Servicios Personalizados
Revista
Articulo
Indicadores
-
Citado por SciELO -
Accesos
Links relacionados
-
Citado por Google -
Similares en
SciELO -
Similares en Google
Compartir
Revista Ciencias de la Salud
versión impresa ISSN 1692-7273versión On-line ISSN 2145-4507
Rev. Cienc. Salud v.6 n.2 Bogotá mayo/ago. 2008
Tumor frontal, transtorno afectivo y encefalopatía
Brain tumor, mood disorder and encephalopathy
Fernando Velandia Hurtado,1 Juan Pablo Salgado Cardozo2
1. Esp. Patólogo, neuropatólogo. Profesor principal. Miembro del Grupo de Investigación en Neurociencias (NEUROS), Universidad el Rosario. Correo electrónico: fervelah@gmail.com.
2. MD. Residente primer año de Neurocirugía, Universidad del Rosario.
Recibido: 10 de junio de 2008 Aceptado: 8 de julio de 2008
Resumen
Se reporta caso de paciente de 65 años, de sexo femenino, que ingresa con síntomas neurológicos indiferenciados, los cuales, por hallazgos imagenológicos iniciales de meningioma del ala del esfenoides, requieren resección tumoral. Presenta evolución tórpida, deterioro neurológico progresivo, hasta su fallecimiento.
Palabras clave: meningioma, encefalopatía espongiforme, enfermedad de Creutzfeldt-Jakob.
Summary
We report a case of a patient was 65 years old, who was admitted with neurologic symptoms ill-defined by imaging findings that initial meningioma wing of the sphenoid, tumor resection, is performed. She presented torpid evolution, progressive neurological deterioration, until her death.
Key words: encephalitis, spongiform, Creutzfeldt-Jakob disease (CJD), meningioma.
Paciente femenino de 65 años de edad, con cuadro clínico de un mes de evolución, consistente en bradipsiquia, pérdida de la memoria, compromiso de motricidad fina en mano derecha, disartria, lenguaje perseverante. Al examen físico de ingreso se encontraron los siguientes datos: FC: 94; TA: 120/49, FR: 16, eutérmica, sensación de vértigo subjetivo. En la evaluación neurológica se apreció paciente alerta, con desorientación parcial en tiempo, no seguía adecuadamente el flujo del interrogatorio, el lenguaje fue perseverante, las pupilas isocóricas y normo-reactivas. No se encontraron alteraciones de los nervios craneales, ni déficit sensitivo. La fuerza en las extremidades fue de 5/5, los reflejos osteomusculares se calificaron en ++/++++, simétricos. Existía un temblor de intención y leve dismetría. La evaluación de las funciones mentales superiores mostró: bradipsiquia y bradilalia, afecto plano, memoria parcialmente alterada y test de Glasgow de 15/15.
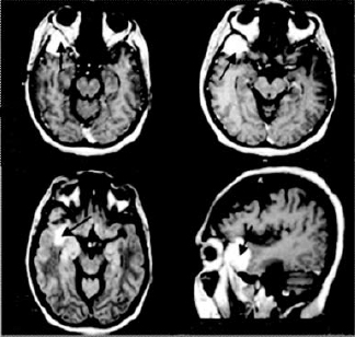
Se realizó estudio de resonancia magnética cerebral (figura 1) en el cual se evidenció una imagen hiperintensa en T1 en la región temporal derecha, con importante edema perilesional, efecto de masa local, sin desviación de línea media. Se realizó un diagnostico inicial de meningioma de ala del esfenoides derecho. Se decidió hospitalizar, se inician medidas antiedema cerebral y monitoría neurológica.
Figura 1. Imagen hipertensa con edema perilesional temporal derecho.

