INTRODUCCIÓN
Los abscesos encefálicos son poco frecuentes, y se asocian a trauma craneal con fracturas expuestas de cráneo y a operaciones intracraneales 1-3. El absceso encefálico casi siempre es secundario a un foco purulento en otra parte del cuerpo, como senos paranasales, oído medio y celdillas mastoideas. La infección del parénquima cerebral inicia como un área localizada (cerebritis) y posteriormente se convierte en una colección de pus dentro de una cápsula 4, lo que lo diferencia de la encefalitis 5,6. Clínicamente puede presentarse con cefalea, crisis convulsivas, signos de hipertensión intracraneana, signos cerebrales focales, o puede simular la presentación de un tumor cerebral.
Esta entidad es responsable de 5 % de las lesiones intracraneanas, con una mortalidad entre 22 y 53 %, teniendo como principales factores de riesgo la edad mayor a 40 años, enfermedad de base, situación clínica inicial crítica, alteración del estado de conciencia, inicio de antibiótico de manera tardía y tratamiento antibiótico empírico inadecuado 7. Se pueden presentar distintas complicaciones agudas como infartos embólicos, hemorragia intracraneana, hipertensión intracraneana o hernia encefálica, según la topografía del absceso. El pronóstico mejora si se hace un diagnóstico y tratamiento precoz. La irrupción al sistema ventricular es la complicación subaguda más sería y se relaciona con una mortalidad de 80 a 100% 8. Entre 21 y 30% de los pacientes presentan secuelas, tales como epilepsia focal estructural 9, disartria, paresia de miembros, trastorno mnésico y fístulas de líquido cefalorraquídeo 10. El número de muertes secundarias a este tipo de infección cerebral ha disminuido gracias al diagnóstico imagenológico, los antibióticos de amplio espectro, y el drenaje de absceso en casos puntuales 11,12.
Aquí se presenta el caso de una paciente adolescente con estafilococemia, que presentó un absceso encefálico como complicación secundaria.
Presentación de caso
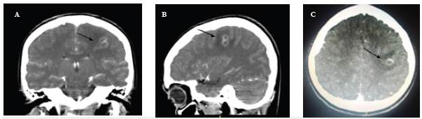
Una mujer de 19 años, que laboraba como mesera, ingresó al servicio de urgencias por presentar artralgia en rodilla derecha, asociada a vómito, y petequias, de 3 días de evolución (figura 1) así como hemiparesia derecha. Al examen físico presentaba signos vitales normales, petequias que no desaparecían a la digitopresión en manos, cara y dorso, además de pústulas en miembros inferiores con descamación de piel en regiones distales, y una hemiparesia derecha grado 3/5. Al ingreso se realizaron estudios paraclínicos (tabla 1) e imagenológicos. Se encontró hipo-densidad parietal subcortical izquierda macrolobulada en la tomografía computarizada (TC) simple y contrastada (figura 2), por lo que se complementó el estudio con resonancia magnética contrastada (figura 3), que mostró el realce periférico de la lesión. Se realizó un ecocardiograma transtorácico, que descartó endocarditis bacteriana, y se solicitó perfil inmunológico que fue normal, descartando un proceso autoinmune asociado a una vasculitis de sistema nervioso central; adicionalmente, el servicio de dermatología realizó biopsia de piel para estudio complementario de las lesiones presentadas.

Foto tomada por los autores.
Figura 1 Lesiones dermatológicas: A). Petequias en región palmar. B). Pústulas en miembro inferior derecho.

Figura 2 Lesión hipodensa en región parietal subcortical izquierda, que posteriormente a administración de medio de contraste presenta lesión macrolobulada, parcialmente definida con realce en anillo de aproximadamente 14 x 8 x 9 mm.

