SciELO - Scientific Electronic Library Online

 
vol.38 número2Tuberculosis intestinal y talasemia: una asociación inusual. A propósito de un casoDivertículos múltiples en intestino delgado como causa de hemorragia digestiva masiva. A propósito de un caso índice de autoresíndice de materiabúsqueda de artículos
Home Pagelista alfabética de revistas  

Servicios Personalizados

Revista

Articulo

Indicadores

Links relacionados

  • En proceso de indezaciónCitado por Google
  • No hay articulos similaresSimilares en SciELO
  • En proceso de indezaciónSimilares en Google

Compartir


Revista colombiana de Gastroenterología

versión impresa ISSN 0120-9957versión On-line ISSN 2500-7440

Rev. colomb. Gastroenterol. vol.38 no.2 Bogotá abr./jun. 2023  Epub 11-Sep-2023

https://doi.org/10.22516/25007440.957 

Reporte de caso

Hemorragia gastrointestinal por diverticulosis yeyunal: una complicación infrecuente. Reporte de un caso

Gianmarco Camelo-Pardo1  * 
http://orcid.org/0000-0002-4984-0364

Francisco José Ortega-Torres1 
http://orcid.org/0000-0002-7380-5403

Adriana Maritza León-Díaz2 
http://orcid.org/0000-0001-5283-0127

Cristian Eduardo Tarazona-León3 
http://orcid.org/0000-0003-0646-030X

1General Physician, Universidad de Santander (UDES). Bucaramanga, Colombia.

2Physician, general surgery specialist, and professor, Hospital Internacional de Colombia, Hospital Universitario Los Comuneros, Universidad de Santander -UDES. Bucaramanga, Colombia.

3Surgeon, general surgery specialist, transplantation and hepatopancreatobiliary surgery subspecialist, Hospital Internacional de Colombia, Fundación Cardiovascular. Bucaramanga, Colombia.


Resumen

Introducción:

los divertículos del intestino delgado presentan una incidencia del 0,6% al 2%, su localización a nivel del yeyuno es una alteración poco frecuente y, dada su baja sospecha clínica, se retrasa el diagnóstico oportuno. La manifestación clínica de esta patología se encuentra relacionada con el desarrollo de complicaciones, las cuales ocurren entre el 15% y el 30% de los pacientes, y el 10% de estos pacientes requiere manejo quirúrgico.

Caso clínico:

un paciente adulto medio cursó con una complicación secundaria a la presencia de un divertículo del yeyuno sangrante, al cual se le dio un manejo quirúrgico con un resultado satisfactorio.

Objetivo:

este artículo tiene como objetivo describir la diverticulosis yeyunal que, aunque poco frecuente, puede generar un compromiso importante en quien la padece, lo que prioriza su sospecha clínica como diagnóstico diferencial causante de hemorragia gastrointestinal, así como dilucidar métodos diagnósticos y estar al tanto de las diferentes opciones terapéuticas que existen, incluido el manejo quirúrgico.

Palabras clave: Divertículo del colon; yeyuno; hemorragia gastrointestinal; embolización terapéutica

Abstract

Introduction:

Small intestine diverticula are a rare condition with an incidence of 0.6% to 2%. Their location at the level of the jejunum is a rare alteration, and their diagnosis is often delayed due to low clinical suspicion. The clinical manifestation of this pathology is related to the development of complications -15% to 30% of patients, with approximately 10% requiring surgical intervention.

Clinical case:

We present a case of a middle-aged adult patient who experienced a complication due to a bleeding jejunal diverticulum. The patient underwent surgical management, which resulted in a satisfactory outcome.

Objective:

This article aims to describe jejunal diverticulosis, a rare condition that can have a significant impact on affected individuals. Emphasizing its clinical suspicion as a differential diagnosis for gastrointestinal bleeding is crucial. Additionally, we discuss diagnostic methods and highlight various therapeutic options, including surgical management.

