Servicios Personalizados
Revista
Articulo
Indicadores
-
Citado por SciELO -
Accesos
Links relacionados
-
Citado por Google -
Similares en
SciELO -
Similares en Google
Compartir
Revista colombiana de Gastroenterología
versión impresa ISSN 0120-9957versión On-line ISSN 2500-7440
Rev. colomb. Gastroenterol. vol.36 no.1 Bogotá ene./mar. 2021 Epub 21-Oct-2021
https://doi.org/10.22516/25007440.453
Reporte de casos
Hemangioma cavernoso de colon en un paciente joven
1MD, pathologist, Universidad de Cartagena. Cartagena, Colombia.
2MD, General surgeon, endoscopic surgeon, Clínica del Caribe. Barranquilla, Colombia.
3General practitioner, Universidad de Cartagena. Cartagena, Colombia.
El hemangioma cavernoso de colon es una neoplasia vascular benigna, muy poco frecuente. Se realiza una breve descripción del cuadro clínico, diagnóstico y tratamiento de un paciente joven con un hemangioma cavernoso en el sigmoides. Se trata de un paciente de 18 años de edad quien consultó al servicio de urgencias por un cuadro clínico consistente en sangrado rectal indoloro asociado con disnea, astenia y adinamia; el paciente ingresó con signos vitales estables, posteriormente, se realizaron estudios complementarios, entre ellos un hemograma, que reportó un síndrome anémico grave que lleva al estudio de su causa. Se realizó una colonoscopia que reportó una lesión a nivel del sigmoides compatible con hemangioma colónico. El paciente es llevado a cirugía (laparotomía), se realizó una hemicolectomía y se confirmó el diagnostico por estudio de patología.
Palabras clave: Hemangioma; colon; cavernoso; sigmoides; laparotomía
Cavernous hemangioma of the colon is a very rare benign vascular neoplasm. The following is a brief description of the symptoms, diagnosis, and treatment of a young patient with a cavernous hemangioma of the sigmoid colon. An 18-year-old man consulted the emergency department due to painless rectal bleeding associated with dyspnea, asthenia, and adynamia. The patient was admitted with stable vital signs, and complementary studies, including a blood count, reported severe anemic syndrome leading to the study of the cause of the disease. A colonoscopy was performed, finding a sigmoid lesion compatible with colon hemangioma. The patient was taken to surgery (laparotomy), a hemicolectomy was performed, and the diagnosis was confirmed by pathology study.
Keywords: Hemangioma; Colon; Cavernous; Sigmoid; Laparotomy
INTRODUCCIÓN
Los hemangiomas son neoplasias vasculares benignas poco comunes que pueden aparecer en cualquier parte del cuerpo. Afectan principalmente la piel, hígado y páncreas, y el tracto gastrointestinal con menor frecuencia. En esta última región, el recto sigmoides es la localización más comúnmente afectada 1-3. Los hemangiomas representan aproximadamente el 5% de todos los tumores gastrointestinales 4,5 y constituyen la segunda causa vascular más común a nivel colorrectal 6. La incidencia es de 1 de cada 1500 pacientes 1,7,8.
Existen tres tipos de hemangiomas: los cavernosos, capilares y mixtos, y pueden aparecer como lesiones únicas o múltiples en uno o varios órganos, y forma parte de síndromes específicos 2,4,6,9. Los hemangiomas intestinales se asocian con síndromes con malformaciones vasculares mucocutáneas, como el síndrome de Rendu-Osler-Weber y el Klippel-Trenaunay-Weber 1,6.
Se trata de una patología poco conocida, infrecuente y mal diagnosticada, ya que su forma de presentación clínica es similar a otras enfermedades gastrointestinales y muchos casos no logran confirmarse con estudio de patología. Para su diagnóstico se hace necesario un alto índice de sospecha y descartar otras patologías más comunes.
