SciELO - Scientific Electronic Library Online

 
vol.37 número3Síndrome de cascanueces acompañando un caso de síndrome de Wilkie: a propósito de un casoHamartoma quístico retrorrectal (tailgut cyst): reporte de un caso y revisión de la literatura índice de autoresíndice de materiabúsqueda de artículos
Home Pagelista alfabética de revistas  

Servicios Personalizados

Revista

Articulo

Indicadores

Links relacionados

  • En proceso de indezaciónCitado por Google
  • No hay articulos similaresSimilares en SciELO
  • En proceso de indezaciónSimilares en Google

Compartir


Revista colombiana de Gastroenterología

versión impresa ISSN 0120-9957versión On-line ISSN 2500-7440

Rev. colomb. Gastroenterol. vol.37 no.3 Bogotá jul./set. 2022  Epub 19-Dic-2022

https://doi.org/10.22516/25007440.798 

Reporte de caso

Afectación esofágica y pulmonar por paracoccidioidomicosis en paciente inmunocompetente: reporte de caso

Néstor Fabián Blanco-Barrera,1 
http://orcid.org/0000-0002-9540-4141

María Alejandra Villamizar-Jiménez,2  * 
http://orcid.org/0000-0002-3247-429X

Diana Valentina Tibaduiza-Upegui,2 
http://orcid.org/0000-0002-3650-0109

Fernando Stiven Ruiz-Julio.2 
http://orcid.org/0000-0002-1298-0355

1Internist, First Year Fellow in Gastroenterology, Universidad Militar Nueva Granada. Bogotá, Colombia.

2Undergraduate Medical Student, Universidad Autónoma de Bucaramanga (UNAB). Bucaramanga, Colombia


Resumen

La paracoccidioidomicosis es una infección fúngica endémica de América del Sur, que afecta predominantemente a los hombres y, según su campo laboral, granjeros y agricultores. Es ocasionada por la aspiración del hongo en su forma micelar y debuta en tres formas de presentación: aguda, subaguda y crónica; esta última es más frecuente en adultos, cuyo tratamiento dependerá de los azoles, anfotericina B y sulfonamidas. El presente caso trata de un hombre de 57 años, colombiano, agricultor, sin antecedentes patológicos, quien presentaba dos meses de disfagia para sólidos que progresó a líquidos, sialorrea y pérdida de peso, a quien se le realizó endoscopia de vías digestivas altas y se observaron lesiones blanquecinas, por lo cual se realizó una biopsia que evidenció levaduras en múltiple gemación compatibles con paracoccidioidomicosis; a su vez, se observó en una tomografía de tórax compromiso parenquimatoso intersticial generalizado; posteriormente, recibió tratamiento con itraconazol, con el que mostró mejoría y resolución del cuadro clínico. En vista de que América del Sur es endémica de la patología descrita y puede presentarse de forma diseminada en inmunocompetentes, se debe tener en cuenta en aquellos pacientes que poseen factores de riesgo, sintomatología y hallazgos en estudios de extensión sugestivos de dicha enfermedad, dado el gran espectro de presentación de la infección, para así dar tratamiento oportuno y dirigido.

Palabras clave: Paracoccidioidomicosis; blastomicosis; infecciones fúngicas invasoras

Abstract

Paracoccidioidomycosis (PCM) is a fungal infection endemic to South America. It predominantly affects men, depending on their work field: farmers and agriculturists. Paracoccidioidomycosis is caused by the aspiration of the fungus in its micellar form and manifests in three conditions: acute, subacute, and chronic; the latter is more frequent in adults, whose treatment will depend on azoles, amphotericin B, and sulfonamides. This case concerns a 57-year-old Colombian man, a farmer with no pathological history who showed dysphagia for solids that progressed to liquids, sialorrhea, and weight loss for two months. He underwent upper GI endoscopy, and whitish lesions were observed; thus, he was biopsied, displaying yeasts in multiple gemmations compatible with paracoccidioidomycosis. In turn, a chest CT scan showed generalized interstitial parenchymal involvement. Subsequently, he was treated with itraconazole, showing improvement and resolution in his clinical picture. Since the pathology described is endemic in South America and can be disseminated in immunocompromised patients. Given the broad infection spectrum, consideration should be given to patients with risk factors, symptomatology, and findings in extension studies suggesting this disease to provide timely and specific treatment.

