Serviços Personalizados
Journal
Artigo
Indicadores
-
Citado por SciELO -
Acessos
Links relacionados
-
Citado por Google -
Similares em
SciELO -
Similares em Google
Compartilhar
Revista Colombiana de Reumatología
versão impressa ISSN 0121-8123
Rev.Colomb.Reumatol. vol.26 no.4 Bogotá out./dez. 2019 Epub 01-Nov-2020
Informe de caso
Miositis extraocular como manifestación inicial de granulomatosis con poliangeítis
a Práctica privada en Medicina Interna y Reumatología, Xalapa, Veracruz, México
b Cirugía, Facultad de Medicina, Universidad Veracruzana, Xalapa, Veracruz, México
c Departamento de Imagenología, Centro de Alta Especialidad «Dr. Rafael Lucio», Xalapa, Veracruz, México
d Servicio de Patología Oftálmica, Asociación para Evitar la Ceguera (APEC), Hospital «Dr. Luis Sánchez Bulnes», Ciudad de México, CDMX, México
La granulomatosis con poliangeítis (GPA) es una vasculitis sistémica con afectación multiorgánica. El compromiso ocular ha sido descrito frecuentemente, sin embargo, existen pocos casos reportados de miositis extraocular en esta enfermedad.
Presentamos el caso de una mujer mexicana con GPA que comenzó con miositis extraocular.
Palabras clave: Granulomatosis con poliangeítis; Granulomatosis; Poliangeítis; Miositis extraocular
Granulomatosis with polyangiitis (GPA) is a systemic vasculitis with multiorgan involvement. Although ocular involvement has frequently been described, there are few reported cases of extraocular myositis in this disease.
The case is presented of a Mexican woman with GPA who debuted with extraocular myositis.
Keywords: Granulomatosis with polyangiitis; Granulomatosis; Polyangiitis; Extraocular myositis
Introducción
La granulomatosis con poliangeítis (GPA) es una vasculitis sistêmica de vaso pequeno con afectación a casi cualquier órgano. Las manifestaciones oculares se presentan entre el 30-50% de los pacientes, y en el 8% de los casos puede llevar a ceguera permanente1. El compromiso orbitario ocupa el segundo lugar después de la afectación escleral, presentándose entre el 5-30% de los pacientes con GPA1. La inflamación orbitaria puede presentarse de forma primaria como lesión granulomatosa (seudotumor orbitario) o de forma secundaria, bien sea por infiltración difusa a una enfermedad nasal o por miositis extraocular1. Si bien el seudotumor orbitario es la causa más frecuente de proptosis ocular en GPA representando el 40-60% de los tumores orbitarios2 en dicha enfermedad; no debemos olvidar que existen algunas otras manifestaciones oculares secundarias con compromiso orbitario en la GPA.
La relevancia desde el punto de vista clínico y pronóstico es que la enfermedad orbitaria en esta vasculitis se ha asociado a la pérdida funcional del ojo y a la enfermedad sistémica grave3.
A continuación, presentamos el caso de una mujer con GPA que comenzó con miositis extraocular, la forma más rara de compromiso orbitario en esta vasculitis.
Presentación del caso
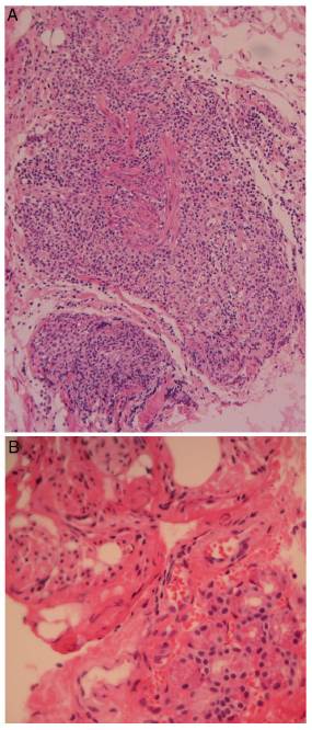
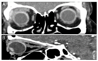
Mujer de 56 anos que en 2013 comenzó con dolor y proptosis ocular derecha, fue tratada con esteroides sistémicos, con lo cual el episodio remitió. En 2015 nuevamente presentó dolor y proptosis ocular derecha, fue atendida por el oftalmólogo quien documentó por tomografía axial computarizada (TAC) de órbitas, miositis extraocular; con la finalidad de obtener diagnóstico fue sometida a biopsia de músculo recto superior y glándula lagrimal. El resultado histopatológico fue inflamación inespecífica (fig. A1 y A2); recibió prednisona a dosis de 1mg/kg/día por 2 meses con lo que remitió. En marzo de 2016 presentó pérdida de peso, fiebre, dolor neuropático en extremidades inferiores, proptosis ocular derecha dolorosa; mediante TAC se documentó miositis extraocular (fig. 2A y 2B). Se integró el diagnóstico de GPA por la afectación ocular, síntomas constitucionales, neuropatía sensitiva en extremidades inferiores y anticuerpos contra citoplasma de neutrófilos (ANCA) positivos, (c-ANCA: 1:40 [valor de referencia: <1:40] y PR3: 5,4 [valor de referencia: <4,3]). Recibió 3 bolos de metilprednisolona de 1 g y ciclofosfamida 1 g de forma mensual durante 6 meses; posteriormente se realizó TAC de órbitas en noviembre de 2016 (fig. 3A y 3B) en la cual se encontró remisión de la manifestación ocular.