Figura 3 Formación heterogénea que compromete la región precentral del lado izquierdo, con áreas restrictivas, halo hipointenso y refuerzo periférico luego de administración de contraste.
Durante el segundo día de hospitalización la paciente presentó picos febriles; se practicaron hemocultivos (#3) y una tinción de gram, en donde se evidenció la presencia de cocos gram positivos. Se inició manejo con ampicilina y gentamicina durante 21 días. Al segundo día de antibióticoterapia la paciente presentó artritis reactivas en ambas rodillas, por lo que el servicio de ortopedia realizó estudio de líquido sinovial, que fue sugestivo de artritis séptica. Se decidió continuar con tratamiento antibiótico instaurado inicialmente a la espera de reporte de hemocultivo para determinar microorganismo causal. La biopsia de piel mostró que las lesiones petequiales presentaban predominio de neutrófilos, probablemente asociado a infección de origen bacteriano, y el hemocultivo a las 72 horas reportó crecimiento de Staphylococcus aureus resistente a penicilina G, ampicilina y eritromicina. Dado el perfil de resistencia bacteriana se decidió escalonar a ceftriaxona y adicionar vancomicina por 6 semanas según protocolo institucional.
Al día 14 de tratamiento la paciente presentó mejoría de sus síntomas dermatológicos, con desaparición de las petequias y pústulas, así como la hemiparesia derecha. Un día antes de finalizar el tratamiento se decidió hacer una TC cerebral que mostró resolución significativa del absceso encefálico (figura 4). Al egreso se evidenció recuperación de la fuerza muscular en hemicuerpo derecho, teniendo como única secuela una limitación leve para el cierre de la mano derecha, por lo que se definió una funcionalidad total en base a la escala de Barthel (100/100 puntos). La paciente es revalorada por consulta externa un mes luego del egreso, ingresa sin déficit neurológico, con total funcionalidad y sin síntomas de recidiva del absceso encefálico.
DISCUSIÓN
Los abscesos encefálicos son poco frecuentes, pero además de ser causa de morbilidad y mortalidad importantes, generan altos costos a los sistemas de salud por las secuelas y complicaciones que pueden generar. Clínicamente debe realizarse un diagnóstico diferencial exhaustivo dado la presentación de una cefalea con signos de alarma, signos de hipertensión intracraneal con crisis convulsivas y signos de focalización neurológica que simulan un accidente cerebrovascular o un tumor encefálico 13-15. Se plantean tres orígenes para la adquisición y formación del absceso encefálico, el cual puede darse por contigüidad en un 50% de los casos, por patologías como sinusitis, otitis media, mastoiditis. En un 15 a 30%, se da por vía hematógena ante infecciones intraabdominales, pulmonares, cutáneas, cardiacas, y en un 8-19% de los casos se da por inoculación directa por trauma craneoencefálico con fractura expuesta de cráneo o procedimientos intracraneales 16,17. En el caso planteado el absceso encefálico fue secundario a una bacteriemia (vía hematógena) por S.aureus, de la cual no se definió un foco primario, lo cual puede ocurrir en una tercera parte de los pacientes 14,16. Se debe tener en cuenta que los abscesos encefálicos producidos por vía hematógena suelen ser múltiples 18, lo cual no fue evidenciado en nuestro caso.
Epidemiológicamente esta entidad se presenta más en países en vía de desarrollo, con predilección por el sexo masculino (3:1), siendo en su mayoría jóvenes o niños los más afectados 19,20. Además, se han asociado a varias comorbilidades como diabetes mellitus, alcoholismo, falla renal, cáncer, cirugías, endocarditis bacteriana, VIH/sida y cardiopatías congénitas 21, que se descartaron en nuestra paciente. En la patogenia se plantea lesión de la barrera hematoencefálica, ya sea por contigüidad o por vía hematógena; se generan distintas citocinas que favorecen quimiotaxis y lesionan esta estructura anatómica produciendo una mayor permeabilidad de las leptomeninges, proceso que se presenta en las primeras 72 horas (1 a 3 días). Cuando el patógeno ingresa al parénquima se forma una zona de reblandecimiento (cerebritis), la cual se va necrosando de forma paulatina generando un área piógena, lo cual se presenta entre el día 4 y el 10. Finalmente, por proliferación de fibroblastos se forma una cápsula del parénquima cerebral que delimita la lesión, entre los días 11 a 15 de iniciado el proceso infeccioso 11,25.
La sintomatología clínica depende de la localización del absceso encefálico 22. En 50% de los casos la triada característica se acompaña de cefalea, fiebre y síntomas focales 7, seguida por los síntomas de hipertensión intracraneana (náuseas, vómitos y somnolencia) 23, pero ninguno de estos fue evidenciado en esta paciente. Para su diagnóstico se deben realizar estudios imagenológicos en donde se evidencien la lesión intracraneal, su ubicación y tamaño, así se determinará su manejo clínico o neuroquirúrgico 14. En este caso la TC mostró la topografía de la lesión con sus características típicas no obstante se decidió confirmar dicho diagnóstico mediante RM, haciendo un seguimiento imagenológico a las 4 semanas y al finalizar la antibioticoterapia. El tratamiento se debe administrar según el perfil de resistencia bacteriana a los antibióticos con el objetivo de evitar complicaciones y así obtener buenos resultados 22,24.
En conclusión, los abscesos encefálicos son una entidad poco frecuente que puede presentar sintomatología similar a una enfermedad cerebrovascular y están asociados a varios factores de riesgo, teniendo en cuenta que hay varios mecanismos para que un microorganismo pueda ingresar al encéfalo, por lo que, ante la sospecha clínica, el diagnóstico confirmatorio debe realizarse con estudios imagenológicos y su tratamiento dependerá del antibiograma.