Keywords: Diverticulum of the colon; jejunum; gastrointestinal bleeding; therapeutic embolization

Introducción

El presente artículo tiene como objetivo describir la diverticulosis yeyunal que, aunque es poco frecuente, puede generar compromiso vital de quien la padece, lo que prioriza su establecimiento como diagnóstico diferencial causante de hemorragia gastrointestinal, así como esclarecer métodos diagnósticos y estar al tanto de las diferentes opciones terapéuticas que existen, incluso el manejo quirúrgico.

La diverticulosis yeyunal fue descrita por primera vez en 1794 por Somerling, pero fue solo hasta 1906 cuando Gordinier y Sanpson describieron el primer caso de un paciente que se sometió a cirugía por esta patología1-4. La diverticulosis se presenta con mayor frecuencia en el intestino grueso que en el intestino delgado, esta última con una incidencia descrita del 0,6% al 2% en las series de autopsias, y radiológica reportada del 2%- 5%5,6.

En la diverticulosis del intestino delgado, el sitio de presentación más común es el duodeno, seguido del yeyuno y el íleon6, los primeros ocurren en igual cantidad tanto en hombres como en mujeres, mientras que los divertículos yeyunoileales presentan mayor predominancia en hombres que en mujeres7,8.

Fisiopatológicamente, los divertículos se clasifican en verdaderos o falsos (pseudodivertículos), debido a un aumento de la presión intraluminal, lo cual causa una herniación de la mucosa y submucosa principalmente en los puntos más débiles, que corresponden a sititos por donde los vasos rectos penetran la capa muscular del intestino y quedan recubiertos solo por la capa serosa9-11.

No hay claridad en la etiopatogenia de la diverticulosis del intestino delgado, por lo que se ha propuesto como causas de esta anormalidad alteraciones en el peristaltismo intestinal, discinesia intestinal y aumento de la presión intraluminal, lo cual causaría la aparición de los divertículos en los sitios donde los vasos mesentéricos entran a la capa muscular del intestino delgado9-11.

La presentación clínica de estos divertículos está relacionada con las complicaciones, las cuales ocurren entre el 15% y 30% de los pacientes, de los cuales hasta el 10% requieren manejo quirúrgico1,2,12. Entre estas manifestaciones o complicaciones están la diverticulitis y la perforación, con porcentajes entre el 2% y el 6%, obstrucción entre el 2% y el 4% y hemorragia gastrointestinal entre el 3% y el 8%, esta última se presenta por una erosión y ulceración de la mucosa, lo cual compromete los vasos mesentéricos alrededor del cuello del divertículo1,2,13-16.

Generalmente, el diagnóstico de los divertículos del intestino delgado se realiza de forma incidental, ya sea por su visualización en la colangiopancreatografía retrógrada endoscópica (CPRE), laparotomía o enteroscopias13-17. Según la American Journal of Gastroenterology, se debe considerar un sangrado del intestino delgado cuando se cuente con estudios endoscópicos superiores e inferiores normales13.

Entre los métodos diagnósticos implicados en el estudio del sangrado gastrointestinal se incluyen la endoscopia alta y baja, enterocápsula, gammagrafía, angiografía digital y tomografía axial computarizada (TAC)18-20.

La endoscopia digestiva superior es la principal herramienta diagnóstica en el estudio de un sangrado gastrointestinal superior, su sensibilidad oscila entre el 92% y el 98%, con una especificidad entre el 33% y el 100%18.

La colonoscopia es el primer método diagnóstico usado en pacientes con sangrado gastrointestinal bajo, con una sensibilidad del 50% para la detección de la ubicación y la causa de la hemorragia; sin embargo, su implementación es obstaculizada por la necesidad de previa preparación intestinal, asociado a la visualización inapropiada del colon si hay presencia de grandes cantidades de sangre o coágulos18.

La cápsula endoscópica no es factible en un escenario de emergencia, a pesar de que posee como ventaja la capacidad de explorar todo el intestino delgado, ya que se afecta la visualización si hay presencia de una hemorragia masiva activa18.

La gammagrafía de glóbulos rojos marcados se puede emplear para detectar y localizar el sitio del sangrado gastrointestinal, tiene una sensibilidad del 93% y una especificidad del 95%; sin embargo, su valor como prueba diagnóstica es limitado ya que tiene hasta un 22% de localización falsa del sangrado19.

