SciELO - Scientific Electronic Library Online

 
vol.38 número3Esofagitis por virus del herpes simple en paciente inmunocompetenteMasa periampular como presentación inusual de coccidioidomicosis. Reporte de un caso y revisión de la literatura índice de autoresíndice de materiabúsqueda de artículos
Home Pagelista alfabética de revistas  

Servicios Personalizados

Revista

Articulo

Indicadores

Links relacionados

  • En proceso de indezaciónCitado por Google
  • No hay articulos similaresSimilares en SciELO
  • En proceso de indezaciónSimilares en Google

Compartir


Revista colombiana de Gastroenterología

versión impresa ISSN 0120-9957versión On-line ISSN 2500-7440

Rev. colomb. Gastroenterol. vol.38 no.3 Bogotá jul./set. 2023  Epub 19-Ene-2024

https://doi.org/10.22516/25007440.961 

Reporte de caso

Presentación grave de una tuberculosis peritoneal: reporte de caso clínico

Wilfredo Antonio Rivera-Martínez1 
http://orcid.org/0000-0002-6079-6974

María Elena Pantoja-Rosero2 
http://orcid.org/0000-0003-4081-2559

Hugo Alejandro Chaves-Cabrera3 
http://orcid.org/0000-0002-4066-1896

Nicolás Yory-Montalvo3 
http://orcid.org/0000-0002-6574-4188

Felipe Velásquez-García3 
http://orcid.org/0000-0002-3268-9629

Martín Ocampo-Posada4 
http://orcid.org/0000-0001-7154-3692

1Physician and surgeon, internal medicine resident, Universidad Libre. Cali, Colombia.

2Physician, internal medicine resident, Universidad Libre. Cali, Colombia.

3Student, Pontificia Universidad Javeriana. Cali, Colombia.

4Internist, Clínica Versalles. Cali, Colombia.


Resumen

Objetivo:

describir la presentación clínica y el proceso diagnóstico de un paciente con tuberculosis peritoneal como reto clínico en un centro de alta complejidad de un país latinoamericano.

Descripción del caso:

un paciente masculino de 61 años procedente del área urbana de Cali consultó por edema en los miembros inferiores, ascitis, hiporexia, pérdida de peso, caquexia, trombocitopenia, elevación de transaminasas, imágenes de esplenomegalia y nódulos pulmonares, hepáticos y en el peritoneo. Inicialmente se sospechó neoplasia, pero el reporte de adenosina desaminasa y la histopatología fueron consistentes con el diagnóstico de tuberculosis peritoneal.

Conclusión:

la tuberculosis peritoneal representa la sexta causa de tuberculosis extrapulmonar, después de las manifestaciones linfáticas, pleurales, osteoarticulares, genitourinarias y meníngeas. A pesar de contar con sistemas de vigilancia, la tuberculosis peritoneal sigue siendo considerada como la enfermedad infecciosa más desafiante para llegar a un diagnóstico definitivo. Se presenta un caso de tuberculosis diseminada en el que se comprobó invasión del peritoneo, por lo que se inició un tratamiento tetraconjugado; sin embargo, presentó una reacción adversa hepática y falleció producto del compromiso multisistémico de una complicación infecciosa pulmonar.

Palabras clave: Tuberculosis peritoneal; ascitis; laparoscopia; histología; diagnóstico

Abstract

Aim:

To describe the clinical manifestation and the diagnostic process of a patient with peritoneal tuberculosis as a clinical challenge in a tertiary referral center in a Latin American country.

Case description:

A 61-year-old male patient from the urban area of Cali consulted for edema in the lower limbs, ascites, hyporexia, weight loss, cachexia, thrombocytopenia, elevated transaminases, imaging of splenomegaly and pulmonary, hepatic, and peritoneum nodules. Initially, neoplasia was suspected, but the adenosine deaminase report and histopathology were consistent with the diagnosis of peritoneal tuberculosis.

