Servicios Personalizados
Revista
Articulo
Indicadores
-
Citado por SciELO -
Accesos
Links relacionados
-
Citado por Google -
Similares en
SciELO -
Similares en Google
Compartir
Revista colombiana de Gastroenterología
versión impresa ISSN 0120-9957versión On-line ISSN 2500-7440
Rev. colomb. Gastroenterol. vol.38 no.4 Bogotá oct./dic. 2023 Epub 26-Feb-2024
https://doi.org/10.22516/25007440.986
Reporte de casos
Diagnóstico de enfermedad celíaca luego del inicio de medicación antituberculosa: reporte de un caso
1 Médica internista, Hospital San Vicente Fundación. Rionegro, Antioquia, Colombia.
2 Médico y cirujano. Médico general, Clínica Medellín, Grupo Quirón Salud. Medellín, Colombia.
3 Médica y cirujana. Residente de Patología, Universidad de Antioquia. Medellín, Colombia.
4 Médica general. Residente de Patología, Departamento de Patología, Universidad de Antioquia. Medellín, Colombia.
Se presenta el caso de un paciente joven, proveniente de Argentina y residente de un área rural, sin ningún antecedente médico a resaltar. Consultó al servicio de urgencias después de un trauma cerrado de tórax y durante los estudios de trauma se encontraron imágenes compatibles con tuberculosis pulmonar, diagnóstico realizado de manera incidental.
Luego del inicio de tratamiento presentó síntomas gastrointestinales dados por diarrea, dolor abdominal y pérdida de peso, lo que inicialmente se consideró un efecto adverso al tratamiento con rifampicina/isoniazida/pirazinamida/etambutol (RHZE). Al completar la primera fase del tratamiento y suspender la medicación mejoraron los síntomas, además de que las baciloscopias fueron negativas.
Posteriormente, llamó la atención la gravedad de los síntomas, por lo que se realizaron paraclínicos adicionales con resultados a favor de diarrea malabsortiva; teniendo en cuenta la procedencia del paciente y el hecho de que basaba su dieta en productos que él mismo cultivaba, sin haber exposición previa al gluten. Se sospecha enfermedad celíaca, y se obtuvieron anticuerpos y resultados en la biopsia compatibles con esta entidad. Al revisar la asociación de inicio de síntomas con el uso de tratamiento de RHZE/piridoxina, se observa que estos medicamentos pueden tener excipientes a base de trigo, lo que explica el empeoramiento de los síntomas, no por efectos adversos gastrointestinales del antibiótico sino por sus excipientes.
Finalmente, se analizó el caso, se descartó tuberculosis y se suspendió el tratamiento, redirigiendo el esfuerzo terapéutico hacia la recuperación del estado nutricional del paciente. Posteriormente, no se registran otros ingresos hospitalarios, continúa asintomático respiratorio, con ganancia de peso y recuperación nutricional.
Palabras clave: Enfermedad celíaca; trigo; tuberculosis; excipientes; reporte de caso
We present the case of a young patient from Argentina living in a rural area without any relevant medical history. He consulted the emergency department after blunt chest trauma, and during trauma studies, images compatible with pulmonary tuberculosis were found, a diagnosis made incidentally.
After starting treatment, he exhibited gastrointestinal symptoms such as diarrhea, abdominal pain, and weight loss, which were initially considered an adverse effect of treatment with rifampin/isoniazid/pyrazinamide/ethambutol (RHZE). Upon completing the first phase of treatment and suspending the medication, the symptoms improved, and the bacilloscopies were negative.
Subsequently, the severity of the symptoms drew attention. Additional paraclinical tests were performed with malabsorptive diarrhea results, considering the patient’s origin and the fact that his diet included products that he grew himself without prior exposure to gluten. Celiac disease is suspected, and antibodies and biopsy results compatible with this entity were obtained. When reviewing the association of symptom onset with the RHZE/pyridoxine treatment, we found these medications may have wheat-based excipients, which explains the worsening of symptoms, not due to the gastrointestinal adverse effects of the antibiotic but its excipients.
Finally, the case was analyzed, tuberculosis was ruled out, and treatment was suspended, refocusing the therapeutic effort on recovering the patient’s nutritional status. Subsequently, no other hospital admissions were recorded, and he remained respiratorily asymptomatic, with weight gain and nutritional recovery.
