Servicios Personalizados
Revista
Articulo
Indicadores
-
Citado por SciELO -
Accesos
Links relacionados
-
Citado por Google -
Similares en
SciELO -
Similares en Google
Compartir
Revista colombiana de Gastroenterología
versión impresa ISSN 0120-9957versión On-line ISSN 2500-7440
Rev. colomb. Gastroenterol. vol.38 no.2 Bogotá abr./jun. 2023 Epub 07-Sep-2023
https://doi.org/10.22516/25007440.927
Reporte de caso
Divertículo gigante verdadero del colon izquierdo. Reporte de caso
1General surgery specialist, Fundación Cardioinfantil and Centro Policlínico Olaya, Hospital San Ignacio. Bogotá, Colombia.
2General surgeon, coloproctologist, and professor, Hospital Universitario San Ignacio. Bogotá, Colombia.
3General and gastrointestinal surgeon and professor, Hospital Universitario San Ignacio. Bogotá, Colombia.
4Pathology specialist and epidemiologist, Clínica de la FUCS. Bogotá, Colombia.
5Pathology resident, Pontificia Universidad Javeriana. Physician, Hospital Universitario San Ignacio. Bogotá, Colombia.
6General practitioner and general surgery resident, Hospital Universitario San Ignacio. Bogotá, Colombia.
Se presenta el caso clínico de un paciente masculino, con clínica y hallazgos tomográficos de masa abdominal en el colon descendente. Se describe el proceso diagnóstico y el tratamiento. Se realiza una revisión de la literatura, en la que se establece su definición e indicaciones quirúrgicas, teniendo en cuenta que el divertículo gigante verdadero del colon es una entidad rara, con menos de 200 casos reportados en la literatura.
Palabras clave: Divertículo; colon; colectomía
This abstract presents a clinical case of a male patient who exhibited clinical symptoms and tomographic findings of an abdominal mass in the descending colon. The diagnostic process and treatment are described, accompanied by a literature review. The review establishes the definition of the condition and its surgical indications. It is important to note that true giant diverticulum of the colon is a rare entity, with fewer than 200 reported cases in the literature.
Keywords: Diverticulum; colon; colectomy
Introducción
El divertículo gigante del colon (DGC) es una entidad clínica extraña, con menos de 200 casos reportados1, fue descrito por primera vez en 1946 por Bouvin y Bonet2,3. Es una lesión originada en el borde antimesentérico, el sigmoides es el sitio más frecuente de presentación, el tamaño fluctúa entre 4 y 30 cm y generalmente son lesiones simples y únicas, pero pueden ser múltiples. Se les considera una manifestación infrecuente de la diverticulosis colónica3. Dentro de las complicaciones reportadas están la perforación, absceso, vólvulo, infarto y adenocarcinoma3,4. La colectomía segmentaria se considera el tratamiento ideal o la diverticulectomía cuando el divertículo gigante es único5. Presentamos un caso de esta entidad en un paciente masculino en la quinta década de la vida.
Presentación del caso
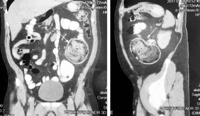
Se trata de un paciente masculino de 42 años, sin antecedentes patológicos relevantes. Consultó inicialmente por un cuadro de dos años de evolución de dolor en el hemiabdomen izquierdo, asociado a sensación de masa y hábito intestinal con períodos de estreñimiento y diarrea. Realizó múltiples consultas en las que le dieron manejo médico sin mejoría. De forma ambulatoria se realizó una colonoscopia con mala preparación colónica por la presencia de materia fecal en la unión rectosigmoidea. La tomografía axial computarizada (TAC) de abdomen con doble contraste reportó dolicosigma, ocupación de la unión colon-sigmoidea de material hipodenso y heterogéneo que alcanzaba un diámetro transverso de 8 cm, lo que hizo sospechar de impactación fecal segmentaria frente a un bezoar. Se realizó un TAC de control (Figura 1) en el Hospital Universitario San Ignacio, cuyos hallazgos sugirieron como primera posibilidad un bezoar en la luz del colon descendente distal, no asociado a obstrucción intestinal. Fue valorado por cirugía de colon y recto y se consideró que era un paciente con un divertículo gigante en el colon descendente, por lo que se realizó una resección y anastomosis por laparotomía, de forma prioritaria. Los hallazgos intraoperatorios (Figura 2) mostraron una lesión redondeada en el colon descendente, hacia el borde lateral de la cara antimesentérica de 10 x 8 cm de consistencia blanda. No cursó con complicaciones posoperatorias y al séptimo día se le dio egreso.

Figura 1 TAC con doble contraste, corte coronal y sagital (lesión señalada con flecha). Fuente: historia clínica del paciente.
