Servicios Personalizados
Revista
Articulo
Indicadores
-
Citado por SciELO -
Accesos
Links relacionados
-
Citado por Google -
Similares en
SciELO -
Similares en Google
Compartir
Acta Medica Colombiana
versión impresa ISSN 0120-2448
Acta Med Colomb vol.47 no.1 Bogotá ene./mar. 2022 Epub 06-Mayo-2022
https://doi.org/10.36104/amc.2022.2192
Presentación de casos
Fosfolipidosis renal inducida por cloroquina
aInternista, Nefrólogo Universidad de Caldas; Manizales (Colombia)
b Internista Universidad de Caldas. Manizales (Colombia)
c Nefropatólogo Laboratorio Biomolecular. Bogotá, D.C. (Colombia).
Se reporta una paciente en tratamiento con cloroquina para una artritis reumatoidea de aproximadamente diez años de evolución, con una importante dosis acumulada y en quien se documentó deterioro progresivo de la función renal, proteinuria en rango no nefrótico y compromiso muscular proximal en extremidades. En la biopsia renal se encontró a nivel de podocitos cuerpos de cebra. Se descartó enfermedad de Fabry. Se concluyó fosfolipidosis inducida por medicamentos en este caso por cloroquina. Este reporte de caso nos recuerda la importancia de conocer los posibles efectos colaterales de los medicamentos. (Acta Med Colomb 2022; 47. DOI:https://doi.org/10.36104/amc.2022.2192).
Palabras clave: fosfolipidosis; riñón; proteinuria; artritis; reumatoide; cloroquina
This is the report of a patient being treated with chloroquine for an approximately 10-year history of rheumatoid arthritis, with a significant cumulative dose and documented progressive kidney function deterioration, non-nephrotic proteinuria and involvement of the proximal muscles of the extremities. The kidney biopsy showed zebra bodies in the podocytes. Fabry disease was ruled out. Medication-induced phospholipidosis was diagnosed, in this case due to chloroquine. This case report reminds us of the importance of being aware of the possible side effects of medications. (Acta Med Colomb 2022; 47. DOI:https://doi.org/10.36104/amc.2022.2192).
Key words: phospholipidosis; kidney; proteinuria; arthritis; rheumatoid; chloroquine
Introducción
La cloroquina es un medicamento antimalárico, pero además por su efecto inmunomodulador tiene utilidad en enfermedades autoinmunes. Son pocos los efectos colaterales a que da lugar, pero se han reportado complicaciones renales. Describimos el caso de una paciente con deterioro en la función renal, a quien se le detectó en la biopsia renal fosfolipidosis, con presencia de cuerpos de cebra en los podocitos. Este hallazgo orientó en primer lugar a enfermedad de Fabry, pero no presentaba manifestaciones clínicas o antecedentes familiares de la enfermedad. Por tratarse de una mujer se solicitó estudios genéticos, los cuales no mostraron mutaciones en el gen de la alfa-galactosidasa A (GLA), y los niveles séricos de la enzima alfa galactosidasa fueron normales. Por el tiempo que había recibido la cloro-quina, y ante la ausencia hallazgos clínicos que orientaran a otra patología, se concluyó fosfolipidosis renal inducida por cloroquina, un hallazgo ya reportado por otros autores.
Presentación del caso
Mujer de 73 años, en controles por nefrología con diagnóstico de enfermedad renal crónica (ERC) secundaria a nefroesclerosis hipertensiva. Procedente de un municipio de Colombia, Sur América, con antecedentes de artritis reumatoidea (AR) de 10 años de evolución, hipertensión arterial de larga data, dislipidemia, osteoporosis severa con fractura por aplastamiento de L2 a L4, y en tratamiento con cloroquina, metotrexate, losartán, hidroclorotiazida y atorvastatina. En los exámenes de laboratorio en la primera consulta por nefrología con creatinina en 1.67 mg/dL, tasa de filtración glomerular (TFG) calculada por CKD EPI 26 mL/min, esperada para la edad de 70 mL/min. Examen de orina sin proteínas, sedimento sin celularidad, proteínas en orina de 24 horas 79.5 mg.
