Servicios Personalizados
Revista
Articulo
Indicadores
-
Citado por SciELO -
Accesos
Links relacionados
-
Citado por Google -
Similares en
SciELO -
Similares en Google
Compartir
Revista colombiana de Gastroenterología
versión impresa ISSN 0120-9957versión On-line ISSN 2500-7440
Rev. colomb. Gastroenterol. vol.38 no.2 Bogotá abr./jun. 2023 Epub 07-Sep-2023
https://doi.org/10.22516/25007440.921
Reporte de caso
Tuberculosis hepática primaria: a propósito de un caso
1Clinical nutritionist, Doctor of Medicine, Pontificia Universidad Católica Madre y Maestra. Professor and research assistant, School of Medicine (PUCMM). Santiago, Dominican Republic.
2Medical doctor, third-year resident of Internal Medicine, Clínica Corominas. Santiago, Dominican Republic.
3Medical doctor, assistant of the Technical-Research Advisory Unit, Pontificia Universidad Católica Madre y Maestra. Santiago, Dominican Republic.
4Medical doctor, field doctor, Pressal SRL. Santiago, Dominican Republic.
5Gastroenterologist and internist, Clínica Corominas. Santiago, Dominican Republic.
Se trata de un hallazgo incidental de tuberculosis primaria en el hígado en una paciente femenina de 54 años con historia de múltiples ingresos por síntomas de dolor abdominal, ictericia, fiebre persistente, náuseas acompañadas de vómitos de contenido gástrico, pérdida de peso y astenia. A la evaluación se consideraron los diagnósticos diferenciales de colangiocarcinoma, enfermedad de Caroli, carcinoma hepatocelular y tuberculosis hepática, basados en anamnesis, estudios de imágenes y pruebas de gabinete. Este reporte de caso brinda una nueva perspectiva diagnóstica para el personal de salud que reciba pacientes con esta presentación ambigua, aun en el contexto de baja incidencia epidemiológica. La tuberculosis hepática debe ser considerada en el diagnóstico diferencial de pacientes con lesiones focales a nivel intrahepático o abscesos hepáticos con hospitalizaciones recurrentes y evidencia de imágenes.
Palabras clave: Tuberculosis hepática; Mycobacterium tuberculosis; colangiocarcinoma
This case report presents an incidental finding of primary tuberculosis in the liver of a 54-year-old female patient who had a history of multiple hospital admissions due to abdominal pain, jaundice, persistent fever, nausea with vomiting, weight loss, and asthenia. The evaluation involved considering differential diagnoses of cholangiocarcinoma, Caroli’s disease, hepatocellular carcinoma, and hepatic tuberculosis based on the patient’s history, imaging studies, and laboratory tests. The aim of this report is to provide healthcare professionals with a new diagnostic perspective when encountering patients with this ambiguous presentation, even in regions with low epidemiological incidence. Hepatic tuberculosis should be included in the differential diagnosis of patients with focal intrahepatic lesions or liver abscesses who have a history of recurrent hospitalizations and evidence on imaging studies.
Keywords: Hepatic tuberculosis; Mycobacterium tuberculosis; cholangiocarcinoma
Introducción
La Organización Mundial de la Salud (OMS) estima que alrededor del 25% de la población mundial está infectada con Mycobacterium tuberculosis. En general, la tuberculosis extrapulmonar ocurre en aproximadamente el 12% de los pacientes con tuberculosis (TB)1, y los sitios más comúnmente afectados son los nódulos linfáticos mediastínicos, retroperitoneales y cervicales, los cuerpos vertebrales, las glándulas adrenales, las meninges y el sistema digestivo2. En relación con este último, la forma de presentación intraabdominal solo ocurre en un 3,5% dentro de la TB extrapulmonar. Es relevante resaltar que la afección hepática ocurre hasta en un 80% de los casos anteriores3. No obstante, la manifestación de tuberculosis como sitio primario en el hígado representa menos del 1% de los casos registrados en la actualidad4. Los autores Levine y Reed5 coinciden en las 3 primeras formas de presentación de tuberculosis hepática como se describen a continuación: hepatitis granulomatosa acompañada de tuberculosis miliar; tuberculosis primaria hepática; tuberculoma focal y colangitis tuberculosa o tuberculosis en las vías biliares. Para estos escenarios, la sintomatología más frecuente suele ser el dolor en el cuadrante superior derecho, anorexia, pérdida de peso y fiebre. No obstante, en la literatura se describe la dificultad del diagnóstico por la similitud del cuadro clínico e imagenológico con otras patologías bien descritas y más comunes, como la colangitis, carcinoma hepatocelular y colangiocarcinoma6.