Conclusion:

Peritoneal tuberculosis represents the sixth cause of extrapulmonary tuberculosis, after lymphatic, pleural, osteoarticular, genitourinary, and meningeal manifestations. Despite having surveillance systems, peritoneal tuberculosis is still considered the most challenging infectious disease to reach a definitive diagnosis. We present a case of disseminated tuberculosis in which invasion of the peritoneum was verified, for which tetraconjugate treatment was started; however, the patient showed an adverse hepatic reaction and died due to multisystem involvement of a pulmonary infectious complication.

Keywords: Peritoneal tuberculosis; ascites; laparoscopy; histology; diagnosis

Introducción

La tuberculosis peritoneal fue descrita por primera vez en 1843 en el hospital de Nueva York, 39 años después de la introducción del concepto de tuberculosis extrapulmonar por Laennec1. Representa el 4,9% de todas las causas de tuberculosis extrapulmonares, superado en frecuencia por las manifestaciones linfáticas, pleurales, osteoarticulares, genitourinarias y meníngeas2. Los sistemas de vigilancia han buscado llegar a un diagnóstico más precoz; no obstante, la confirmación puede lograrse una vez exista una progresión importante de la enfermedad en presencia de complicaciones nutricionales, gastrointestinales, infecciosas y sistémicas3.

La tuberculosis peritoneal es causada por el complejo de Mycobacterium tuberculosis (M. tuberculosis, M. africanum, M. bovis, M. caprae, M. microti, M. pinnipedi), los cuales alcanzan el peritoneo por diseminación hematógena, por vía linfática, por alimentos contaminados, especialmente leche no pasteurizada (M. bovis), o por extensión directa de focos infecciosos adyacentes como el intestino o las trompas de Falopio. La hepatopatía crónica (etiología alcohólica), infección por virus de la inmunodeficiencia humana (VIH), la diálisis peritoneal en enfermedad renal crónica, los procesos neoplásicos y el tratamiento antifactor de necrosis tumoral alfa (TNF-α) representan los principales factores de riesgo para el desarrollo de la tuberculosis peritoneal4.

Constituye una forma de tuberculosis abdominal que con frecuencia se presenta con un dolor abdominal inespecífico, de intensidad variable, progresión insidiosa en el 50%-100% de los casos, con una posterior obstrucción del drenaje linfático que lleva a un bloqueo de la reabsorción del líquido peritoneal y a ascitis entre el 40% y el 73% de los pacientes. También pueden estar presentes síntomas constitucionales como pérdida de peso, fiebre y diaforesis nocturna5. La peritonitis bacteriana espontánea es el principal diagnóstico a tener en cuenta en presencia de ascitis, dolor abdominal y fiebre; sin embargo, la persistencia de la ascitis y de signos de respuesta inflamatoria en la evaluación citológica del líquido peritoneal posterior al tratamiento con antibióticos convencionales orienta hacia una búsqueda de causas secundarias de peritonitis, como perforación gastrointestinal, falla terapéutica por patógenos multirresistentes y dos enfermedades muy similares desde la presentación clínica y los hallazgos en imágenes diagnósticas, la tuberculosis peritoneal y la carcinomatosis peritoneal6.

Presentación del caso

Se trata de un paciente masculino de 61 años, mestizo, de nivel socioeconómico medio, procedente de un área urbana, con antecedente de evento cerebrovascular isquémico de la arteria cerebral posterosuperior izquierda 5 años antes, en manejo con 100 mg al día de ácido acetilsalicílico; consultó al servicio de urgencias de una clínica de alta complejidad por 15 días de edema en miembros inferiores, ascitis grado 3, hiporexia, pérdida de peso involuntaria de 10 kg y tos seca. En el examen físico se encontraba normotenso, sin taquicardia, taquipnea o desaturación, pero caquéctico (índice de masa corporal [IMC] de 17,3 kg/m²) con hepatomegalia y edema de miembros inferiores con signo de Godet grado II.