La angiografía mesentérica ofrece la ventaja de poder detectar e intervenir terapéuticamente mediante la embolización transcatéter, tiene una sensibilidad entre el 40% al 86%, y la isquemia es el principal riesgo de este procedimiento19.

La angiotomografía abdominal se considera el método diagnóstico de primera línea en un paciente con sospecha de sangrado procedente del intestino delgado, debido a que permite visualizar la presencia o ausencia de extravasación del material de contraste en la luz intestinal; tiene una sensibilidad del 86% y especificidad del 95% para el diagnóstico de hemorragia digestiva aguda20.

Una vez se identifican los divertículos yeyunales como la causa del sangrado, se debe realizar la resección del segmento afectado del yeyuno con anastomosis primaria20.

Caso clínico

Se trata de un paciente masculino de 48 años con antecedente de gastritis que ingresó remitido al servicio de urgencias, por presentar una clínica de tres días de evolución de hemorragia digestiva baja, representada por hematoquecia, asociada a un episodio sincopal en el sitio de remisión. Al ingreso se encontró al paciente estable hemodinámicamente y con anemización grave, por lo cual se le realizó una endoscopia y colonoscopia con reportes de “hernia hiatal” en el estudio superior y “presencia de melenas en todo el colon e íleon distal, sin presencia de masas, pólipos y divertículos” en el estudio inferior.

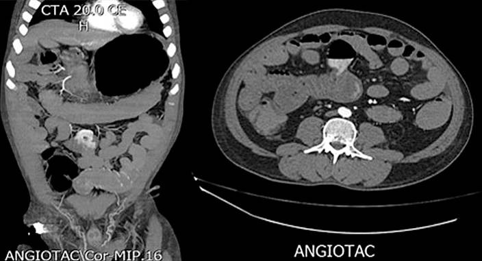
Durante los tres primeros días de hospitalización persistió con hematoquecia, hipotensión y anemización grave que no corrigió a pesar de ser politransfundido, por lo que se solicitó arteriografía mesentérica, en la cual no se encontraron lesiones que explicaran el sangrado. El paciente se tornó inestable hemodinámicamente, por lo que fue trasladado a la unidad de cuidados intensivos (UCI) con requerimiento transfusional, soporte vasopresor y ventilación mecánica invasiva. Además, tenía un cuadro de hematemesis con necesidad de endoscopia de vías digestivas altas que reportó una “angiodisplasia de bulbo duodenal, la cual recibió escleroterapia”. Por la persistencia de inestabilidad hemodinámica, sangrado digestivo bajo y anemización grave, se realizó una angiotomografía abdominal, en la que se observó una “dilatación en el segmento intestinal delgado ileal, que podría corresponder a un divertículo de Meckel, con extravasación del medio de contraste a través de este segmento” (Figura 1), por lo que se le realizó una embolización selectiva por medio de arteriografía (Figuras 2 y 3).

Figura 1 Tomografía axial computarizada, se observa una estructura quística de la pared fina con un nivel hidroaéreo correspondiente con un divertículo yeyunal. Fuente: Servicio Radiología, Hospital Comuneros. Seleccionada por autores. 

Figura 2 Embolización angiográfica del divertículo yeyunal, en la que se resalta una figura quística compatible con divertículo yeyunal. Fuente: Servicio Hemodinamia, Hospital Comuneros. Seleccionada por autores. 

Figura 3 Embolización angiográfica del divertículo. Fuente: Servicio Hemodinamia, Hospital Comuneros. Seleccionada por autores. 

El paciente presentó mejoría clínica y estabilidad hemodinámica, por lo que se logró el retiro del soporte vasopresor, y por esta razón se decidió programar para una resección intestinal. Se realizó una laparotomía mediana en la que se localizó un único divertículo yeyunal a 40 cm del ángulo de Treitz (Figura 4), con residuos de contenido hemático en el intestino delgado y colon, y luego se realizó la resección del divertículo y la anastomosis yeyuno-yeyunal. Finalmente se dio egreso hospitalario al décimo día de hospitalización.