PRESENTACIÓN DEL CASO
Se trata de un paciente masculino, de 18 años de edad, llevado al servicio de urgencias por cuadro clínico de más o menos 1 mes de evolución consistente en sangrado rectal en abundante cantidad con la defecación, acompañado de astenia, adinamia y palidez generalizada, sin dolor abdominal, ni fiebre, ni otros síntomas asociados. Al examen físico se encontró el paciente con palidez mucocutánea marcada y signos vitales estables; se realizó un colon por enema, el cual se reportó normal; y también se realizaron paraclínicos de extensión en los que se encontró un síndrome anémico con hemoglobina de 5,8 y hematocrito 18, que conlleva al estudio de su causa. Posteriormente, se realizó una colonoscopia que mostró a nivel de recto y sigmoides una lesión extensa que compromete toda la circunferencia, de coloración violácea con redundancia de trama vascular compatible con hemangioma colónico (Figura 1). El paciente fue llevado a cirugía y, finalmente, mediante el estudio de patología se confirmó el diagnóstico de hemangioma cavernoso del colon sigmoide.
PATOLOGÍA
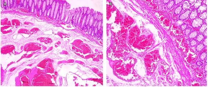
En el servicio de patología se recibió un segmento de colon que mide 17 x 8 x 3 cm, de color violáceo. Al corte de identificaron múltiples vasos engrosados, de contenido hemorrágico, que ocupan y ocluyen la luz en un 50%, la lesión se encuentra a 1,5 cm de los márgenes de resección. En el examen microscópico se observó mucosa colónica con una lesión vascular múltiple, que compromete todo el espesor de la pared y está constituida por una proliferación de vasos dilatados, de mediano y gran calibre, tapizados por células endoteliales sin atipia y en su interior algunos se encontraron trombosados, con focos de hiperplasia papilar endotelial y algunas áreas con contenido eosinofílico en su interior (Figuras 2 y 3).

Figura 2 Representación de la lesión en la que se observan vasos sanguíneos de diferentes tamaños en la submucosa. En la parte superior se observa mucosa rectal sana. A. Hematoxilina-eosina (HE) 4x. B. HE 10x.
DISCUSIÓN
Los hemangiomas son lesiones hamartomatosas derivadas de tejido mesodérmico que tienen su origen desde el nacimiento 1,2,10; sin embargo, son considerados por algunos investigadores como verdaderas neoplasias por su potencial de crecimiento 2. Son tumores poco comunes, especialmente a nivel del tracto gastrointestinal; se localizan con mayor frecuencia a nivel del rectosigmoides 1-4. Desde 1839 se han reportado aproximadamente 120 casos en la literatura 11,12. Son lesiones que pueden aparecer a cualquier edad, aunque el promedio de aparición oscila entre los 5 y 25 años, y es más frecuente en adultos jóvenes, especialmente en la tercera década de la vida 4,6,10. No se ha demostrado predilección por algún sexo 4,10. Se clasifican en tres tipos de acuerdo con el componente predominante: hemangiomas cavernosos, hemangiomas capilares y mixtos. Los hemangiomas cavernosos son los más frecuentes 2,10,11,13,14, representan aproximadamente el 80% de las lesiones colorrectales y se trata de lesiones no encapsuladas, azuladas, con vasos sanguíneos dilatados de tamaño variable y que se dividen a su vez en dos tipos: circunscritos y difusos, los cuales pueden comprometer todo el espesor del colon, invadiendo desde la mucosa hasta la serosa 2,11. Con frecuencia, ocurren trombosis dentro de los sinusoides con una posterior calcificación formando los llamados flebolitos, que son una característica importante para el diagnóstico 1,10. Los hemangiomas capilares representan el 10%; se trata de lesiones no encapsuladas, solitarias y asintomáticas; y los mixtos son el 10% restante, con una mezcla de los dos anteriores 2,11. Tienen diferentes formas de presentación dependiendo de su localización.