Sus laboratorios iniciales mostraron trombocitopenia moderada (70 000/mL), lesión hepática leve (aspartato-aminotransferasa [AST]: 67 U/L, alanina-aminotransferasa [ALT]: 47 U/L, bilirrubina sérica total: 2,7 μmol/L, indirecta: 1,9 μmol/L). Como parte del estudio de síndrome de pérdida de peso no intencionada se solicitaron anticuerpos para virus de la hepatitis C y VIH que fueron negativos, antígeno de superficie de hepatitis B negativo y reagina plasmática rápida no reactiva.

La tomografía axial computarizada (TAC) abdominal reveló esplenomegalia con múltiples imágenes nodulares en su parénquima, alteración focal en el contorno del lóbulo hepático derecho por un nódulo isodenso, además de compromiso nodular de la grasa del omento mayor y adenomegalias en el hilio hepático y en retroperitoneo, con líquido ascítico. La TAC de tórax identificó múltiples imágenes nodulares en el parénquima pulmonar con lesiones granulomatosas en el lóbulo medio, sin otras alteraciones. Hallazgos similares se confirmaron en la resonancia magnética (RM) abdominal contrastada, lo que plantea la posibilidad de una enfermedad neoplásica (Figura 1).

Figura 1 RM de abdomen que muestra nódulos hipointensos en el bazo (flecha), adenomegalias en el hilio hepático y retroperitoneales. Además, se evidencia un patrón nodular de implantes peritoneales perihepáticos y en el omento mayor. Archivo de los autores. 

Se realizó una laparoscopia diagnóstica con toma de biopsia, que evidenció macroscópicamente múltiples nódulos en el peritoneo parietal menores de 5 mm en todos los cuadrantes, sin otros hallazgos. Se dejó un dren de Blake con el que se obtuvieron 500 mL de líquido peritoneal de aspecto turbio y hemático con pleocitosis linfocítica (1955 leucocitos/mm3, linfocitos en el 80% y neutrófilos en el 19,8%), hemoperitoneo (16 000 hematíes/mm3), gradiente de albúmina plasma-líquido ascítico (GASA): 1,1 g/dL, glucosa: 81 mg/dL, proteínas: 2,4 mg/dL, albúmina: 1,1 g/dL, lactato deshidrogenasa (LDH): 115 U/L, sin identificar microorganismos en la tinción de Gram ni en la coloración de Gomory ni en el cultivo. Un gradiente GASA de 1,1 g/dL o mayor sugiere la posibilidad de hipertensión portal, y se tienen que considerar etiologías como cirrosis, hepatitis alcohólica, ascitis cardíaca, trombosis de la vena porta, síndrome de Budd-Chiari y metástasis hepáticas, sin hallazgos compatibles en las imágenes. Por otra parte, su nivel de albúmina menor de 2,5 mg/dL no se relacionaba con pérdidas renales, sino más bien con sarcopenia global y su desnutrición proteica calórica grave. Por tanto, a pesar del puntaje de GASA, se planteó como diagnóstico diferencial la carcinomatosis frente a tuberculosis peritoneal, en la que la baciloscopia y el Gene Xpert fueron negativos para bacilos resistentes al ácido-alcohol (BAAR); no obstante, la prueba de adenosina desaminasa (ADA) reportó un valor de 178 UI/L, altamente sugestivo de tuberculosis peritoneal.

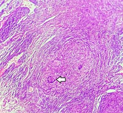
La histopatología de peritoneo mostró una inflamación granulomatosa crónica no necrotizante, consistente con tuberculosis peritoneal (Figura 2).

Figura 2 Biopsia de muestra de peritoneo tomada en laparoscopia. Se reconoce un granuloma en la región central, constituido por células epitelioides y células gigantes tipo Langhans, con núcleos en la hendidura, sin áreas de necrosis central, indicativo de tuberculosis peritoneal. Archivo de los autores. 

