Servicios Personalizados
Revista
Articulo
Indicadores
-
Citado por SciELO -
Accesos
Links relacionados
-
Citado por Google -
Similares en
SciELO -
Similares en Google
Compartir
Revista colombiana de Gastroenterología
versión impresa ISSN 0120-9957versión On-line ISSN 2500-7440
Rev. colomb. Gastroenterol. vol.37 no.3 Bogotá jul./set. 2022 Epub 16-Dic-2022
https://doi.org/10.22516/25007440.790
Reporte de caso
Absceso hepático por Enterobius vermicularis como diagnóstico diferencial de metástasis hepática en cáncer colorrectal, reporte de caso
1MD, General Surgeon, Universidad del Rosario. Bogotá, Colombia.
2MD, General Surgery Resident, Universidad del Rosario. Bogotá, Colombia.
3MD, Universidad del Rosario, Bogotá, Colombia.
4MD, General Surgeon and Coloproctologist, Head of the Coloproctology Unit, Hospital Universitario Mayor Méderi. Bogotá, Colombia.
5MD, General Surgeon and Coloproctologist, Hospital Universitario Mayor Méderi. Bogotá, Colombia.
6MD, General Surgeon and Coloproctologist, Hospital Universitario Mayor Méderi. Bogotá, Colombia.
7MD, Universidad del Rosario. Bogotá, Colombia.
Introducción:
el cáncer colorrectal es la cuarta causa de mortalidad asociada con cáncer en el mundo. La identificación de las metástasis de este tumor en el momento prequirúrgico es cada vez más frecuente por los estudios imagenológicos con los que se cuenta en la actualidad. Presentamos el caso de una paciente con infección por Enterobius vermicularis que simula la presencia de metástasis hepáticas.
Presentación del caso:
se presenta el caso de una paciente femenina proveniente del área rural, con dolor abdominal de 1 año de evolución asociado con hemorragia de vías digestivas bajas y pérdida de peso. Las imágenes y estudios endoscópicos muestran una lesión tumoral en el colon sigmoide con biopsias que reportan adenocarcinoma de colon sigmoides, además de lesiones hepáticas sugestivas de malignidad. Se llevó a resección anterior de recto y sigmoides con anastomosis alta y toma de biopsias hepáticas, que descartaron la malignidad e informaron la presencia de infección hepática por E. vermicularis.
Discusión:
La infección por E. vermicularis a nivel hepático presentada en el caso es poco frecuente, dicha infección puede simular la presencia de metástasis hepáticas, por lo cual debe tenerse en cuenta como diagnóstico diferencial de enfermedad metastásica de cáncer colorrectal.
Palabras clave: Neoplasias del colon; neoplasias del recto; absceso hepático; Enterobius
Introduction:
colorectal cancer is the fourth leading cause of cancer-related mortality worldwide. The identification of the metastases of this tumor in the preoperative stage is increasingly frequent due to the imaging studies currently available. We present the case of a patient with an infection caused by Enterobius vermicularis that simulates the presence of liver metastases.
Case presentation:
a female patient from a rural area showing a one-year abdominal pain evolution associated with lower gastrointestinal tract bleeding and weight loss. Endoscopic imaging and studies displayed a tumor lesion in the sigmoid colon, with biopsies reporting sigmoid colon adenocarcinoma and liver lesions suggesting malignancy. Anterior resection of the rectum and sigmoid was performed with high anastomosis and liver biopsies, which ruled out malignancy and reported the presence of liver infection by E. vermicularis.
Discussion:
in this case, the hepatic E. vermicularis infection was rare. This infection can simulate the presence of liver metastases; therefore, it should be considered a differential diagnosis of metastatic colorectal cancer.
Keywords: Colon cancer; rectum cancer; liver abscess; Enterobius
Introducción
El cáncer colorrectal ocupa la tercera posición en morbilidad y la cuarta en mortalidad asociada a cáncer después del cáncer de pulmón y de próstata, de acuerdo con los datos de GLOBOCAN 20181. La identificación de enfermedad avanzada (sincrónica o metacrónica) es cada vez más usual con la llegada de métodos diagnósticos con mejor rendimiento, los órganos intraabdominales representan uno de los mayores retos en cuanto a imágenes sugestivas de metástasis provenientes de una lesión primaria de colon1.