Figura 1 A) Fotomicrografía de músculo recto superior a mediano aumento que muestra un denso infiltrado inflamatorio mezclado con fascículos de músculo liso (H&E, amplificación original x20). B) Fotomicrografía de glándula lagrimal mayor a gran aumento que muestra escasos acinos y algunos haces de músculo liso «músculo de Müller» (H&E, amplificación original x40).

Figura 2 A) TAC de órbitas con reconstrucción sagital derecha en donde se observa discreto aumento en el grosor del músculo recto superior, el músculo recto inferior de características conservadas. B) TAC de órbitas con reconstrucción coronal en donde se observa engrosamiento de músculos recto superior y lateral de órbita derecha con discreto desplazamiento caudal del globo ocular.
Discusión del caso
La GPA es una vasculitis sistémica en la que cualquier estructura del ojo puede verse comprometida, sin embargo, las más frecuentes son la epiesclera en el 20-25% y la esclera en 15-20%4. El compromiso orbitario se presenta en el 15% de los pacientes con esta vasculitis y ocupa el segundo lugar en compromiso ocular5.
Debido a la naturaleza de la propia vasculitis, existen pocas series que reporten los hallazgos oftalmológicos en esta enfermedad. La serie en la cual se clasifica y describe más detalladamente la afectación orbitaria es la de Ismailova et al. 1, en la cual se describen 74 pacientes con manifestaciones orbitarias en una serie de 226 pacientes con GPA seguidos durante 4 años. De los 74 pacientes con compromiso orbitario, 45 (60,8%) tuvieron lesión granulomatosa (seudotumor orbitario), 26 (35,2%) desarrollaron rinosinusitis con afectación a órbita y 3 (4%) desarrollaron miositis extraocular. Los 3 pacientes que desarrollaron miositis extraocular tuvieron GPA localizada con negatividad para ANCA, 2 de ellos tuvieron recurrencia de la manifestación y ninguno desarrolló enfermedad sistémica.
El caso presentado muestra a una mujer con proptosis unilateral dolorosa con diagnóstico final de GPA, pero que comenzó con miositis extraocular, la cual fue recurrente; no fue sino hasta la segunda recurrencia que desarrolló manifestaciones sistémicas y se pudo integrar el diagnóstico de GPA sistémica. La inducción a la remisión con dosis altas de esteroides y ciclofosfamida mostró mejoría clínica y radiológica significativa. Si bien la biopsia de músculo extraocular no mostró datos compatibles con vasculitis; tanto la respuesta al tratamiento, como las manifestaciones clínicas extraoculares y la positividad de los ANCA nos permitió obtener el diagnóstico. El papel de la biopsia en esta manifestación orbitaria no ha sido estudiado.
Según nuestra búsqueda es el primer caso de GPA sistémica con comienzo de miositis extraocular unilateral y recurrente.
Para el oftalmólogo es importante que cuando se enfrente a un paciente con proptosis unilateral dolorosa, considere a la GPA dentro de las posibilidades etiológicas; para el reumatólogo que se enfrenta a un paciente con diagnóstico establecido de GPA, y que desarrolla proptosis unilateral dolorosa deberá considerar, además del seudotumor orbitario a la miositis extraocular como otra posibilidad diagnóstica.
Conclusiones
Las manifestaciones oculares en GPA pueden representar, desde el punto de vista funcional, una catástrofe para el paciente llevándolo incluso a la ceguera, es importante que tanto los reumatólogos como los oftalmólogos estemos familiarizados con el espectro clínico ocular de esta vasculitis sistémica, ya que el diagnóstico oportuno definitivamente cambia el pronóstico.
REFERENCIAS
1. Ismailova D, Abramova J, Novikov P, Grusha Y. Graefes Arch Clin Exp Ophthalmol. 2018;256:1751-6. [ Links ]
2. Muller K, Lin J. Orbital Granulomatosis With Polyangiitis (Wegener Granulomatosis): Clinical and Pathologic Findings. Arch Pathol Lab MedV 138. 2014:1110-4. [ Links ]
3. Lu C, Liu X, Luan Y, Lu C, Zhou D, Guo L, et al. A case report of the orbit, ocular association and the lung in granulomatosis with polyangiitis: A diagnostic challenge. Exp Ther Med. 2017;13:3337-40. [ Links ]
4. Fauci AS, Haynes BF, Katz P, Wolff S. Wegener's granulomatosis: Prospective clinical and therapeutic experience with 85 patients for 21 years. Ann Intern Med. 1983;98:76-85. [ Links ]
5. Bijlsma WR, Hené RJ, Mourits MP, Kalmann R. Orbital mass as manifestation of Wegener's granulomatosis; An ophthalmologic diagnostic approach. Clin Exp Rheumatol. 2011;29 Suppl 63:S35-9. [ Links ]
Recibido: 18 de Septiembre de 2018; Aprobado: 14 de Diciembre de 2018; : 23 de Noviembre de 2019










texto em 