En los primeros dos días de su estancia, la paciente presentó deterioro neurológico por lo que se intensificó el manejo inicial con medidas antiedema cerebral y se programó para resección tumoral de meningioma del ala del esfenoides. Se realizó resección completa de la lesión tumoral sin complicaciones. El servicio de patología confirmó posteriormente el diagnóstico de meningioma.
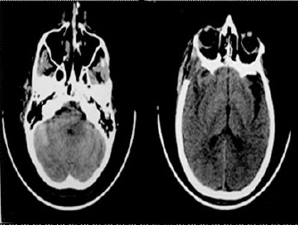
El cuidado postquirúrgico de la paciente se realizó en la unidad de cuidados intensivos. Durante el primer día postquirúrgico presentó deterioro neurológico con crisis consistente en mioclonías del miembro superior derecho, alteración de la interacción con el medio y aumento del lenguaje perseverante. Por este motivo, se ordenó un TAC de cráneo en el que se observaron cambios postcraneotomía, resección tumoral completa, edema cerebral hemisférico derecho y colección subdural derecha que ejerce un leve efecto compresivo sobre los tejidos aledaños (figura 2).
Figura 2. Se repite TEC cerebral, sin cambios importantes respecto al estudio anterior.

Se continuó el manejo con medidas antiedema cerebral y medicación anticonvulsiva, fenitoína sódica. No se consideró una conducta quirúrgica en este momento.
Los días subsiguientes presentó mayor deterioro del nivel de conciencia, movimientos mioclónicos que comprometen las cuatro extremidades y cursó con estado epiléptico por lo se adicionó ácido valproico. No se evidenció ninguna mejoría con este esquema.
Se realizó una nueva resonancia magnética cerebral, en la cual se evidenció edema hemisférico derecho con borramiento de las circunvoluciones, sangrado escaso en el lecho quirúrgico, colección subdural hemisférica derecha con leve efecto compresivo y atrofia cerebral difusa. En las imágenes de difusión se observó un realce de la corteza del hemisferio izquierdo (figuras 3 y 4).
Figura 3. Sangrado en lecho quirúrgico, colección subdural derecha.

Figura 4. Realce de la corteza en la difusión.

Debido a la evolución tórpida, se decidió llevar a un segundo tiempo quirúrgico, en el cual se realizó una craneotomía para drenaje de la colección subdural. Pese a este nuevo procedimiento quirúrgico, la paciente continuó en estado epiléptico, que se caracterizaba por mioclonías generalizadas.
Se realizan electroencefalogramas en los siguientes días; en éstos se evidencia un trazado de vigila anormal con la presencia de descargas continuas epileptiformes que se correlacionan con el diagnóstico clínico de un estado epiléptico parcial complejo que se generaliza. Este patrón permanece sin cambios en cuatro diferentes evaluaciones electroencefalográficas. Posteriormente, los trazados no muestran elementos fisiológicos que permitan diferencia la vigilia del sueño y se apreciaban descargas periódicas permanentes y pseudoperiódicas, sugestivas de encefalopatía difusa de mayor compromiso sobre el lado izquierdo (figura 5).
Figura 5. Patrón característico de encefalopatía.

Al persistir el estado epiléptico, se decidió realizar intubación oro-traqueal para dar soporte ventilatorio, iniciar sedación con clonazepán y dar soporte inotrópico. Se realizó una punción lumbar, la cual reportó un líquido cefalorraquídeo de características normales. Ante la clínica, los hallazgos imagenológicos y el estudio electroencefalográfico, se sospechó una encefalitis de predominio sobre el hemisferio izquierdo por lo que se decidió realizar un SPECT cerebral. En éste se reportaron signos de atrofia cortical con patrón irregular y disminución generalizada en la captación que indicaba algún grado de encefalopatía anóxica. Igualmente, alteraciones funcionales del lóbulo temporal derecho (de predominio en región inferobasal) y del segmento basal del izquierdo, hallazgos que no pueden ser tipificados como causa de la alteración epileptogénica (figura 6).
Figura 6. Atrofia cortical, bajo metabolismo temporal derecho.

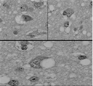
Ante los datos clínicos y paraclínicos, se decidió tomar una biopsia cerebral para establecer el diagnóstico. El reporte de biopsia concluye: con la coloración de hematoxilina eosina se muestra un tejido cerebral cortical con pérdida moderada de la población neuronal; importante cambio esponjoso de vacuola pequeña perineuronal y astrocitario, astrogliosis, ausencia de infiltrado inflamatorio.
Figura 7. Cambio esponjoso, vacuola pequeña.

Posteriormente, y a pesar del gran esfuerzo terapéutico, el manejo en UCI, la sedación profunda y el tratamiento anticonvulsivante en máximas dosis, la paciente presentó evolución tórpida y falleció.












