Servicios Personalizados
Revista
Articulo
Indicadores
-
Citado por SciELO -
Accesos
Links relacionados
-
Citado por Google -
Similares en
SciELO -
Similares en Google
Compartir
Colombia Médica
versión On-line ISSN 1657-9534
Colomb. Med. vol.51 no.4 Cali oct./dic. 2020 Epub 29-Nov-2020
https://doi.org/10.25100/cm.v51i4.4362
Articulo original
La Tomografía Computarizada Corporal Total es una herramienta segura, efectiva y eficiente en el paciente politraumatizado con inestabilidad hemodinámica
1 Fundación Valle del Lili, Department of Surgery, Division of Trauma and Acute Care Surgery. Cali, Colombia.
2 Universidad del Valle, Department of Surgery, Division of Trauma and Acute Care Surgery. Cali, Colombia.
3 Universidad Icesi, Cali, Colombia.
4 Broward General Level I Trauma Center, Department of Trauma Critical Care, Fort Lauderdale , FL, USA
5 Fundación Valle del Lili, Department of Radiology. Cali, Colombia.
6 Universidad de Chile, Facultad de Medicina, Instituto de Ciencias Biomédicas, Santiago de Chile, Chile.
7 Fundación Valle del Lili, Centro de Investigaciones Clínicas (CIC), Cali, Colombia
8 Brigham & Women’s Hospital, Department of Surgery, Center for Surgery and Public Health, Boston, USA
9 Harvard Medical School & Harvard T.H. Chan School of Public Health, Boston, USA
10 Hospital Universitario del Valle, Department of Surgery, Division of Trauma and Acute Care Surgery. Cali, Colombia.
El trauma es una compleja patología que requiere un equipo experimentado y multidisciplinario con una capacidad para la toma de decisiones Oportuna ya que en unos pocos minutos pueden representar la diferencia entre la vida y la muerte. Estas decisiones deben ser precisas para ser capaces de priorizar y controlar eficientemente las lesiones que puedan estar causando el compromiso hemodinámico. En esencia, este es el punto clave del concepto de control de daños en la atención del trauma. Con los nuevos avances tecnológicos, el equipo médico tiene a disposición múltiples herramientas imagenológicas de diagnóstico. Este artículo presenta una revisión de la literatura y descripción de la experiencia local con el uso de la tomografía corporal total como una herramienta diagnostica potencialmente segura, efectiva y eficiente en casos de pacientes con trauma severo sin importar su estado hemodinámico. La recomendación general, cuando sea posible, es que se debe realizar una tomografía corporal total sin interrumpir las maniobras de resucitación hemostática en casos de pacientes severamente traumatizados con o sin signos de inestabilidad hemodinámica. El uso de esta tecnología tiene como objetivo tomar decisiones pertinentes y definir el mejor abordaje quirúrgico para el paciente sin incurrir en tardanzas en el manejo definitivo o incrementar el tiempo de exposición a la radiación.
Palabras clave: TAC corporal total; TAC órgano selectivo; control de daños en trauma; inestabilidad hemodinámica
Trauma is a complex pathology that requires an experienced multidisciplinary team with an inherent quick decision-making capacity, given that a few minutes could represent a matter of life or death. These management decisions not only need to be quick but also accurate to be able to prioritize and to efficiently control the injuries that may be causing impending hemodynamic collapse. In essence, this is the cornerstone of the concept of damage control trauma care. With current technological advances, physicians have at their disposition multiple diagnostic imaging tools that can aid in this prompt decision-making algorithm. This manuscript aims to perform a literature review on this subject and to share the experience on the use of whole body computed tomography as a potentially safe, effective and efficient diagnostic tool in cases of severely injured trauma patients regardless of their hemodynamic status. Our general recommendation is that, when feasible, perform a whole body computed tomography without interrupting ongoing hemostatic resuscitation in cases of severely injured trauma patients with or without signs of hemodynamic instability. The use of this technology will aid in the decision-making of the best surgical approach for these patients without incurring any delay in definitive management and/or increasing significantly their radiation exposure.
