SciELO - Scientific Electronic Library Online

 
vol.38 número3Masa periampular como presentación inusual de coccidioidomicosis. Reporte de un caso y revisión de la literaturaHepatitis granulomatosa, descifrando un soslayado espectro: enfoque basado en un caso clínico índice de autoresíndice de materiabúsqueda de artículos
Home Pagelista alfabética de revistas  

Servicios Personalizados

Revista

Articulo

Indicadores

Links relacionados

  • En proceso de indezaciónCitado por Google
  • No hay articulos similaresSimilares en SciELO
  • En proceso de indezaciónSimilares en Google

Compartir


Revista colombiana de Gastroenterología

versión impresa ISSN 0120-9957versión On-line ISSN 2500-7440

Rev. colomb. Gastroenterol. vol.38 no.3 Bogotá jul./set. 2023  Epub 19-Ene-2024

https://doi.org/10.22516/25007440.969 

Reporte de caso

Enfermedad de Crohn en un paciente con tuberculosis: un reto diagnóstico y terapéutico

Santiago Revelo-Moreno1  * 
http://orcid.org/0000-0002-4523-0796

Luz Daniela Gómez-Suta2 
http://orcid.org/0000-0001-9809-3150

Jairo Alfredo Guevara-Guzmán3 
http://orcid.org/0000-0002-4876-0004

1Physician, Internal Medicine specialist, Universidad Tecnológica de Pereira, Colsubsidio SURA Medical Center (PAC). Bogotá, Colombia

2Physician, Internal Medicine resident, Universidad Tecnológica de Pereira. Pereira, Colombia.

3Physician, Internal Medicine, Gastroenterology, and Digestive Endoscopy specialist, Universidad Militar Nueva Granada. Professor of Gastroenterology, Universidad Tecnológica de Pereira, Gastro Elite S. A. S. Pereira, Colombia.


Resumen

Introducción:

la enfermedad de Crohn (EC) es inusual en Colombia. La tuberculosis (TB) se presenta con mayor frecuencia, pero el compromiso intestinal es raro. Diferenciar estas dos entidades y el tratamiento de los casos en los que coexisten es un reto.

Caso clínico:

hombre de 28 años con 3 meses de síntomas constitucionales, respiratorios y gastrointestinales al que en un inicio se le confirmó el diagnóstico de tuberculosis pulmonar y se le atribuyó a esta entidad todas las manifestaciones clínicas. Ante la ausencia de mejoría con el tratamiento y la suma de hallazgos radiológicos, endoscópicos y patológicos, se confirmó EC. El tratamiento fue difícil debido a la coexistencia de las dos entidades, aunque finalmente presentó remisión con el uso de biológicos.

Discusión:

diagnosticar la EC requiere de la sumatoria de hallazgos clínicos y paraclínicos. Para diferenciarla de TB intestinal puede llegar a ser necesaria una prueba terapéutica. El tratamiento de EC en un paciente con TB tiene algunas limitaciones, los esteroides no se contraindican de manera absoluta y el inicio de biológicos debe hacerse con precaución.

Conclusiones:

diferenciar la EC de la TB intestinal es un reto diagnóstico. El enfoque terapéutico cuando coexisten estas dos entidades requiere un abordaje interdisciplinario.

Palabras clave: Enfermedad de Crohn; tuberculosis; diagnóstico diferencial

Abstract

Introduction:

Crohn’s disease (CD) is unusual in Colombia. Tuberculosis (TB) occurs more frequently, but intestinal involvement is rare. Differentiating these two entities and treating the cases in which they coexist is a challenge.

Clinical case:

A 28-year-old man with three months of constitutional, respiratory, and GI symptoms was initially diagnosed with pulmonary tuberculosis, and all the clinical manifestations were attributed to this entity. Given the absence of improvement with treatment and the sum of radiological, endoscopic, and pathological findings, CD was confirmed. Treatment was complex due to the coexistence of the two entities, although he finally went into remission with the use of biologicals.