Tres meses más tarde fue solicitado por reumatología reevaluación por nefrología encontrándose en exámenes de control elevación de la creatinina a 2.01 mg/dL, con valores normales de calcio y fósforo, bajos de PTH. Estudios de anticuerpos a HIV, hepatitis B y C negativos, C3, C4 no consumidos, electroforesis de proteínas sin pico monoclonal. Ecografía renal reportó leve disminución del tamaño de ambos riñones (explicable por su edad), sin alteraciones en la diferenciación corticomedular, y el Doppler de arterias renales fue normal. En vista de que no quedaba claro el origen del deterioro renal se optó por solicitar biopsia renal percutánea.
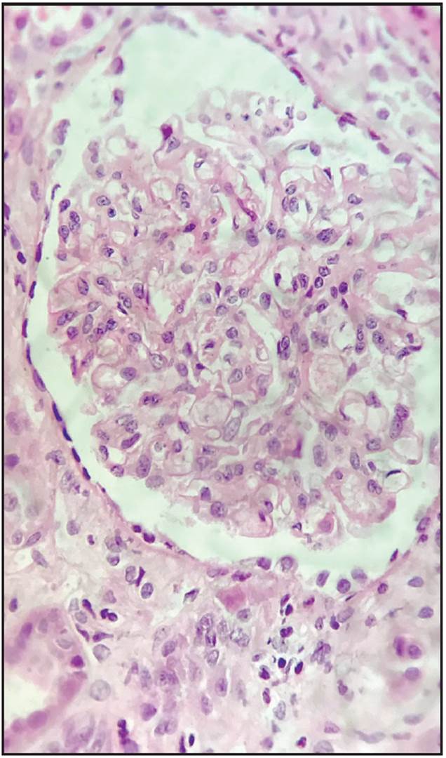
En su reporte se informa que se obtuvieron 20 glomérulos, en cinco había esclerosis global, sin alteraciones en mesangio, membranas basales glomerulares, ni cambios inflamatorios en glomérulos (Figuras 1 y 2). Atrofia tubular de 5%, sin compromiso inflamatorio intersticial, vasos sanguíneos con engrosamiento miointimal y cambios hialinos de la pared muscular con ligera estrechez de la luz (compatible con nefroesclerosis hipertensiva). Inmunofluorescencia negativa para depósitos de complejos inmunes, complemento (C3, C4, C1q), fibrina y cadenas ligeras de inmunoglobulinas. En la microscopia electrónica o análisis ultraestructural los principales hallazgos estaban en los podocitos, con pérdida de pedicelos (sus pies) en el 70% de la superficie capilar, y presencia de numerosos cuerpos de cebra o lamelares correspondiente a inclusiones lisosómicas en su interior (Figuras 3 y 4).

Figura 1 Microscopía de luz 10x. Gloméinlos normales, 1 esclerosado. Túbulos e intersticio normales.

Figura 3 Microscopia electrónica, o ultraestructura: Podocitos con numerosos "Cuerpos de Cebra" correspondientes a fosfolípidos en citoplasma.
Ante los hallazgos histológicos la primera posibilidad diagnóstica planteada fue enfermedad de Fabry. Por ser de sexo femenino se le solicitó a ella y sus hijas análisis de secuencia para determinar si había mutaciones en el gen que codifica la enzima galactosidasa alfa (GLA). En el estudio no se identificaron en la paciente ni en sus hijas variantes patogénicas sugestiva de enfermedad de Fabry. Los niveles séricos de alfa-galactosidasa A se informaron en 7.5 nmol/mL/hora (controles normales 2.0 a 21.8 nmol/mL/hora), concluyéndose que no presentaba enfermedad de Fabry. Ante la ausencia de hallazgos clínicos sugestivos de otras enfermedades que explicaran los hallazgos histológicos se llegó a la conclusión de fosfolipidosis inducida por medicamentos, y entre los que recibía la paciente el único con esa posibilidad era la cloroquina, la cual había consumido durante muchos años, llegando a una dosis acumulada de 810 gramos.