Keywords: whole-body computed tomography; organ-selective computed tomography; damage control trauma care; hemodynamic instability
Contribución del estudio
| 1) Por que se hizo este estudio? |
| Realizar una revisión de la literatura y compartir la experiencia sobre el uso de la tomografía computarizada corporal total como una herramienta diagnóstica potencialmente segura, efectiva y eficiente en pacientes con trauma severo sin importar el estado hemodinámico. |
| 2) Cuales fueron los resultados más relevantes |
| El uso de tomografía computarizada corporal total no causa ningún retraso en el manejo definitivo del paciente y no aumenta significativamente la exposición a la radiación. |
| 3) Que significan los hallazgos? |
| La tomografía computarizada corporal total ayuda en la toma de decisiones del mejor abordaje quirúrgico para pacientes con traumatismos graves |
Introducción
El trauma es una patología compleja que requiere una evaluación por un equipo multidisciplinario experimentado con capacidad de toma de decisiones rápidas, debido a que pocos minutos pueden representar una cuestión de vida o muerte 1. Estas decisiones deben también ser precisas, con el fin de priorizar y controlar eficientemente las lesiones que pueden desencadenar un colapso hemodinámico. siendo esta es la esencia del concepto del control de daños en trauma. Gracias a los actuales avances tecnológicos, los médicos tienen a su disposición múltiples herramientas imagenológicas de diagnóstico que son de gran utilidad en el algoritmo de manejo. El objetivo de este manuscrito es realizar una revisión de la literatura y compartir la experiencia local con el uso de la tomografía axial computarizada corporal total como ayuda diagnóstica potencialmente segura, efectiva y eficiente en el manejo del paciente politraumatizado sin importar su estado hemodinámico.
El presente artículo es un consenso del grupo de cirugía de Trauma y Emergencias (CTE) de Cali, Colombia conformado por expertos de Hospital Universitario Fundación Valle del Lili y el Hospital Universitario del Valle “Evaristo García”, con la Universidad del Valle y la Universidad Icesi, en colaboración con la Asociación Colombiana de Cirugía y la Sociedad Panamericana de Trauma, en conjunto con especialistas internacionales de EE.UU, que reúne la experiencia de los últimos 30 años en el manejo del trauma, cirugía general y cuidado crítico
Imágenes diagnósticas en la evaluación inicial del paciente traumatizado
El tratamiento de los pacientes con trauma cerrado o penetrante e inestabilidad hemodinámica está orientado hacia una resucitación hemostática temprana y agresiva, rápido diagnóstico de las lesiones que puedan afectar la vida y control de la hemorragia intraquirúrgica temprano. El manual de soporte vital avanzado en trauma (Advanced Trauma Life Support - ATLS) provee una guía útil para la evaluación sistemática del paciente traumatizado. Durante la evaluación primaria, se inicia simultáneamente la resucitación y la exploración física del paciente, con el objetivo de identificar las lesiones que potencialmente amenazan la vida para poder realizar un tratamiento oportuno 2. Mediante la exploración física inicial no siempre es posible encontrar la fuente de inestabilidad hemodinámica del paciente por lo que el manual propone el uso de adyuvantes como la radiografía de tórax y de pelvis y el ultrasonido abdominal en trauma (Focused Abdominal Sonography for Trauma). Estas herramientas de diagnóstico aportar información valiosa que guíe al optimo manejo quirúrgico y pueden ser utilizadas siempre y cuando no retrasen el manejo, ni detengan la resucitación del paciente 3.Sin embargo , la radiografía y el ultrasonido abdominal en trauma son pruebas poco sensibles y específicas que pueden fallar en la adecuada identificación de las lesiones que comprometen la vida 4,5. La Tomografía Axial Computarizada ha surgido como un componente en la evaluación integral de los pacientes traumatizados en diferentes centros hospitalarios alrededor del mundo debido a su alta sensibilidad y especificidad 6-9. Sin embargo, el uso de la tomografía se ha asociado a un aumento en el tiempo de traslado del paciente desde el servicio de urgencias al quirófano y, un potencial incremento en la exposición a radiación ionizante que puede ocasionar mayor riesgo global a cáncer 6.