Presentación del caso
Se trata de una paciente femenina de 54 años, con antecedentes mórbidos conocidos de hipertensión arterial en tratamiento regular con atenolol de 50 mg 1 vez al día, y quirúrgicos de colecistectomía (colelitiasis). En su historia médica destacan múltiples visitas hospitalarias en los últimos 5 años por un cuadro clínico recurrente de dolor abdominal difuso con predominio en el epigastrio e irradiado al hipocondrio derecho, que en ocasiones se acompañaba de fiebre no termometrada, sin predominio de horario, e ictericia fluctuante.
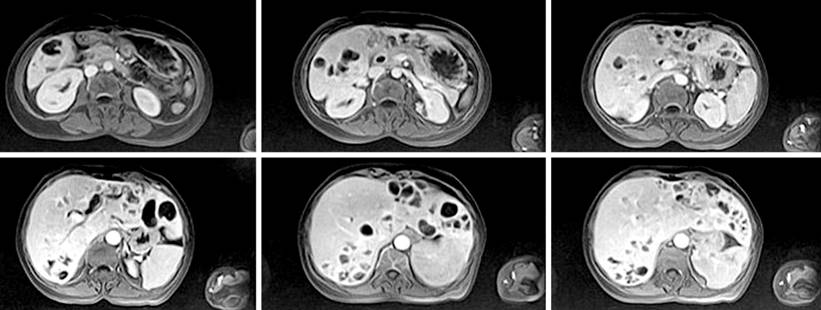
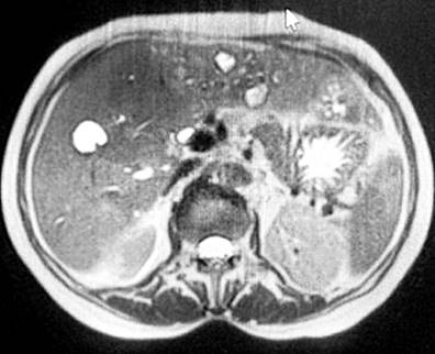
En los últimos 5 años fue evaluada en diferentes centros de salud, y se registró la realización de estudios de gabinete, rastreo digestivo (gastropatía eritematosa universal, con Helicobacter pylori +) y colonoscopía sin hallazgos patológicos. Además, se llevó a cabo una resonancia abdominal en la que se adquirieron cortes axiales y coronales en las imágenes en T2, T1, T2FAT-SAT, FASE y FS sin y con medio de contraste, en las que se evidenció el hígado aumentado de tamaño y morfología preservada, con la presencia de múltiples lesiones quísticas distribuidas al azar en ambos lóbulos hepáticos y captación anular del medio de contraste (Figura 1). Se realizó también una colangiorresonancia en la que se observó una dilatación importante de la vía biliar intrahepática, específicamente hepática izquierda, y una lesión quística de bordes regulares, bien definida, que condicionó una dilatación de la vía biliar extrahepática (Figura 2). Luego de la inyección del medio de contraste se observó un defecto de repleción, sugestivo de coledocolitiasis en el conducto hepático izquierdo. Se realizó una biopsia que no reportó hallazgos sugestivos de malignidad, por lo que se decidió manejar su cuadro clínico agudo solo con antibioticoterapia (carbapenémicos) y seguimiento periódico de la lesión.

Figura 1 Resonancia abdominal de cortes axiales y coronales. Hígado con 22 cm en eje longitudinal, bordes regulares, con presencia de múltiples lesiones quísticas en ambos lóbulos hepáticos con captación anular del contraste. Fuente: expediente médico del paciente.

Figura 2 Colangiorresonancia en la que se observa una dilatación de la vía biliar intrahepática y una lesión quística de bordes regulares. Fuente: expediente médico del paciente.
En su última visita, la paciente acude a la sala de emergencias con la sintomatología antes descrita, leucocitosis, aumento de las bilirrubinas, enzimas de colestasis (Tabla 1) e ictericia en la esclera y mucosas. Se valoró por el diagnóstico de colangitis, por lo que se realizó una colangiorresonancia, con la que se demostraron nuevos hallazgos a favor de múltiples lesiones quísticas intrahepáticas con captación anular del medio de contraste y dilatación de las vías biliares intrahepáticas, así como la extrahepática, hallazgos consistentes con enfermedad de Caroli. Se realizó una intervención con colangiopancreatografía retrógrada endoscópica (CPRE), en la que se efectuó una esfinterotomía previa canulación, y se observó la salida de coledocolitiasis y contenido seropurulento consistente con colangitis, y posteriormente se procedió a colocar una prótesis plástica de 10 Fr/9 cm (Figura 3).