La infección por Enterobius vermicularis, también conocida como Oxiuros, es una infección helmíntica frecuente en Estados Unidos y en el este de Europa, y afecta predominantemente a la población pediátrica2. El parásito vive y se reproduce en el tracto gastrointestinal y suele depositar sus huevos en la región anal con un aproximado de 10 000-15 000 huevos durante la noche, lo que causa prurito e incomodidad3. Existen diferentes localizaciones ectópicas del parásito en el cuerpo humano, dentro de los cuales se incluye el omento, el pulmón y el hígado; este último con muy pocos casos reportados en la literatura3.
El siguiente es el caso de una paciente con adenocarcinoma de colon sigmoides con imágenes sugestivas de metástasis hepáticas, con posterior confirmación histológica de infección por E. vermicularis.
Presentación del caso
Una paciente femenina de 39 años de edad, mestiza, originaria de Villavicencio (Meta, Colombia) ingresó a urgencias por un cuadro de 1 año de evolución de dolor abdominal de tipo cólico en el hemiabdomen izquierdo asociado con pérdida de peso de 20 kg en 4 meses, emesis y rectorragia que se autolimitaban. Se realizó una colonoscopia que reportó una masa infiltrante con estenosis del 80 % de la luz del colon sigmoides a 30 cm del reborde anal. Las biopsias de la lesión reportaron adenocarcinoma moderadamente diferenciado originado en el adenoma tubulovelloso.
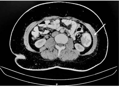
Se realizaron estudios de extensión y estadificación, dentro de ellos un antígeno carcinoembrionario cuantificado en 1,35 ng/mL, tomografía axial computarizada (TAC) de abdomen con contraste que mostró una masa polipoide dependiente del colon descendente de aproximadamente 45 mm de diámetro, irregular, ulcerada, asociada con estriación de la grasa perilesional y adenopatías en el borde mesentérico; además, se observó el hígado con una lesión focal en el segmento VII de 98 mm y el segmento IV de aproximadamente 10 mm (Figura 1). Se realizó una resonancia magnética (RM) de abdomen que evidenció lesiones focales en el segmento hepático IV de 7 mm y el lóbulo derecho de 7,4 mm, que en el contexto sugieren metástasis hepáticas (Figura 2).

Figura 1 TAC de abdomen con contraste realizado durante la admisión en el que se muestra un tumor dependiente del colon sigmoides con gran compromiso de la luz intestinal.
Teniendo en cuenta dichos hallazgos, se llevó a resección anterior de recto y sigmoides con anastomosis alta y biopsia hepática, así como ligadura alta del pedículo vascular. La paciente presentó una evolución clínica satisfactoria y fue dada de alta para seguimiento ambulatorio después de una estancia hospitalaria de una semana. Posteriormente, se recibió el reporte de la patología quirúrgica en el que se evidenciaba un adenocarcinoma bien diferenciado de colon sigmoides infiltrante hasta la capa muscular, sin invasión linfovascular ni perineural, así como bordes de resección libres de tumor y 0/16 ganglios positivos para un T2N0. En cuanto a la biopsia hepática, se obtuvo un reporte de “necrosis e inflamación aguda con huevos de E. vermicularis, sin evidencia de malignidad en el material examinado”; por tal motivo y por la ausencia de lesiones pulmonares metastásicas, se clasificó la enfermedad como T2N0M0, para un estadio Ib. Durante el seguimiento ambulatorio recibió manejo antihelmíntico, se realizó una RM de abdomen de control que mostró una lesión residual cicatricial en segmento VII con características cicatriciales y otra lesión subcapsular en el segmento IV.
Discusión
Existen pocos casos descritos de infección hepática por el E. vermicularis. Este nematodo, también conocido como Oxiuro, produce una infección helmíntica frecuente en países desarrollados y afecta predominantemente a la población pediátrica2. El parásito vive y se reproduce en el tracto gastrointestinal y suele depositar sus huevos en la región anal durante la noche, causando prurito e incomodidad3. La vía de ingreso es a través de la ingesta de huevos vía fecal-oral, ingresan hasta el estómago e intestino delgado y la larva formada migra hacia el íleon, ciego y apéndice. La hembra adulta se asienta en el íleon distal, donde copula; hacia la quinta semana se inicia la oviposición, en este momento migra hacia el colon y ano, y se liberan miles de huevos hacia la piel perianal; los huevos sobreviven en un ambiente húmedo y baja temperatura4. Se desconoce la forma en que el nematodo puede llegar al hígado, pero se cree que no puede penetrar tejidos intactos, por lo que la presencia de mucosa intestinal no intacta o lesionada (como en el cáncer colorrectal) puede facilitar su migración5.