Keywords: Celiac disease; wheat; tuberculosis; excipients; case report
Introducción
La enfermedad celíaca (EC) es una enfermedad inflamatoria de origen autoinmune que afecta la mucosa del intestino delgado en individuos que son genéticamente susceptibles; la ingesta de gluten es el factor desencadenante y se observa una mejoría sintomática con la retirada de este. Se describe una prevalencia del 1% en la población general; en Sudamérica se calcula una prevalencia del 1,3%, y es mayor en países con ascendencia caucásica como Brasil y Argentina. En Colombia existen muy pocos estudios poblacionales, por lo que su prevalencia es desconocida; su presentación es variable: desde un curso silente hasta la presencia de síndromes de malabsorción. En el último siglo, se ha dado un aumento del uso de los productos a base de gluten, lo que podría explicar el aumento de casos.
Descripción de caso
Se presenta el caso de un paciente de 41 años, procedente de Argentina y residente en un área rural; vive en unión libre, tiene 2 hijos y es asesor pedagógico. No tiene antecedentes previos de importancia.
El cuadro clínico inició posterior a un trauma de tórax debido a un accidente de tránsito. Se realizó una tomografía de tórax cuyo hallazgo incidental fue una fibrosis apical sugestiva de tuberculosis (TB). No presentaba síntomas respiratorios, y debido a los hallazgos en la imagen fue llevado a un lavado broncoalveolar con detección de XpertMTB/RIF para TB. Se decidió iniciar el tratamiento tetraconjugado con rifampicina/isoniazida/pirazinamida/etambutol (RHZE), y se completó la primera fase con control de baciloscopias negativas (Figura 1).

Fuente: archivo de los autores.
Figura 1 Tomografía (TAC) de tórax con presencia de cambios fibrocicatriciales en el lóbulo superior izquierdo con tractos pleuroparenquimatosos, bronquiectasias por tracción y presencia de micronódulos.
Desde el inicio de tratamiento, el paciente manifestó síntomas gastrointestinales como náuseas, hiporexia, diarrea, pérdida de peso y aumento de transaminasas hasta 5 veces del límite superior normal, por lo que se suspendió el inicio de la segunda fase.
Al normalizar los valores de transaminasas, se inició la segunda fase de tratamiento con isoniazida y rifampicina (HR). Posteriormente, el sujeto manifestó la reaparición de los síntomas, motivo por el que consultó al servicio de urgencias; dada la gravedad de estos, se hospitalizó para llevar a cabo estudios adicionales.
Las pruebas hepáticas, renales y el hemoleucograma fueron normales, VIH negativo, y los estudios de inmunidad con subpoblación de linfocitos T e inmunoglobulinas fueron normales. El coprológico, el coprocultivo y la toxina C. difficile fueron negativas, y la colonoscopia y la tomografía de abdomen no tuvieron alteraciones. En la histopatología de colon, los eosinófilos están ligeramente aumentados, sin granulomas y con tinciones negativas. Se documentó una deficiencia de vitamina B12, ácido fólico y niveles bajos de prealbúmina, lo que orientó hacia una probable causa malabsortiva.
Se procedió con la realización de estudios dirigidos a causas menos frecuentes de diarrea crónica malabsortiva como la EC, dada la procedencia del paciente. Se llevó a cabo el perfil de anticuerpos cuyo resultado fue positivo, por lo que se realizó una endoscopia (EDS) para la toma de biopsias duodenales (Tabla 1, Figuras 2 y 3).
Tabla 1 Resultados de paraclínicos
| Paraclínico | Resultado | Valores de referencia para laboratorio |
|---|---|---|
| Anticuerpos antitransglutaminasa IgG | 27,3 | Positivo >10 UI/mL |
| Anticuerpos antitransglutaminasa tisular de IgA (TTG IgA) | >200 | Positivo >10 UI/mL |
IgA: inmunoglobulina A; IgG: inmunoglobulina G. Tabla elaborada por los autores

Fuente: archivo de los autores.
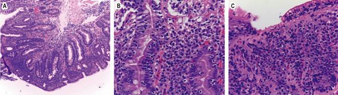
Figura 2 A. Mucosa intestinal con atrofia de las vellosidades, proliferación de las criptas (Marsh 3b), gran infiltrado inflamatorio mononuclear, de predominio linfocitario (H&E, X1000). B. Infiltrado linfocítico con exocitosis a la mucosa adyacente, no se observa displasia epitelial (H&E, X400). C. Erosión de la mucosa por el grave infiltrado inflamatorio (H&E, X4009).

Fuente: archivo de los autores.
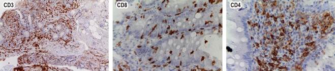
Figura 3 Inmunohistoquímica: positividad CD3 y CD8 en linfocitos intraepiteliales, CD4 negativo en linfocitos linfoepiteliales.