Ante este resultado, infectología inició el manejo antituberculoso con isoniazida 75 mg, rifampicina 150 mg, pirazinamida 400 mg y etambutol 275 mg, 4 tabletas al día de lunes a sábado, más piridoxina una tableta de 50 mg/día. Luego de dos días del inicio del tetraconjugado, el paciente presentó alteración del alertamiento, disociación de nitrógeno ureico sanguíneo (BUN)/creatinina, asociado a una lesión renal aguda prerrenal y a un desorden hidroelectrolítico dado por hiperpotasemia grave sin cambios electrocardiográficos, que fueron tratados con líquidos intravenosos, solución polarizante, gluconato de calcio y resinas de intercambio. Como una causa potencial, tenía un suplemento nutricional por vía parenteral para el manejo de la desnutrición grave, por lo que era probable un síndrome de realimentación. Pero aparte se detectó una alteración en el perfil bioquímico hepático con elevación de transaminasas, índice R: 4,6, con hiperbilirrubinemia directa y aumento de la fosfatasa alcalina que llevó a considerar que el patrón mixto hepatocelular y colestásico se debía a una enfermedad hepática inducida por fármacos (DILI) y se indicó suspender el manejo con antituberculosos, lo que produjo una disminución progresiva de los niveles de transaminasas.

Mientras se encontraba en la estancia hospitalaria, antes de que se pudiera contemplar el retorno del manejo con tetraconjugado inició con fiebre, taquicardia, hipotensión, taquipnea, desaturación y elevación de marcadores inflamatorios, por lo que requirió intubación, traslado a la unidad de cuidados intensivos (UCI) e inicio de esquema vasopresor para el manejo del choque séptico. Ante la alta sospecha de inmunosupresión, infectología indicó una pauta antibiótica de amplio espectro con vancomicina, meropenem y caspofungina. Se detectó una consolidación extensa en el pulmón izquierdo y derrame pleural bilateral en la radiografía de tórax, además de que la fibrobroncoscopia mostró endobronquitis crónica sin sangrado reciente y en los hemocultivos se detectó Enterobacter cloacae. Cirugía general realizó un drenaje percutáneo de 1500 mL de líquido pleural en el lado izquierdo, 400 mL en el derecho y dejó un catéter pigtail. Luego de 7 días de terapia del hit infeccioso el paciente falleció, debido a una falla multisistémica producto de la sepsis de origen pulmonar.

Discusión

El abordaje diagnóstico de la tuberculosis peritoneal impone 3 grandes barreras: evolución clínica insidiosa, síntomas no específicos y limitadas pruebas diagnósticas disponibles3. Adicionalmente, la ausencia de signos clínicos específicos y la naturaleza paucibacilar de la enfermedad hacen que el diagnóstico se fundamente en estudios histopatológicos de biopsias peritoneales obtenidas vía laparoscópica. Por tanto, es necesario emplear un modelo de 4 pasos conformado por laboratorios convencionales, imágenes (ecografía, TAC y RM), laboratorio microbiológico y estudio histopatológico. Dentro de los laboratorios convencionales en la aproximación inicial, el hemograma puede poner en evidencia una anemia leve de volúmenes normales y trombocitosis, con elevación de la velocidad de eritrosedimentación globular y de la proteína C-reactiva e hipoalbuminemia7. El líquido ascítico en términos macroscópicos tiende a describirse como cetrino en el 77% de los casos, aunque también puede ser turbio, quiloso o hemático8. Dentro del perfil citoquímico se tiende a apreciar una pleocitosis entre 500 y 1500 leucocitos, con predominio linfocitico (> 60% del recuento celular total), la proteína en el líquido es de 25 g/L de forma invariable y el índice de GASA es menor o igual a 1,1.

