Servicios Personalizados
Revista
Articulo
Indicadores
-
Citado por SciELO -
Accesos
Links relacionados
-
Citado por Google -
Similares en
SciELO -
Similares en Google
Compartir
Revista colombiana de Gastroenterología
versión impresa ISSN 0120-9957versión On-line ISSN 2500-7440
Rev. colomb. Gastroenterol. vol.37 no.1 Bogotá ene./mar. 2022 Epub 25-Mayo-2022
https://doi.org/10.22516/25007440.762
Reporte de caso
Equinococosis abdominal diseminada: reporte de caso
1General Surgery Resident, fourth year, Universidad Surcolombiana. Neiva, Colombia.
2General Surgery Specialist, Clinical Surgical Gastroenterologist. Associate Professor, Universidad Surcolombiana. Neiva, Colombia.
3General Practitioner, Universidad del Rosario. Bogotá, Colombia.
Se realiza la descripción de un caso de hidatidosis abdominal diseminada de un hombre de 21 años, quien consultó por cuadro clínico de dolor abdominal persistente después de un drenaje de absceso luego de una apendicetomía. Las imágenes mostraron múltiples lesiones quísticas en peritoneo, hígado y bazo. Por exacerbación del dolor, el paciente se lleva a laparotomía, donde se evidenciaron múltiples lesiones quísticas diseminadas en toda la cavidad abdominal, que se diagnosticaron a la histopatología como lesiones quísticas múltiples por equinococosis peritoneal y abdominal.
Palabras clave: Equinococosis; hidatidosis; abdominal; diagnóstico; tratamiento; seguimiento
We describe a case of disseminated abdominal hydatid disease in a 21-year-old man who presented with clinical symptoms of persistent abdominal pain after abscess drainage post-appendectomy. The images showed multiple cystic lesions in the peritoneum, liver, and spleen. Due to pain exacerbation, the patient was taken to laparotomy. Multiple cystic lesions scattered throughout the abdominal cavity were observed, which were diagnosed by histopathology as multiple cystic lesions due to peritoneal and abdominal echinococcosis.
Keywords: Echinococcosis; hydatidosis; abdominal; diagnosis; treatment; follow-up
Introducción
Aunque la equinococosis tiene una larga historia que se remonta a la antigüedad, todavía es una zoonosis relevante hoy en día, con un considerable impacto socioeconómico, que afecta a los humanos en muchas partes del mundo1. Es una enfermedad provocada por parásitos, específicamente los cestodos del género Echinococcus2. Las dos formas más importantes, que tienen trascendencia médica y de salud pública son la equinococosis quística (hidatidosis), causada por la infección por E. granulosus, y la equinococosis alveolar, causada por E. multilocularis2.
La equinococosis quística presenta una distribución mundial, con focos endémicos en todos los continentes habitados. La mayor prevalencia de esta enfermedad se ha encontrado en las zonas templadas, que incluye a los países mediterráneos, el sur y el centro de Rusia, Asia Central y China, y algunas regiones de Australia y América (especialmente Sudamérica). Como factores de riesgo para su adquisición se proponen el bajo nivel socioeconómico, la escasa educación sanitaria, vivir en áreas rurales y la relación con perros que estén en contacto con ganado o despojos de animales3. A pesar de que no tiene una alta mortalidad (2,2 %), sí presenta una elevada morbilidad, así como un impacto económico de miles de millones de dólares3.
El E. granulosus requiere de dos hospederos mamíferos para completar su ciclo de vida: un hospedero definitivo (carnívoro, especialmente el perro), donde se desarrolla la fase adulta, y un hospedero intermediario (ovinos, caprinos, cerdos, bovinos, entre otros), en donde se propaga la fase larvaria o quiste hidatídico. La infección en el hombre ocurre tras la ingestión accidental de los huevos del parásito. Estos llegan al intestino delgado, donde se produce la disolución de la cubierta de los huevos del parásito, y se liberan embriones que atraviesan la mucosa intestinal y pasan a la circulación venosa para llegar a los diferentes órganos. Con mayor frecuencia tienen localización hepática (67 %-89 %), seguida por la pulmonar (10 %-15 %); también pueden alcanzar otros órganos, como el riñón, el cerebro, el corazón, los huesos, el músculo, entre otros, aunque estas localizaciones no superan el 10 % de los casos detectados (Figura 1)4-6.

Figura 1 Ciclo de vida de la hidatidosis. Fuente: cortesía de la Centers for Disease Control and Prevention Image Library.
