Servicios Personalizados
Revista
Articulo
Indicadores
-
Citado por SciELO -
Accesos
Links relacionados
-
Citado por Google -
Similares en
SciELO -
Similares en Google
Compartir
Revista colombiana de Gastroenterología
versión impresa ISSN 0120-9957versión On-line ISSN 2500-7440
Rev. colomb. Gastroenterol. vol.38 no.1 Bogotá ene./mar. 2023 Epub 08-Jun-2023
https://doi.org/10.22516/25007440.904
Reporte de caso
Bilioma espontáneo: reporte de un caso y revisión de la literatura
1Physician, specialist in Epidemiology. Third-Year Resident, Internal Medicine, Faculty of Health, Universidad Surcolombiana. Department of Internal Medicine, Hospital Universitario Hernando Moncaleano Perdomo. Neiva, Colombia
2Physician, Universidad del Rosario. Bogotá, D.C., Colombia
3Physician, Clinical-Surgical Gastroenterologist, Department of General Surgery, Hospital Universitario Hernando Moncaleano Perdomo. Assistant Professor, Department of Clinical Sciences, Universidad Surcolombiana. Neiva, Colombia
Los biliomas son colecciones de bilis fuera del árbol biliar. Las etiologías más frecuentes son la iatrogenia y el trauma. Los casos de biliomas espontáneos o atraumáticos son poco frecuentes. El manejo de los biliomas depende del tamaño y la localización y puede incluir vigilancia solamente, si el tamaño es < 4 cm, puede haber intervención percutánea o endoscópica. El uso de antibióticos depende del estado clínico del paciente. Presentamos el caso de un hombre que presentó un bilioma espontáneo 8 años después de una colecistectomía laparoscópica que, además de signos de coledocolitiasis, presentaba una estenosis del conducto biliar común. En los pacientes con clínica de patología biliar debe considerarse el diagnóstico de bilioma aun en los casos que no presenten antecedente de trauma o cirugía reciente con el fin de iniciar el tratamiento adecuado tempranamente. Muchos casos son asintomáticos y se resuelven espontáneamente, pero en ocasiones requieren manejo percutáneo o endoscópico.
Palabras clave: Conductos biliares; colecistectomía; bilioma; colangiopancreatografía retrógrada endoscópica; stents
Bilomas are collections of bile outside the biliary tree. The most frequent etiologies are iatrogenic and trauma. Cases of spontaneous or atraumatic bilomas are rare. Management of bilomas depends on the size and location and may include monitoring only; if the size is < 4 cm, there may be percutaneous or endoscopic intervention. The use of antibiotics depends on the clinical status of the patient. We describe the case of a man who presented with a spontaneous biloma eight years after laparoscopic cholecystectomy and, in addition to signs of choledocholithiasis, a stricture of the common bile duct. In patients with symptoms of biliary pathology, the diagnosis of biloma should be considered even without a history of trauma or recent surgery to initiate appropriate treatment early. Many cases are asymptomatic and resolve spontaneously but occasionally require percutaneous or endoscopic management.
Keywords: Bile ducts; cholecystectomy; biloma; endoscopic retrograde cholangiopancreatography; stents
Introducción
La primera descripción de un bilioma se hizo en 18841; sin embargo, el término bilioma (biloma en inglés) fue introducido por primera vez en 19792. Este hace referencia a una colección de bilis, que puede estar o no encapsulada, localizada fuera del árbol biliar3. Las causas más frecuentes incluyen la iatrogenia y el trauma3. La incidencia de bilioma posquirúrgico es de 0,3%-2%3,4. El promedio de tiempo desde la colecistectomía hasta la presentación del bilioma es de dos semanas5. La incidencia de bilioma espontáneo, o no traumático6, es menos frecuente y en adultos se asocia con coledocolitiasis3. Con menor frecuencia está asociado a infarto hepático, abscesos, neoplasias o tuberculosis extrapulmonar3. Clínicamente, los pacientes pueden presentar dolor abdominal, distensión, peritonitis, ictericia e incluso sepsis3. El tiempo promedio entre el inicio de los síntomas y el diagnóstico es entre una y dos semanas3,7. La ecografía, con sensibilidad del 70%4, y la tomografía axial computarizada, con rendimiento diagnóstico del 90%4, son los estudios de imagen que se realizan con más frecuencia. La intervención percutánea guiada por ecografía tiene utilidad diagnóstica y terapéutica y se recomienda como la primera línea de tratamiento2,6. El manejo de los pacientes puede incluir también tratamiento antibiótico, especialmente en los casos con sepsis. En los casos de colecciones < 4 cm asintomáticas solo se realiza vigilancia3. En caso de que no se resuelva el cuadro con el drenaje percutáneo, se puede llevar al paciente a una colangiopancreatografía retrógrada endoscópica (CPRE) con esfinterotomía y la opción de inserción de stent2. Dentro de los diagnósticos diferenciales se encuentran quistes, seromas, pseudoquistes, hematoma y abscesos hepáticos. Presentamos el caso de un paciente con bilioma espontáneo.