Tabla 1 Biométrica hemática
| Examen | Resultado |
|---|---|
| (WBC) GB | ↑ 47,87 |
| (RBC) GR | ↓ 2,32 |
| Hb | ↓ 6,00 |
| Hto | ↓ 17,70 |
| MCV | ↓ 76,30 |
| MCH | 25,90 |
| MCHC | 33,90 |
| PLT | ↑ 484 |
| Eritrosedimentación (VSR) | ↑ 140 |
| Diferencial | |
| Neutrófilos% | ↑ 91,50 |
| Linfocitos% | 1,00 |
| Linfocitos # | 0,78 |
| Monocitos # | 1,57 |
| Neutrófilos # | ↑ 43,77 |
| Química | |
| Amilasa | 62,0 |
| Lipasa | 42,8 |
| ALT | 19,5 |
| AST | 21,3 |
| Albúmina | ↓ 2,3 |
| Bilirrubina directa | ↑ 1,4 |
| Bilirrubina indirecta | ↑ 1,1 |
| Bilirrubina total | ↑ 5,0 |
| Química | |
| GGT | ↑ 318,7 |
| Fosfatasa alcalina | 327 |
| BUN (urea) | ↑ 47,9 |
| Creatinina | ↑ 3,2 |
| Glucosa en ayunas | ↑ 113,0 |
| Potasio | 4,8 |
| Sodio | ↓ 124,4 |
| Calcio | 9,1 |
| Fósforo | ↑ 6,1 |
| AFP | 5,1 |
| CEA | 1,7 |
| CA 19-9 | 15,6 |
| VIH, VHB, VHC | Negativos |
| Panel autoinmune | |
| Complementos, IgG, IgG4 y anti-LKM-1 | Dentro de los límites normales |
| Cuantiferón TB-GOLD | Negativo |
| Baciloscopia | Negativo |
| Pruebas misceláneas | |
| Procalcitonina | ↑ 44,5 |
| Dímero D | ↑ 1500 |
| Lactato | 1,0 |
| Proteína C-reactiva | ↑ 248,9 |
AFP: alfafetoproteína; ALT: alanina-aminotransferasa; anti-LKM-1: anticuerpos microsomales de hígado y riñón de tipo 1; AST: aspartato-aminotransferasa; BUN: nitrógeno ureico sanguíneo; CA 19-9: antígeno carbohidratado 19-9; CEA: antígeno carcinoembrionario; GB: glóbulos blancos; GGT: γ-glutamil transferasa; GR: glóbulos rojos; Hb: hemoglobina; Hto: hematocrito; IgG: inmunoglobulina G; MCH: hemoglobina corpuscular media; MCHC: concentración de hemoglobina corpuscular media; MCV: volumen corpuscular medio; PLT: recuento de plaquetas; RBC: recuento de glóbulos rojos; VHB: virus de la hepatitis B; VHC: virus de la hepatitis C; VIH: virus de la inmunodeficiencia humana; VSR: virus sincicial respiratorio; WBC: recuento de glóbulos blancos. Tomado del laboratorio del Centro de Salud Clínica Corominas.

Figura 3 CPRE en la que se observa contenido seropurulento consistente con colangitis. Fuente: expediente médico del paciente.
Se decidió llevarla a sala de cirugía con fines de hepatectomía izquierda, y se encontraron hallazgos intraoperatorios de múltiples lesiones quísticas (Figura 4); no se realizó la hepatectomía y se procedió a la toma de muestra de las lesiones descritas con fines de estudio histopatológico.
Evaluación diagnóstica
La tuberculosis hepática carece de rasgos clínicos patognomónicos o patrones únicos en su presentación; por tanto, se dificulta su diferenciación de otras patologías más frecuentes que cursan con sintomatología y hallazgos de imagen similares al carcinoma hepatocelular, colangiocarcinoma intrahepático, tumor de Klatskin y abscesos hepáticos secundarios4. Se han utilizado otros abordajes, como la citología de aspiración con aguja fina, pero han resultado inconclusos. Del mismo modo, al evaluar los hallazgos del ultrasonido y tomografía axial computarizada (TAC), los resultados usuales dirigen el diagnóstico presuntivo a malignidades o posibles focos de metástasis5. Todo lo anterior indica la necesidad de métodos histopatológicos y el GeneXpert como prueba de referencia para el diagnóstico definitivo. En este reporte de caso, la paciente fue sometida a diferentes valoraciones (endoscopia alta, colonoscopía, colangiorresonancia, cirugía exploratoria y biopsias hepáticas) en el transcurso de los últimos 5 años debido a la presentación ambigua de su cuadro clínico.