Generalmente, los pacientes consultan por sagrado o síntomas de obstrucción intestinal mecánica. La hemorragia digestiva es el síntoma predominante; generalmente es indolora, recurrente, en ocasiones masiva, puede evolucionar a estados de choque con una mortalidad del 40% a 50% 1 y depende del tamaño y tipo de malformación vascular 6,10. Se necesita un alto índice de sospecha, una adecuada anamnesis y un examen físico completo asociado con exámenes complementarios para poder realizar su diagnóstico 6. En el síndrome de Rendu-Osler-Weber, del 13% al 33% de los pacientes presenta un sangrado intestinal de forma crónica acompañado de síndrome anémico 15. Se cometen con mucha frecuencia errores diagnósticos por tratarse de una patología poco frecuente y manifestarse con síntomas que pueden aparecer en enfermedades más comunes 6. En un estudio realizado por Jeffery y colaboradores encontraron un porcentaje alto, del 80%, de pacientes que habían tenido un diagnostico errado, y el principal diagnóstico fue enfermedad hemorroidal; y la mayoría de pacientes tuvo una hemorroidectomía previa al diagnóstico de hemangioma 12. El estándar de oro para el diagnóstico de hemangiomas de colon es la videocolonoscopia, teniendo en cuenta que la mayoría de estas lesiones se encuentran a nivel del rectosigmoides 1,11,13. Existen otras herramientas diagnósticas que complementan a la videocolonoscopia para establecer una localización exacta y definir márgenes para la resección. Una herramienta de fácil acceso es la radiografía, que puede mostrar presencia de flebolitos en un 26% a 50% de los casos 1,6,10, signo patognomónico de estas lesiones.
La tomografía axial computarizada (TAC) y la resonancia magnética (RM) se utilizan para establecer márgenes de resección de la lesión y descartar la infiltración de órganos pélvicos 11,16. La RM ha sido considerada por Djourhi y colaboradores como el estudio de elección para evaluar la extensión del hemangioma cavernoso de colon por su resolución y por tratarse de un método no invasivo, comparado con la TAC, sobre todo en pacientes jóvenes, ya que este último debe realizarse en múltiples ocasiones para el seguimiento y control, y requiere inyección de material de contraste o yodo 17.
CONCLUSIÓN
Los hemangiomas gastrointestinales son una patología infrecuente y mal diagnosticada que debe ser considerada en todo paciente que consulte por sangrado intestinal recurrente y signos de obstrucción intestinal, especialmente en pacientes jóvenes.
Existen diferentes herramientas diagnósticas; sin embargo, se enfatiza en una anamnesis completa y un alto índice de sospecha, puesto que se cometen errores diagnósticos y de tratamiento, llevando al paciente a cirugías con diagnósticos erróneos. El estudio de elección es la videocolonoscopia, que es el estándar de oro, y se debe complementar con radiografía, TAC o RM; esta última es la de mayor preferencia en hemangiomas cavernosos de colon.
REFERENCIAS
1. O’farril R, Herrejón JM,Coyoli O, Martinez JM, Toledo CR, Jiménez A. Hemangioma cavernoso de rectosigmoides, enfermedad poco común y mal estudiada. Cir Gen. 2012;34(1):65-71. [ Links ]
2. Rodríguez Rodríguez, Ibraín, Borges Sandrino, René, Barroso Rosales, Elianne, Santiesteban Pupo, Wilfredo Ernesto, Rodríguez Martínez, Yoan Gabriel y Casa de Valle Castro, Midalys Hemangioma cavernoso del mesosigmoide: informe de un caso y revisión de la bibliografía. Revista Cubana de Cirugía. 2014;53(1):90-98. [ Links ]
3. Parker GW, Murney JA, Kenoyer WL. Cavernous hemangioma of the rectum and rectosigmoid: a case report and review. Dis Colon Rectum. 1960;3:358-63. https://doi.org/10.1007/BF02623804 [ Links ]