La infección hepática y formación de absceso por E. vermicularis es extremadamente rara, se han registrado menos de 10 casos en la literatura; de estos, aproximadamente 5 casos se han descrito en pacientes con cáncer colorrectal e infección hepática que simulan metástasis hepáticas en los estudios imagenológicos2-4,6,7.
El cáncer colorrectal ocupa el tercer lugar en cuanto a morbilidad por cáncer, anualmente se diagnostican 1,4 millones de pacientes con esta patología a nivel mundial. Los pacientes que presentan enfermedad metastásica o estadio IV tienen una supervivencia global a 5 años1,8. Es importante mencionar que, dependiendo del estadio, hasta el 50 % de los pacientes desarrollará en algún momento metástasis hepáticas8,9.
La ecografía abdominal tiene un papel limitado en la caracterización completa de las lesiones hepáticas; la TAC abdominal contrastada permite una adecuada identificación e incluso cálculos volumétricos de lesiones hepáticas. En términos generales, las imágenes sugestivas de metástasis describen en la fase arterial un reforzamiento periférico, y el 11 % puede presentar calcificaciones10. Las metástasis hepáticas son hipovasculares en la fase arterial, con realce periférico hipervascular y con hipoatenuaciones heterogéneas en la fase venosa portal, con una tasa de identificación del 85 % y valor predictivo positivo (VPP) del 96 %10.
Existen varios puntos que ayudan a discernir entre lesiones hepáticas sugestivas de metástasis frente a lesiones hepáticas infecciosas como el margen en la fase venosa portal, el realce del parénquima hepático, el realce del borde arterial, el cambio dinámico del realce del borde arterial, la discrepancia de tamaños entre la fase arterial y la fase venosa portal, y la hiperemia perilesional. De esta manera y tal como lo describe Jae Gu Oh y colaboradores (Tabla 1)11, los abscesos, a diferencia de las metástasis, tienen márgenes más definidos en la fase venosa portal, mayor realce del parénquima, más realce periférico (arterial rim) y mayor hiperemia perilesional. En cuanto a los cambios dinámicos del realce periférico, los abscesos reportan una persistencia del realce en la fase venosa mayor que las metástasis, las cuales a su vez desaparecen en un mayor porcentaje con el paso de la fase arterial a la venosa11.
Tabla 1 Diferencias entre absceso hepático y metástasis hepáticas en TAC de abdomen
| Absceso hepático | Metástasis hepática | |
|---|---|---|
| Márgenes | Definidos | Difusos |
| Realce periférico | Presente en fase arterial y persiste en fase venosa | Sin realce periférico en ninguna fase |
| Tamaño | Cambio de tamaño al comparar entre fases | Tamaño constante en todas las fases |
| Otros | Mayor dilatación de la vía biliar | Menor realce del parénquima |
Otro punto importante a tener en cuenta en las lesiones hepáticas es que cuando se compara la fase arterial y la fase venosa portal pueden existir cambios en cuanto al tamaño, tal como ocurre con los abscesos hepáticos, los cuales en un 45,2 % pueden presentar cambios frente a solo el 16,8 % en los casos de metástasis11.
Otro estudio imagenológico es la RM, que es más sensible que la TAC para detectar lesiones metastásicas hepáticas particularmente subcentimétricas o para reestadificación de lesiones luego de neoadyuvancia, en la cual la sensibilidad del TAC baja hasta un 77 %12. En los casos reportados de infección hepática por E. vermicularis parece existir una predilección por el lóbulo hepático derecho, cercano a la superficie hepática con imágenes hipodensas en la TAC entre los segmentos VII y VIII, similares a los hallazgos de nuestra paciente2,12.
Conclusiones
Las metástasis del cáncer colorrectal representan un importante porcentaje dentro de la diseminación de este cáncer primario; sin embargo, un diagnóstico diferencial importante para el manejo integral del paciente es las infecciones hepáticas por bacterias o parásitos. Los casos en los cuales el parásito E. vermicularis produce una infección del parénquima hepático y simula a su vez una metástasis de un tumor primario de colon son escasos, pero se han descrito en la literatura. Desde la introducción de las múltiples modalidades de imágenes diagnósticas en la actualidad, se detectan más lesiones hepáticas en el prequirúrgico. La correcta caracterización de estas lesiones mediante el estudio por medio del grupo de patología evita que los pacientes sean llevados a cirugías mayores que incluyan resecciones hepáticas.