La ecografía y la TAC revelan ascitis libre o loculada, linfadenopatías, engrosamiento peritoneal, mesentérico y del omento. La TAC clásicamente identifica ascitis de alta densidad, entre 25 y 40 unidades Hounsfield9. La realización de estudios microbiológicos directos en la tuberculosis peritoneal aún sigue siendo un reto debido a la sensibilidad subóptima de las herramientas disponibles, la naturaleza paucibacilar y el efecto dilucional de la ascitis10. La tinción de Ziehl-Neelsen en el líquido ascítico es positiva en menos del 6% de los casos y el rendimiento del cultivo es menor de 58%; sin embargo, se puede mejorar dicho rendimiento usando un volumen más importante de líquido peritoneal (> 1 litro) con centrifugación de la muestra11. Un estudio evaluó la sensibilidad del Xpert MTB/RIF en el líquido ascítico, la cual oscilaba entre 8% y 50%, y se obtuvieron mejores resultados cuando se combinaba con tinción, cultivo, histología y la prueba de adenosina desaminasa (ADA)12. Es fundamental considerar que un líquido ascítico con prueba de ADA positivo es altamente sugestivo de tuberculosis peritoneal, con un punto de corte establecido de 30 UI/L, que llega a una sensibilidad del 93% y especificidad del 96%, respectivamente13. El último paso dentro del abordaje corresponde al estudio histopatológico, idealmente de muestras de lesiones nodulares del peritoneo, obtenidas por laparoscopia; representa el estándar de oro para el diagnóstico de la tuberculosis peritoneal, cuya descripción típica consiste en la presencia de lesiones granulomatosas conformadas por células gigantes multinucleadas tipo Langerhans, asociadas a áreas de necrosis central caseosa.

En el caso reportado, la presentación clínica de dolor abdominal de evolución insidiosa, ascitis, pérdida de peso y fiebre, además de los estudios diagnósticos (laboratorio convencional, imágenes diagnósticas, laboratorio microbiológico e histopatología) permitieron concluir el diagnóstico de una tuberculosis diseminada tanto peritoneal y ganglionar como hepatoesplénica. No obstante, el diagnóstico y el inicio del manejo con tetraconjugado antituberculoso fueron tardíos, teniendo en cuenta que en búsqueda de los factores de riesgo para una infección invasiva inicialmente no existía un contacto epidemiológico evidente, era muy probable un estado de inmunosupresión, pero no se encontraron causas potenciales y se sospechó una enfermedad hepática preexistente, aunque las imágenes no eran compatibles con cirrosis hepática ni con hipertensión portal. El retraso en el inicio del tratamiento influyó para que hubiera una evolución progresiva de la historia natural de la infección por tuberculosis en estrecha relación con su precario estado nutricional que facilitó la invasión al peritoneo, lo que a su vez agravó más la desnutrición. Todo esto llevó al paciente a fallecer producto de una complicación infecciosa a pesar del manejo antibiótico.

Conclusión

Aunque la tuberculosis peritoneal continúa representando un reto diagnóstico importante, esta deberá sospecharse en todo paciente con ascitis inflamatoria refractaria a paracentesis terapéutica y tratamiento antibiótico, particularmente en aquellos países donde la tuberculosis es endémica, como Colombia. Ningún examen de laboratorio, histopatológico o imagenológico es diagnóstico de forma aislada, por lo que se requiere un abordaje conjunto de ecografía y tomografía abdominal, prueba de ADA, Xpert TBC/RIF, tinción de Ziehl-Neelsen, cultivos en medios sólidos y líquidos y biopsia de lesiones nodulares de peritoneo; por ende, el enfoque terapéutico como diagnóstico de estos pacientes deberá ser desarrollado por un equipo multidisciplinario, en el caso en cuestión con el aporte de medicina interna, cirugía, infectología y cuidados intensivos.

REFERENCIAS

1. Dineen P, Homan W, Grafe W. Tuberculous Peritonitis. Ann Surg. 1976;184(6):717-722. https://doi.org/10.1097/00000658-197612000-00010Links ]

2. Peto H, Pratt R, Harrington T, LoBue P, Armstrong L. Epidemiology of Extrapulmonary Tuberculosis in the United States, 1993-2006. Clinical Infectious Diseases. 2009;49(9):1350-7. https://doi.org/10.1086/605559Links ]

3. Uygur-Bayramiçli O. A clinical dilemma: abdominal tuberculosis. World J Gastroenterol. 2003;9(5):1098-101. https://doi.org/10.3748/wjg.v9.i5.1098Links ]

