SARS-CoV-2 remain unclear, there is strong evidence to ensure its neuroinvasive potential. The most frequent etiologies of BVFP are trauma, neoplasm, and neurological, but a viral origin should not be ruled out. Causality between COVID-19 and BVFP is plausible and will require further study in the short and long term. We present a case series that support and discuss the hypothesis under consideration.
Keywords: Vocal cords bilateral palsy; Neuroinvasion; Neurotropism; SARS-CoV-2; COVID-19
INTRODUCCIÓN
El agente causal de la enfermedad por coronavirus (COVID-19) asociado a síndrome respiratorio agudo grave (SARS-CoV-2), apareció por primera vez en Wuhan (China) en diciembre de 2019. Generó un estado de emergencia en la comunidad científica, que ha llevado a replantear ciertos principios de las enfermedades infecciosas, la medicina preventiva y la epidemiología 1,2.
El progresivo conocimiento del espectro de síntomas del COVID-19 se ha ido divulgando de manera paulatina y paralela al progreso devastador, y geográficamente ubicuo de la pandemia.
Aunque no se conocen en profundidad los mecanismos fisiopatológicos de la enfermedad, sí se conocen los síntomas que afectan el sistema respiratorio en toda su extensión, los mecanismos de la hemostasia, el sistema inmune y el sistema nervioso central (SNC).
Sin embargo, existe un conjunto de manifestaciones de la enfermedad cuya incidencia se desconoce, bien porque no se presentan durante el tiempo suficiente para ser advertidas o bien por la dificultad de establecer una relación causal directa con el virus.
La parálisis bilateral de cuerdas vocales (PBCV) es una entidad cuyo diagnóstico, causa y tratamiento se encuentran descritos en la literatura. Aunque muchas PBCV se clasifican como de origen idiopático, existen virus con capacidad para producirla.
Se describen dos casos clínicos de pacientes COVID-19 con cuadros de PBCV posteriores a la infección. Así mismo, se plantea, por su interés, una hipótesis de causalidad entre el cuadro clínico y la infección, para futuros diagnósticos diferenciales.
REPORTE DE CASOS
Caso 1
Varón de 33 años de edad, diabético tipo II en tratamiento con antidiabéticos orales. El paciente fue hallado en su domicilio con bajo nivel de conciencia, requirió aislamiento de vía aérea, con PCR positiva (reacción en cadena de la polimerasa, por sus siglas en inglés de polimerase chain reaction) y serología (IgM+) para infección por SARS-CoV-2. Permaneció 13 días en la unidad de cuidados intensivos (UCI), con necesidad de intubación orotraqueal (IOT) y ventilación mecánica (VM). En la radiografía de tórax se observó patrón de afectación pulmonar bibasal compatible con infección por SARS-CoV-2.
En la UCI se le practicaron electroencefalograma y resonancia magnética nuclear (RMN) cerebral, sin alteraciones. En la punción lumbar se destacó una pleocitosis leve de líquido cefalorraquídeo (LCR), y se descartó encefalitis vírica por virus habituales.
El paciente reingresó en urgencias a los 27 días del alta, por disnea y estridor que no cedía en las últimas horas. En la radiografía de tórax se observó un patrón intersticial en probable relación con COVID-19. Se realizó fibroscopia indirecta, con cuerdas vocales en aducción y con fuerte disminución del espacio glótico, por lo que se trasladó a quirófano para control urgente de la vía aérea.
A su llegada a quirófano presentaba disnea franca, taquipnea, saturación de oxígeno 90 % y estridor. Se realizó IOT con videolaringoscopio, con resultado de Cormack I modificado, con cuerdas vocales en aducción completa.
El paciente tuvo buena adaptación a VM. Tras la revisión quirúrgica, se decidió actitud expectante sin traqueostomía, en UCI. Se mantuvo intubado y sedoanalgesiado, estable y se comenzó tratamiento con metilprednisolona 1 mg/kg/24h.
A las 48 horas se practicó extubación bajo control fibrobroncoscópico, en las que se observó leve paresia de ambas cuerdas vocales, con espacio glótico suficiente. El paciente se mantuvo eupneico y con leve disfonía, se le trasladó de la UCI a planta de hospitalización y, posteriormente, se le dio el alta.
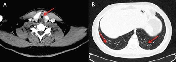
A las 72 horas reingresó por episodio de disnea con estridor. Se realizó tomografía axial computarizada (TAC), que mostró estenosis en el eje corto subglótico a 15 mm de la glotis, con una luz de 5 mm, sugerente de daño postintubación (Imagen 1a) y afectación pulmonar bibasal con fibrosis inferior al 10 % (Imagen 1b). Se realizó traqueostomía urgente. Se programó para dilatación traqueal con balón, guiado por fibrobroncoscopia, mediante el cual se obtuvo una luz adecuada y la posterior decanulación, sin incidencias.