Keywords: Paracoccidioidomycosis; blastomycosis; invasive fungal infections

Introducción

La paracoccidioidomicosis (PCM) es una enfermedad infecciosa fúngica endémica en Sudamérica con mayor prevalencia en Brasil, Venezuela, Colombia y Argentina1-3, es causada por dos clases de hongos que habitan en el suelo en forma micelial: Paracoccidioides brasiliensis y Paracoccidioides lutzii4,5. Al ser inspirados, ingresan a los alveolos pulmonares cuya temperatura corporal permite la conversión a levadura, lo que favorece su reproducción de tipo asexual y genera infección aguda de la enfermedad, principalmente en niños, o infección crónica, principalmente en los adultos6, que, en ocasiones, progresa a su forma secular y causa fibrosis pulmonar7,8. Dado que existen pocos reportes en la literatura de afectación esofágica por PCM, nuestro objetivo es traer el caso de un agricultor que debuta con síndrome constitucional asociado con disfagia, con hallazgos por biopsia de lesiones evidenciadas en la endoscopia de vías digestivas altas (EVDA), las cuales fueron compatibles con PCM y confirmaron compromiso esofágico y pulmonar por los hallazgos de la tomografía de tórax.

Presentación del caso

Se trata de un paciente masculino de 57 años, colombiano, agricultor, sin antecedentes patológicos, que presentó un cuadro clínico de dos meses de evolución caracterizado inicialmente por sensación de cuerpo extraño retroesternal; posteriormente, disfagia progresiva de sólidos a líquidos, con regurgitación 20 minutos después de la ingesta de estos, sin náuseas y sin arcadas, y en la última semana del cuadro clínico se acompañaba de sialorrea.

Al ingreso, en revisión por sistemas, refirió tos no productiva ocasional sin disnea y pérdida de peso de 10 kg en el último mes; se encontró al paciente estable, sin respuesta inflamatoria sistémica, signos vitales sin alteraciones, con índice de masa corporal (IMC) de 17 kg/m² y signos de deshidratación grado I. Se sospecha inicialmente de síndrome constitucional secundario a neoplasia de origen gastrointestinal, por lo que fue llevado a EVDA (Figura 1), se tomaron biopsias y se solicitaron estudios de extensión como tomografía de tórax (Figura 2A) con hallazgo de lesiones en el árbol de gemación y obstrucción esofágica a nivel del esófago en el tercio medio y distal (Figura 2B). Se descartó una infección por tuberculosis con 3 baciloscopias seriadas y cultivos negativos, enzimoinmunoanálisis de adsorción (ELISA) para virus de la inmunodeficiencia humana (VIH) negativo y hemograma dentro de los límites normales. El estudio histopatológico (Figura 3) de la biopsia esofágica evidenció una enfermedad granulomatosa crónica no necrotizante secundaria a infección micótica; la coloración de plata metenamina confirmó la presencia de levaduras extracelulares, con gemación de base angosta y formación de estructuras similares al “timón de barco” compatibles con PCM. Fue llevado a dilatación con balón a nivel esofágico y colocación de stent, y se inició un tratamiento con itraconazol en cápsulas de 100 mg cada 24 horas al día por 6 meses con el que presentó mejoría de disfagia y síntomas respiratorios; sin embargo, no se cuenta con un registro de seguimiento imagenológico postratamiento.

Figura 1 Hallazgos endoscópicos, obstrucción por estenosis esofágica y membranas endoluminales blanquecinas sin ulceraciones ni sangrado. 

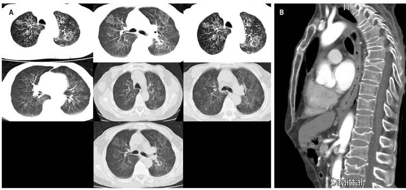
Figura 2 A. Tomografía de tórax de alta resolución en el que se evidencia compromiso parenquimatoso intersticial generalizado con hiperdensidades en el árbol en gemación. B. Tomografía de tórax de corte sagital que evidencia obstrucción esofágica a nivel del esófago en el tercio medio y distal. 

Figura 3 A. Biopsia esofágica, hematoxilina/eosina 40x. B. Biopsia esofágica, coloración de plata metenamina, 40x. Microfotografías cortesía de la Dra. Isabel Bolívar, patóloga, FOSCAL. 

Discusión

La PCM es una enfermedad sistémica, endémica de América del sur, especialmente en Santander, Colombia, con mayor afectación en edades de 30-50 años, en hombres, y según la profesión, agricultores, cuya infección primaria es pulmonar con previa aspiración del hongo en forma micelial, en la que la afectación sistémica dependerá de la respuesta inmune del hospedador, y existen tres presentaciones de la enfermedad: aguda, subaguda (la cual genera sintomatología aproximadamente después de 45 días de la exposición) y la crónica (la cual es más frecuente en adultos y se caracteriza por la reactivación de la infección primaria que pudo ser adquirida hace meses o hasta años, y sus síntomas dependen del órgano afectado). La presentación diseminada, especialmente la esofágica, es rara en personas inmunocompetentes; en estos pacientes las mucosas con mayor afectación se encuentran tanto en la cavidad bucal como en la cavidad laríngea; a pesar de esto, existen pocos reportes en la literatura9-12. Su diagnóstico comprende desde estudios histológicos y cultivos para hongos hasta la medición de anticuerpos6,13-16.

