Introducción
El síndrome de Gitelman (SG) es una tubulopatía autosómica recesiva debida a mutaciones en el gen SLC12A3 que codifica el cotransportador de cloruro de sodio sensible a la tiazida y localizado en el túbulo contorneado distal1. La prevalencia estimada es 1: 40.0001. Bioquímicamente, resulta similar al síndrome de Bartter2, asemejando sus características al tratamiento con diuréticos tiazídicos a largo plazo: hipopotasemia, hipomagnesemia, alcalosis metabólica hipoclorémica y niveles reducidos de calcio en la orina, siendo esta última característica la principal diferencia entre ambos síndromes1,2. Aunque es una enfermedad hereditaria, generalmente se diagnostica durante la adolescencia o la vida adulta temprana3. Sin embargo, las presentaciones tardías, como el caso clínico que presentamos, a menudo con condrocalcinosis, ocurren en un porcentaje frecuente de los casos4.
Observación clínica
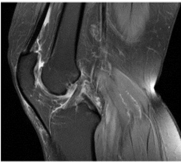
Mujer de 60 anos con antecedentes personales de miopía magna, apendicectomía y condrocalcinosis en forma artrósica de larga data asociada a hipomagnesemia en seguimiento por Reumatología. Desde la adolescencia refería cierta debilidad y molestias articulares que requirieron seguimiento reumatológico, siendo detectada una hipomagnesemia y condrocalcinosis artrósica de rodilla izquierda (fig. 1). En tratamiento domiciliario con calcio oral y suplementos de magnesio de forma intermitente. Tras un episodio de coledocolitiasis, fue intervenida de colecistectomía, reiniciando al alta de dicho ingreso el tratamiento de forma parcial, sin suplementación de magnesio. Tras el alta, la paciente acudió a Urgencias por debilidad generalizada, sin otros síntomas asociados, presentando estabilidad hemodinámica en todo momento con tensión arterial normal. En la analítica realizada se detectó hipopotasemia e hipomagnesemia. Tras iniciar tratamiento sin mejoría, se decidió ingreso en Nefrología para estudio y ajuste de medicación. Como otros datos a destacar, la paciente presentaba una alcalosis metabólica con pH 7,52 y bicarbonato 29 mmol/L, potasio (K) 2,9 mEq/L, magnesio (Mg) 1,03mg/dl, calcio 9,9mg/dl, hemograma normal. En muestra aislada de orina presentó hipocalciuria con calcio 2 mg/dl, cloro 45 mEq/l, sin albuminuria.
En ecografía abdominal se apreciaban riñones normales. Se comenzó con suplementación intravenosa de magnesio y potasio iniciando vía oral cuando los niveles se normalizaron. Tras ajuste de los fármacos, fue dada de alta con tratamiento oral consistente en indometacina 25 mg / 24 horas, ascorbato de potasio (25 mEq de K en cada comprimido) cada 8 horas y magnesio (200 mg de magnesio elemento) cada 8 horas. En las analíticas de control se mantienen los siguientes parámetros analíticos: PH 7,42, bicarbonato 26 mmol/L, K 4 mEq/L, Mg 1,88 mg/dl.
Discusión
El SG es un trastorno autosómico recesivo cuyas manifestaciones suelen superponerse con el síndrome de Bartter ya que incluyen hipopotasemia, alcalosis metabólica, hiperreninemia, hiperplasia del aparato yuxtaglomerular e hiperaldosteronismo. Algunos pacientes también tienen hipomagnesemia o niveles altos de prostaglandina E21.
El síndrome de Bartter o SG a menudo se sospecha en pacientes con hipopotasemia inexplicable, alcalosis metabólica y tensión arterial normal o baja. En tales pacientes, siempre se deben excluir otras causas de alteraciones iónicas como pérdidas digestivas o tratamiento con diuréticos1. El SG es más frecuente que el de Bartter y suele diagnosticarse en la edad adulta, debido a su curso más benigno2. La diferencia esencial respecto al síndrome de Bartter se encuentra en la excreción urinaria de calcio ya que se encuentra elevada o normal en el síndrome de Bartter y disminuida en el SG2. Por lo que nuestro caso, ante estos datos, finalmente se diagnosticó de un SG. Además, una de las manifestaciones asociadas es la condrocalcinosis, presente en el caso clínico descrito, normalmente debida a la hipomagnesemia crónica y severa asociada5. La condrocalcinosis puede causar hinchazón, calor y sensibilidad sobre las articulaciones afectadas, que por lo general son las rodillas5. Además, los pacientes con SG pueden experimentar debilidad, tetania, calambres o fatiga que pueden tener un gran impacto en su calidad de vida6. En cuanto al tratamiento, los defectos tubulares no se pueden corregir (excepto por trasplante renal) (3. Por lo tanto, el tratamiento, que deberá mantenerse de por vida, está dirigido a minimizar los efectos de los aumentos secundarios de renina, aldosterona y prostaglandinas, así como a corregir las anomalías electrolíticas. Los AINE y los medicamentos que bloquean el intercambio distal de sodio-potasio de los túbulos pueden ser eficaces en algunos pacientes con SG, así como los suplementos de potasio y magnesio correspondientes3.
Conclusiones
Con el caso expuesto pretendemos hacer hincapié en la importancia del diagnóstico de tubulopatías en pacientes reumatológicos con alteraciones iónicas que pueden ser silentes inicialmente pero que a largo plazo pueden ocasionar la clínica articular descrita.
El SG narrado presenta alteraciones electrolíticas típicas con alcalosis metabólica hipopotasémica, hipomagnesemia e hipocalciuria, complicadas con condrocalcinosis de la rodilla. El reconocimiento de este tipo de tubulopatía y su tratamiento dirigido a corregir las alteraciones electrolíticas resulta fundamental y debe monitorizarse regularmente, ya que permite mejorar la calidad de vida de los pacientes, así como evitar posibles complicaciones asociadas.