Figura 4 Pieza anatómica macroscópica, presencia de un divertículo abierto que permite observar su contenido. Fuente: Servicio Cirugía, Hospital Comuneros. Seleccionada por autores. 

El reporte de patología describió un segmento de intestino delgado de 4 cm con única estructura en forma de bolsa en la pared, correspondiente a un divertículo yeyunal, con una trombosis reciente de los vasos venosos, sin ulceración ni perforación.

Discusión

La diverticulosis del intestino delgado es una entidad rara con complicaciones aún menos comunes, los primeros reportes de esta patología se realizaron en 1794 y los de las primeras complicaciones en 18535; la prevalencia de esta patología es baja, así como sus complicaciones; la etiología aun no es clara, aunque la teoría etiológica más aceptada actualmente indica que la formación de los divertículos puede darse por disfunción o discinesia del músculo liso del yeyuno, que desencadena una alteración en la contracción de este y causa el desarrollo de áreas débiles, las cuales a su vez conducen a la herniación de la mucosa, la submucosa y la serosa, pero no en la capa muscular (falso divertículo).

El caso presentado es muy relevante dado que tanto la presentación clínica como la presencia de complicaciones de esta patología se evidenciaron en un paciente en la quinta década de vida, y es importante debido a que la presentación clínica es más común hacia la séptima década de vida, así como la presencia de hemorragia gastrointestinal, la cual se presenta entre el 3% y el 8% de la población con divertículos yeyunales7,8. Es necesario tener en cuenta esta complicación al momento de pensar en diagnósticos diferenciales causales de una hemorragia gastrointestinal, ya que esta no presenta una sintomatología patognomónica que permita diferenciar dentro de las otras causas, y como consecuencia se generó el compromiso del estado hemodinámico de los pacientes, como se desencadenó el caso anteriormente expuesto, en el cual el paciente requirió manejo en la UCI debido a su inestabilidad hemodinámica y amenización grave que presentó secundario al sangrado profuso y constante procedente del divertículo.

Otras complicaciones que se pueden presentar en los divertículos yeyunales son la diverticulitis y la perforación, con una presentación entre el 2% y el 6%, y la obstrucción entre el 2% y el 4% de la población con diverticulosis yeyunal8,9. Dentro de las complicaciones crónicas se encuentran el dolor abdominal posprandial crónico, emesis, diarrea o estreñimiento, pérdida de peso, anemia megaloblástica y esteatorrea; esta sintomatología refleja complicaciones crónicas como la malabsorción, obstrucción y sobrecrecimiento bacteriano. Como lo hemos podido documentar en todos los estudios revisados en la bibliografía, su sintomatología crónica inespecífica ha llevado a que esta patología se confunda con otras como el síndrome de colon irritable, la enfermedad acidopéptica o colelitiasis, lo cual conlleva a diagnósticos erróneos y, por ende, a tratamientos errados14-16. Al ser una patología poco común, su diagnóstico se hace generalmente de forma incidental.

Según la American Journal of Gastroenterology, se debe considerar un sangrado del intestino delgado cuando se cuente con estudios endoscópicos superiores e inferiores normales; de igual forma, durante la realización de la revisión de los artículos de base se encuentra una tríada clínica identificada en 1971 por Nobles que alerta sobre la presencia de divertículos yeyunales, la cual consiste en la presencia de dolor abdominal difuso, anemia y dilatación de asas intestinales delgadas. En relación con nuestro paciente, se evidencia la presencia de la tríada de Nobles sumada a métodos endoscópicos normales, lo que haría sospechar de la presencia de divertículos de asa delgada11,12.

Los métodos endoscópicos altos y bajos no permiten realizar el diagnóstico de esta patología, ya que por medio de estos no se logra visualizar el yeyuno, por lo que los métodos contrastados son los de primera elección, mientras que la angiotomografía abdominal es el método diagnóstico de primera línea en pacientes en los que se sospeche sangrado procedente del intestino delgado, ya que por medio de este método se observa la existencia o ausencia de extravasación del material de contraste en la luz intestinal, como se evidenció en el caso anteriormente expuesto; la angiografía mesentérica constituye otro método diagnóstico y terapéutico importante, aunque se debe tener presente la complicación más importante de dicho procedimiento: la isquemia15-17.