Se enviaron tres fragmentos de color pardo grisáceo, consistencia elástica, con nódulos blanquecinos, de los cuales el mayor mide 1,6 x 1 x 0,5 cm y el menor 0,8 x 0,3 cm. El espécimen fue procesado en su totalidad y se realizaron tinciones histoquímicas (reticulina, ácido peryódico de Schiff [PAS] y tricrómico de Masson) para la evaluación microscópica.
En la evaluación microscópica se observó tejido hepático con alteraciones de la arquitectura normal por la presencia de un área extensiva de necrosis de caseificación. En el exterior se apreciaron células epitelioides, células gigantes de tipo Langerhans y fibrosis. Además, se encontró un remanente de hepatocitos con arquitectura distorsionada con espacios porta que presentaban expansión fibrosa, degeneración hidrópica y congestión sinusoidal. En algunas áreas se observó proliferación ductal. La conclusión de la biopsia hepática indicó un proceso inflamatorio granulomatoso con necrosis de caseificación, compatible con M. tuberculosis. La Figura 5 muestra una representación de lo observado en el corte histológico. Ante estos hallazgos, el departamento de patología sugirió correlacionar los hallazgos histopatológicos con la clínica de la paciente.

Figura 5 Corte histológico de tejido hepático con granuloma con células gigantes. Fuente: Themes U. Mycobacterium tuberculosis11.
Tomando en consideración los reportes de imágenes, patológicos y clínicos, se realizó el diagnóstico de tuberculosis extrapulmonar y se inició el tratamiento antituberculoso.
Intervención terapéutica
En otros estudios de caso, la terapia convencional del régimen antituberculoso (isoniazida [INH], rifampicina [RIF], etambutol [EMB] y pirazinamida [PZA]) por 6 meses ha sido la terapia de elección, en algunos casos la misma se ha modificado con la adición de suplementación con micronutrientes como la vitamina B67. Para esta paciente se consideró el tratamiento estándar de 2 meses de terapia cuádruple con INH, RIF, EMB y PZA, seguido directamente de otros 4 meses de administración dual de RMP e INH. Sin embargo, se tiene en cuenta que las formas extrapulmonares y diseminadas de TB a veces requieren un tratamiento más prolongado, como es el caso de la presentación ósea (9 meses), linfoidea (6 meses) o con afección al sistema nervioso central (1 año)8. Luego de 3 meses de terapia, la paciente mostró signos de mejoría y disminución de toda la sintomatología. Se mantiene el pronóstico reservado.
Discusión
Se estima que entre el 6% y 38% de los pacientes con tuberculosis intraabdominal tienen evidencia de tuberculosis pulmonar en el momento del diagnóstico3. La vía de patogénesis incluye la diseminación hematógena del bacilo desde un foco pulmonar. Schininà y colaboradores9 en 2017 mencionaron que, de 14 participantes con tuberculosis hepática incluidos en su estudio, todos presentaban una lesión hepática como forma diseminada de tuberculosis. Sin embargo, la tuberculosis hepática como foco de primoinfección es una forma de presentación con una incidencia especialmente baja (menos del 1% de los casos de TB mundial)4. En una revisión sistemática publicada en 2015 por Hickey y colaboradores10 se evidenció que, dentro de los casos de TB hepática reportados, un 79% correspondía a TB miliar, mientras que solo un 21% a TB hepática local. En cuanto a la patogénesis que se propone para la diseminación de la TB al hígado en el caso de TB hepática primaria, se describe la migración del bacilo M. tuberculosis, proveniente de un foco en el tracto gastrointestinal, que viaja a través del intestino hacia la vena porta, y de esta al hígado, donde, aun en condiciones desfavorables como la baja oxigenación del tejido hepático, este bacilo logra crecer en el 1% de los casos4.