TAC órgano selectivo vs TAC corporal total
La tomografía órgano selectivo tiene como propósito caracterizar lesiones específicas que fueron sospechadas durante el examen físico o halladas con el uso de las herramientas diagnósticas básicas. Al contrario, la tomografía corporal total como parte de la evaluación primaria del paciente traumatizado obtiene imágenes del cerebro, el tórax, el abdomen, la pelvis y las columnas cervical, torácica y lumbar. La tomografía corporal total busca mitigar el posible error humano del médico tratante al tener la capacidad de identificar lesiones menos evidentes que podrían pasar inadvertidas tanto en las radiografías como en el ultrasonido abdominal en trauma, mejora el pronóstico del paciente y disminuye el tiempo de espera en urgencias 9-11. Para validar las anteriores afirmaciones, se realizó un estudio retrospectivo con todos los pacientes politraumatizados en nuestro centro de trauma de alta complejidad en Cali, Colombia desde enero 2016 a diciembre 2017. Se comparó la exposición a radiación ionizante y el tiempo de traslado del servicio de urgencias al quirófano entre los pacientes que recibieron tomografía órgano selectivo y los que recibieron tomografía corporal total. De un total de 123 pacientes que fueron incluidos, 53 fueron llevados a evaluación órgano selectivo y 70 a corporal total. El 47% de los pacientes del grupo de evaluación selectiva requirió la toma de tomografías adicionales para descartar otras lesiones, a comparación del grupo de tomografía corporal total en quienes no se requirió tomografías adicionales. La media de la dosis de radiación en el grupo de órgano selectivo fue de 22 mSv (RIQ= 6-31) y en el grupo corporal total fue de 15.1 mSv (RIQ=9.9-24.8) (p <0.001). Adicionalmente, el tiempo entre la adquisición de la imagen y el diagnóstico fue menor en el grupo de corporal total [22 min (RIQ= 14-32) vs. 32 min (RIQ= 21-65); p <0.001] 12. Con estos resultados y la evidencia presentada en estudios previos, podemos concluir que la tomografía corporal total es una herramienta eficiente y segura para el diagnóstico temprano de los pacientes politraumatizados. Más allá de esta conclusión, existe una amplia evidencia que sustenta los beneficios del uso de la tomografía corporal total en el aumento de la probabilidad de sobrevida y su costo-efectividad (8.13,16).
Implementación de protocolos de tomografía corporal total
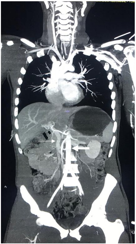
Mundialmente, existen múltiples protocolos de tomografía corporal total sin consenso sobre cuál de ellos es el ideal 10,17-20. La mayoría de los protocolos incluyen imágenes de cerebro y columna cervical sin contraste seguidas por dos pasadas en tórax, abdomen y pelvis con contraste, la duración de la adquisición del estudio varía entre 2 a 5 minutos. Como se mencionó anteriormente, la evaluación radiológica de los pacientes politraumatizados debe ser rápida, sin interrumpir la resucitación y con la mínima exposición a radiación ionizante. Además, en la imagen se deben obtener tanto la fase arterial como la venosa para lograr una adecuada evaluación de todas las posibles lesiones orgánicas y/o vasculares 21,22. Con este fin, en nuestra institución en Cali, Colombia hemos implementado el uso de la tomografía corporal total en todos los pacientes politraumatizados con o sin signos de inestabilidad hemodinámica; se estableció un protocolo de tomografía corporal total de una sola pasada, con el cual en sólo 175 segundos se obtiene una tomografía simple de cráneo y uno contrastado desde el cuello hasta la sínfisis púbica (Tabla 1), el resultado es una sola imagen de alta resolución donde se visualizan de forma simultánea las fases arterial y venosa (Figura 1).