Agradecimientos
Ninguno declarado por los autores
REFERENCIAS
1. Bray F, Ferlay J, Soerjomataram I, Siegel RL, Torre LA, Jemal A. Global cancer statistics 2018: GLOBOCAN estimates of incidence and mortality worldwide for 36 cancers in 185 countries. CA Cancer J Clin. 2018;68(6):394-424. https://doi.org/10.3322/caac.21492 [ Links ]
2. Arkoulis N, Zerbinis H, Simatos G, Nisiotis A. Enterobius vermicularis (pinworm) infection of the liver mimicking malignancy: Presentation of a new case and review of current literature. Int J Surg Case Rep. 2012;3(1):6-9. https://doi.org/10.1016/j.ijscr.2011.10.003 [ Links ]
3. Ng WS, Gallagher J, McCaughan G. “Pinworm” infection of the liver: unusual CT appearance leading to hepatic resection. Dig Dis Sci. 2004 Mar;49(3):466-8. https://doi.org/10.1023/b:ddas.0000020505.46611.a0 [ Links ]
4. Valderrama-Treviño AI, Barrera-Mera B, Ceballos-Villalva JC, Montalvo-Javé EE. Hepatic Metastasis from Colorectal Cancer. Euroasian J Hepatogastroenterol. 2017;7(2):166-175. https://doi.org/10.5005/jp-journals-10018-1241 [ Links ]
5. Cook GC. Enterobius vermicularis infection. Gut. 1994;35(9):1159-62. https://doi.org/10.1136/gut.35.9.1159 [ Links ]
6. Little MD, Cuello CJ, D’Alessandro A. Granuloma of the liver due to Enterobius vermicularis. Report of a case. Am J Trop Med Hyg. 1973;22(4):567-9. https://doi.org/10.4269/ajtmh.1973.22.567 [ Links ]
7. Kim HY, Kim CW, Kim DR, Cho YW, Cho JY, Kim WJ, et al. Recurrent pyogenic liver abscess as a presenting manifestation of colorectal cancer. Korean J Intern Med. 2017;32(1):174-177. https://doi.org/10.3904/kjim.2015.301 [ Links ]
8. Meyers W, Neafie R, Marty A, Wear DJ. Pathology of infectious disease, volume I Helminthiases. Amer Registry of Pathology; 2000. [ Links ]
9. Bhullar DS, Barriuso J, Mullamitha S, Saunders MP, O’Dwyer ST, Aziz O. Biomarker concordance between primary colorectal cancer and its metastases. EBioMedicine. 2019;40:363-374. https://doi.org/10.1016/j.ebiom.2019.01.050 [ Links ]
10. Chow FC, Chok KS. Colorectal liver metastases: An update on multidisciplinary approach. World J Hepatol. 2019;11(2):150-172. https://doi.org/10.4254/wjh.v11.i2.150 [ Links ]
11. Oh JG, Choi SY, Lee MH, Lee JE, Yi BH, Kim SS, et al. Differentiation of hepatic abscess from metastasis on contrast-enhanced dynamic computed tomography in patients with a history of extrahepatic malignancy: emphasis on dynamic change of arterial rim enhancement. Abdom Radiol (NY). 2019;44(2):529-538. https://doi.org/10.1007/s00261-018-1766-y [ Links ]
12. Tirumani SH, Kim KW, Nishino M, Howard SA, Krajewski KM, Jagannathan JP, et al. Update on the role of imaging in management of metastatic colorectal cancer. Radiographics. 2014;34(7):1908-28. https://doi.org/10.1148/rg.347130090 [ Links ]
Citación: Romo J, Venegas-Visbal D, López L, Figueroa C, Baquero D, Garzón H, Recamán A. Absceso hepático por Enterobius vermicularis como diagnóstico diferencial de metástasis hepática en cáncer colorrectal, reporte de caso. Rev Colomb Gastroenterol. 2022;37(3):302-305. https://doi.org/10.22516/25007440.790
Recibido: 10 de Junio de 2021; Aprobado: 09 de Agosto de 2021










texto en 