Presentación del caso
Se trata de un hombre de 55 años, con antecedente de colecistectomía vía laparoscópica ocho años atrás. Consultó por un cuadro clínico de dos días de evolución consistente en dolor abdominal en el hemiabdomen superior, más acentuado en el hipocondrio derecho, tipo cólico, irradiado al dorso, asociado a fiebre y náuseas.
En los estudios de laboratorio a su ingreso se encontró que presentaba leucocitosis con neutrofilia, hiperbilirrubinemia (bilirrubina total: 2 mg/dL, bilirrubina directa: 1,72 mg/dL), elevación de la fosfatasa alcalina (148 U/L, normal: 35-104 U/L), elevación de la alanina-aminotransferasa (ALT: 89 U/L, normal: 0-41 U/L) y proteína C-reactiva elevada (PCR: 32 mg/dL). Tenía tiempos de coagulación, electrolitos, azoados, niveles de aspartato-aminotransferasa (AST normal: 0-40 U/L) y amilasa normales. Ante la sospecha de colangitis, se inició el manejo antibiótico empírico con ceftriaxona y metronidazol.
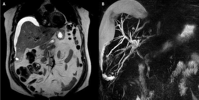
Se tomó una ecografía abdominal en la que se describió dilatación de la vía biliar con la medición de la vía derecha: 5 mm, la izquierda: 4,8 mm y en la confluencia: 5,3 mm. También se describió una escasa cantidad de gas a nivel de las vías biliares intrahepáticas. Se tomó una colangiorresonancia con hallazgo de alteración focal en la región subcapsular del segmento VI hepático con imagen de 34 x 31 x 37 mm, de contenido heterogéneo e imágenes similares de menor tamaño, 10 y 13 mm, en el segmento VIII, sospechosas de abscesos; se documentó también líquido subcapsular hepático en el lóbulo derecho (112 mL) (Figura 1) y dilatación de la vía biliar intrahepática con imágenes de microlitiasis en el conducto hepático derecho cerca a la confluencia y en el segmento intrapancreático del conducto colédoco. Pasadas 48 horas se realizó una resonancia magnética de abdomen con hallazgo de aumento del volumen de la colección subcapsular hepática (Figura 2), por lo que el paciente fue llevado a inserción de un catéter multipropósito. En el procedimiento se realizó un drenaje de 1600 mL de líquido de aspecto biliar purulento. El paciente continuó por 5 días con drenaje biliar de 350-500 mL diarios por el catéter multipropósito y con signos de respuesta inflamaría, por lo que fue llevado a CPRE.

Figura 1 Colangiorresonancia. A. En secuencia T2, colección subcapsular: bilioma. B. Reconstrucción 3D de la vía biliar. Archivo de Imágenes del Hospital Universitario Hernando Moncaleano Perdomo de Neiva.

Figura 2 Resonancia magnética de abdomen. Se observa el aumento del volumen del bilioma. Archivo de Imágenes del Hospital Universitario Hernando Moncaleano Perdomo de Neiva.