Tres meses posteriores a la biopsia la paciente acude a consulta externa de reumatología encontrándose con deterioro del estado general pérdida de 4 kilogramos de peso, hiporexia, disfagia para sólidos y líquidos, atrofia muscular, limitación marcada para la marcha, lesiones torácicas compatibles con herpes zóster, leucopenia y mayor deterioro de la función renal. Se hospitaliza y se solicita reevaluación por nefrología.
En los nuevos exámenes la creatinina se elevó a 8.18 mg/dL, TFG calculada por CKD EPI 4 mL/min, proteinuria en 24 horas 390 mg, examen de orina con proteínas 75 mg/dL, sedimento urinario con glóbulos rojos eumorfos tres por campo de alto poder. Se sospechó nefritis intersticial aguda, optándose por no iniciar esteroides ni citostáticos, por el herpes zóster que presentaba, y riesgo de complicaciones virales sistémica.
Nefrología constató que todavía recibía cloroquina 250 mg de lunes a viernes, suspendiéndola al igual que el inhibidor de bomba de protones (esomeprazol), ajustándose la dosis de aciclovir prescrita a su tasa de filtración glomerular. Con estas medidas e hidratación la creatinina disminuyó a 5.0 mg/dL.
Por su sintomatología neuromuscular se solicitó resonancia magnética cerebral simple la cual fue reportada normal. Endoscopia de vías digestivas altas mostró hernia hiatal gigante. Se sospechó miopatía por cloroquina, y se solicitó electromiografía más neuroconducción. La paciente desarrolló un cuadro de disnea marcada, con necesidad de oxigenoterapia por desaturación, se sospechó tromboembolismo pulmonar agudo. El ecocardiograma transtorácico detectó ligera disminución de la fracción de eyección que aún estaba conservada (58%) y leve aumento de la presión arterial sistólica pulmonar, pero sin signos de disfunción del ventrículo derecho. TAC de tórax reportó múltiples opacidades parenquimatosas segmentarias en probable relación con neumonía multilobar por germen oportunista.
La paciente se complicó rápidamente, y ni ella ni la familia aceptaron ir a una unidad de cuidados intensivos, ni medidas avanzadas como intubación orotraqueal por lo que continuó en sala general y falleció. Tampoco se aceptó por la familia la práctica de autopsia.
Discusión
Las complicaciones renales que acompañan a la artritis reumatoidea, pueden ser desencadenadas por mal control de la enfermedad, o estar relacionadas con su tratamiento medicamentoso 1. En nuestro reporte de caso la biopsia renal reporto principalmente compromiso de los podocitos, con pérdida de pedicelos en 70% de la superficie capilar, y presencia de numerosos cuerpos de cebra o lamelares correspondiente a inclusiones lisosómicas. El diagnóstico correspondió a una lipidosis renal, enfermedades caracterizadas por almacenamiento anormal de lípidos a nivel renal. Ellas se clasifican en primarias cuando hay déficits enzimáticos hereditarios específicos, o secundarias a otros trastornos como cirrosis hepática, síndrome nefrótico, síndrome de Alport, síndrome de Alagille e incluso por agentes tóxicos o medicamentos, lo que se conoce como fosfolipidosis inducida por medicamentos (FIM) 2-5.
La FIM por antimaláricos tipo cloroquina o hidroxicloroquina (HCQ) se ha descrito en pocas ocasiones, siempre en el contexto de enfermedades autoinmunes como síndrome de Sjogren, lupus eritematoso sistémico (LES), AR, y enfermedad del tejido conectivo, no así en tratamientos para malaria, posiblemente dado su curso corto de tratamiento, en los cuales la dosis acumulada es menor. A la fecha se han reportado doce casos de fosfolipidosis inducida por cloroquina e HCQ (Tabla 1), y en un paciente trasplantado renal con LES de base, en quien por deterioro de la función renal se sospechó rechazo del injerto, pero en la biopsia renal se concluyó fosfolipidosis, requiriendo retiro de la hidroxicloroquina con lo cual hubo mejoría 3-4,6-16.