Por otro lado, la forma de presentación de la tuberculosis hepática en ausencia de tuberculosis miliar dificulta el diagnóstico y tratamiento oportuno por el personal de salud al simular de manera perfecta otros cuadros hepático-biliares más frecuentes5. Según lo descrito por Schininà y colaboradores9, los síntomas más presentados en su muestra de estudio fueron dolor abdominal en el cuadrante superior derecho, sudores nocturnos, pérdida de peso, fatiga, fiebres altas, sensibilidad abdominal superior y hepatomegalia en el examen físico, un cuadro similar al de la paciente en estudio, pero a su vez, inespecífico para la enfermedad. Hickey y colaboradores10 señalaron que en los países con TB endémica la TB fue la causa principal de granulomas hepáticos, y la presencia de estos últimos es altamente sugestiva de infección por el bacilo en países endémicos.
Conclusión
Con este reporte de caso se pretende motivar a la comunidad médica a mantener la infección por tuberculosis hepática dentro de los diagnósticos diferenciales, ante cuadrados inespecíficos y recurrentes, con la intención de evitar cirugías invasivas innecesarias e iniciar el tratamiento con la terapia antituberculosa (ATT) de manera oportuna.
REFERENCIAS
1. WHO. Tuberculosis [Internet]. WHO; 2023 [consultado en 10 de enero de 2023]. Disponible en: Disponible en: https://www.who.int/news-room/fact-sheets/detail/tuberculosis [ Links ]
2. Herchline T, Amorosa J. Tuberculosis (TB) [Internet]. Emedicine.medscape.com.; 2020 [consultado en 18 de septiembre de 2022]. Disponible en: Disponible en: https://emedicine.medscape.com/article/230802-overview [ Links ]
3. McMullan GS, Lewis JH. Tuberculosis of the Liver, Biliary Tract, and Pancreas. Microbiol Spectr. 2017;5(1). https://doi.org/10.1128/microbiolspec.TNMI7-0025-2016 [ Links ]
4. Maguire C, Sivabalan P, Jhamb S, Palamuthusingam P. Hepatic tuberculosis masquerading as cholangiocarcinoma: an unusual differential for a liver mass. J Surg Case Rep. 2020;2020(8):rjaa247. https://doi.org/10.1093/jscr/rjaa247 [ Links ]
5. Niyogi D, Goel M, Shinde RS, Patkar S. Primary hepatic tuberculosis: A rare occurrence. Ann Hepatobiliary Pancreat Surg. 2019;23(1):80-83. https://doi.org/10.14701/ahbps.2019.23.1.80 [ Links ]
6. Choudhury A, Shukla J, Mahajan G, Jha DK, Gupta P, Sharma V. Hepatic tuberculosis: myriad of hues. Germs. 2021;11(2):310-313. https://doi.org/10.18683/germs.2021.1266 [ Links ]
7. Cheng J, Zhao L, Shi T, Zhu Z, Sham NO, Xiao H, et al. A Clinical Diagnostic Dilemma: a Case Report of Primary Hepatic Tuberculosis. Clin Lab. 2019;65(3). https://doi.org/10.7754/Clin.Lab.2018.180736 [ Links ]
8. Suárez I, Fünger SM, Kröger S, Rademacher J, Fätkenheuer G, Rybniker J. The diagnosis and treatment of tuberculosis. Dtsch Arztebl Int. 2019;116(43):729-35. https://doi.org/10.3238/arztebl.2019.0729 [ Links ]
9. Schininà V, Albarello F, Cristofaro M, Di Stefano F, Fusco N, Cuzzi G, et al. Diagnostic imaging of hepatic tuberculosis: case series. Int J Tuberc Lung Dis. 2018;22(7):779-787. https://doi.org/10.5588/ijtld.17.0710 [ Links ]
10. Hickey A, Gounder L, Moosa M, Drain P. A systematic review of hepatic tuberculosis with considerations in human immunodeficiency virus co-infection. BMC Infectious Diseases. 2015;15:209. https://doi.org/10.1186/s12879-015-0944-6 [ Links ]
11. Themes U. Mycobacterium tuberculosis ([Internet]. 2017 [consultado el 20 de septiembre de 2022]. Disponible en: Disponible en: https://basicmedicalkey.com/mycobacterium-tuberculosis-4/ [ Links ]
Citación: Acevedo-Rodríguez N, Collado-Rodriguez DM, Fernández-Genao A, Benoit-Vargas KM, González-Peralta CE. Tuberculosis hepática primaria: a propósito de un caso. Revista. colomb. Gastroenterol. 2023;38(2):199-205. https://doi.org/10.22516/25007440.921
Recibido: 10 de Junio de 2022; Aprobado: 21 de Diciembre de 2022










texto en 




