Introducción
La posición del paciente en decúbito prono es utilizada en cirugía para acceder a la fosa posterior del cráneo, cuello, columna vertebral, retroperitoneo, área perianal, y glúteos 1. Esta posición puede asociarse a pérdida visual postoperatoria en el 0,05 a 1 % de las complicaciones reportadas 2. Entre estas, la neuropatía óptica isquémica es la más frecuente en el 89 % de los casos con pérdida visual irreversible 3,4. Otros diagnósticos diferenciales son oclusión de la arteria o la vena central de la retina, ceguera cortical y cierre agudo del ángulo esclerocorneal 5.
El desprendimiento seroso de retina es la separación de la retina neurosensorial y del epitelio pigmentario de la retina por acumulación de líquido, sin daño estructural 6,7, perdiéndose la adhesión dada por los procesos interdigitales apicales 8. Algunas causas inflamatorias, vasculares y neoplásicas pueden generar cambios en la permeabilidad y en la perfusión de la coroides desencadenado el incremento del líquido intersticial en la coroides con extensión al espacio subretiniano 6,9. Cuando el desprendimiento de retina compromete el polo posterior de la retina y el área macular, se asocia a disminución severa de la agudeza visual 10.
Se presenta el caso de una paciente con desprendimiento de retina con compromiso de la agudeza visual luego de cirugía en decúbito prono.
Reporte del caso
Una mujer de 40 años fue llevada a cirugía para el retiro de prótesis bilateral de biopolímeros en glúteos. La cirugía se llevó a cabo en posición de decúbito prono y bajo anestesia general. Entre sus antecedentes personales se destacaba mamoplastia de aumento tres meses antes, sin otros antecedentes de relevancia. En la consulta preanestésica se valoraron las pruebas, sin hallazgos patológicos.
En el examen físico no se encontraron alteraciones. Evaluada la vía aérea fue catalogada como grado I de Mallampati y clasificación ASA I según la American Society of Anesthesiologist. Luego de la inducción anestésica se posicionó a la paciente en decúbito prono con rodillas y caderas flejadas a 30°, ubicando un soporte almohadillado sobre las crestas iliacas, otro debajo del surco mamario y otro ubicado inmediatamente superior a las prótesis mamarias para evitar presión sobre las mismas. Se utilizó un soporte de espuma para la cabeza y se ubicó en posición neutra y lineal a la columna vertebral. Este soporte era de un tamaño mayor para la estructura ósea de la paciente; sin embargo, no ocluía el área de la nariz y los ojos por lo que se decidió dejarse. Se evaluó de nuevo la posición del tubo sin encontrar desplazamiento.
Durante la cirugía se realizó monitoreo de presión arterial no invasiva, pulsoxímetro y capnografía; las variables hemodinámicas permanecieron estables presentando hipotensión controlada hasta finalizar el procedimiento, con una duración total de una hora y 28 minutos.
Al finalizar, se evidenciaron cambios en la posición de la paciente, tales como cabeza lateralizada que generaba presión sobre la órbita izquierda; igualmente, el soporte almohadillado utilizado en tórax, superior a las prótesis mamarias, estaba levemente desplazado hacia el cuello.
Se extubó en el quirófano y fue trasladada a sala de recuperación. En sala de recuperación la paciente refirió visión borrosa por el ojo izquierdo por lo que se evaluó fondo de ojo, sin encontrar hallazgos patológicos. Se aplicó lubricante ocular (carbómero) en forma de gel, sin ninguna mejoría, por lo que se decidió consultar a oftalmología.