Caso 2
Varón de 60 años de edad, hipertenso, en tratamiento con enalapril; con antecedente de ingreso previo un mes antes, con diagnóstico de neumonía bilateral intersticial por SARS-CoV-2. El paciente permaneció 27 días en la UCI por requerimiento de soporte respiratorio invasivo. Durante su estancia recibió tratamiento con metilprednisolona en dosis de 1 mg/kg/24h. Como complicaciones, presentó una bacteriemia secundaria a Enterococcus faecalis que fue tratada con ampicilina y una traqueobronquitis secundaria a Staphylococcus aureus sensible a meticilina, tratada con cloxacilina.
A los 40 días del alta el paciente acudió a urgencias por sensación de cuerpo extraño, disnea y taquicardia, además de estridor y voz asténica. Se realizó fibrolaringoscopia en la que se observaron ambas cuerdas vocales en posición paramediana, con mínimo espacio para el paso del aire (Imagen 2a). Se diagnosticó PBCV y se sometió a traqueostomía urgente con anestesia local.
Como pruebas complementarias se realizaron PCR (negativa) y serología (IgM e IgG positivas) para SARS-CoV-2. El TAC craneal y cervical no presentaron alteraciones, y la radiografía de tórax mostró un patrón compatible con neumonía COVID-19 evolucionada (Imagen 2b).
Se le dio de alta y se le indicaron controles por otorrinolaringología para la PBCV y la traqueostomía.
DISCUSIÓN
La PBCV se caracteriza por la inmovilidad de las cuerdas en aducción o abducción completa o en posición paramedial 3. El término se refiere a la ausencia o disminución de la función del nervio vago, en cualquier punto de su rama terminal a través del nervio laríngeo recurrente 3-7. Se considera un trastorno infrecuente, que constituye un tercio del total de las parálisis de cuerdas vocales 7. Al igual que otras enfermedades de las cuerdas vocales, la PBCV tiene una prevalencia mayor en mujeres que en hombres 5.
Las manifestaciones clínicas de una PBCV tienen grados variables de estridor y disnea 3-7. La obstrucción total del calibre de la vía área indica un abordaje urgente mediante traqueostomía 3.
El diagnóstico de PBCV se realizará clínicamente por medio de fibrolaringoscopia indirecta y luz estroboscópica 5,6. El diagnóstico diferencial se basa en la historia clínica, los hallazgos en la laringoscopia y en la electromiografía laríngea 5.
La etiología más común de PBCV es el traumatismo tras cirugía de tiroides, seguida de la neoplásica y la neurológica 3-6,8. Las parálisis idiopáticas varían entre un 0,650 % de los casos 6.
La hipótesis viral en la PCVB está descrita de manera secundaria a influenza A, Epstein-Barr, citomegalovirus, herpes simple o varicela zóster 8-10. Se sospecha que una parte importante de los casos idiopáticos corresponden a infecciones víricas no diagnosticadas 11.
Las parálisis secundarias a infecciones víricas revisten buen pronóstico con una resolución completa en la mayoría de los pacientes, pero es importante la instauración de un tratamiento farmacológico temprano, cuando se conoce el agente causal 8-10.
En las parálisis con alta sospecha de infección vírica se realizarán pruebas de imagen, exploración neurológica, una punción lumbar para analizar el LCR y descartar encefalitis mediante PCR de los virus más habituales, así como una serología de estos en sangre 8,9.
El mecanismo por el que la mayoría de virus descritos pueden generar una PBCV, sería una reactivación que permite al virus migrar a través de los nervios hasta la piel u otros órganos, como el SNC, pudiendo causar, entre otros trastornos, parálisis de nervios craneales 8-10.
Existen virus con neurotropismo y capacidad para invadir las distintas células del SNC, que pueden producir diversos tipos de encefalitis e infecciones intracraneales 12. Algunos coronavirus (CoV) han demostrado su potencial neuroinvasivo, porque se aíslan en el LCR -es decir, se alojan en el LCR- y esto añade peso a la teoría de su posible implicación en daños producidos sobre el tejido nervioso 12-14. Se estima que el 24,8 % de los pacientes infectados por SARS-CoV-2 presentan algún síntoma neurológico central, con un 10,7 % de afectación del sistema nervioso periférico 12-15.
Se han descrito síntomas neurológicos en pacientes afectos por COVID-19, como cefalea, mareo, mialgias y anosmia, encefalopatía, encefalitis, encefalopatía necrotizante hemorrágica, ictus, crisis epilépticas, rabdomiólisis y síndrome de Guillain-Barré (SGB), asociados a la infección por el SARS-CoV-2 15. En el caso del SGB se ha demostrado una asociación fuerte entre ambas patologías, aunque existen diferencias en la presentación de la enfermedad, con mayor gravedad en los cuadros asociados a COVID-19 16.