La elección del tratamiento se hará dependiendo de la complicación presentada por los pacientes, dentro de las opciones se encuentran el método conservador y el método quirúrgico, el primero asociado a complicaciones como la diverticulitis o abscesos y el segundo, en el caso de hemorragia gastrointestinal, es de elección, lo que permite la resección del segmento afectado del yeyuno con anastomosis primaria.

Conclusiones

La diverticulosis yeyunal es una patología que pasa desapercibida gracias a su baja incidencia y poco conocimiento de la misma, por lo que no se diagnostica y no recibe manejo de forma oportuna. El manejo de la enfermedad diverticular tanto del intestino delgado como del colon debe ir enfocado a la sintomatología o complicaciones que estén presentando los pacientes.

En la actualidad contamos con varios métodos tecnológicos que nos permiten realizar un diagnóstico más certero de esta patología, como es el caso de la angiotomografía abdominal, por medio de la cual se observa si hay o no extravasación del material de contraste en la luz intestinal.

REFERENCIAS

1. Ospina J. Gastrointestinal Hemorrhaging Secondary to Diverticular Disease of the Jejunum: Case Report and Literature Review. Rev Col Gastroenterol. 2013;28(4): 363-366. [ Links ]

2. Pedraza N. Diverticulosis of the jejunum: complications and management. Case presentation and literature review. Rev Colomb Cir. 2010;25(1):48-55. [ Links ]

3. Patel VA, Jefferis H, Spiegelberg B, Iqbal Q, Prabhudesai A, Harris S. Jejunal diverticulosis is not always a silent spectator: a report of 4 cases and review of the literature. World J Gastroenterol. 2008;14(38):5916-9. https://doi.org/10.3748/wjg.14.5916Links ]

4. Igwe PO, Ray-Offor E, Allison AB, Alufohai EF. Volvulus complicating jejunal diverticulosis: A case report. Int J Surg Case Rep. 2015;9:61-4. https://doi.org/10.1016/j.ijscr.2015.02.017Links ]

5. Järbrink-Sehgal E. Small bowel diverticula: Clinical manifestations, diagnosis, and management [Internet]. Up-to-Date; 2015 [actualizado el 27 de marzo de 2017; consultado el 19 de julio de 2018]. Disponible en: Disponible en: https://www.uptodate.com/contents/small-bowel-diverticula-clinical-manifestations-diagnosis-and-management?search=diverticulos&source=search_result&selectedTitle=3~83&usage_type=default&display_rank=3Links ]

6. Kumar D, Meenakshi. Complicated jejunal diverticulitis with unusual presentation. Radiology Case Reports.2018;13(1):58-64. https://doi.org/10.1016/j.radcr.2017.10.002Links ]

7. Woods K, Williams E, Melvin W, Sharp K. Acquired jejunoileal diverticulosis and its complications: a review of the literature. Am Surg. 2008;74(9):849-54. [ Links ]

8. Pemberton JH, Strate L. Colonic diverticulosis and diverticular disease: Epidemiology, risk factors, and pathogenesis [Internet]. Up to Date [actualizado el 13 de diciembre de 2017; consultado el 19 de julio de 2018]. Disponible en: Disponible en: https://www.uptodate.com/contents/colonic-diverticulosis-and-diverticular-disease-epidemiology-risk-factors-and-pathogenesis? search=diverticulos&source=search_result&selectedTitle=1~83&usage_type=default&display_rank=1Links ]

9. Kassahun WT, Fangmann J, Harms J, Bartels M, Hauss J. Complicated small-bowel diverticulosis: a case report and review of the literature. World J Gastroenterol. 2007;13(15):2240-2. https://doi.org/10.3748/wjg.v13.i15.2240Links ]