Discussion:

Diagnosing CD requires the sum of clinical and paraclinical findings. A therapeutic test may be necessary to differentiate it from intestinal TB. The treatment of CD in a patient with TB has some limitations; steroids are not contraindicated, and biologicals must be initiated cautiously.

Conclusions:

Differentiating CD from intestinal TB is a diagnostic challenge. Therapeutic management when these two entities coexist requires an interdisciplinary approach.

Keywords: Crohn’s disease; tuberculosis; differential diagnosis

Introducción

La enfermedad de Crohn (EC) hace parte de la enfermedad inflamatoria intestinal y su presentación es infrecuente en Colombia: se reporta una incidencia de 0,74 por 100 000 personas por año1. Por otro lado, la tuberculosis (TB) es una entidad más frecuente, con una incidencia de 22,6 a 28,9 casos por cada 100 000 habitantes2, pero el compromiso intestinal no es usual, solo representa el 3,5% de los casos de tuberculosis extrapulmonar3. La TB intestinal compromete principalmente el íleon terminal y ciego, puede llevar a formación de úlceras y fístulas4 y en estudios histopatológicos se puede encontrar formación de granulomas; es uno de los principales diagnósticos diferenciales en pacientes con sospecha de EC5.

Diferenciar estas patologías no solo representa un alto nivel de complejidad desde el punto de vista diagnóstico, sino también terapéutico, ya que algunos tratamientos como los biológicos pueden llevar a incrementar el riesgo de infecciones6. Se presenta el caso de un paciente con TB pulmonar y EC.

Caso clínico

Se trata de un hombre de 28 años con un cuadro clínico de 3 meses de dolor abdominal y diarrea con sangre, sin grasa, que lo despertaban y persistían a pesar del ayuno. En la revisión por sistemas manifestaba tos ocasional y pérdida involuntaria de peso de 30 kilogramos en los últimos 3 años. Los antecedentes personales y familiares eran negativos. Le realizaron radiografía y tomografía de tórax que fueron sugestivas de TB, entidad confirmada por muestras de lavado broncoalveolar con tinción de Ziehl-Neelsen, PCR y cultivos positivos, sin evidencia de resistencia farmacológica. La colonoscopia mostraba colitis e ileítis con hallazgos en la histopatología de ileítis crónica inespecífica y colitis crónica inespecífica con un componente activo focal. Por el contexto clínico de TB pulmonar y con alto índice de sospecha se diagnosticó TB intestinal, por lo que se le administró al paciente rifampicina, isoniazida, pirazinamida y etambutol.

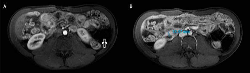
A los 6 meses manifestaba mejoría de los síntomas respiratorios y constitucionales, pero ingresó al servicio hospitalario por persistencia de dolor abdominal y diarrea. Se confirmó adherencia a la terapia antituberculosa y los estudios microbiológicos para TB fueron negativos. Entre los laboratorios realizados tenía calprotectina fecal de 2060 μg/g (Tabla 1) y en la enterorresonancia, suboclusión intestinal en el íleon (Figura 1). Se realizó una nueva ileocolonoscopia que identificó pliegues cecales, orificio apendicular y válvula ileocecal con edema grave cubierto de úlceras con sangrado fácil y edema que comprometía el colon ascendente proximal. Además, se tomaron biopsias que reportaron enfermedad inflamatoria intestinal con ulceración crónica y granulomas (Figura 2). Se hizo el diagnóstico de EC con un índice de actividad de enfermedad de Crohn (CDAI) de 421 puntos, controvertidamente se decidió postergar los corticoides y se inició el tratamiento con azatioprina.

Figura 1 Enterorresonancia con contraste. A. En fase arterial: engrosamiento del íleo (+). B. En fase portal: engrosamiento del íleo con pared de 13 milímetros. Imagen propiedad de los autores. 