Los mecanismos fisiopatológicos propuestos por los que los CoV pueden causar lesión sobre el SNC son: lesión por infección directa, lesión por hipoxia, lesión inmune y mediante interacción con el receptor de la enzima convertidora de angiotensina (ECA II) 12.
En la invasión directa se destacan la diseminación hematógena -en la que los CoV no tienen un papel importante- y la migración neuronal, de la que sería prototípica una diseminación por vía olfatoria, a través de la placa cribiforme del hueso etmoides, en las primeras etapas de la infección, con entrada del virus al tejido nervioso 12-14.
En la lesión hipóxica, el SARS-CoV-2, por el daño pulmonar, genera una alteración en el intercambio gaseoso e hipoxia en el SNC que conducirá a acidosis, vasodilatación cerebral, inflamación de las células cerebrales, edema intersticial, obstrucción del flujo sanguíneo cerebral e incluso cefalea debida a isquemia y congestión 12.
En la lesión inmune, la capacidad de los SARS-CoV para producir neumonía grave y un síndrome de respuesta inflamatoria sistémica, facilitará la persistencia de la infección, que permitirá al virus contaminar macrófagos, células gliales y astrocitos, lo que favorece un estado proinflamatorio que se potenciará mediante una cascada de citocinas (IL6,IL-12,IL-15 y TNF-a) 12,13.
La ECA II se expresa en gran medida en las células epiteliales pulmonares, los miocitos cardiacos y las células endoteliales vasculares 17. Los receptores de ECA II constituyen una diana para SARS-CoV-2 mediando su internalización celular. Además, el virus regula negativamente la expresión de ECA II, que convierte la angiotensina I y II en péptidos cardioprotectores, por lo que su pérdida en la superficie celular puede potenciar el daño cardiaco 17. La pérdida de ECA II en el endotelio vascular puede exacerbar la disfunción endotelial, la inflamación y la trombosis, así como dañar la barrera hematoencefálica y conducir a una invasión vascular del SNC 12,13,17.
La expresión de ECA II en las células endoteliales vasculares está relacionada con el estado patológico subyacente, la edad y el sexo. Su actividad se reduce en los vasos con placas ateroscleróticas establecidas y diabetes. La hipertensión se observa con frecuencia en pacientes con COVID-19, pero no está claro si es un factor de riesgo para adquirir la infección 17.
Establecer una causalidad entre los dos casos clínicos y la PBCV es complejo, ya que resulta imposible descartar otras causas etiológicas, y no se debe olvidar que gran parte de las PBCV son idiopáticas. Ateniéndonos a la hipótesis vírica, el SARS-CoV-2 podría generar una invasión directa mediante una migración neuronal, lo que justificaría una posterior afectación del par craneal implicado en la parálisis.
La PBCV es una patología infrecuente, sus manifestaciones clínicas más comunes son disnea, dificultad respiratoria y estridor. Su manejo suele ocasionar una situación de emergencia que precisa aislamiento urgente de la vía aérea.
Conocer las complicaciones secundarias de SARS-CoV-2 puede constituir una fuente de información muy útil, que facilite el manejo clínico y que aporte seguridad al paciente.
A la espera de realizar estudios con poblaciones mayores, y de aclarar completamente los mecanismos neuroinvasivos del virus, se debería considerar la infección por SARS-CoV-2 dentro del diagnóstico diferencial de la PBCV.
Agradecimientos
A todo el servicio de Anestesiología y Reanimación del Hospital Severo Ochoa, especialmente a los residentes, quienes por su entrega y dedicación durante la pandemia han sido un ejemplo, en lo personal y en lo profesional.