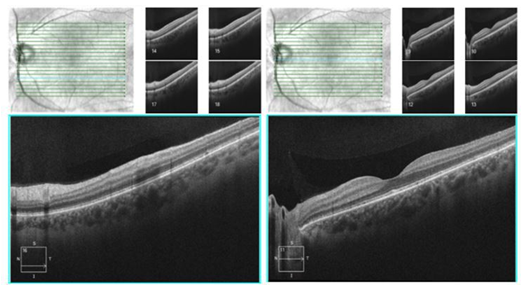
La evaluación encontró agudeza visual en Logmar en ojo derecho fue de 0,0 (Snellen 20/20) y en ojo izquierdo de 0,2 (Snellen 20/32). Sin hallazgos a la evaluación con lámpara de hendidura y las pupilas eran reactivas. La presión intraocular era de 11/10 mm/ Hg. Bajo dilatación ocular, el examen de fondo de ojo izquierdo evidenció múltiples áreas de desprendimientos serosos que comprometían el polo posterior y la periferia media. El área macular se encontraba respetada. El fondo de ojo derecho no mostraba alteraciones. Una tomografía de coherencia óptica identificó fluido subretinano (desprendimiento seroso de la neuroretina) en diferentes sectores del ojo izquierdo (figura 1).

Figura 1 A). Tomografía de coherencia óptica de ojo derecho con grosor coroideo normal de 301 micras. B).Tomografía de coherencia óptica de ojo izquierdo. Se evidencia separación de las capas de la retina en relación con la coroides en diferentes ubicaciones de la retina; imagen de la fóvea evidencia ligero aumento del grosor coroideo de 482 micras en comparación con ojo derecho.
Se indicó nepafenaco tópico al 0,1 % una gota cada ocho horas y prednisolona tópica al 1 % en dosis de una gota cada seis horas. Fue evaluada a las 72 horas y a la semana, observando reabsorción total del desprendimiento en todas las áreas comprometidas (figura 2). La agudeza visual final mejor corregida en ojo izquierdo fue 0,0 en la escala de LogMAR (Snellen 20/20).
Discusión
No conocemos otros reportes en la literatura de desprendimiento seroso de retina secundario a posición prono. En el análisis posterior del caso se identificó una inadecuada posición del soporte utilizado en el tórax, lo que pudo generar mayor presión intratorácica y disminución del gasto cardíaco, por la reducción en el retorno venoso, sumándose a las alteraciones hemodinámicas por posición en prono de manera in- dependiente 11,12. Se evidenció, además, que el soporte de la cabeza era de un tamaño mayor y no correspondía a la estructura ósea de la paciente, por lo que durante la cirugía la cabeza pudo haber rotado hacia la derecha y así comprimir externamente el ojo izquierdo, aumentando la estasis vascular 13.
Existen varios tipos de almohadillas disponibles diseñadas para la posición prono, la mayoría de gomaespuma, la cual sostiene la frente, las regiones malares y la barbilla, y tiene agujeros para los ojos, la nariz y la boca. En este caso la cara no siempre es visible, lo que hace difícil la vigilancia de los ojos; igualmente, los soportes en forma de herradura solo sostienen la frente y los pómulos; sin embargo, son rígidos y pueden ser peligrosos si la cabeza se mueve. Cualquiera que sea el método empleado para sujetar la cabeza, debe inspeccionarse frecuentemente la cara para asegurarse que el peso recae solo sobre las estructuras óseos y no sobre los ojos 13. Se considera que ambos factores generaron una estasis venosa del flujo coroideo, aumentando la presión hidrostática y su posterior redirección de flujo hacia el espacio subretiniano 14,15.
A partir de un sistema de transporte activo el epitelio pigmentario de la retina moviliza fluido y solutos desde el espacio subretinal hacia la coroides, que al ser altamente vascular y permeable emplea fuerzas hidrostáticas y osmóticas para desplazar el líquido hasta el drenaje venoso 8. Un aumento de la presión hidrostática en la coroides genera un desbalance transitorio de este mecanismo 9.
Al reevaluar la tomografía de coherencia óptica se observó un incremento del grosor coroideo en el ojo izquierdo con respecto al derecho, lo cual podría explicar el incremento de fluido en la coroides en el ojo izquierdo. En este caso, el cuadro resolvió una vez se suspendió el estímulo causante.
Se adicionaron medidas de prevención luego del evento adverso, la adquisición de soportes faciales de gel que al ser moldeables permiten balancear el peso de la cabeza del paciente y evitar su movimiento.