10. Matrana MR, Margolin DA. Epidemiology and pathophysiology of diverticular disease. Clin Colon Rectal Surg. 2009;22(3):141-6. https://doi.org/10.1055/s-0029-1236157Links ]

11. De Peuter B, Box I, Vanheste R, Dymarkowski S. Small-bowel diverticulosis:imaging findings and review of three cases. Gastroenterol Res Pract. 2009;2009:549853. https://doi.org/10.1155/2009/549853Links ]

12. Natarajan K, Phansalkar M, Varghese RG, Thangiah G. Jejunal diverticulosis with perforation - a challenging differential diagnosis of acute abdomen: case report. J Clin Diagn Res. 2015;9(2):ED03-4. https://doi.org/10.7860/JCDR/2015/11210.5541Links ]

13. Blake-Siemsen JC, Kortright-Farías M, Casale-Menier DR, Gámez-Araujo J. Sangrado digestivo por divertículos yeyunales: reporte de un caso y revisión de la literatura. Cir Cir. 2017;85 Suppl 1:34-39. https://doi.org/10.1016/j.circir.2016.11.011Links ]

14. Balducci G, Dente M, Cosenza G, Mercantini P, Salvi PF. Multiple giant diverticula of the foregut causing upper gastrointestinal obstruction. World J Gastroenterol. 2008;14(20):3259-61. https://doi.org/10.3748/wjg.14.3259Links ]

15. Fourneau H, Coulier B, Afshin Rezazadeh A. Small Bowel Obstruction Due to Enterolith in a Patient with Diffuse Jejuno-Ileal Diverticulosis. J Belg Soc Radiol. 2018;102(1):10. https://doi.org/10.5334/jbsr.1456Links ]

16. Fidan N, Mermi EU, Acay MB, Murat M, Zobaci E. Jejunal Diverticulosis Presented with Acute Abdomen and Diverticulitis Complication: A Case Report. Pol J Radiol. 2015;80:532-5. https://doi.org/10.12659/PJR.895354Links ]

17. Sakpal SV, Fried K, Chamberlain RS. Jejunal Diverticulitis: A Rare Case of Severe Peritonitis. Case Rep Gastroenterol. 2010;4(3):492-497. https://doi.org/10.1159/000321091Links ]

18. Reis FR, Cardia PP, D’Ippolito G. Computed tomography angiography in patients with active gastrointestinal bleeding. Radiol Bras. 2015;48(6):381-90. https://doi.org/10.1590/0100-3984.2014.0014Links ]

19. Yaqub S, Evensen BV, Kjellevold K. Massive rectal bleeding from acquired jejunal diverticula. World J Emerg Surg. 2011;6:17. https://doi.org/10.1186/1749-7922-6-17Links ]

20. Xu XQ, Hong T, Li BL, Liu W. Active gastrointestinal diverticulum bleeding diagnosed by computed tomography angiography. World J Gastroenterol. 2014;20(37):13620-4. https://doi.org/10.3748/wjg.v20.i37.13620Links ]

Citación: Camelo-Pardo G, Ortega-Torres FJ, León-Díaz AM, Tarazona-León CE. Hemorragia gastrointestinal por diverticulosis yeyunal: una complicación infrecuente. Reporte de un caso. Revista. colomb. Gastroenterol. 2023;38(2):229-234. https://doi.org/10.22516/25007440.957

Fuente de financiación Para la realización de este estudio no existió ningún tipo de financiación externa a los autores

Protección de personas y animales Los autores declaran que para esta investigación no se han realizado experimentos en seres humanos ni en animales

Confidencialidad de los datos Se han seguido los protocolos del centro de trabajo sobre la publicación de datos de pacientes

Derecho a la privacidad y consentimiento informado Los autores obtuvieron el consentimiento informado de la paciente. Este documento está en poder del autor de correspondencia

Recibido: 10 de Agosto de 2022; Aprobado: 01 de Septiembre de 2022

*Correspondencia: Gianmarco Camelo-Pardo. giancampa12@gmail.com

Conflictos de interés

Los autores declaran no tener conflicto de intereses

Creative Commons License This is an open-access article distributed under the terms of the Creative Commons Attribution License