El período de incubación en el hombre es de varios años, pudiendo ser superior a 40 años. Los síntomas de la enfermedad se relacionan con la expansión del quiste y la presión sobre las estructuras adyacentes, así como por la infección, la ruptura y la diseminación del contenido quístico en las cavidades corporales vecinas. Cuando se rompen, espontáneamente o en forma secundaria a un traumatismo o cirugía, pueden originar una siembra con la formación de múltiples quistes (hidatidosis secundaria múltiple 20 %-40 %), infecciones bacterianas secundarias, reacciones anafilácticas, entre otros4,5.
Presentación del caso
Paciente masculino de 21 años, procedente de área rural, quien ingresa al servicio de urgencias refiriendo cuadro de 2 años de evolución que consiste en dolor abdominal difuso, descrito como sordo, mal definido de predominio en el hipocondrio izquierdo, asociado ocasionalmente con episodios febriles y náuseas, que en algunas oportunidades llega a la emesis de características alimentarias y biliar. Refiere períodos de remisión parcial de los síntomas.
Tiene como antecedente de importancia, y en relación con el tiempo de aparición de los síntomas, apendicetomía de 14 meses previos al ingreso, con ulterior drenaje de absceso abdominal, que requirió manejo mediante laparotomía.
A su ingreso a urgencias estaba hemodinámicamente estable. Al examen físico abdominal, como hallazgo relevante se encontró doloroso a la palpación profunda en epigastrio e hipocondrio izquierdo, con sensación de masa durante la palpación a este nivel. Se toman paraclínicos de hiperbilirrubinemia leve a expensas de la directa, leve leucocitosis y proteína C reactiva (PCR) positiva, hipoalbuminemia, trastorno hidroelectrolítico, dado por hipopotasemia e hipocloremia, y marcadores tumorales normales (Tabla 1).
Tabla 1 Laboratorios de ingreso
| Paraclínico | Reporte |
|---|---|
| Cuadro hemático | Leucocitos 14,4; neutrófilos 73,4 %; linfocitos 12,5 %; hemoglobina 13,3; hematocrito 42,6; plaquetas 290 |
| Perfil hepático | Bilirrubina directa 0,57; bilirrubina total 1,03; bilirrubina indirecta 0,46; TGO 16; TGP 16,6; fosfatasa alcalina 93 |
| Electrólitos | Calcio iónico 1,1; sodio 141,6; potasio 2,95; cloro 97,1 |
| Función renal | Nitrógeno ureico 7,4; creatinina 0,62 |
| Perfil nutricional | Proteínas totales 7; albúmina 2,7 |
| Marcadores tumorales | CA 19-9: 3 (negativo); alfafetoproteína 0,5 (negativo); antígeno carcinoembrionario 0,5 (negativo) |
| Otros | PCR 28,3 |
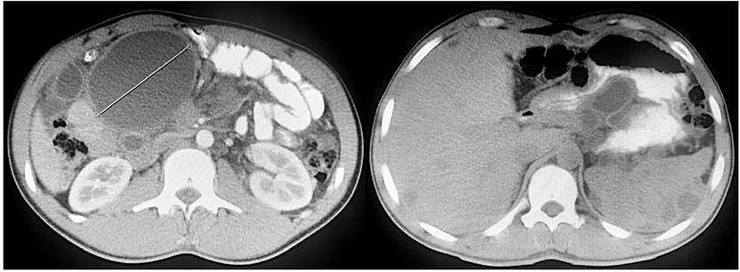
Se le realizó una tomografía de abdomen y pelvis simple y contrastada, donde se documentó hepatoesplenomegalia leve, quistes simples intrahepáticos y esplénicos de distribución difusa, quistes mesentéricos, también en forma difusa, dilatación de asas intestinales con importante distensión del duodeno (Figura 2). Se valoró en junta quirúrgica de Cirugía General, donde se consideró que, por hallazgos en estudios imagenológicos, con etiología no clara, se debía descartar colecciones residuales de procedimientos quirúrgicos previos y se debía llevar a laparotomía exploratoria, con resección de quistes para realizar y estudio patológico para definir la etiología y conducta final.

Figura 2 Tomografía abdominal y pélvica simple y contrastada. Corte axial que muestra numerosas lesiones redondeadas de contenido líquido, encapsuladas y distribuidas en la raíz del mesenterio, hígado, bazo y peritoneo.
Durante el procedimiento quirúrgico se evidencia líquido peritoneal de moderada cantidad, con múltiples lesiones peritoneales de aspecto quístico de 2 a 3 cm, los de menor tamaño, y hasta de 7 cm, el de mayor tamaño, localizado en la raíz del mesenterio, y que desplaza el colon derecho y el duodeno, lo que explica los episodios de emesis alimentaria (Figura 3).
