Introducción
Los dermatofitos comprenden tres géneros: Epidermophyton, Trichophyton y Microsporum. Son queratinofílicos en humanos y animales y están usualmente restringidos a capas cornificadas de la epidermis, sin invadir más allá de ella 1. En un huésped inmunocompetente son incapaces de penetrar tejidos viables, pero bajo condiciones de inmunosupresión adquieren la habilidad de invadir la dermis y diseminarse a nivel sistémico. Existen cuatro formas de infecciones invasivas de dermatofitos: el granuloma de Majocchi, la dermatofitosis profunda, la diseminada, y el micetoma o pseudomicetoma por dermatofitos 2.
Caso clínico
Se trataba de una paciente de 14 años quien consultó a un hospital local por un cuadro de un mes de evolución que consistía en pápulas eritematosas, vesículas y pústulas en la piel del abdomen, del cual se hizo un diagnóstico inicial de eccema y se ordenaron esteroides tópicos. Posteriormente, las lesiones se extendieron hacia la vulva y región inguinal izquierda, por lo que fue remitida a un hospital de la ciudad.
Durante el examen físico se observaron pápulas foliculares eritematosas agrupadas en placas con descamación, en piel de región abdominal (foto 1). En vulva presentaba placa eritematosa indurada y rezumante, con costras mieliséricas, y pápulas eritematosas foliculares (foto 2).

Foto 2 Piel de vulva. Placa eritematosa indurada rezumante con costras mieliséricas y pápulas eritematosas foliculares.
Fue hospitalizada con impresiones diagnósticas de herpes simples, enfermedad de Crohn, granuloma de Majocchi e infección por micobacterias atípicas. Recibió tratamiento empírico con aciclovir para su herpes zóster, pero no se obtuvo mejoría.
El hemograma, serología, Elisa para VIH, test de Tzanck, ANA’s y KOH, fueron negativos. Se tomó biopsia de de las lesiones del abdomen y de la vulva para pruebas con hematoxicilina y eosina (H-E) y para cultivo, mientras la paciente era tratada con oxacilina con mejoría parcial.
Las biopsias revelaron hallazgos similares: de la lesión en la piel de abdomen se reportó hiperplasia epidérmica con dilatación infundibular, tapón de queratina e infiltrado inflamatorio perifolicular, perivascular y profundo, compuesto por neutrófilos, linfocitos e histiocitos. Se reportó también tallo piloso rodeado por queratina compacta y estructuras muy sugestivas de hongos.
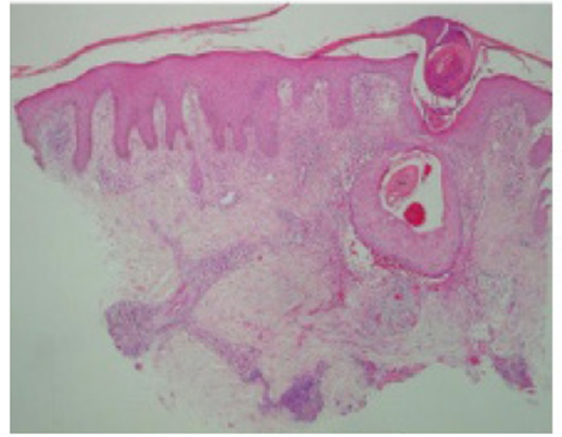
De la biopsia de la vulva se reportó hiperplasia epidérmica marcada, así como denso infiltrado inflamatorio de linfocitos, histiocitos, plasmocitos y células gigantes multinucleadas ocupando toda la dermis (fotos 3 y 4). En ambas biopsias se realizaron tinciones especiales con PAS y plata metenamina que resultaron negativas. En el cultivo crecieron colonias de Trichophyton mentagrophytes (Tr m).

Foto 3 Microfotografía panorámica, piel de vulva HE 4X. Infundíbulo folicular dilatado. denso infiltrado inflamatorio perifolicular mixto.