En la CPRE se evidenció una estrechez de la vía biliar común, en la unión del tercio proximal con el tercio medio, con dilatación proximal a la confluencia de los conductos hepáticos (Figura 3A). Se realizó una papilotomía con drenaje de líquido biliar purulento y extracción de los cálculos con canastilla y balón. Se decidió la inserción de un stent de teflón de 10 Fr de 10 cm con un adecuado drenaje (Figura 3B).

Figura 3 CPRE. A. Dilatación de la vía biliar en la unión del tercio proximal con el tercio medio de la vía biliar común, dilatación proximal a la confluencia de los conductos hepáticos. B. Después de la inserción de stent de 10 Fr de 10 cm de teflón. Archivo de Imágenes del Hospital Universitario Hernando Moncaleano Perdomo de Neiva.
El paciente requirió el ingreso a la unidad de cuidados intensivos (UCI) y soporte ventilatorio mecánico invasivo (VMI) después del procedimiento. El tratamiento antibiótico se cambió a fosfomicina + tigeciclina + aztreonam por aislamiento en el líquido del drenaje por el catéter multipropósito de Enterobacter cloacae resistente a carbapenem por metalobetalactamasa.
El paciente presentó posteriormente una evolución favorable, con tolerancia de destete de la VMI al día siguiente y egreso de la UCI. Los signos de respuesta inflamatoria sistémica desaparecieron al segundo día después de la CPRE. El volumen de drenaje por el catéter era < 50 mL desde el tercer día después del procedimiento. El catéter fue retirado al séptimo día después de la CPRE. En una ecografía de abdomen de control se había evidenciado que la colección residual era mínima. Se dio de alta al paciente al completar 7 días del tratamiento antibiótico dirigido con un plan de retiro del stent al completar 10 semanas.
Discusión
El desarrollo de un bilioma espontáneo es un fenómeno infrecuente. Se han reportado casos en Estados Unidos4,6, México1, Perú8, Brasil3, Serbia9, Italia5 e India2,7. Esta afección puede presentarse en hombres y mujeres. En estos reportes, la clínica que han presentado los pacientes incluye, además del dolor abdominal presente en casi todos los casos1, náuseas, emesis, presencia de masas insinuadas en la pared abdominal, acolia y coluria2,3,5,8.
Nuestro paciente tenía antecedente de colecistectomía laparoscópica hacía 8 años, a diferencia de otros casos reportados de pacientes sin antecedentes patológicos o quirúrgicos2,3. Existen reportes de caso de biliomas presentados 5 años7, 9 años9 y 35 años8 después de una colecistectomía abierta; nuestro caso es el de mayor tiempo reportado entre una colecistectomía por vía laparoscópica y la presentación de un bilioma espontáneo. El perfil hepático puede estar alterado en todos sus parámetros, estar alterado parcialmente como en el caso de nuestro paciente, o no estar alterado2. Nuestro paciente presentaba hallazgos de coledocolitiasis como otros casos descritos2,3,6, condición descrita asociada frecuentemente a bilioma espontáneo.
En nuestro caso, se realizó una ecografía inicialmente y se caracterizó mejor la lesión mediante colangiorresonancia y resonancia de abdomen. La resonancia magnética tiene un rendimiento diagnóstico de alrededor del 95%4. Nuestro paciente requirió tratamiento antibiótico debido a su estado séptico, con aislamiento de un germen multidrogorresistente.
En nuestro caso, el manejo incluyó drenaje percutáneo, pero el paciente persistió con abundante drenaje y signos de respuesta inflamatoria sistémica hasta 5 días después, por lo que fue llevado a CPRE con inserción de stent de teflón. En el caso de nuestro paciente, el aumento de la presión de la vía biliar, además de la obstrucción por la coledocolitiasis propuesto como etiología de estos casos de bilioma espontáneo6, estaba probablemente facilitado por la estenosis de la vía biliar común. Para los casos que no se resuelven con este manejo inicial, se han propuesto como intervenciones el drenaje transmural guiado por ecografía, o el acceso transpapilar/transfistular10. En un caso revisado se realizó el drenaje con un tubo en T y colecistectomía luego del fracaso de la CPRE con esfinterotomía. Después de la intervención endoscópica, el paciente tuvo inicialmente un deterioro clínico, pero presentó una evolución favorable, por lo que se dio de alta al terminar el esquema antibiótico de 7 días y el retiro del catéter multipropósito por drenaje mínimo, con evidencia ecográfica de reducción casi completa de la colección. Este es el primer caso de un bilioma espontáneo que se documenta en Colombia.
