Servicios Personalizados
Revista
Articulo
Indicadores
-
Citado por SciELO -
Accesos
Links relacionados
-
Citado por Google -
Similares en
SciELO -
Similares en Google
Compartir
Acta Medica Colombiana
versión impresa ISSN 0120-2448
Acta Med Colomb vol.48 no.3 Bogotá jul./set. 2023 Epub 09-Abr-2024
https://doi.org/10.36104/amc.2023.2865
Imágenes en medicina interna
Dolor dorsal persistente. Un caso de espondilodiscitis por coccidioidomicosis
a Departamento de Medicina Interna, Centro Médico Nacional del Noreste. Monterrey (México).
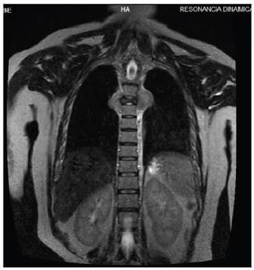
Mujer de 44 años con antecedente de artritis reumatoide. Inició hace cuatro años con dolor en región dorsal y lumbar, pérdida de peso no significativa, sin fiebre, parestesias y debilidad progresiva en miembros inferiores hasta llegar a la inmovilización. A la exploración física paraplejia de miembros inferiores y reflejos osteotendinosos disminuidos, sin adenomegalias ni masas. Laboratorios sin anormalidades. La resonancia magnética de columna dorsal y lumbar mostró lesión ósea blástica en T5 que afecta cuerpo vertebral, pedículo, apófisis transversa y unión costo vertebral derecha condicionando disminución del diámetro intervertebral (Figuras 1 y 2). Biopsia vertebral con hallazgos de osteomielitis crónica asociada a estructuras micóticas compatibles con coccidioides (Figura 3). Recibiendo anfotericina b desoxicolato durante dos semanas, hidratación intravenosa, presentando mejoría, egresándose con itraconazol y control por infectología. La coccidioi-domicosis es una infección fúngica capaz de producir osteomielitis siendo la columna lumbar el sitio principal, pudiendo complicarse con abscesos paravertebrales 1,2.

Figura 1 Resonancia magnética de columna dorsal en secuencia T2 corte sagital que muestra a nivel de T5 lesión ósea blástica que afecta cuerpo vertebral, pedículo y apófisis transversa.

Figura 2 Resonancia magnética de columna dorsal en secuencia T2 corte coronal que muestra lesión ósea blástica en T5 que afecta cuerpo vertebral, pedículo, apófisis transversa y unión costo vertebral derecha condicionando disminución del diámetro intervertebral.
Referencias
1. Crum N. F. Coccidioidomycosis: A Contemporary Review. Infectious diseases and therapy. 2022; 11(2), 713-742. [ Links ]
2. Johnson, R. H., Sharma, R., Kuran, R., Fong, I., & Heidari, A. Coccidioido mycosis: a review. Journal of investigative medicine: the official publication of the American Federation for Clinical Research. 2021; 69(2), 316-323 [ Links ]
Recibido: 13 de Febrero de 2023; Aprobado: 03 de Julio de 2023










texto en 