Teniendo en cuenta la clínica, los resultados de estudios complementarios y tratándose de un paciente procedente de Argentina, país donde es más prevalente la enfermedad, se confirmó el diagnóstico de EC. Llamaba la atención la temporalidad entre el inicio de la medicación y la presentación de síntomas, así como la suspensión del fármaco que conducía a la resolución de estos. Analizando la posible relación entre el consumo de RHZE/piridoxina y los síntomas de EC se encontró que estos medicamentos pueden contener excipientes a base de trigo, lo que explica la sintomatología del paciente no por los efectos adversos gastrointestinales del antibiótico, sino por sus excipientes. Por el sitio de residencia del paciente, este basaba su alimentación en productos cultivados y sin exposición habitual a derivados del gluten, lo que explica la ausencia de síntomas previos que orientaran al diagnóstico.
Se discutió el caso y se cuestionó el diagnóstico de TB pulmonar, pues solo se demostró positividad en la prueba molecular. Los cultivos fueron negativos y el paciente era asintomático respiratorio. Se descartó TB, se suspendió el tratamiento y se redireccionó el esfuerzo terapéutico hacia la recuperación del estado nutricional del paciente. Posteriormente, no se registraron otros ingresos hospitalarios y el paciente continúa asintomático respiratorio, con ganancia de peso y recuperación nutricional.
Discusión
La EC, a veces llamada celiaquía o enteropatía sensible al gluten, es una condición autoinmune desencadenada por el gluten en la dieta que se presenta en individuos con predisposición genética. Principalmente, se caracteriza por enteropatía a nivel del intestino delgado asociada con síntomas sistémicos causados por malabsorción secundaria y presencia de anticuerpos antitransglutaminasa.
Considerada inicialmente exclusiva de países con población predominantemente caucásica, a través de los años se han reportado casos de EC a nivel mundial, pero se desconoce su prevalencia exacta. Según datos extraídos de una revisión sistemática sobre la prevalencia global de la enfermedad celíaca, se estimó una prevalencia global de 1,4% (IC 95% 1,1-1,7) con base en el resultado positivo para anticuerpos antitransglutaminasa, y una prevalencia global de 0,7% (IC 95% 0,5-0,9) cuando la confirmación del diagnóstico se hacía mediante biopsia. Además, se estimó su distribución en los diferentes continentes, y Asia fue la región de mayor prevalencia con 1,8%, seguida por Oceanía y Norteamérica con 1,4%, Europa y Sudamérica con 1,3% y África con 1,1%1.
Se ha reportado un aumento anual del 7,5% de la enfermedad debido posiblemente a un mayor reconocimiento de esta, a la aplicación de métodos de cribado y al mejoramiento en técnicas de diagnóstico2. La prevalencia estimada en Latinoamérica es de 0,46% a 0,64%. En Argentina se calcula que afecta a 1 de cada 100 personas. Para Colombia, existen pocos estudios y no hay datos exactos3,4.
Presentamos un paciente argentino, país donde es frecuente esta patología. Incidentalmente, se realizó el diagnóstico de TB con inicio de tetraconjugado (RHZE). Posteriormente, el paciente inicia con síntomas gastrointestinales y elevación de transaminasas. Al asumir el cuadro clínico como efecto adverso a la medicación, pero ante la intensidad de los síntomas, se inician estudios de extensión con evidencia de síndrome malabsortivo dado por evidencia de pérdida de peso, hipoalbuminemia y déficit de vitamina B12.
Con estos síntomas sugerentes se realizan estudios para EC, inicialmente con evaluación serológica; ante el resultado de TTG IgA positivo (>10 veces del límite superior de la normalidad), se realiza una EDS con toma de biopsia duodenal con atrofia vellositaria y proliferación de las criptas, que da como resultado una clasificación histológica Marsh 3b, lo que confirma el diagnóstico.
La biopsia del intestino delgado es de suma importancia. Microscópicamente, en la EC las vellosidades están marcadamente atróficas o ausentes, pero el grosor general de la mucosa es esencialmente normal debido a la presencia de hiperplasia de las criptas. Hay un aumento de linfocitos y células plasmáticas que contienen inmunoglobulina en la lámina propia, y acumulación de glóbulos de grasa que representan lípidos parcialmente absorbidos en la superficie del epitelio. El aumento de linfocitos T intraepiteliales, aunque lejos de ser patognomónico, también es un hallazgo característico; en algunos casos, la arquitectura de las vellosidades es solo levemente atrófica o completamente normal, y el aumento de linfocitos intraepiteliales (IEL) puede ser la única evidencia de la enfermedad.
