Serviços Personalizados
Journal
Artigo
Indicadores
-
Citado por SciELO -
Acessos
Links relacionados
-
Citado por Google -
Similares em
SciELO -
Similares em Google
Compartilhar
Revista Colombiana de Reumatología
versão impressa ISSN 0121-8123
Rev.Colomb.Reumatol. vol.30 no.1 Bogotá jan./mar. 2023 Epub 18-Ago-2023
https://doi.org/10.1016/j.rcreu.2021.04.005
Informe de caso
Compresión del nervio mediano a nivel del codo por un pseudoaneurisma en la arteria cubital proximal: a propósito de un caso
a Servicio de Reumatología, Hospital Universitario y Politécnico La Fe, Valencia, España
b Servicio de Radiología, Hospital Universitario y Politécnico La Fe, Valencia, España
Se describe el caso de un varón de 82 arios intervenido recientemente de cirugía cardíaca (cuádruple bypass coronario), que consulta por aparición de una escara necrótica en el pulpejo del dedo índice derecho, junto a parestesias e hipoestesias en los tres primeros dedos de dicha mano. Se realiza una ecografía del codo derecho para descartar afectación del nervio mediano y se objetiva una masa anecoica, de paredes engrosadas, dependientes de la pared de la arteria cubital proximal, compatible con pseudoaneurisma de esta, que comprime dicho nervio. En la electromiografía se evidencia una lesión aguda del nervio mediano a nivel proximal y en el angio-TC se confirma el diagnóstico de pseudoaneurisma de la arteria cubital proximal. El pseudoaneurisma es una dilatación por rotura de la pared arterial, que no implica a las tres capas de esta y se comunica con la luz vascular. Su desarrollo tras una manipulación vascular es muy infrecuente y que actúe comprimiendo una estructura nerviosa es poco común. En nuestro caso, conjuntamente con cirugía vascular se decidió tratamiento con trombina intralesional, con buena evolución.
Palabras clave: Pseudoaneurisma; Nervio mediano; Arteria cubital; Manipulación Vascular
We describe the case of an 82-year-old man who had recently undergone cardiac surgery (quadruple coronary bypass), who consulted due to the appearance of a necrotic eschar on the thumb of the right index finger, together with paraesthesia and hypoaesthesia in the first 3 fingers of the same hand. An ultrasound scan of the right elbow was performed to rule out involvement of the median nerve and an anechoic, thick-walled mass was found, dependent on the wall of the proximal ulnar artery, compatible with a pseudoaneurysm of the same, compressing the nerve. Electromyography showed an acute lesion of the proximal median nerve and angio-CT confirmed the diagnosis of pseudoaneurysm of the proximal ulnar artery. Pseudoaneurysm is a dilatation by rupture of the arterial wall, which does not involve all three layers of the arterial wall and communicates with the vascular lumen. Its development after vascular manipulation is very rare, and it is uncommon for it to act by compressing a nerve structure. In our case, together with vascular surgery, treatment with intralesional thrombin was decided, with good evolution.
Keywords: Pseudoaneurysm; Median nerve; Cubital artery; Vascular manipulation
Varón de 82 años que acudió a consultas externas de reumatología en marzo del 2020 por aparición de una escara necrótica en el pulpejo del dedo índice derecho, así como pérdida de fuerza en dicha mano. Como antecedentes de interés presentaba hipertensión arterial y dislipemia y había sido sometido a un cuádruple bypass coronario en enero del 2020. El paciente refirió que desde la intervención presentaba parestesias, hipoestesia y pérdida de fuerza en los tres primeros dedos de la mano derecha. A las pocas semanas comenzó a desarrollar la lesión necrótica, por la cual acudió a consulta.
Al interrogatorio, negó fenómeno de Raynaud o episodios previos de artritis, no presentaba sensación distérmica ni otras lesiones cutáneas o mucosas, ni tampoco sintomatología infecciosa en el momento en que acudió a la visita. No había objetivado alteraciones macroscópicas en las heces, su ritmo digestivo no había cambiado, negaba pérdida de peso o de apetito y tampoco presentaba alteraciones macroscópicas en orina.