Seguimiento y resultados
El reporte de la patología de estas lesiones correspondió a lesiones quísticas hidatídicas (equinococosis), con documentación macroscópica (Figura 4) y estudio de microscopia mediante coloración de H&E, donde se evidencian numerosos escólex en el interior de la cavidad quística (Figura 5). El paciente presentó buena evolución clínica luego de la cirugía. Se efectúa inicio de tratamiento intrahospitalario con albendazol 400 mg cada 12 horas, durante ciclos de 3 meses, hasta completar 3 ciclos con controles de laboratorios mediante hemogramas, tomográficos y clínicos cada 3 meses. El paciente se encuentra en controles periódicos, con buena evolución clínica.
Discusión
El diagnóstico de la infección por E. Granulosus se basa fundamentalmente en los hallazgos clínicos, la serología y las técnicas de imagen. De los criterios clínicos de diagnóstico se debe cumplir con al menos uno, estos son reacción anafiláctica debido a la ruptura del quiste; masa quística sintomática, diagnosticada mediante técnicas de imagen; quiste diagnosticado de forma incidental mediante técnicas de imagen en un paciente asintomático. El diagnóstico de certeza se determina por la lesión característica diagnosticada mediante las técnicas de imagen, una serología positiva, el examen microscópico del fluido o muestra histológica compatible, así como por los hallazgos quirúrgicos macroscópicamente compatible3.
En el caso clínico presentado se comprueba lo descrito previamente, ya que el paciente cumplía con el segundo criterio clínico y se comprobó el diagnóstico a través de imágenes, hallazgo quirúrgico, y estudios macro y microscópicos. Se consideró que la diseminación peritoneal se debió a la reintervención de la complicación de la apendicetomía (absceso), que permitió la ruptura de uno de los quistes, con la consecuencia manifiesta en este caso clínico.
Existen diferentes técnicas de imagen para el diagnóstico, siendo la ecografía abdominal, la de elección en lesiones quísticas de localización abdominal3, utilizando la clasificación de la Organización Mundial de la Salud y la International Working Group (OMS/IWG)7. Esta clasificación permite evaluar la actividad de las lesiones quísticas hidatídicas según la actividad y el número de lóculos, lo que permite valorar la respuesta al tratamiento quimioterapéutico, para poder comparar diferentes tipos de manejo y evaluar su respuesta8. El primer grupo clínico corresponde a los tipos de quistes CE 1 y 2. Estos indican que son activos por su fertilidad, con protoescólex viables. El segundo grupo es el CE tipo 3, que son lesiones quísticas que se encuentran en una etapa de transición, donde la integridad del quiste se ha comprometido por la respuesta del huésped al tratamiento. El tercer grupo clínico comprende los tipos CE 4 y 5, quistes inactivos, que normalmente pierden su fertilidad y son estados finales degenerativos8. La tomografía computarizada y la resonancia magnética son técnicas de elección en lesiones subdiafragmáticas y en las múltiples, en presencia de quistes complicados con fístulas o abscesos, quistes de localización extraabdominal y como forma de valoración prequirúrgica3,9.
En la actualidad no existe unificación de criterios en cuanto al mejor tratamiento de la equinococosis quística, ni siquiera en lo referente a la necesidad de tratar o no la infección. El tratamiento se basa en tres pilares fundamentales:
El uso de antiparasitarios es obligatorio en todos los pacientes
Los procedimientos con fines de intervención deben preferirse sobre la cirugía paliativa, siempre que sea posible
La cirugía radical es la primera opción en todos los casos susceptibles de resección total de las lesiones, todo esto siempre con base en la condición clínica y las características de los quistes3,7.
Se han descrito diversas técnicas para el tratamiento curativo de los quistes hidatídicos: aspiración con aguja percutánea, inyección de solución salina hipertónica y reaspiración del contenido, resección de la cúpula saliente con aspiración-exéresis de su contenido, quistoperiquistectomía y resección hepática10. En general, los cirujanos de áreas no endémicas prefieren técnicas radicales, mientras que los de áreas endémicas utilizan técnicas más conservadoras10. En el caso de los pacientes sintomáticos o con quistes hidatídicos complicados (absceso, rotura a cavidad abdominal, apertura a la vía biliar, tránsito toracoabdominal), el tratamiento de elección debe ser la cirugía, ya sea convencional o laparoscópica. Se sugiere quimioprofilaxis preoperatoria con albendazol 10 mg/kg/día durante al menos 15 días, y continuar el uso de albendazol en todos los casos durante 3 ciclos en el posoperatorio11,12.
La mortalidad posoperatoria media es del 2,2 %, aproximadamente 6,5 % de los casos recidiva tras una intervención, lo que conlleva a prolongados períodos de recuperación2. Para el caso que describimos, el diagnóstico se realizó durante el intraoperatorio, en el que se efectuó resección radical de la mayoría de los quistes, dada la complejidad de esta patología, por su diseminación múltiple a nivel de órganos y de la cavidad peritoneal.