Tabla 1 Hallazgos de laboratorio del paciente 

Estudio Resultado
Hemograma Leucocitos: 9,98 x 103 UI/L, neutrófilos: 8 x 103 UI/L, linfocitos: 1,2 x 103 UI/L, hemoglobina: 9,2 g/dL, VCM: 89 fL, RDW: 19,1%, PQT: 503 000
Albúmina 2,82 g/dL
Calprotectina fecal 2060 μg/g
Anticuerpos VIH 1 y 2 Negativo

PQT: conteo absoluto de plaquetas; RDW: amplitud de distribución eritrocitaria; VCM: volumen corpuscular medio; VIH: virus de la inmunodeficiencia humana. Tabla propiedad de los autores.

Figura 2 Biopsia: mucosa de colon, en la submucosa hay un granuloma no necrótico, no caseificante, con células gigantes multinucleadas incipientes. Círculo: granuloma. Flecha: célula gigante. Imagen propiedad de los autores. 

Al mes consultó por dolor abdominal, por lo que se le realizó una nueva tomografía que reportó enteritis en el yeyuno, neumoperitoneo y colecciones. Fue llevado a una laparotomía en la que se evidenció obstrucción de intestino delgado proximal y distal, granulomas en el meso del intestino delgado, perforación del yeyuno medio con plastrón que comprometía el íleon distal y trayecto fistuloso. Se realizó una resección y anastomosis de intestino. Culminado el tratamiento de TB se inició terapia biológica con adalimumab hasta una dosis de mantenimiento de 40 mg subcutáneo cada 2 semanas. La evolución clínica fue favorable, 1 año después asistió a un control ambulatorio de gastroenterología en remisión clínica y sin complicaciones, y una nueva colonoscopia no evidenció alteraciones (Figura 3).

Figura 3 Imágenes de colonoscopia del paciente sin evidencia de actividad de la enfermedad. Imagen propiedad de los autores. 

Discusión

La EC suele presentarse entre la segunda y cuarta décadas de la vida, como en el presente caso7, con cierto predominio en mujeres8. El paciente no presentaba ningún factor de riesgo como historia familiar o tabaquismo9.

En el caso presentado, los síntomas constitucionales y respiratorios llevaron a un rápido diagnóstico de TB, la cual podía explicar los hallazgos gastrointestinales como manifestación extrapulmonar; no obstante, ante la persistencia de los síntomas a pesar de haber implementado la terapia antituberculosa, se consideró la EC como diagnóstico diferencial.

Aunque controvertido y reservado para casos muy seleccionados, cuando existe confusión entre EC y TB en países donde la TB es frecuente, algunos autores recomiendan una prueba terapéutica con antituberculosos para corroborar a los 3 meses la mejoría clínica y a los 6 meses mucosa sana en casi el 100% de los pacientes con TB10, lo que no ocurrió en este paciente. Adicional a esto, los hallazgos de la enterorresonancia, histopatología y laboratorios como la calprotectina fecal elevada (con sensibilidad y especificidad aproximadas de 90% y 80% respectivamente)11,12 permitieron hacer el diagnóstico de EC.

El paciente tenía un CDAI moderado, los esteroides estarían indicados13, pero no fueron iniciados ya que el paciente se encontraba terminando la segunda fase de tratamiento para TB. Se debe aclarar que el uso de esteroides en dosis mayores de 15 mg de prednisolona cada día confiere un odds ratio de 7,7 para infecciones, pero no es una contraindicación absoluta para iniciarlos en casos como este14. La azatioprina es una alternativa, aunque no induce remisión de una enfermedad activa. Otra opción a considerar, por tratarse de un hombre menor de 35 años, habría sido el metotrexato con el fin de evitar el aumento del riesgo de linfoma hepatoesplénico por tiopurinas, pero tampoco se recomienda para la inducción de remisión de la enfermedad13.