Analíticamente, presentaba elevación de reactantes de fase aguda (proteína C reactiva 132,5 mg/dL, velocidad de sedimentación globular 60 mm/h) y anemia normocítica normocrómica (hemoglobina 9,9 g/dL). La autoinmunidad era negativa, el proteinograma resultó normal y el sedimento urinario era anodino. Con la sospecha de mononeuritis del nervio mediano asociada con una necrosis digital establecida, el paciente ingresó en reumatología para estudio.
Exploración física
El paciente se mostró consciente y orientado en las tres esferas, con funciones superiores conservadas.
Exploraciones complementarias
Ecografía de codo derecho
Masa anecoica de paredes engrosadas e hipoecoicas, de dimensiones 60 mm x 107 mm, dependiente de la pared de la arteria cubital proximal, poco después de la bifurcación de la arterial braquial, con señal power-Doppler intralesional, compatible con pseudoaneurisma vs. aneurisma parietal de esta última. En posición medial a la lesión vascular se objetiva el nervio mediano engrosado, con un diámetro mayor de 58 mm (fig. 1).
Electromigrafía/electroneurofisiología
Signos de denervación en musculatura explorada, tanto proximal como distal, dependiente del nervio mediano derecho (localizada a nivel de la inserción del músculo pronador teres), con ausencia de actividad voluntaria. El resto de los músculos explorados corresponde a distinto nervio e igual raíz dentro de la normalidad.
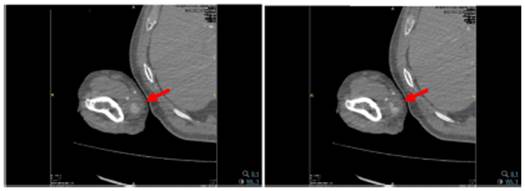
Angio-TC
Se observa pseudoaneurisma de arteria cubital derecha de 22 x 21 mm de diámetro, con cuello de 2 mm (fig. 2).
Evolución
Tras confirmarse el diagnóstico de pseudoaneurisma de la arteria cubital porangio-TC, solicitamos valoración porcirugía vascular, que optó por realizar tratamiento intervencionista mediante la inyección de trombina guiada por ecografía. Se hizo control ecográfico pasadas 48 h del procedimiento, en el que se objetivó trombosis total de la lesión. Al alta, indicaron clopidogrel 75 mg/día durante cinco días y control clínico en sus consultas.
El control a los dos y cuatro meses evidenció la completa resolución de la lesión, confirmó la recuperación de la amplitud del pulso cubital y la ausencia de nuevas lesiones necróticas. Respecto a la fuerza, el paciente acudió a varias sesiones de rehabilitación los meses siguientes al alta hospitalaria, con recuperación completa de la debilidad (fuerza 5/5).
Discusión
El pseudoaneurisma es una dilatación vascular por rotura de la pared arterial, que no implica a las tres capas que la conforman y se comunica con la luz vascular1. En términos generales, los pseudoaneurismas de las arterias periféricas son poco habituales y, en concreto, los pseudoaneurismas que afectan a los miembros superiores tienen una prevalencia del 2%1,2. Su etiología suele ser traumática tras manipulación de fracturas desplazadas o iatrogénica en contexto de procedimientos vasculares invasivos3,4. Se postula que una manipulación vascular defectuosa o una alteración en la coagulación podrían participar en su desarrollo3. Pese a su baja prevalencia, en la actualidad, la frecuencia va en aumento como consecuencia del mayor uso de técnicas invasivas intravasculares. Además, también es mayor en adictos a drogas vía parenteral y en pacientes hemodializados1,5.
Existen casos reportados de neuropatía compresiva del nervio mediano a nivel del túnel carpiano o de la flexura del codo, por lesión de la arteria braquial o cubital2,5. El síndrome del túnel carpiano es el atrapamiento nervioso más frecuente, con una prevalencia en torno al 2,1% de la población general6. La arteria cubital coincide anatómicamente con el nervio mediano a nivel del codo, poco después de su bifurcación de la arteria braquial. Los aneurismas de la arteria cubital son conocidos desde el siglo XVIII, el primer caso fue descrito por Guattani, siendo una de las causas que se plantea en el diagnóstico diferencial de la isquemia digital de miembros superiores7. Sin embargo, en la literatura únicamente existe un caso publicado sobre compresión del nervio mediano por la arteria cubital, ya que lo más frecuente es que sea comprimido por la arteria braquial1-3, como se infiere tras la revisión bibliográfica. En nuestro caso, la localización del pseudoaneurisma es inusual, puesto que se encuentra en la porción más proximal de la arteria cubital, justo después de su bifurcación de la arteria braquial.