En los hallazgos anatomopatológicos se describe macroscópicamente un gran divertículo de boca pequeña, pero con una cavidad de 8,3 x 5 cm; al cortarlo se encontró abundante contenido fecal sin perforaciones ni masas (Figura 3). El diagnóstico microscópico corresponde a una formación diverticular (Figura 4) con la presencia de todas las capas en la pared del divertículo, correspondiente a un divertículo gigante verdadero.
Discusión
Los divertículos del colon son herniaciones de la capa mucosa y muscular de la mucosa a través de una debilidad en la pared muscular, en el lugar donde las arterias la penetran4,6, usualmente estos divertículos son de tamaño constante y oscilan entre los 0,5 y 1 cm de diámetro4, estas formaciones diverticulares se consideran divertículos falsos por no contar con todas las capas normales del tracto gastrointestinal. Los divertículos se pueden encontrar a lo largo de todo el colon, pero en la mayoría de los casos, la enfermedad diverticular se localiza en el colon sigmoide4, donde los divertículos presentan un tamaño promedio de entre 1 y 2 cm, en contraste con los divertículos sigmoideos, que son adquiridos y usualmente múltiples5.
La diverticulosis del colon es una patología frecuente en los países occidentales, atribuida principalmente a la baja ingesta de fibra en la dieta7, aumenta la prevalencia con la edad a partir de la cuarta década y son muy frecuentes en edades avanzadas, afectan hasta al 70% de individuos en la séptima década de la vida, principalmente a los hombres4. Esta patología usualmente es asintomática, pero puede complicarse, y la más común es la diverticulitis aguda, entre 15% y 30% de los pacientes con diverticulosis colónica, seguida por el sangrado2,3,8.
El divertículo gigante del colon es una variante poco común pero conocida, definida como un divertículo mayor de 4 cm. El 85% de los DGC están asociados a enfermedad diverticular9, el 90% de los de estos divertículos se localizan en el borde antimesentérico, generalmente son simples y únicos, pero pueden ser múltiples4, su tamaño fluctúa entre 4 y 30 cm, se presenta más frecuentemente entre los 60 y 80 años; sin embargo, se puede encontrar en el rango de edad entre los 38 y 86 años, tanto en hombres como en mujeres1,2,10.
Clínicamente la presentación es variable, el dolor abdominal es el síntoma más común en 69% de los casos, seguido de estreñimiento10, sensación de masa abdominal, vómito, rectorragia y fiebre hasta en el 20% de los casos; aun así, la literatura los subdivide en cuatro grupos clínicos3,9,10:
Aguda (30%-35%): dolor abdominal, fiebre, síntomas y signos de obstrucción intestinal y rectorragia.
Crónica (35%): se presenta en un tercio de los pacientes; tiene síntomas inespecíficos, como incomodidad abdominal, distensión y estreñimiento.
Complicada (10%-20%): se presenta en el 6% de los pacientes como abdomen agudo secundario a perforación, absceso, vólvulos, obstrucción urinaria o intestinal, infarto e incluso formación de fístulas, y de forma extremadamente rara, la aparición de adenocarcinoma dentro del DGC.
Asintomática (10%): detectada como una masa en un examen físico, o como un hallazgo incidental en imágenes, en la que se debe realizar el diagnóstico diferencial con otras entidades que se presentan como una cavidad llena de aire o con niveles hidroaéreos como vólvulos, quistes de duplicación, divertículos duodenales, divertículo de Meckel, abscesos, tumores necrosados o colecistitis enfisematosa.
La teoría patogénica más aceptada se refiere a un mecanismo de válvula de bola por el cual entra gas, pero no puede salir del divertículo, el paso unidireccional de aire produce elevación de la presión y diferencias de presión en el colon, con agrandamiento gradual del divertículo2.
Ante la sospecha diagnóstica de esta entidad, el examen de elección es la tomografía con doble contraste. Típicamente se describe una estructura redonda llena de gas con o sin nivel hidroaéreo2. Así mismo, la colonoscopia frecuentemente no diagnostica, debido a que el orificio del cuello diverticular puede ser hermético para permitir la visualización, los enemas de contraste pueden demostrar la comunicación del divertículo a la luz intestinal en casi el 70% de los casos; sin embargo, publicaciones recientes sugieren que el enema baritado no debe llevarse a cabo por el riesgo de perforación11.
La clasificación histológica que fue propuesta por McNutt en 1988 sigue vigente hasta la actualidad, esta clasificación subdivide el DGC en tres subtipos: pseudodivertículo, inflamatorio y verdadero o congénito, cada uno de ellos con características microscópicas diferentes2.
El tratamiento de los DGC depende de su clasificación clínica1, para los DGC no complicados y sintomáticos es la resección primaria del divertículo con márgenes y anastomosis primaria; en el caso de presentarse como abdomen agudo, secundario a perforación y peritonitis, el tratamiento más seguro es la resección en bloque del divertículo y del colon afectado, asociado a colostomía temporal terminal.