4. Guirat A, Koubaa M, Mzali R, Abid B, Ellouz S, Affes N, et al. Peritoneal tuberculosis. Clin Res Hepatol Gastroenterol. 2011;35(1):60-69. https://doi.org/10.1016/j.gcb.2010.07.023Links ]

5. Koff A, Azar M. Diagnosing peritoneal tuberculosis. BMJ Case Reports. 2020;13(2):e233131. https://doi.org/10.1136/bcr-2019-233131Links ]

6. Norbis L, Alagna R, Tortoli E, Codecasa L, Migliori G, Cirillo D. Challenges and perspectives in the diagnosis of extrapulmonary tuberculosis. Expert Rev Anti Infect Ther. 2014;12(5):633-47. https://doi.org/10.1586/14787210.2014.899900Links ]

7. Marshall J. Tuberculosis of the gastrointestinal tract and peritoneum. Pediatr Infect Dis J. 1994;13(4):341. https://doi.org/10.1097/00006454-199404000-00031Links ]

8. Manohar A, Simjee A, Haffejee A, Pettengell K. Symptoms and investigative findings in 145 patients with tuberculous peritonitis diagnosed by peritoneoscopy and biopsy over a five year period. Gut. 1990;31(10):1130-1132. https://doi.org/10.1136/gut.31.10.1130Links ]

9. Sanai F, Bzeizi K. Systematic review: tuberculous peritonitis - presenting features, diagnostic strategies and treatment. Aliment Pharmacol Ther. 2005;22(8):685-700. https://doi.org/10.1111/j.1365-2036.2005.02645.xLinks ]

10. Norbis L, Alagna R, Tortoli E, Codecasa L, Migliori G, Cirillo D. Challenges and perspectives in the diagnosis of extrapulmonary tuberculosis. Expert Review of Anti-infective Therapy. 2014;12(5):633-47. https://doi.org/10.1586/14787210.2014.899900Links ]

11. Obaid Shakil A, Korula J, Kanel G, Murray N, Reynolds T. Diagnostic features of tuberculous peritonitis in the absence and presence of chronic liver disease: A case control study. Am J Med. 1996;100(2):179-85. https://doi.org/10.1016/S0002-9343(97)89456-9Links ]

12. Sharma S, Kohli M, Chaubey J, Yadav R, Sharma R, Singh B, et al. Evaluation of Xpert MTB/RIF assay performance in diagnosing extrapulmonary tuberculosis among adults in a tertiary care centre in India. Eur Respir J. 2014;44(4):1090-3. https://doi.org/10.1183/09031936.00059014Links ]

13. Shen Y, Wang T, Chen L, Yang T, Wan C, Hu Q, et al. Systematic review/Meta-analysis Diagnostic accuracy of adenosine deaminase for tuberculous peritonitis: a meta-analysis. Arch Med Sci. 2013;4(4):601-7. https://doi.org/10.5114/aoms.2013.36904Links ]

Citación: Rivera-Martínez WA, Pantoja-Rosero ME, Chaves-Cabrera HA, Yory-Montalvo N, Velásquez-García F, Ocampo-Posada M. Presentación grave de una tuberculosis peritoneal: reporte de caso clínico. Revista. colomb. Gastroenterol. 2023;38(3):368-372. https://doi.org/10.22516/25007440.961

Derecho a la privacidad y consentimiento informado Los autores declaran que en este artículo no aparecen datos que permitan la identificación del paciente. El paciente otorgó consentimiento para la publicación y la autorización reposa en poder del autor para correspondencia

Fuente de financiación Ninguna

Recibido: 28 de Agosto de 2022; Aprobado: 13 de Diciembre de 2022

*Correspondencia: Wilfredo Antonio Rivera-Martínez. antonioriveramartinez@gmail.com

Conflictos de interés

Los autores declaran que no existen conflictos de interés de ninguna índole

Contribución de los autores

Los autores contribuyeron equitativamente en la elaboración del manuscrito. Todos los autores revisaron y aprobaron la versión final del artículo

Creative Commons License This is an open-access article distributed under the terms of the Creative Commons Attribution License