Ante un paciente con clínica de neuropatía compresiva, la ecografía podría confirmar el diagnóstico y ofrecer información sobre la morfología del nervio afecto y el estado de las estructuras cercanas6. Además, resulta de utilidad en el diagnóstico diferencial de lesiones en flexura de codo o antebrazo y facilita el seguimiento4. En caso de pseudoaneurisma, se objetivará flujo o material hiperecoico correspondiente a un trombo intralesional6. Por último, cabe mencionar que es una técnica ventajosa en cuanto a su bajo coste y amplia disponibilidad. En relación con otras técnicas de imagen, la arteriografía continúa siendo el estándar de oro, pero la angio-TC o la angio-RM también son pruebas útiles y ampliamente utilizadas1.
Por último, el tratamiento de cualquier pseudoaneurisma depende del tamaño, la localización y la patogenia, fundamentalmente5. Debido a la posibilidad de embolización o trombosis, el tratamiento no debe demorarse1. Las opciones terapéuticas de que se dispone actualmente son las técnicas endovasculares (embolización, colocación de endoprótesis) o la cirugía tradicional, que ofrece muy buenos resultados5. La inyección de trombina intralesional fue descrita inicialmente por Cope y Zeit en 1986. Esta técnica, que se ha mostrado altamente eficaz, requiere un control ecográfico a las 24 h para confirmar que ha sido exitosa4,5. El tratamiento quirúrgico se prefiere en casos en que la lesión progrese de forma rápida, cuando ya haya isquemia establecida y ante elevado riesgo de embolización distal o calibre arterial pequeño, que haga compleja la colocación de una endoprótesis4,5.
REFERENCIAS
1. González Martínez P, Salazar Agorria A, Bravo Ruiz E, Suarez Tornin MJ, Vega Manrique R. Cubital artery pseudoaneurysm after carpal tunnel surgery. Angiología. 2012;64:220-1, http://dx.doi.org/10.1016/j.angio.2012.03.004. [ Links ]
2. Lobo J, Ferreira MC, Ramos PN. Pseudoaneurysm of brachial artery: A rare cause of median nerve compression. Trauma Case Rep. 2018;14:8-10, http://dx.doi.org/10.1016/j.tcr.2017.12.002. [ Links ]
3. Kumar N, Padur AA, Prabhu G, Shanthakumar SR, Bhaskar R. Rare case of median nerve and brachial artery entrapment by an abnormal musculo-fascial tunnel in the arm: possible cause of neurovascular compression syndrome. Anat Cell Biol. 2019;52:84-6, http://dx.doi.org/10.5115/acb.2019.52.1.84. [ Links ]
4. Cunha LAMD, Ávila LM, Goncalves JRR, Pereira S, Jamur CM, Souza BM. Brachial artery pseudoaneurysm after fixation of supracondylar fracture in a 9-year-old child. J Pediatr Orthop B. 2019;28:559-63, http://dx.doi.org/10.1097/bpb.0000000000000647. [ Links ]
5. Leite T, Pires M, Pires L, Chagas C, Oliveira AC. Giant iatrogenic pseudoaneurysm of the brachial artery: a case report. Int J Surg Case Rep. 2017;37:193-5, http://dx.doi.org/10.1016/j.ijscr.2017.06.044. [ Links ]
6. Ryu SJ, Kim IS. Pseudoaneurysm of ulnar artery after endoscopic carpal tunnel release. J Korean Neurosurg Soc. 2010;48:380-2, http://dx.doi.org/10.3340/jkns.2010.48.4.380. [ Links ]
7. Villalba-Munera V, Vásquez-Medina C. Síndrome del martillo hipotenar con aneurisma de la arteria cubital. Angiología . 2009;61:265-9, http://dx.doi.org/10.1016/S0003-3170(09)15005-8. [ Links ]
Consideraciones éticas El trabajo fue aprobado por el Comité Ético de investigación del Hospital Universitario y Politécnico La Fe (Valencia). Los autores cuentan con el consentimiento informado de los pacientes.
Recibido: 08 de Enero de 2021; Aprobado: 07 de Abril de 2021










texto em 




