Services on Demand
Journal
Article
Indicators
-
Cited by SciELO -
Access statistics
Related links
-
Cited by Google -
Similars in
SciELO -
Similars in Google
Share
Acta Neurológica Colombiana
Print version ISSN 0120-8748
Acta Neurol Colomb. vol.30 no.4 Bogotá Oct./Dec. 2014
Caso clínico
Infartos limítrofes cerebrales y cerebelosos asociados a compromiso hemodinámico: reporte de caso y revisión de la literatura
Cerebral and cerebellar watershed infarcts associated with hemodynamic impairment: case report and literature review
Vanessa Benjumea (1), Adolfo Vélez (2), Olga Hernández (3), Carlos Santiago Uribe (4)
(1) Residente de Neurología, II año. Instituto Neurológico de Colombia, Departamento de Neurología, Universidad CES. Medellín, Colombia.
(2) Residente de Neurología, IV año. Instituto Neurológico de Colombia, Departamento de Neurología, Universidad CES. Medellín, Colombia.
(3) Neurointensivista. Instituto Neurológico de Colombia, Departamento de Cuidado Crítico Neurológico. Medellín, Colombia.
(4) Neurólogo. Instituto Neurológico de Colombia, Departamento de Neurología. Medellín, Colombia.
Recibido: 16/05/14. Aceptado: 3/10/14.
Correspondencia: Vanessa Benjumea: vanebenjumeacuartas@gmail.com
RESUMEN
Mujer de 86 años, hipertensa, evaluada por 72 horas de pérdida de la conciencia luego de una caída súbita que no fue precedida por ningún síntoma. Durante el examen físico se encontraba hipotensa, sin respuesta al estímulo doloroso, con reflejos de tallo presentes. Durante la hospitalización permaneció hipotensa y necesitó soporte vasopresor. Despúes de un mes de hospitalización continuó sin respuesta.
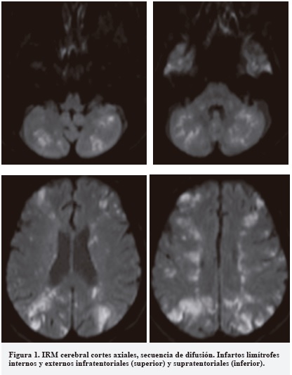
La IRM cerebral mostró eventos agudos isquémicos bilaterales tanto supra como infratentoriales (Figura 1). En la ecocardiografía se evidenció una fracción de eyección de 55% con un aneurisma del septum atrial con desplazamiento bilateral de 15 mm y un foramen oval permeable de 7 mm. El doppler de miembros inferiores fue normal.
Discusión: Los infartos cerebrales limítrofes constituyen aproximadamente el 10% de todos los infartos cerebrales. Dichos infartos se pueden clasificar en externos (corticales) e internos (subcorticales). Cuando ambos se presentan en un mismo paciente, de forma bilateral y con compromiso tanto supratentorial como infratentorial, la causa más probable es la alteración hemodinámica y el pronóstico invariablemente es pobre.
PALABRAS CLAVE. Infartos cerebrales, Limítrofes, Alteración hemodinámica, Cortical, Subcortical, pronóstico (DECS).
SUMMARY
A 86-year-old hypertensive woman was evaluated for 72 hours of unconsciousness after a sudden fall that was not preceded by any symptoms. Upon examination, she was hypotensive and unresponsive to pain. Brainstem reflexes were present. During hospitalization, she remained hypotensive and needing vasopressor support. After 1 month, she remained unresponsive.
The MRI showed bilateral supratentorial and infratentorial accute ischemic strokes (Figure 1). The echocardiogram showed an ejection fraction of 55% and an atrial septal aneurysm with bilateral excursions of 15 mm and a patent foramen ovale of 7 mm. The doppler ultrasound of lower extremities was normal.
Discussion: Watershed infarcts constitute approximately 10% of all brain infarcts. Two types are recognized: external (cortical) and internal (subcortical) and when both occur in association with bilateral, supratentorial and infratentorial infarcts, there is a higher probability of hemodynamic impairment, and the prognosis is invariably poor.
KEY WORDS. Stroke, Watershed infarcts, Hemodynamic impairment, Cortical, Subcortical, Prognosis (MeSH).
INTRODUCCIÓN
Los infartos cerebrales limítrofes constituyen aproximadamente el 10% de todos los infartos cerebrales y se clasifican en externos (corticales) e internos (subcorticales). A continuación presentamos el caso de una paciente quien presentó un infarto masivo con compromiso cortical y subcortical, tanto supratentorial como infratentorial, probablemente asociado a compromiso hemodinámico persistente.
PRESENTACIÓN DEL CASO
La mujer de 86 años fue evaluada por 72 horas de pérdida de la conciencia persistente luego de una caída súbita que no estuvo precedida por ningún síntoma. La paciente tenía un antecedente personal de hipertensión arterial manejada con IECAs. Durante el examen físico, se encontraba hipotensa y sin respuesta al estímulo doloroso. Los reflejos de tallo estaban presentes. Durante la hospitalización permaneció hipotensa y necesitó soporte vasopresor. Luego de un mes de hospitalización, la paciente continuó sin respuesta.
La IRM cerebral mostró eventos agudos isquémicos bilaterales tanto supra como infratentoriales (Figura 1). El Doppler de vasos de cuello no mostró anormalidades significativas. El EKG mostró una elevación del segmento ST en precordiales V1-V3 y los niveles de troponina I fueron 1.66 ng/ml (0.0-0.05). En la ecocardiografía transesofágica se evidenció una fracción de eyección de 55%, con un aneurisma del septum atrial con desplazamiento bilateral de 15 mm y un foramen oval permeable de 7 mm. Con el fin de descartar trombosis venosa profunda como fuente de embolismo paradójico, se realizó un doppler de miembros inferiores en el que no se evidenció ninguna anormalidad. El videomonitoreo EEG mostró un enlentecimiento del ritmo de fondo con ausencia de ritmos fisiológicos y escasa variabilidad y reactividad.