Tabla 1 Protocolo de TAC-CT en una sola pasada
| FASE A | Fase de adquisición simple: cerebro | |
|---|---|---|
| FASE B | Fase administración de contraste: tórax, abdomen, pelvis, columna cervical, torácica y lumbar | |
| Contraste IV: a base de yodo, hipoosmolar no iónico (370 mg/mL) | ||
| Paso 1 Primera Inyección | Tasa de flujo= 2 cc/s | |
| Volumen de contraste= 60 cc | ||
| Pausa= 45 s | ||
| Tiempo total= 75 s | ||
| Paso 2 Segunda Inyección | Tasa de flujo= 4 cc/s | |
| Volumen de contraste= 60-70 cc | ||
| Barrido= 40 cc Solución salina normal | ||
| Tiempo total= 100 s | ||
| Paso 3 Adquisición contrastada | Después de la segunda inyección | |
| Aorta descendente ROI= 200 UH | ||
(IV: Intravenoso; ROI: Región de Interés; UH: Unidades Hounsfield)

Figura 1 Fase arterial y venosa en el TAC-Corporal Total (la flecha gruesa muestra la fase arterial y la flecha delgada muestra la fase venosa)
Desde enero de 2017 hasta diciembre de 2018, se realizó un estudio observacional y prospectivo en nuestra institución. Un total de 263 pacientes politraumatizados recibieron tomografía corporal total como parte de su evaluación inicial, de los cuales, 168 sufrieron trauma cerrado y se encontraban hemodinámicamente estables (Grupo 1), otros 50 también sufrieron trauma cerrado, pero se encontraban hemodinámicamente inestables (Grupo 2), y 45 sufrieron trauma penetrante con o sin estabilidad hemodinámica (Grupo 3). La mediana del índice de severidad (Injury Severity Score - ISS) fue de 22 (IQR= 16-22), y 172 (65.4%) pacientes recibieron manejo no operatorio, sin diferencias significativas entre los grupos. La mediana del tiempo entre el servicio de urgencias y la finalización de la toma del TAC-CT fue de 28 minutos (IQR= 14-55) y la mediana de la dosis de radiación fue menor de 20 mSv, que es considerado como el rango óptimo de exposición para no aumentar el riesgo global de cáncer 23-25. Noventa y un (34%) pacientes requirieron manejo quirúrgico, sin diferencias significativas entre los grupos [Grupo 1: 59 (35.1%); Grupo 2: 15 (30%); Grupo 3: 17 (37.7%); p=0.23] y todos presentaron hallazgos positivos durante el procedimiento. No se encontraron diferencias significativas en cuanto a la mortalidad entre los grupos [Grupo 1: 26 (15%); Grupo 2: 13 (26%); Grupo 3: 6 (13%), p= 0.17] y ningún paciente falleció durante la realización de la tomografía corporal total 26. Estos resultados sustentan la hipótesis central de este manuscrito de la evaluación corporal total como una herramienta de diagnóstico segura, efectiva y eficiente en la evaluación primaria y manejo de los pacientes politraumatizados sin importar su estado hemodinámico. Adicionalmente, la implementación de la tomografía corporal total podría evitar procedimientos innecesarios en pacientes que pueden ser tratados con manejo no operatorio, disminuyendo la morbilidad asociada y los costos al sistema de salud.