El paciente presentó una complicación estenosante y penetrante de EC, este evento y ser menor de 30 años son factores de riesgo de recurrencia, la cual se presenta hasta en el 84% de los casos posquirúrgicos15. Se decidió iniciar terapia biológica; el vedolizumab, un anticuerpo contra la integrina α4β7 ha demostrado beneficio en EC16 e incluso buena tolerancia sin aumento en el riesgo de infecciones oportunistas frente al placebo17; pero aun así no hay evidencia que lo respalde como medicamento de primera línea, pues no parece ser superior para la inducción ni para el mantenimiento de remisión frente a otros biológicos18. Por esto, y sumado a las complicaciones y alto riesgo del paciente, se inició antifactor de necrosis tumoral (anti-TNF), lo que fue una decisión difícil ya que el infliximab, por ejemplo, ha evidenciado un riesgo relativo de 18,6 para la activación de TB19. No hay claridad del momento para iniciar anti-TNF en TB, pero series de casos parecen mostrar seguridad en quienes han tenido una respuesta clínica evidente, cuenten con resultados de susceptibilidad a fármacos y hayan completado los dos primeros meses de la fase intensiva de antituberculosos19,20.

Pacientes como este requieren de un manejo multidisciplinario donde no solo el gastroenterólogo supervise su tratamiento, sino también otras especialidades como neumología, infectología, medicina interna y coloproctología.

Conclusión

El diagnóstico de EC en un paciente con TB es difícil por la similitud del compromiso intestinal entre estas dos entidades. La dificultad también es terapéutica, ya que se pueden omitir tratamientos benéficos para la EC, como los esteroides, y retrasar el inicio de terapia biológica. Tener presentes las contraindicaciones de estos fármacos y aplicar algoritmos que permitan diferenciar las dos entidades es de gran utilidad clínica para mejorar los desenlaces y evitar complicaciones.

REFERENCIAS

1. Juliao F, Damas OM, Arrubla M, Calixto OJ, Camargo JL, Cruz L, et al. The Prevalence of Inflammatory Bowel Disease in Colombia is Increasing: Report on the National Prevalence of IBD and Description of IBD Phenotype. Gastroenterology. 2019;156(6):S-405-S-. https://doi.org/10.1016/S0016-5085(19)37865-5Links ]

2. Cruz Martínez OA. Informe de evento Tuberculosis año 2021. Programa nacional de prevención y control de la tuberculosis [Internet]. Minsalud; 2021 [actualizado noviembre 2021; citado 25 de junio de 2022]. Disponible en: Disponible en: https://www.minsalud.gov.co/sites/rid/Lists/BibliotecaDigital/RIDE/VS/PP/ET/comportamiento-tuberculosis-2020.pdfLinks ]

3. Raviglione MC, Gori A. Tuberculosis. En: Loscalzo J, Fauci A, Kasper D, Hauser S, Longo D, Jameson JL (editores). Harrison’s Principles of Internal Medicine 21.a edición. Nueva York: McGraw-Hill Education; 2022. p. 1357-1381. [ Links ]

4. Eraksoy H. Gastrointestinal and Abdominal Tuberculosis. Gastroenterol Clin North Am.2021;50(2):341-60. https://doi.org/10.1016/j.gtc.2021.02.004Links ]

5. Oñate-Ocaña LF, Pérez-Díaz L. Intestinal Tuberculosis. N Engl J Med. 2022;386(13):e30. https://doi.org/10.1056/NEJMicm2114345Links ]

6. Bonovas S, Fiorino G, Allocca M, Lytras T, Nikolopoulos GK, Peyrin-Biroulet L, et al. Biologic Therapies and Risk of Infection and Malignancy in Patients With Inflammatory Bowel Disease: A Systematic Review and Network Meta-analysis. Clin Gastroenterol Hepatol. 2016;14(10):1385-97.e10. https://doi.org/10.1016/j.cgh.2016.04.039Links ]

7. Johnston RD, Logan RF. What is the peak age for onset of IBD? Inflammatory bowel diseases. 2008;14 Suppl 2:S4-5. https://doi.org/10.1002/ibd.20545Links ]

8. Juliao-Baños F, Puentes F, López R, Saffon MA, Reyes G, Parra V, et al. Characterization of inflammatory bowel disease in Colombia: Results of a national register. Rev Gastroenterol Mex (English). 2021;86(2):153-62. https://doi.org/10.1016/j.rgmx.2020.05.005Links ]