Tabla 1 Reporte de casos hasta la fecha de fosfolipidosis renal inducida por cloroquina e hidroxicloroquina.
En los estudios reportados todos los casos sucedieron en mujeres con un rango de edad entre 14-70 años, 10 de ellos recibían HCQ, siendo la patología más frecuente el LES. La dosis acumulada que tenían las dos pacientes que recibían cloroquina eran de 75 y 51 gramos, mientras que en nuestro caso era de cerca de 810 gramos 3,4,6-15.
El sitio donde predomina la acumulación lipídica puede orientar al clínico en el diagnóstico diferencial de las patologías que la originan. Depósitos principalmente en los podocitos, con inclusiones lisosómicas se observan en la enfermedad de Fabry, nefrosialidosis, gangliosidosis GM1, mucolipidosis tipo 2, síndrome de Hurler, enfermedad de Niemann-Pick y enfermedad de Farber. Compromiso de las células tubulares renal ocurre en la leucodistrofia metacromática, enfermedad de Refsum del adulto y la enfermedad de Sandhoff. Acumulaciones a nivel de células mesangiales y endoteliales glomerulares se identifica en la enfermedad por déficit de lecitin colesterol acetil transferasa, enfermedad de Gaucher, y enfermedad de Niemann Pick 2,3,4. Cuerpos de cebra o mieloides en los podocitos son más característicos de la enfermedad de Fabry, ocasionalmente se han descrito en la enfermedad de Niemann Pick; sin embargo, en ésta también hay daño endotelial glomerular, mesangial, y presencia de grandes células vacuoladas llamadas de Niemann pick 2-4.
En la enfermedad de Fabry a pesar de ser una enfermedad ligada a X, las mujeres heterocigotas pueden desarrollar compromiso orgánico sistémico. En nuestra paciente la ausencia de otros hallazgos clínicos, niveles de enzimas normales y ausencia de mutación genética descartaron este diagnóstico, siendo el más probable fosfolipidosis inducida por medicamentos en este caso por la cloroquina 17-19.
La FIM es una condición en la que algunos fármacos catiónicos con afinidad lisosomal pueden ingresar de forma fácil a esta organela, formando un complejo entre el medicamento y los fosfolípidos, con posterior acumulación, a la cual contribuyen la inhibición de la actividad enzimática lisosomal, y resistencia a la digestión por aumento del PH lisosomal. El proceso de inhibición reversible de fosfolipasas lisosomales A y C, se cree es dosis dependiente 20. Algunos fármacos con documentada capacidad de dar lugar a FIM son: cloroquina, hidroxicloroquina, amiodarona, azitromicina, gentamicina, fluoxetina, sertralina, y clozapina 21.
Por hallazgos histopatológicos se ha tratado de diferenciar enfermedad de Fabry y FIM. La presencia de cuerpos curvilíneos (estructuras microtubulares a nivel de células vasculares del músculo liso y podocitos), e inclusiones granulares pequeñas redondas a nivel mitocondrial en células mesangiales, tubulares, y endoteliales pueden estar a favor a FIM. En cambio, en la enfermedad de Fabry se describe un mayor número de inclusiones intralisosómicas 5.
En la última hospitalización de la paciente, y todavía recibiendo cloroquina destacan el compromiso neurológico, muscular, empeoramiento en su función renal, y aparición de proteinuria, sin hallazgos significativos en el sedimento urinario. La dosis acumulada de cloroquina fue mayor, y el hecho de observar mejoría en la función renal al suspenderla sugieren enfermedad renal crónica agudizada, y agravamiento de la podocitopatía manifestada por proteinuria, eventos que podrían ser explicados por la toxicidad por cloroquina 22. En varios reportes de casos se ha descrito un comportamiento semejante 3,8.