En el presente caso se tienen en cuenta varios factores de riesgo para contraer el agente infeccioso, tales como el área geográfica donde reside o labora y el sexo del paciente. Su grupo etario lo predispone a debutar con enfermedad crónica reactivada; además de la cronicidad de evolución clínica, presenta síndrome constitucional evidenciado por la pérdida involuntaria de peso; afectación pulmonar, manifestada por tos sin expectoración y disnea ocasional, los cuales pueden explicarse por el compromiso del parénquima pulmonar (Figura 2) y afectación esofágica, definidos por disfagia progresiva, que a su vez se demuestra por los hallazgos imagenológicos en los que se aprecia compromiso endoluminal y estenosis del mismo (Figuras 1 y 2B). El tratamiento consta de los azoles, destacando el itraconazol, el cual tiene mejor tolerancia, absorción y menos efectos adversos, y este fue el que se le administró al paciente con una posterior mejoría del cuadro clínico; también se pueden indicar las sulfonamidas y la anfotericina B, última para casos graves17. Estudios han demostrado que la presencia de comorbilidades y fibrosis pulmonar se asocia con alta morbimortalidad por la exacerbación de la enfermedad de base y complicaciones intrínsecas de la infección, razón por la cual el pronóstico del paciente es bueno ya que hay ausencia de antecedentes patológicos y no hay evidencia de fibrosis pulmonar en los exámenes de extensión solicitados18,19.

Conclusión

De lo anterior se concluye que para la aproximación diagnóstica de la PCM se debe tener en cuenta el área geográfica, el sexo, la ocupación y el tiempo de evolución de los signos y síntomas del cuadro clínico presentados por el paciente, apoyados en exámenes de extensión imagenológicos (que en nuestro caso fueron la tomografía de tórax y EVDA junto con un estudio histológico de biopsia) y en el manejo farmacológico antifúngico, el cual consta de azoles, y el itraconazol es una excelente opción por su tolerancia, absorción y disminución de efectos adversos medicamentosos; las sulfonamidas y la anfotericina B también son útiles para mejorar la evolución clínica del paciente. Se debe tener en cuenta esta entidad dentro de los diagnósticos diferenciales en personas con la misma sintomatología presentada, cuyo pronóstico final dependerá del grado de fibrosis pulmonar y de antecedentes patológicos asociados.

Agradecimientos

Agradecemos a las personas que permitieron hacer posible la divulgación de este reporte de caso.

REFERENCIAS

1. Restrepo A, Gómez BL, Tobón A. Paracoccidioidomycosis: Latin America’s Own Fungal Disorder. Curr Fungal Infect Rep. 2012;6(4):303-11. https://doi.org/10.1007/s12281-012-0114-xLinks ]

2. Sifuentes-Osornio J, Corzo-León DE, Ponce-de-León LA. Epidemiology of Invasive Fungal Infections in Latin America. Curr Fungal Infect Rep. 2012;6(1):23-34. https://doi.org/10.1007/s12281-011-0081-7Links ]

3. Mendes RP, Cavalcante RS, Marques SA, Marques MEA, Venturini J, Sylvestre TF, et al. Paracoccidioidomycosis: Current Perspectives from Brazil. Open Microbiol J. 2017;11:224-282. https://doi.org/10.2174/1874285801711010224Links ]

4. Teixeira MM, Theodoro RC, Nino-Vega G, Bagagli E, Felipe MSS. Paracoccidioides species complex: ecology, phylogeny, sexual reproduction, and virulence. PLoS Pathog. 2014;10(10):e1004397. https://doi.org/10.1371/journal.ppat.1004397Links ]

5. Teixeira M de M, Theodoro RC, Oliveira FFM de, Machado GC, Hahn RC, Bagagli E, et al. Paracoccidioides lutzii sp. nov.: biological and clinical implications. Med Mycol. Oxford University Press; 2014;52(1):19-28. [ Links ]

6. Da Costa MM, Marques da Silva SH. Epidemiology, Clinical, and Therapeutic Aspects of Paracoccidioidomycosis. Curr Trop Med Reports. 2014;1:138-44. https://doi.org/10.1007/s40475-014-0013-zLinks ]

7. Costa AN, Benard G, Albuquerque ALP, Fujita CL, Magri ASK, Salge JM, et al. The lung in paracoccidioidomycosis: new insights into old problems. Clinics (Sao Paulo). 2013;68(4):441-8. https://doi.org/10.6061/clinics/2013(04)02Links ]