Conclusión
La aparición de biliomas espontáneos es un evento infrecuentemente documentado, posiblemente porque las lesiones pequeñas pueden cursar asintomáticas y resolverse sin tratamiento específico. En los pacientes con intervención de la vía biliar debe sospecharse esta complicación y recurrir a los estudios imagenológicos adecuados para hacer el diagnóstico de forma temprana. La mayoría de los casos se resuelven con drenaje percutáneo, aunque en algunos casos es necesaria la intervención endoscópica de la vía biliar.
REFERENCIAS
1. Blake-Siemsen JC, Kortright-Farías M. Biloma retroperitoneal espontáneo: reporte de un caso. Cir Cir. 2017;85(6):552-6. https://doi.org/10.1016/j.circir.2016.09.005 [ Links ]
2. Goel A, Gupta P, Bansal A. Spontaneous biloma: Report of two cases with review of the literature. Int J Surg Med. 2018;4(4):202-4. [ Links ]
3. Gössling PAM, Alves GRT, Silva RV de A, Corrêa JRM, Marques HF, Haygert CJP. Bilioma espontâneo: relato de caso e revisão da literatura. Radiol Bras 2012;45(1):59-60. https://doi.org/10.1590/S0100-39842012000100013 [ Links ]
4. Yousaf MN, D’Souza RG, Chaudhary F, Ehsan H, Sittambalam C. Biloma: A Rare Manifestation of Spontaneous Bile Leak. Cureus. 2020;12(5):e8116. https://doi.org/10.7759/cureus.8116 [ Links ]
5. Della Valle V, Eshja E, Bassi EM. Spontaneous biloma: a case report. J Ultrasound. 2015;18(3):293-6. https://doi.org/10.1007/s40477-013-0053-6 [ Links ]
6. Rizvi BS, Rajkumar A. Spontaneous Biloma: A Rare Complication of Acute Cholecystitis. Off J Am Coll Gastroenterol 2015;110(Suppl 1):S92. https://doi.org/10.14309/00000434-201510001-00208 [ Links ]
7. Kannan U, Parshad R, Regmi SK. An unusual presentation of biloma five years following cholecystectomy: a case report. Cases J. 2009;2:8048. https://doi.org/10.4076/1757-1626-2-8048 [ Links ]
8. Guzmán Calderón E, Salazar Ventura S, Monge Salgado E. Bilioma Subhepático: reporte de un caso y revisión de la literatura. Rev Gastroenterol Perú. 2008;28:282-5. https://doi.org/10.47892/rgp.2008.283.521 [ Links ]
9. Stojanovic M, Radojkovic Mi, Jeremic L. Double giant chronic bilomas with late presentation-9 years after cholecystectomy. Langenbeck’s Arch Surg. 2008;393(4):617-8. https://doi.org/10.1007/s00423-007-0270-6 [ Links ]
10. Lorenzo D, Bromberg L, Arvanitakis M, Delhaye M, Fernandez y Viesca M, Blero D, et al. Endoscopic internal drainage of complex bilomas and biliary leaks by transmural or transpapillary/transfistulary access. Gastrointest Endosc. 2022;95(1):131-139.e6. https://doi.org/10.1016/j.gie.2021.07.016 [ Links ]
Citación:
5Cortés JS, Polanía-Galindo SA, Polanía-Liscano HA. Bilioma espontáneo: reporte de un caso y revisión de la literatura. Revista. colomb. Gastroenterol. 2023;38(1):106-110. https://doi.org/10.22516/25007440.855
Fuentes de financiación
Recibido: 22 de Abril de 2022; Aprobado: 12 de Mayo de 2022










texto en 