La paciente además manifestó disfagia y síntomas de debilidad muscular proximal simétrica, con marcada limitación de su marcha. La toxicidad por cloroquina se ha reportado que puede generar neuromiopatía, y miopatía, ya que este medicamento puede acumularse en estos tejidos, por lo que es posible en este caso que la paciente podría haberse comprometido con una miopatía por cloroquina 6,20,23,24,25. Esos hallazgos se han reportado que mejoran con la suspensión del medicamento 26, y con una prevalencia de 6.7% e incidencia de 1.2%, denotando que no es una condición tan rara 27.
Conclusión
Se reporta una paciente en tratamiento con cloroquina para una artritis reumatoidea de aproximadamente diez años de evolución, con una importante dosis acumulada y en quien se documentó deterioro progresivo de la función renal, proteinuria en rango no nefrótico y compromiso muscular proximal en extremidades. En la biopsia renal se encontró a nivel de podocitos cuerpos de cebra. Se descartó Enfermedad de Fabry. Se concluyó fosfolipidosis inducida por medicamentos en este caso por cloroquina. Este reporte de caso nos recuerda la importancia de conocer los posibles efectos colaterales de los medicamentos.
Referencias
1. Kapoor T, Bathon J. Renal Manifestations of Rheumatoid Arthritis. Rheum Dis Clin North Am. 2018;44:571-584. doi:10.1016/j.rdc.2018.06.008. [ Links ]
2. Renwick N, Nasr SH, Chung WK, Garvin J, Markowitz GS, Marboe C, et al. Foamy podocytes. Am J Kidney Dis. 2003;41:891-896. doi:10.1016/s0272-6386(03)00133-1. [ Links ]
3. Bracamonte ER, Kowalewska J, Starr J, Gitomer J, Alpers CE. Iatrogenic phospholipidosis mimicking Fabry disease. Am J Kidney Dis. 2006;48:844-850. doi:10.1053/j.ajkd.2006.05.034 [ Links ]
4. de Menezes Neves PDM, Machado JR, Custódio FB, Dos Reis Monteiro MLG, Iwamoto S, Freire M, et al. Ultrastructural deposits appearing as "zebra bodies" in renal biopsy: Fabry disease?- comparative case reports. BMC Nephrol. 2017;18(1):157. doi:10.1186/s12882-017-0571-0 [ Links ]
5. Faraggiana T, Churg J. Renal lipidoses: a review. Hum Pathol. 1987;18:661-679. doi:10.1016/s0046-8177(87)80238-1. [ Links ]
6. Albay D, Adler SG, Philipose J, Calescibetta CC, Romansky SG, Cohen AH. Chloroquine-induced lipidosis mimicking Fabry disease. Mod Pathol. 2005;18:733-738. doi:10.1038/modpathol.3800344. [ Links ]
7. Zhao F , Dou Y, Liu D, Yuan W, Quan S, Wang X, et al. Hydroxychloroquine-induced lipidosis of the kidney mimicking Fabry disease: a case report. Int J Clin Exp Pathol. 2016; 9:2591-2593. [ Links ]
8. Wu SZ, Liang X, Geng J, Zhang MB, Xie N, Su XY. Hydroxychloroquine-induced renal phospholipidosis resembling Fabry disease in undifferentiated connective tissue disease: A case report. World J Clin Cases. 2019;7:4377-4383. doi:10.12998/wjcc.v7.i24.4377. [ Links ]
9. Serre J, Buob D, Boffa JJ. Hydroxychloroquine-induced podocytopathy mimicking Fabry disease. BMJ Case Rep. 2019;12:e228876. doi:10.1136/bcr-2018-228876 [ Links ]
10. Navratil M, Jurekovic II. Chloroquine Toxicity Misdiagnosed as Fabry Disease Associated with Systemic Lupus Erythematosus and Hashimoto Thyroiditis. J Rheumatol. 2017;44:1940. doi:10.3899/jrheum.170689. [ Links ]