DISCUSIÓN
Los infartos cerebrales en zonas limítrofes, definidos como lesiones isquémicas en un área entre dos territorios vasculares vecinos, fueron discutidos por primera vez en 1883 y constituyen aproximadamente el 10% de todos los infartos cerebrales. Se han propuesto varias teorías para explicar su patogénesis y se cree que la causa más frecuente es la presentación de episodios repetitivos de hipotensión sistémica severa (1). Dichos infartos limítrofes se pueden clasificar en las siguientes categorías:
Externos o corticales: localizados en las uniones de los territorios arteriales cerebrales anterior, medio y posterior. Los infartos localizados en la zona limítrofe externa anterior y la sustancia blanca paramediana se encuentran en la unión de los territorios irrigados por las arterias cerebrales anterior y media, y aquellos localizados en las áreas parieto-occipitales (zonas limítrofes externas posteriores) se encuentran en la unión de los territorios irrigados por las arterias cerebrales media y posterior (1).
El mecanismo que lleva a este tipo de infarto ha sido debatido ampliamente. En relación con lo anterior, un infarto aislado cortical limítrofe puede ser de naturaleza embólica; con menor frecuencia, está asociado a compromiso hemodinámico. Además, en relación con la distribución, los infartos externos anteriores son más comunes que los posteriores por la alta prevalencia de la enfermedad arterial carotídea interna. Por otro lado, la enfermedad del sistema vertebrobasilar con circulación fetal superpuesta (por ejemplo, la arteria cerebral posterior de origen fetal) puede llevar a infartos externos posteriores. Estos últimos, localizados de forma unilateral, se han relacionado con émbolos, ya sean de origen cardíaco o procedentes de la arteria carótida común. Así mismo, los infartos bilaterales son más probablemente causados por alteración hemodinámica subyacente (estenosis vascular) (1,2).
La apariencia en la neuroimagen usualmente es en forma de cuña u ovoidea y su localización varía según el territorio arterial. El curso clínico de estos usualmente es más benigno y los pacientes tienen mejor pronóstico en comparación con los infartos limítrofes internos. Cabe anotar que los infartos externos se presentan en estrecha relación con la superficie cortical donde se originan las arterias penetrantes y, por lo tanto, hay una mayor posibilidad de desarrollar irrigación colateral a través de anastomosis leptomeníngeas o durales. Sin embargo, cuando los infartos externos ocurren en asociación con los internos hay una mayor probabilidad de un compromiso hemodinámico subyacente y el pronóstico puede ser peor (1).
Internos o subcorticales: localizados en las uniones de los territorios arteriales cerebrales anterior, medio y posterior con los territorios de las arterias de Heubner, lenticuloestriadas y coroidea anterior. La apariencia imaginológica, en general, se caracteriza por múltiples infartos con un patrón similar a un rosario. Sin embargo, de acuerdo con sus características en la neuroimagen se clasifican en parciales y confluentes; es así como se ha descrito la influencia que genera la duración del compromiso hemodinámico; es decir, una duración corta puede llevar a un infarto parcial y una prolongada a infartos confluentes. Los infartos parciales son usualmente grandes, con una forma de tabaco, y están dispuestos en un patrón parecido a un rosario, paralelo y adyacente al ventrículo lateral (1, 3).
Los mecanismos causales son usualmente estenosis/oclusión arterial o un compromiso hemodinámico. La mayor vulnerabilidad de las zonas limítrofes internas a este último se ha explicado con base en las características anatómicas de las arteriolas cerebrales en estas zonas; por lo tanto, el centro semioval y la corona radiada son las regiones más susceptibles en este contexto. Estos infartos internos se asocian con un pobre pronóstico y con un deterioro clínico (1, 3, 4).
Nuestra paciente tiene un pronóstico pobre en la medida en que tiene infartos limítrofes tanto internos como externos, supra e infratentoriales y, de acuerdo con la historia clínica y la apariencia radiológica, el mecanismo causal más probable es el compromiso hemodinámico (1, 5).
Agradecimientos:
Dr. José Ascencio, Neuroradiólogo, Instituto Neurológico de Colombia.
Conflicto de intereses
Los autores declaran no tener conflicto de intereses.
REFERENCIAS
1. MANGLA R, KOLAR B, ALMAST J, EKHOLM SE. Border zone infarcts: pathophysiologic and imaging characteristics. Radiographics. 2011;31(5):1201-14. [ Links ]
2. AMARENCO P, LÉVY C, COHEN A, TOUBOUL PJ, ROULLET E, BOUSSER MG. Causes and mechanisms of territorial and nonterritorial cerebellar infarcts in 115 consecutive patients. Stroke. 1994;25(1):105-12. [ Links ]
3. BLADIN CF, CHAMBERS BR. Clinical features, pathogenesis, and computed tomographic characteristics of internal watershed infarction. Stroke. 1993;24(12):1925-32. [ Links ]
4. DERDEYN CP, KHOSLA A, VIDEEN TO, FRITSCH SM, CARPENTER DL, GRUBB RL JR, ET AL. Severe hemodynamic impairment and border zone-region infarction. Radiology. 2001;220(1):195-201. [ Links ]
5. KLIJN CJM, KAPPELLE LJ. Haemodynamic stroke: clinical features, prognosis, and management. Lancet Neurol. 2010;9(10):1008-17. [ Links ]