8. Bocca AL, Amaral AC, Teixeira MM, Sato PK, Sato P, Shikanai-Yasuda MA, et al. Paracoccidioidomycosis: eco-epidemiology, taxonomy and clinical and therapeutic issues. Future Microbiol. 2013;8(9):1177-91. https://doi.org/10.2217/fmb.13.68Links ]

9. Bicalho RN, Santo MF, de Aguiar MC, Santos VR. Oral paracoccidioidomycosis: a retrospective study of 62 Brazilian patients. Oral Dis. 2001;7(1):56-60. https://doi.org/10.1034/j.1601-0825.2001.70111.xLinks ]

10. Silva CO, Almeida AS, Pereira AA, Sallum AW, Hanemann JA, Tatakis DN. Gingival involvement in oral paracoccidioidomycosis. J Periodontol. 2007;78(7):1229-34. https://doi.org/10.1902/jop.2007.060490Links ]

11. Godoy H, Reichart PA. Oral manifestations of paracoccidioidomycosis. Report of 21 cases from Argentina. Mycoses. 2003;46(9-10):412-7. https://doi.org/10.1046/j.0933-7407.2003.00917.xLinks ]

12. Sant’Anna GD, Mauri M, Arrarte JL, Camargo H Jr. Laryngeal manifestations of paracoccidioidomycosis (South American blastomycosis). Arch Otolaryngol Head Neck Surg. 1999;125(12):1375-8. https://doi.org/10.1001/archotol.125.12.1375Links ]

13. Borges SR, Silva GM, Chambela Mda C, Oliveira Rde V, Costa RL, Wanke B, et al. Itraconazole vs. trimethoprim-sulfamethoxazole: A comparative cohort study of 200 patients with paracoccidioidomycosis. Med Mycol. 2014;52(3):303-10. https://doi.org/10.1093/mmy/myt012Links ]

14. Blotta MH, Mamoni RL, Oliveira SJ, Nouér SA, Papaiordanou PM, Goveia A, et al. Endemic regions of paracoccidioidomycosis in Brazil: a clinical and epidemiologic study of 584 cases in the southeast region. Am J Trop Med Hyg. 1999;61(3):390-4. https://doi.org/10.4269/ajtmh.1999.61.390Links ]

15. Brunaldi MO, Rezende RE, Zucoloto S, Garcia SB, Módena JL, Machado AA. Co-infection with paracoccidioidomycosis and human immunodeficiency virus: report of a case with esophageal involvement. Am J Trop Med Hyg. 2010;82(6):1099-101. https://doi.org/10.4269/ajtmh.2010.09-0751Links ]

16. Moreto TC, Marques ME, de Oliveira ML, Moris DV, de Carvalho LR, Mendes RP. Accuracy of routine diagnostic tests used in paracoccidioidomycosis patients at a university hospital. Trans R Soc Trop Med Hyg. 2011;105(8):473-8. https://doi.org/10.1016/j.trstmh.2011.03.001Links ]

17. Negroni R. Paracoccidiodes brasiliensis (Paracoccidiomycosis) [Internet]. Antimicrobe.org. 2021 [consultado el 12 de octubre de 2021]. Disponible en: Disponible en: http://www.antimicrobe.org/f09.aspLinks ]

18. Shikanai-Yasuda MA, Conceição YM, Kono A, Rivitti E, Campos AF, Campos SV. Neoplasia and paracoccidioidomycosis. Mycopathologia. 2008;165(4-5):303-12. https://doi.org/10.1007/s11046-007-9047-2Links ]

19. Tobón AM, Agudelo CA, Osorio ML, Alvarez DL, Arango M, Cano LE, et al. Residual pulmonary abnormalities in adult patients with chronic paracoccidioidomycosis: prolonged follow-up after itraconazole therapy. Clin Infect Dis. 2003;37(7):898-904. https://doi.org/10.1086/377538Links ]

Citación: Blanco-Barrera NF, Villamizar-Jiménez MA, Tibaduiza-Upegui DV, Ruiz-Julio FS. Afectación esofágica y pulmonar por paracoccidioidomicosis en paciente inmunocompetente: reporte de caso. Rev Colomb Gastroenterol. 2022;37(3):311-315. https://doi.org/10.22516/25007440.798

Recibido: 27 de Junio de 2021; Aprobado: 14 de Enero de 2022

*Correspondencia: María Alejandra Villamizar-Jiménez. mvillamizar313@unab.edu.co

Conflictos de interés

Los autores declaran no tener ningún conflicto de interés

Creative Commons License This is an open-access article distributed under the terms of the Creative Commons Attribution License