11. Sperati CJ, Rosenberg AZ. Hydroxychloroquine-induced mimic of renal Fabry disease. Kidney Int. 2018;94:634. doi:10.1016/j.kint.2018.02.003. [ Links ]
12. Costa RM, Martul EV, Reboredo JM, Cigarrán S. Curvilinear bodies in hydroxychloroquine-induced renal phospholipidosis resembling Fabry disease. Clin Kidney J. 2013;6:533-536. doi:10.1093/ckj/sft089. [ Links ]
13. Woywodt A, Hellweg S, Schwarz A, Schaefer RM, Mengel M. A wild zebra chase. Nephrol Dial Transplant. 2017; 22:3074-3077. doi: 10.1093/ndt/gfm462 [ Links ]
14. Khubchandani SR, Bichle LS. Hydroxychloroquine-induced phospholipidosis in a case of SLE: the wolf in zebra clothing. UltrastructPathol. 2013;37:146-150. doi:10.3109/01913123.2012.751950. [ Links ]
15. Müller-Hocker J, Schmid H, Weiss M, Dendorfer U, Braun GS. Chloroquine-induced phospholipidosis of the kidney mimicking Fabry's disease: case report and review of the literature. Hum Pathol. 2003;34:285-289. doi:10.1053/hupa.2003.36. [ Links ]
16. Brealey J, Carroll R. Hydroxychloroquine-induced phospholipidosis in a renal transplant patient. Ultrastruct Pathol. 2017; 41:124-125. doi: 10.1080/01913123.2016.1272664 [ Links ]
17. Ortiz A, Sánchez-Niño MDS. Diagnóstico y tratamiento de la enfermedad de Fabry. Med Clín (Barc). 2017; 148:132-138. doi:10.1016/j.medcli.2016.09.047 [ Links ]
18. Schiffmann R. Fabry disease. Handb Clin Neurol. 2015;132:231-248. doi:10.1016/B978-0-444-62702-5.00017-2 [ Links ]
19. Bernstein PR, Ciaccio P, Morelli J. Drug-Induced Phospholipidosis. Annual Reports in Medicinal Chemistry. 2011; 46: 419-430. doi: 10.1016/B978-0-12-386009-5.00001-1. [ Links ]
20. Shayman JA, Abe A. Drug induced phospholipidosis: an acquired lysosomal storage disorder. Biochim Biophys Acta. 2013;1831:602-611. doi:10.1016/j.bbalip.2012.08.013. [ Links ]
21. Reasor MJ, Hastings KL, Ulrich RG. Drug-induced phospholipidosis: issues and future directions. Expert Opin Drug Saf. 2006;5:567-583. doi:10.1517/14740338.5.4.567. [ Links ]
22. Kidney Disease: Improving Global Outcomes (KDIGO) CKD Work Group. KDIGO Clinical Practice Guideline for the Evaluation and Management of Chronic Kidney Disease. Kidney Int suppl 2013; 3: 1-150. [ Links ]
23. Larson ST, Wilbur J. Muscle Weakness in Adults: Evaluation and Differential Diagnosis. Am Fam Physician. 2020;101:95-108. PMID: 31939642. [ Links ]
24. Taylor WR, White NJ. Antimalarial drug toxicity: a review. Drug Saf. 2004;27:25-61. doi:10.2165/00002018-200427010-00003. [ Links ]
25. Bannwarth B. Drug-induced myopathies. Expert Opin Drug Saf. 2002;1:65-70. doi:10.1517/14740338.1.1.65. [ Links ]
26. Avina-Zubieta JA, Johnson ES, Suarez-Almazor ME, Russell AS. Incidence of myopathy in patients treated with antimalarials. A report of three cases and a review of the literature. Br J Rheumatol. 1995;34:166-170. doi:10.1093/rheumatology/34.2.166. [ Links ]
27. Casado E, Gratacós J, Tolosa C, Martinez JM, Ojanguren A, Real J et al. Antimalarial myopathy: an underdiagnosed complication? Prospective longitudinal study of 119 patients. Ann Rheum Dis. 2006; 6 [ Links ]
Recibido: 26 de Abril de 2021; Aprobado: 10 de Mayo de 2021










texto en 