La tomografía corporal total es segura, efectiva y eficiente
Aunque los cirujanos de trauma reconocen la utilidad de la tomografía corporal total en la evaluación inicial de los pacientes politraumatizados, consideran que su uso debe ser restringido a pacientes hemodinámicamente estables y que aquellos con inestabilidad hemodinámica deben ser llevados inmediatamente al quirófano o a salas de angiografía. Pero, no siempre es posible determinar la fuente de la inestabilidad hemodinámica de los pacientes en el servicio de urgencias, especialmente en los casos de trauma penetrante múltiple o trauma cerrado. En estos es poco práctico realizar una exploración quirúrgica de múltiples cavidades desde el cuello a la pelvis para encontrar y controlar todas las heridas que potencialmente amenazan la vida y por lo tanto el uso de la tomografía corporal total es esencial para planear y priorizar los esfuerzos de la intervención. En un estudio también realizado en nuestro centro de alta complejidad de trauma, entre los años 2012 y 2013, se evaluaron retrospectivamente 171 pacientes que ingresaron con trauma severo e inestabilidad hemodinámica, a 80 (47%) pacientes se les diagnóstico con tomografía corporal total al ingreso (Grupo 1) y 91 (53%) pacientes fueron llevados directamente a quirófano (Grupo 2). Del grupo de pacientes que fueron diagnosticados con tomografía corporal total, las imágenes fueron útiles en la decisión del manejo quirúrgico definitivo en el 46%, 43 (54%) recibieron manejo no operatorio y ningún paciente falleció ni presentó complicaciones durante la realización de la tomografía. No se encontraron diferencias en mortalidad entre los grupos [Grupo 1: 10 (12.5%); Grupo 2: 16 (17.6%); p= 0.23] 27.
En estudios similares, el uso de la tomografía corporal total ha aumentado significativamente la probabilidad de sobrevida de los pacientes politraumatizados 17. Huber-Wagner y col. en el 2009 evaluaron 3,024 pacientes politraumatizados, de los cuales 2,430 fueron llevados a una tomografía órgano selectivo y 1,494 a tomografía corporal total. Al comparar las tasas de mortalidad predicha con la mortalidad real de ambos grupos se encontró mayor diferencia en el grupo de tomografía corporal total (23.2% vs. 17.3%; p <0.001) a comparación del grupo de tomografía de órgano selectivo (17.1% vs. 17.5%; p= 0.66) 13. Posteriormente, los autores ampliaron sus resultados en otro estudio realizado en el 2013 en el cual se incluyeron un total de 16,719 pacientes (9,233 grupo de corporal selectivo; 7,486 grupo de órgano selectivo) y encontraron que la tasa de mortalidad absoluta en el grupo de corporal total era significativamente menor (17.4% vs. 21.4%; p <0.001) 11. Múltiples metaanálisis han confirmado estos resultados y el concepto general que la tomografía corporal total es una herramienta segura, efectiva y eficiente 6,9,28. Por lo tanto, la inclusión de un protocolo de tomografía corporal total en el manejo inicial de pacientes politraumatizados disminuye el tiempo al diagnóstico definitivo, aumenta la precisión en la selección entre manejo operatorio y no operatorio y reduce la exposición a la radiación ionizante. De tal manera, la tomografía corporal total ha evolucionado y se ha convertido en un componente intrínseco del diagnóstico temprano y el manejo de pacientes politraumatizados alrededor del mundo 12,17,26.
Conclusión
Nuestra recomendación general es que en todos los casos que sea posible, si se está frente un paciente politraumatizado con o sin signos inestabilidad hemodinámica, se debe realizar una tomografía corporal total sin detener o interrumpir las maniobras de resucitación. El uso de esta tecnología ayuda a definir el mejor abordaje quirúrgico sin representar retrasos en el manejo definitivo ni aumentar significativamente la exposición a radiación ionizante.