4. Gómez DM, Abello JR, Cienfuegos A, Guzmán GA, Suarez J, León FA, Salazar W, Pinedo R, Tabares A, Varela MJ. A case report of cavernous Hemangioma as a cause of occult gastrointestinal Bleeding. Rev Colomb Gastroenterol. 2018;33(1):68-72. https://doi.org/10.22516/25007440.234 [ Links ]
5. de Mascarenhas-Saraiva MN, da Silva Araújo Lopes LM. Small-bowel tumors diagnosed by wireless capsule endoscopy: report of five cases. Endoscopy. 2003;35(10):865-8. https://doi.org/10.1055/s-2003-42625 [ Links ]
6. Varela G, Cervera JA, Fernández G, Rodríguez NA, Flores J, Robles C. Hemangioma Cavernoso de Colon. Reporte de un caso y Revisión de la literatura. Rev Gastroenterol Mex. 2004;69(2):95-99. [ Links ]
7. Pohlen U, Kroesen AJ, Berger G, Buhr HJ. Diagnostics and surgical treatment strategy for rectal cavernous hemangiomas based on three case examples. Int J Colorectal Dis. 1999;14(6):300-3. https://doi.org/10.1007/s003840050233 [ Links ]
8. Hervías D, Turrión JP, Herrera M, Navajas León J, Pajares Villarroya R, Manceñido N, Castillo P, Segura JM. Diffuse cavernous hemangioma of the rectum: an atypical cause of rectal bleeding. Rev Esp Enferm Dig. 2004;96(5):346-52. https://doi.org/10.4321/s1130-01082004000500008 [ Links ]
9. Camilleri M, Chadwick VS, Hodgson HJ. Vascular anomalies of the gastrointestinal tract. Hepatogastroenterology. 1984;31(3):149-53. [ Links ]
10. Amati AL, Hecker A, Schwandner T, Ghanem H, Holler J, Reichert M, Padberg W. A hemangioma of the sigmoid colon mesentery presenting as a retroperitonealtumor: a case report and review. World J Surg Oncol. 2014;12:79. https://doi.org/10.1186/1477-7819-12-79 [ Links ]
11. Martínez Jaramillo Carlos, Cepeda Vásquez Ricardo, Reyes Juan Carlos. Hemangioma cavernoso de recto: abordaje quirúrgico por vía laparoscópica: Case report. Rev Col Gastroenterol. 2008;23(2):160-164. [ Links ]
12. Jeffery PJ, Hawley PR, Parks AG. Colo-anal sleeve anastomosis in the treatment of diffuse cavernous haemangioma involving the rectum. Br J Surg. 1976;63(9):678-82. https://doi.org/10.1002/bjs.1800630903 [ Links ]
13. Ki K, Ho K, Hye L, Jae S, Ghi L, Kyoung L, Jung S. Imaging Findings of Cavernous Hemangioma Arising from the Transverse Colon: A Case Report. J Korean Soc Radiol. 2013;69(6):465-468. https://doi.org/10.3348/jksr.2013.69.6.465 [ Links ]
14. Zúñiga SR. Hemangioma de colon. Rev Medica Hondur.1979;47:87-91. [ Links ]
15. Robaina Cabrera DM, Verde González MP, Tarazona Chocano B, Amado Fernández C, Zarrabeitia Puente R. Telangiectasia hemorrágica hereditaria: enfermedad de Rendu-Osler-Weber. FMC. 2016;23(8):446-58. https://doi.org/10.1016/j.fmc.2016.01.011 [ Links ]
16. Aylward CA, Orangio GR, Lucas GW, Fazio VW. Diffuse cavernous hemangioma of the rectosigmoid--CT scan, a new diagnostic modality, and surgical management using sphincter-saving procedures. Report of three cases. Dis Colon Rectum. 1988;31(10):797-802. https://doi.org/10.1007/BF02560110 [ Links ]
17. Djouhri H, Arrivé L, Bouras T, Martin B, Monnier-Cholley L, Tubiana JM. MR imaging of diffuse cavernous hemangioma of the rectosigmoid colon. AJR Am J Roentgenol. 1998;171(2):413-7. https://doi.org/10.2214/ajr.171.2.9694466 [ Links ]
Citación: Ruiz-Cáez K, Cure-Michailith J, Canedo-Matute J, Jiménez-Canedo J. Hemangioma cavernoso de colon en un paciente joven. Rev Colomb Gastroenterol. 2021;36(1):93-97. https://doi.org/10.22516/25007440.453
Recibido: 06 de Agosto de 2019; Aprobado: 23 de Abril de 2020










texto en 