REFERENCIAS
1. Suárez Aguilar L. Recomendaciones para la sedación fuera del quirófano durante la pandemia de COVID-19. Colombian Journal of Anesthesiology. 2020;48(4):e929. doi: https://doi.org/10.5554/22562087.e929 [ Links ]
2. Flórez ID, Sierra JM, Calvache JA. Evidencia y toma de decisiones en tiempos de pandemia. Colombian Journal of Anesthesiology . 2020;48(4):e931. doi: https://doi.org/10.5554/22562087.e931 [ Links ]
3. Martínez-Oropeza LC, González-Ojeda A, Góvea-Camacho LH, Macías-Amezcua MD, Fuentes-Orozco C. Manejo de la parálisis bilateral de cuerdas vocales mediante cordectomía con láser. Rev Med Inst Mex Seguro Soc. 2014;52(2):162-67. [ Links ]
4. Toutounchi S, Eydi M, Golzari S, Ghaffari M, Parvizian N. Vocal cord paralysis and its etiologies: a prospective study. J Cardiovasc Thoracic Res. 2014;6(1):47-50. doi: http://www.doi.org/10.5681/jcvtr.2014.009 [ Links ]
5. Pinto JA, Godoy LB, Marquis VW, Sonego TB, Leal Cde F. Inmovilidad de las cuerdas vocales bilateral: diagnóstico y tratamiento. Rev Bras Otorrinolaringol. 2011;77(5):594-9. doi: http://www.doi.org/10.1590/s1808-86942011000500010 [ Links ]
6. Dankbaar JW, Pameijer FA. Vocal cord paralysis: anatomy, imaging and pathology. Insights Imaging. 2014:5(6)743-51. doi: http://www.doi.org/10.1007/s13244-014-0364-y [ Links ]
7. Li Y, Garrett G, Zealear D. Current treatment options for bilateral vocal fold paralysis: A state-of-the-art review. Clin Exp Otorhinolaryngol. 2017;10(3):203-12. doi: http://www.doi.org/10.21053/ceo.2017.00199 [ Links ]
8. Rasmussen ER, Mey K. Vocal cord paralysis associated with Ramsay Hunt syndrome: looking back 50 years. Case Reports. 2014;2014:bcr2013201038. doi: http://www.doi.org/10.1136/bcr-2013-201038 [ Links ]
9. Dupuch V, Saroul N, Aumeran C, Pastourel R, Mom T, Gilain L. Bilateral vocal cord abductor paralysis associated with primary herpes simplex infection: a case report. Eur Ann Otorhinolaryngol Head Neck Dis. 2012;129(5):272-4. doi: http://www.doi.org/10.1016/j.anorl.2012.02.004 [ Links ]
10. Zaki SA, Shanbag P. Bilateral vocal cord palsy: A rare complication of varicella in children. Indian J Crit Care Med. 2012:16(1):62-3. doi: http://www.doi.org/10.4103/0972-5229.94447 [ Links ]
11. Sethi KP, Batra A, Sethi NK, Torgovnick J, Arsura E. Vocal cord palsy: an uncommon presenting feature of myasthenia gravis. Ann Indian Acad Neurol. 2011:14:42-3. doi: http://www.doi.org/10.4103/0972-2327.78049 [ Links ]
12. Wu Y, Xu X, Chen Z, Duan J, Hashimoto K, Yang L, et al. Nervous system involvement after infection with COVID-19 and other coronaviruses. Brain Behav Immun. 2020:87:18-22. doi: http://www.doi.org/10.1016/j.bbi.2020.03.031 [ Links ]
13. Baig AM, Khaleeq A, Ali U, Syeda H. Evidence of the COVID-19 Virus targeting the CNS: Tissue distribution, host-virus interaction, and proposed neurotropic mechanisms. ACS Chem Neurosci. 2020;11(7):995-8. doi: http://www.doi.org/10.1021/acschemneuro.0c00122 [ Links ]
14. Saleki K, Banazadeh M, Saghazadeh A, Rezaei N. The involvement of the central nervous system in patients with COVID-19. Reviews in the Neurosciences. 2020;31(4):453-6. doi: http://www.doi.org/10.1515/revneuro-2020-0026 [ Links ]
15. Carod-Artal FJ. Complicaciones neurológicas por coronavirus y COVID 19. Rev Neurol. 2020;70(09):311-22. doi: https://doi.org/10.33588/rn.7009.2020179 [ Links ]
16. Trujillo Gittermann LM, Valenzuela Feris SN, von Oetinger Giacoman. Relación entre COVID-19 y síndrome de Guillain-Barré en adultos. Revisión sistemática. Neurología. 2020;35(9):646-54. doi: http://www.doi.org/10.1016/j.nrl.2020.07.004 [ Links ]
17. Sattar Y, Ullah W, Rauf H, Hassan H, Sunita V, et al. COVID-19 cardiovascular epidemiology cellular pathogenesis, clinical manifestations and management. Int J Cardiol Heart Vasc. 2020:29:100589. doi: http://www.doi.org/10.1016/j.ijcha.2020.100589 [ Links ]
Cómo citar este artículo: Correa Barrera JJ, Gómez del Pulgar Vázquez B, Orozco Vinasco A, Sánchez Zamora P Sánchez Solano S, Martos Gisber N, et al. Bilateral vocal fold paralysis after COVID-19 infection. Another neuro-invasive manifestation? Case series. Colombian Journal of Anesthesiology. 2022;50:e978.
Recibido: 01 de Octubre de 2020; Aprobado: 20 de Noviembre de 2020; : 25 de Marzo de 2021










text in 