Independientemente del tratamiento realizado, el seguimiento de los pacientes con esta patología es especialmente importante. Se realizan revisiones durante los 2 primeros años de manera semestral, con pruebas de imagen de control y determinación serológica. Se recomienda continuar el seguimiento durante largos períodos, dado que se documentan recurrencias de la enfermedad hasta 10 años después de haberse aplicado un tratamiento aparentemente exitoso3. El resultado de la infección varía según la etapa de la enfermedad, y se describe que aproximadamente el 15 % de los pacientes se lleva a cirugía después de 10 a 12 años de realizado el diagnóstico inicial; entre estos, el 75 % puede permanecer asintomático.
Conclusión
La equinococosis abdominal diseminada, aunque es una patología rara en nuestro medio y en la literatura mundial, siempre se debe sospechar cuando los hallazgos clínicos, imagenológicos y serológicos lo sugieran. Es importante identificar esta patología para iniciar un manejo médico oportuno y ulterior tratamiento quirúrgico, con fines de resección total de las lesiones quísticas, si es técnicamente posible. Finalmente, el paciente debe permanecer en un seguimiento y control estricto para lograr erradicar la enfermedad de manera adecuada, mediante tratamiento médico en ciclos prolongados con albendazol.
REFERENCIAS
1. Eckert J, Thompson RC. Historical Aspects of Echinococcosis. Adv Parasitol. 2017;95:1-64. https://doi.org/10.1016/bs.apar.2016.07.003 [ Links ]
2. Equinococosis [Internet]. Organización Mundial de la Salud; 2020. Disponible en: https://www.who.int/es/news-room/fact-sheets/detail/echinococcosis [ Links ]
3. Armiñanzas C, Gutiérrez-Cuadra M, Fariñas MC. Hidatidosis: aspectos epidemiológicos, clínicos, diagnósticos y terapéuticos. Rev Esp Quimioter. 2015;28(3):116-24. [ Links ]
4. Prevención y control de la hidatidosis en el nivel local: iniciativa sudamericana para el control y vigilancia de la equinococosis quística/hidatidosis. OPS, OMS, PANAFTOSA; 2017. https://iris.paho.org/handle/10665.2/34173 [ Links ]
5. Larrieu EJ, Frider B. Human cystic echinococcosis: Contributions to the natural history of the disease. Ann Trop Med Parasitol. 2001;95(7):679-87. https://doi.org/10.1080/00034983.2001.11813685 [ Links ]
6. Pearson RD. Hidatidosis - Enfermedades infecciosas [Internet]. Man MSD; 2019. Disponible en: https://www.msdmanuals.com/es-co/professional/enfermedades-infecciosas/cestodos-tenias/hidatidosis [ Links ]
7. Brunetti E, Kern P, Angèle D. Expert consensus for the diagnosis and treatment of cystic and alveolar echinococcosis in humans. Acta Trop. 2010;114(1):1-16. https://doi.org/10.1016/j.actatropica.2009.11.001 [ Links ]
8. WHO Informal Working Group. International classification of ultrasound images in cystic echinococcosis for application in clinical and field epidemiological settings. Acta Trop. 2003;85(2):253-61. https://doi.org/10.1016/s0001-706x(02)00223-1 [ Links ]
9. Eckert J, Deplazes P. Biological, epidemiological, and clinical aspects of echinococcosis, a zoonosis of increasing concern. Clin Microbiol Rev. 2004;17(1):107-35. https://doi.org/10.1128/CMR.17.1.107-135.2004 [ Links ]
10. Baltar Boilève J, de la Torre IB, Coello PC, García Vallejo LA, González JB, Pérez BE, et al. Laparoscopic treatment of hepatic hydatid cysts: Techniques and post-operative complications. Cir Esp. 2009;86(1):33-7. https://doi.org/10.1016/S2173-5077(09)70069-9 [ Links ]
11. Pinto PP. Diagnóstico, tratamiento y seguimiento de la hidatidosis. Rev Chil Cir. 2017;69(1):94-8. https://doi.org/10.1016/j.rchic.2016.10.001 [ Links ]
12. Almalik A, Alsharidi A, Al-Sheef M, Enani M. Disseminated abdominal hydatidosis: A rare presentation of common infectious disease. Case Rep Infect Dis. 2014;2014:164787. https://doi.org/10.1155/2014/164787 [ Links ]
Citación: Evers G, Polania-Liscano HA, Polania S. Equinococosis abdominal diseminada: reporte de caso. Rev Colomb Gastroenterol. 2022;37(1):108-113. https://doi.org/10.22516/25007440.762
Recibido: 23 de Abril de 2021; Aprobado: 31 de Mayo de 2021










texto en 