Conclusión
El divertículo gigante verdadero del colon es una entidad poco frecuente. Se presenta el caso clínico de un paciente que consultó en varias oportunidades por cuadros de dolor abdominal interpretadas como síndrome de intestino irritable, estudiado con colonoscopia y TAC en el que finalmente se documentó la presencia de una lesión a nivel de colon descendente distal. Fue llevado a laparotomía exploratoria en la que se le realizó una hemicolectomía izquierda con anastomosis colocolónica sin complicación. Se identificó una masa a nivel del colon descendente que correspondió a un fecaloma originado en un divertículo gigante verdadero del colon. Se han descrito los divertículos gigantes en el contexto de la diverticulosis en varios segmentos del colon, pero la presencia de un divertículo verdadero a este nivel lo hace un hallazgo poco común, ya que son principalmente descritos en el colon derecho, mientras que usualmente en el colon izquierdo se describen pseudodivertículos. Como se evidencia en la literatura revisada, el tratamiento dado a este paciente es el adecuado; a pesar de ser una patología rara, se debe tener como diagnóstico diferencial dado a las posibles complicaciones que se pueden presentar.
REFERENCIAS
1. Chino JR, Rayhrer CS, Barrows BD, Salehpour MM. Surgical management of giant colonic diverticulum presenting after laparoscopic lavage for diverticular perforation and sepsis. Am J Case Rep. 2020;21:e923457-1-e923457-5. https://doi.org/10.12659/AJCR.923457 [ Links ]
2. Zeina AR, Mahamid A, Nachtigal A, Ashkenazi I, Shapira-Rootman M. Giant colonic diverticulum: radiographic and MDCT characteristics. Insights Imaging. 2015;6(6):659-64. https://doi.org/10.1007/s13244-015-0433-x [ Links ]
3. Syllaios A, Daskalopoulou D, Bourganos N, Papakonstantinou A, Triantafyllou E, Koutras A, et al. Giant colonic diverticulum-a rare cause of acute abdomen. J Surg Case Reports. 2018;2018(2):1-3. https://doi.org/10.1093/jscr/rjy009 [ Links ]
4. Collin JE, Atwal GS, Dunn WK, Acheson AG. Laparoscopic-assisted resection of a giant colonic diverticulum: A case report. J Med Case Rep. 2009;3:7075. https://doi.org/10.1186/1752-1947-3-7075 [ Links ]
5. Chater C, Saudemont A, Zerbib P. Giant colon diverticulum. J Chir Viscerale. 2015;152(5):336-8. https://doi.org/10.1016/j.jviscsurg.2015.06.002 [ Links ]
6. Feuerstein JD, Falchuk KR. Diverticulosis and Diverticulitis. Mayo Clin Proc. 2016;91(8):1094-104. https://doi.org/10.1016/j.mayocp.2016.03.012 [ Links ]
7. Carabotti M, Annibale B, Severi C, Lahner E. Role of fiber in symptomatic uncomplicated diverticular disease: A systematic review. Nutrients. 2017;9(2):161. https://doi.org/10.3390/nu9020161 [ Links ]
8. Carr JA. Case report of a giant colonic sigmoid diverticulum causing sigmoid volvulus. Int J Surg Case Rep. 2017;31:197-9. https://doi.org/10.1016/j.ijscr.2017.01.056 [ Links ]
9. Del Pozo AC, Bartolotta V, Capitano S, De Fusco M, Chiodi L, Boccoli G. A gas-filled abdominal cyst in an elderly woman: A giant colonic diverticulum case report. Int J Surg Case Rep. 2016;24:104-7. https://doi.org/10.1016/j.ijscr.2016.05.029 [ Links ]
10. Heylen CE, Pringot J, Van Belle K. The lifting balloon: Sign of a giant colonic diverticulum. J Belgian Soc Radiol. 2017;101(1):26. https://doi.org/10.5334/jbr-btr.1363 [ Links ]
11. Carnevale A, Bassi M, Ferrante Z, Rizzati R, Benea G, Giganti M. Computed tomographic colonography in the evaluation of a case of giant colonic diverticulum. BJR case reports. 2017;3(2):20160101. https://doi.org/10.1259/bjrcr.20160101 [ Links ]
Citación: González-González JA, Lombana LJ, Rugeles SJ, Zúñiga MI, Vélez AM, Gómez M. Divertículo gigante verdadero del colon izquierdo. Reporte de caso. Revista. colomb. Gastroenterol. 2023;38(2):206-210. https://doi.org/10.22516/25007440.927
Recibido: 14 de Junio de 2022; Aprobado: 12 de Septiembre de 2022










texto en 