Foto 4 Microfotografía. piel de vulva, HE 40X. marcada hiperplasia epidérmica. denso infiltrado inflamatorio de linfocitos, histiocitos, plasmocitos y células gigantes multinucleadas
Basados en la sospecha clínica, los hallazgos histológicos y el reconocimiento del agente etiológico se hizo diagnóstico de granuloma de Majocchi. A la paciente se le administró terbinafina 250 mg al día por seis semanas, alcanzando marcada mejoría clínica.
Discusión
El granuloma de Majocchi es una infección invasiva por dermatofitos. El primero en describirla fue Majocchi en 1883 3. Trichophyton rubrum es la causa más común de infección en el ser humano y por lo tanto de granuloma (4) Otros agentes reportados son Trichophyton mentagrophytes, Trichophytonepilans, Trichophyton violaceum, Microsporum audouinii, Microsporum gypseum, Microsporum ferrugineum, and Microsporum canis5,6.
El granuloma de Majocchi predomina en el sexo femenino a razón de tres a uno, entre los 20 y 35 años de edad 7. El 62 % de los pacientes son inmuno-competentes y 38 % inmunocomprometidos 2 y es muy común en pacientes trasplantados o con trauma previo 4,8.
La piel del ser humano inmuno-competente alberga dermatofitos como parte de su flora normal, e impide su conversión en patógenos gracias a su estado de hidratación, velocidad del recambio epidérmico, el factor sérico inhibidor inespecífico, la producción de queratina, la presencia de lípidos en el estrato córneo y la tensión de CO². Pero cuando el estado inmunológico se altera o cuando el huésped tiene una infección micótica concomitante o hay ruptura de la barrera cutánea o de sus anexos (como al rasurarse las piernas), se propicia la invasión y el crecimiento de los folículos pilosos por dermatofitos 4,6,9.
Luego del ingreso a la dermis, se nutren de queratina y favorecen la acumulación de detritus celulares y de mucopolisacáridos ácidos del estroma, disminuyendo el pH del ambiente y haciéndolo propicio para su supervivencia, la cual se potencia debido a los cambios morfológicos adaptativos que sufren, formando esporas y artroconidias, que contienen sialomucina que los hace más resistentes a las defensas del huésped y en el cual modulan el sistema inmune al liberar factores quimiotácticos y fijando el complemento, aumentando la respuesta inflamatoria neutrofílica 10-13. Habitando la dermis, los hongos pueden diseminarse a otras partes por vía hematógena o linfática 14.
Se han reportado dos variantes clínicas: la forma papular perifolicular o superficial que afecta a personas inmunocompetentes y a mujeres que se depilan las piernas, y la forma nodular subcutánea o profunda, más común en pacientes inmunosuprimidos y que se caracteriza por nódulos firmes o fluctuantes en la cabeza y brazos 15-17.
Sólo han sido reportados tres casos de granuloma de Majochi en genitales: una paciente que utilizó esteroides tópicos por cinco días, causando perifoliculitis en vulva por T. mentagrophytes; otro en escroto por T. rubrum de un paciente sano y, por último, en el pubis femenino de una paciente por T. mentagrophytes luego de depilarse 16,18,19 .
El diagnóstico se basa en la integración de exámenes directos con KOH, cultivo para hongos, intradermorreacción específica a la tricofitina; aunque la prueba confirmatoria es el estudio histopatológico por microscopia de luz 20,21. En esta enfermedad se observa foliculitis supurativa profunda y granulomatosa con infiltrado de linfocitos, macrófagos, células epitelioides y células gigantes. Se pueden emplear tinciones específicas como ácido periódico de Schhiff para detallar elementos fúngicos en los tejidos, pero no es una práctica histopatológica de rutina 22.
El granuloma de Majochi que afecta la piel cabelluda debe diferenciarse de piodermias (foliculitis), tiña capitis y querión de Celso 19. Cuando se ubica en la barba, debe ser distinguida de tiña de la barba y del bigote, mientras que en extremidades inferiores, debe diferenciarse de tiña corporis, eritema nodoso y micobacteriosis atípica 23.
El tratamiento debe ser con antimicóticos sistémicos, ya que los medicamentos tópicos son ineficaces por la localización profunda de la infección 6,18. Existen opciones terapéuticas como el itraconazol en dosis de 200 mg/día por 20 a 30 días o dos pulsos de 200 mg dos veces al día durante una semana con dos semanas de intervalo entre ambos pulsos; también pueden emplearse ketoconazol, en dosis de 200 mg/día por 30 a 90 días o la terbinafina oral a dosis de 250-500 mg/día por 30 días, que, por las altas concentraciones que alcanza en el sebo, folículo piloso y estrato córneo, es una opción apropiada de tratamiento 24-26.
La excisión quirúrgica se recomienda para infecciones fúngicas profundas como tratamiento primario cutáneo en pacientes inmunosuprimidos, en combinación con un antimicótico sistémico 3.
Conclusión
El granuloma de Majochi es una presentación atípica de infección dérmica por dermatofitos, considerada de buen pronóstico, gracias a la existencia de farmacoterapia efectiva para su tratamiento. Se debe considerar su diagnóstico, aún en individuos saludables, especialmente cuando su historia clínica revela un tratamiento con esteroides para eccema recurrente 27.