Referencias
1. Gondek S, Schroeder ME, Sarani B. Assessment and resuscitation in trauma management. Surg Clin North Am. 2017; 97: 985-98. doi:10.1016/j.suc.2017.06.001. [ Links ]
2. Arora R, Arora AJ. Justification of whole-body CT in polytrauma patients, can clinical examination help selecting patients? Quant Imaging Med Surg. 2019; 9: 636-41. doi:10.21037/qims.2019.04.02. [ Links ]
3. ATLS Subcommittee Group, Committee American College of Surgeons', International ATLS working. Advanced trauma life support (ATLS(r)): The ninth edition. J Trauma Acute Care Surg. 2013; 74: 1363-6. doi:10.1097/TA.0b013e31828b82f5. [ Links ]
4. Soto JA, Anderson SW. Multidetector CT of blunt abdominal trauma. Radiology. 2012; 265: 678-93. doi:10.1148/radiol.12120354. [ Links ]
5. Wada D, Nakamori Y, Yamakawa K, Yoshikawa Y, Kiguchi T, Tasaki O, et al. Impact on survival of whole-body computed tomography before emergency bleeding control in patients with severe blunt trauma. Crit Care. 2013; 17: 1-7. doi:10.1186/cc12861. [ Links ]
6. Jiang L, Ma Y, Jiang S, Ye L, Zheng Z, Xu Y, et al. Comparison of whole-body computed tomography vs selective radiological imaging on outcomes in major trauma patients: A meta-analysis. Scand J Trauma Resusc Emerg Med. 2014; 22: 1-11. doi:10.1186/s13049-014-0054-2. [ Links ]
7. Dreizin D, Munera F. Multidetector CT for Penetrating Torso Trauma: State of the Art. Radiology. 2015; 227: 338-55. doi:10.1017/CBO9781107415324.004. [ Links ]
8. Kinoshita T, Yamakawa K, Matsuda H, Yoshikawa Y, Wada D, Hamasaki T, et al. The Survival Benefit of a Novel Trauma Workflow that Includes Immediate Whole-body Computed Tomography, Surgery, and Interventional Radiology, All in One Trauma Resuscitation Room: A Retrospective Historical Control Study. Ann Surg. 2019; 269: 370-6. doi:10.1097/SLA.0000000000002527. [ Links ]
9. Chidambaram S, Goh EL, Khan MA. A meta-analysis of the efficacy of whole-body computed tomography imaging in the management of trauma and injury. Injury. 2017; 48: 1784-93. doi:10.1016/j.injury.2017.06.003. [ Links ]
10. Smith CM, Woolrich-Burt L, Wellings R, Costa ML. Major trauma CT scanning: The experience of a regional trauma centre in the UK. Emerg Med J. 2011; 28: 378-82. doi:10.1136/emj.2009.076414. [ Links ]
11. Huber-Wagner S, Biberthaler P, Häberle S, Wierer M, Dobritz M, Rummeny E, et al. Whole-Body CT in Haemodynamically Unstable Severely Injured Patients - A Retrospective, Multicentre Study. PLoS One. 2013; 8(7): e68880. doi:10.1371/journal.pone.0068880. [ Links ]
12. Ordoñez C, del Valle AM, Parra M, Guzman-Rodriguez M, Herrera-Escobar JP, García C, et al. Single-pass Whole-body vs Organ-selective Computed Tomography for Trauma: Timely Diagnosis vs Radiation Exposure: An Observational Study. Panam J Trauma Crit Care Emerg Surg. 2020; 9(1): 26-31. Doi: 10.5005/jp-journals-10030-1262. [ Links ]
13. Huber-Wagner S, Lefering R, Qvick LM, Körner M, Kay M V., Pfeifer KJ, et al. Effect of whole-body CT during trauma resuscitation on survival: a retrospective, multicentre study. Lancet. 2009; 373: 1455-61. doi:10.1016/S0140-6736(09)60232-4. [ Links ]
14. Tsutsumi Y, Fukuma S, Tsuchiya A, Ikenoue T, Yamamoto Y, Shimizu S, et al. Computed tomography during initial management and mortality among hemodynamically unstable blunt trauma patients: A nationwide retrospective cohort study. Scand J Trauma Resusc Emerg Med. 2017; 25: 1-8. doi:10.1186/s13049-017-0396-7. [ Links ]