El sistema de clasificación más utilizado para EC en biopsias es una modificación de los criterios de Marsh (Marsh-Oberhuber) adoptados por los institutos nacionales de salud: grado 0 = normal; grado 1 = solo IEL; grado 2 = IEL más proliferación de criptas; grados 3 a, b, c = acortamiento leve, moderado y grave de las vellosidades, respectivamente; y grado 4 = mucosa atrófica con vellosidades planas5.
En la biopsia duodenal se observa una atrofia grave de las vellosidades de la mucosa del intestino con un gran infiltrado linfocitario, y en la inmunohistoquímica se observa positividad para CD3 y CD8; la gravedad de la atrofia y la presencia de linfocitos citotóxicos CD8+ son hallazgos específicos para enfermedad celíaca sobre otras entidades.
En este caso es llamativo el inicio de la presentación de síntomas luego de instaurado el tratamiento antituberculoso debido a que, en su alimentación habitual, el paciente no incluía productos a base de gluten; luego de revisar los excipientes de la tableta RHZE, se encontró el almidón de trigo dentro de los componentes de la pirazinamida, lo que explica la aparición de síntomas con el inicio del tratamiento y su resolución al suspenderlo en ambas fases del tratamiento.
Se puede encontrar un caso de similares características publicado por Cerezo-Lajas y colaboradores en 2016 en el que, al igual que en este caso, se suministró el tetraconjugado bajo la marca de Rimstar® (mismo que recibió nuestro paciente). Allí se observó una cadena de eventos similares: cuando se inició el tratamiento, comenzaban los síntomas y en cuanto se suspendió este se resolvieron los síntomas6.
Conclusión
La EC es una patología poco frecuente en Colombia, lo que ha llevado incluso a dudar de su presencia en el país. Sin embargo, debido a los patrones migratorios y la industrialización se espera un aumento de los casos. Los derivados del trigo cada vez son más utilizados en la elaboración de alimentos y otros productos, por ejemplo, forman parte de excipientes de medicamentos, que fue la clave diagnóstica en nuestro paciente.
Se debe aumentar el índice de sospecha en pacientes con clínica de diarrea malabsortiva y evaluar su respuesta a una dieta libre de gluten.
REFERENCIAS
1. Singh P, Arora A, Strand TA, Leffler DA, Catassi C, Green PH, et al. Global Prevalence of Celiac Disease: Systematic Review and Meta-analysis. Clin Gastroenterol Hepatol. 2018;16(6):823-36.e2. https://doi.org/10.1016/j.cgh.2017.06.037 [ Links ]
2. King JA, Jeong J, Underwood FE, Quan J, Panaccione N, Windsor JW, et al. Incidence of Celiac Disease Is Increasing over Time: A Systematic Review and Meta-analysis. Am J Gastroenterol. 2020;115(4):507-25. https://doi.org/10.14309/ajg.0000000000000523 [ Links ]
3. Parra-Medina R, Molano-Gonzalez N, Rojas-Villarraga A, Agmon-Levin N, Arango MT, Shoenfeld Y, et al. Prevalence of celiac disease in Latin America: A systematic review and meta-regression. PLoS One. 2015;10(5):e0124040. https://doi.org/10.1371/journal.pone.0124040 [ Links ]
4. Suarez-Correa J, López-Barreto JC, Mejía-Cardona AF, Paredes-Fernández AJ. Enfermedad celíaca: un reto diagnóstico en Colombia. Repert. Med. Cir. 2022;31(2):123-32. https://doi.org/10.31260/RepertMedCir.01217372.1159 [ Links ]
5. Dickson BC, Streutker CJ, Chetty R. Coeliac disease: an update for pathologists. J Clin Pathol. 2006;59(10):1008-16. https://doi.org/10.1136/jcp.2005.035345 [ Links ]
6. Cerezo-Lajas A, Caminero-Luna JA, Rodríguez-Guzmán MC, Miguel-Díez J. Tratamiento antituberculoso en un paciente con enfermedad celíaca. Archivos de Bronconeumologia. 2018;54(6):337-38. https://doi.org/10.1016/j.arbres.2017.12.009 [ Links ]
Citación: Mesa-Zuluaga MA, Franco-Henao J, Bedoya-López MA, Orejuela-Erazo JA. Diagnóstico de enfermedad celíaca luego del inicio de medicación antituberculosa: reporte de un caso. Revista. colomb. Gastroenterol. 2023;38(4):516-520. https://doi.org/10.22516/25007440.986
Recibido: 08 de Noviembre de 2022; Aprobado: 19 de Enero de 2023










texto en 