9. Feldman M, Friedman LS, Brandt LJ. Sleisenger and Fordtran’s gastrointestinal and liver disease: pathophysiology, diagnosis, management. 11.a edición. Elsevier Health Sciences; 2020. [ Links ]

10. Kedia S, Das P, Madhusudhan KS, Dattagupta S, Sharma R, Sahni P, et al. Differentiating Crohn’s disease from intestinal tuberculosis. World J Gastroenterol. 2019;25(4):418-32. https://doi.org/10.3748/wjg.v25.i4.418Links ]

11. Waugh N, Cummins E, Royle P, Kandala N, Shyangdan D, Arasaradnam R, et al. Faecal calprotectin testing for differentiating amongst inflammatory and non-inflammatory bowel diseases: systematic review and economic evaluation. Health Technol Assess. 2013;17(55):xv-xix, 1-211. https://doi.org/10.3310/hta17550Links ]

12. Lewis JD. The utility of biomarkers in the diagnosis and therapy of inflammatory bowel disease. Gastroenterology. 2011;140(6):1817-26.e2. https://doi.org/10.1053/j.gastro.2010.11.058Links ]

13. Juliao-Baños F, Ovalle LFP, Regino WO, de Sánchez MTG, Duperly RG, Torres M. Guía de práctica clínica para el tratamiento de la enfermedad de Crohn en población adulta. Rev Colomb Gastroenterol. 2020;35(Supl 2):63-200. https://doi.org/10.22516/25007440.637Links ]

14. Youssef J, Novosad SA, Winthrop KL. Infection Risk and Safety of Corticosteroid Use. Rheum Dis Clin North Am. 2016;42(1):157-76, ix-x. https://doi.org/10.1016/j.rdc.2015.08.004Links ]

15. Lamb CA, Kennedy NA, Raine T, Hendy PA, Smith PJ, Limdi JK, et al. British Society of Gastroenterology consensus guidelines on the management of inflammatory bowel disease in adults. Gut. 2019;68(Suppl 3):s1-s106. https://doi.org/10.1136/gutjnl-2019-318484Links ]

16. Sandborn WJ, Feagan BG, Rutgeerts P, Hanauer S, Colombel JF, Sands BE, et al. Vedolizumab as induction and maintenance therapy for Crohn’s disease. New Eng J Med. 2013;369(8):711-21. https://doi.org/10.1056/NEJMoa1215739Links ]

17. Colombel JF, Sands BE, Rutgeerts P, Sandborn W, Danese S, D’Haens G, et al. The safety of vedolizumab for ulcerative colitis and Crohn’s disease. Gut . 2017;66(5):839-51. https://doi.org/10.1136/gutjnl-2015-311079Links ]

18. Singh S, Fumery M, Sandborn WJ, Murad MH. Systematic review and network meta-analysis: first- and second-line biologic therapies for moderate-severe Crohn’s disease. Aliment Pharmacol Ther. 2018;48(4):394-409. https://doi.org/10.1111/apt.14852Links ]

19. Dobler CC. Biologic Agents and Tuberculosis. Microbiol Spectr. 2016;4(6). https://doi.org/10.1128/microbiolspec.TNMI7-0026-2016Links ]

20. Matsumoto T, Tanaka T, Kawase I. Infliximab for rheumatoid arthritis in a patient with tuberculosis. New Eng J Med. 2006;355(7):740-1. https://doi.org/10.1056/NEJMc053468Links ]

Citación: Revelo-Moreno S, Gómez-Suta LD, Guevara-Guzmán JA. Enfermedad de Crohn en un paciente con tuberculosis: un reto diagnóstico y terapéutico. Revista. colomb. Gastroenterol. 2023;38(3):378-382. https://doi.org/10.22516/25007440.969

Recibido: 15 de Septiembre de 2022; Aprobado: 13 de Diciembre de 2022

Correspondencia: Santiago Revelo-Moreno. sanrevmor@gmail.com

Creative Commons License This is an open-access article distributed under the terms of the Creative Commons Attribution License