15. Hutter M, Woltmann A, Hierholzer C, Gärtner C, Bühren V, Stengel D. Association between a single-pass whole-body computed tomography policy and survival after blunt major trauma: A retrospective cohort study. Scand J Trauma Resusc Emerg Med. 2011; 19: 73. doi:10.1186/1757-7241-19-73. [ Links ]
16. Kimura A, Tanaka N. Whole-body computed tomography is associated with decreased mortality in blunt trauma patients with moderate-to-severe consciousness disturbance: A multicenter, retrospective study. J Trauma Acute Care Surg. 2013; 75: 202-6. doi:10.1097/TA.0b013e3182905ef7. [ Links ]
17. Çorbacioglu SK, Aksel G. Whole body computed tomography in multi trauma patients: Review of the current literature. Turkish J Emerg Med. 2018; 18: 142-7. doi:10.1016/j.tjem.2018.09.003. [ Links ]
18. Godt JC, Eken T, Schulz A, Johansen CK, Aarsnes A, Dormagen JB. Triple-split-bolus versus single-bolus CT in abdominal trauma patients: a comparative study. Acta Radiol. 2018; 59: 1038-44. doi:10.1177/0284185117752522. [ Links ]
19. Leidner B, Adiels M, Aspelin P, Gullstrand P, Wallén S. Standardized CT examination of the multitraumatized patient. Eur Radiol. 1998; 8: 1630-8. doi:10.1007/s003300050601. [ Links ]
20. Hickethier T, Mammadov K, Baeßler B, Lichtenstein T, Hinkelbein J, Smith L, et al. Whole-body computed tomography in trauma patients: Optimization of the patient scanning position significantly shortens examination time while maintaining diagnostic image quality. Ther Clin Risk Manag. 2018; 14: 849-59. doi:10.2147/TCRM.S162074. [ Links ]
21. Hakim W, Kamanahalli R, Dick E, Bharwani N, Fetherston S, Kashef E. Trauma whole-body MDCT: An assessment of image quality in conventional dual-phase and modified biphasic injection. Br J Radiol. 2016; 89(1063):20160160. doi:10.1259/bjr.20160160. [ Links ]
22. Boscak AR, Shanmuganathan K, Mirvis SE, Fleiter TR, Miller LA, Sliker CW, et al. Optimizing trauma multidetector CT protocol for blunt splenic injury: Need for arterial and portal venous phase scans. Radiology. 2013; 268: 79-88. doi:10.1148/radiol.13121370. [ Links ]
23. Brenner DJ, Elliston CD. Estimated Radiation Risks Potentially Associated with Full-Body CT Screening. Radiology. 2004; 232: 735-8. [ Links ]
24. Pearce MS, Salotti JA, Little MP, McHugh K, Lee C, Kim KP, et al. Radiation exposure from CT scans in childhood and subsequent risk of leukaemia and brain tumours: A retrospective cohort study. Lancet. 2012; 380: 499-505. doi:10.1016/S0140-6736(12)60815-0. [ Links ]
25. McCollough CH, Schueler BA. Calculation of effective dose. Am Assoc Phys Med. 2000; 27: 828-37. doi:10.1118/1.598948. [ Links ]
26. Ordoñez CA, Holguín A, García C, Parra MW, Angamarca E, Guzmán-Rodríguez M, et al. Implementation of a new Single-Pass Whole-Body Computed Tomography Protocol: Is it safe, effective and efficient in patients with severe trauma?. Colomb Med (Cali). 2020; 51(1): e4224. [ Links ]
27. Ordoñez CA, Herrera-Escobar JP, Parra MW, Rodriguez-Ossa PA, Mejia DA, Sanchez AI, et al. Computed tomography in hemodynamically unstable severely injured blunt and penetrating trauma patients. J Trauma Acute Care Surg. 2016; 80: 597-603. doi:10.1097/TA.0000000000000975. [ Links ]
28. Caputo ND, Stahmer C, Lim G, Shah K. Whole-body computed tomographic scanning leads to better survival as opposed to selective scanning in trauma patients: A systematic review and meta-analysis. J Trauma Acute Care Surg. 2014; 77: 534-9. doi:10.1097/TA.0000000000000414. [ Links ]
Recibido: 01 de Junio de 2020; Revisado: 14 de Octubre de 2020; Aprobado: 10 de Noviembre de 2020










texto en 



