SciELO - Scientific Electronic Library Online

 
vol.26 número1Implantación de stent en drenaje venoso anómalo supracardiaco obstructivoImportancia de las tecnologías de la información y la comunicación para la prevención de enfermedades cardiovasculares índice de autoresíndice de materiabúsqueda de artículos
Home Pagelista alfabética de revistas  

Servicios Personalizados

Revista

Articulo

Indicadores

Links relacionados

  • En proceso de indezaciónCitado por Google
  • No hay articulos similaresSimilares en SciELO
  • En proceso de indezaciónSimilares en Google

Compartir


Revista Colombiana de Cardiología

versión impresa ISSN 0120-5633

Rev. Colomb. Cardiol. vol.26 no.1 Bogota ene./feb. 2019

https://doi.org/10.1016/j.rccar.2018.03.004 

Imágenes en Cardiología

Gammagrafía cardiaca en situs inversus. Síndrome de Kartagener

Cardiac scintigraphy in situs inversus. Kartagener syndrome

Marta Sánchez-Aguilara  * 

Joaquín Ruíz Franco-Bauxa 

a Departamento de Medicina Nuclear, Hospital Universitario Virgen del Rocío, Sevilla, España


Palabras clave: Gammagrafía cardíaca; Síndrome de Kartagener; Situs inversus; Hallazgo incidental

Key words: Myocardial perfusion scintigraphy; Kartagener’s syndrome; Situs inversus; Incidental finding

El síndrome de Kartagener es un trastorno genético autosómico recesivo, cuya incidencia es de 1/32.000-68.000 nacidos vivos. No existe predilección por sexo ni raza y las malformaciones cardíacas representan un 50% al nacer. La dextrocardia ocurre en 1/12.000 gestaciones, de las cuales aproximadamente 1/3 se asocia a inversión (imagen en espejo) de los demás órganos viscerales (situs inversus totalis). La tríada clásica que define este síndrome se compone de situs inversus (a menudo con dextrocardia) en el 50% de los pacientes, sinusitis crónica y bronquiectasias, por afectación del gen que controla la motilidad ciliar. Puede asociar infertilidad.

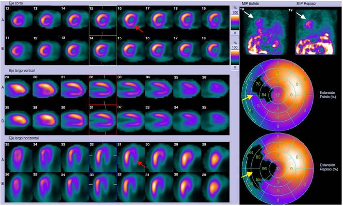
Se presenta el caso de un varón de 70 años con hipoacusia bilateral, múltiples infecciones respiratorias a repetición, sinusitis crónica y dextrocardia. Se realizó estudio isotópico de perfusión miocárdica con 99mTc-Tetrofosmin (fig. 1), en el cual se observó que, además de la dextrocardia (flechas blancas) poseía un situs inversus no conocido (flechas rojas), con resultado de hipocaptación miocárdica del trazador moderada en cara inferior y septum, sin cambios en el estudio de reposo respecto al estrés, sugestivo de necrosis a dicho nivel (flechas amarillas). Se ha demostrado que en esta anomalía existen alteraciones tanto en la irrigación coronaria como en la contractilidad, que dan lugar a eventos isquémico-necróticos con mayor probabilidad.

Figura 1 Estudio isotópico de perfusión miocárdica con 99mTc-Tetrofosmin, en el cual se observa que, además de la dextrocardia (flechas blancas) posee un situs inversus no conocido (flechas rojas), con resultado de: hipocaptación miocárdica del trazador moderada en cara inferior y septum, sin cambios en el estudio de reposo con respecto al estrés, sugestivo de necrosis a dicho nivel (flechas amarillas). 

* Autor para correspondencia. Correo electrónico: marta231087@hotmail.com (M. Sánchez-Aguilar).

Conflicto de intereses

Ninguno

Creative Commons License Este es un artículo publicado en acceso abierto bajo una licencia Creative Commons