Serviços Personalizados
Journal
Artigo
Indicadores
-
Citado por SciELO -
Acessos
Links relacionados
-
Citado por Google -
Similares em
SciELO -
Similares em Google
Compartilhar
Colombian Journal of Anestesiology
versão impressa ISSN 0120-3347versão On-line ISSN 2256-2087
Rev. colomb. anestesiol. vol.49 no.4 Bogotá out./dez. 2021 Epub 25-Ago-2021
https://doi.org/10.5554/22562087.e959
ARTÍCULO ESPECIAL
Aneurismas gigantes de arteria pulmonar
a Departamento de Anestesiología Cardiotorácica, Departamento de Anestesiología General y Departamento de Investigación de Resultados, Instituto de Anestesiología, Cleveland Clinic Foundation. Cleveland, Estados Unidos.
b Instituto de Anestesiología, Cleveland Clinic Foundation. Cleveland, Estados Unidos.
c Departamento de Anestesiología Cardiotorácica y Departamento de Anestesiología General, Instituto de Anestesiología, Cleveland Clinic Foundation. Cleveland, Estados Unidos.
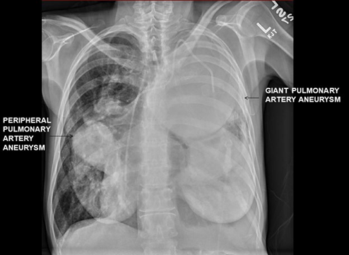
Las imágenes aquí incluidas demuestran aneurismas gigantes de la arteria pulmonar en un paciente con hipertensión arterial pulmonar idiopática (Imagen 1). Además de la arteria pulmonar principal, hay aneurismas también en las arterias pulmonares izquierda y derecha, los cuales comprimen el parénquima pulmonar (Imagen 2).

FUENTE: Autores.
IMAGEN 1 Aneurismas gigantes de la arteria pulmonar en un paciente con hipertensión arterial pulmonar idiopática.

FUENTE: Autores.
IMAGEN 2 Aneurismas en las arterias pulmonares izquierda y derecha, los cuales comprimen el parénquima pulmonar.
La cardiopatía congénita, la infección y la hipertensión arterial pulmonar son causas preponderantes de aneurismas de la arteria pulmonar. Los aneurismas gigantes (diámetro >8 centímetros) pueden comprimir las estructuras adyacentes, incluido el árbol traqueobronquial, generando disnea, tos, dolor precordial, sibilancia y estridor. La hemoptisis puede anunciar la ruptura de un aneurisma. Además, la obstrucción dinámica del flujo de aire puede generar traquebroncomalacia 1,2.
El diagnóstico suele ser radiológico. La discordancia entre ventilación y perfusión a causa del colapso pulmonar en pacientes con aneurismas gigantes puede empeorar la cianosis y la hipoxemia relacionadas con hipertensión arterial pulmonar preexistente. A fin de aliviar tanto el colapso como la compresión traqueobronquial puede ser necesario recurrir a una endoprótesis de vía aérea.
El aumento de la resistencia vascular pulmonar relacionado con la elevación de la presión intratorácica y el estímulo simpático excesivo puede precipitar la ruptura del aneurisma, el sangrado de la vía aérea y la exsanguinación. El manejo anestésico tiene por objeto mitigar esos factores. Si bien la ventilación espontánea minimiza la elevación de la presión intratorácica, para poder colocar de manera óptima una endoprótesis en la vía aérea es necesario contar con un campo quieto e inducir relajación muscular para minimizar la tos. La intubación con fibra óptica en el paciente despierto permite colocar el tubo endotraqueal de manera segura más allá del punto de compresión traqueal en la mayoría de las circunstancias. Es importante establecer monitorización arterial invasiva y también un acceso intravenoso de grueso calibre antes de la inducción. Es mejor iniciar la inducción con el paciente en posición vertical para maximizar la capacidad residual funcional. También es prudente usar ventilación con volumen corriente bajo y evitando el uso excesivo de presión positiva al final de la espiración y maniobras de reclutamiento. La obstrucción crítica de la vía aérea, la compresión a nivel de la carina, la insuficiencia respiratoria inminente y la hipoxemia refractaria pueden ser razones para instituir soporte vital con circulación extracorpórea venovenosa antes de la inducción. Por último, la topicalización de la vía aérea con lidocaína y/o la infusión endovenosa de remifentanilo durante la recuperación de la anestesia pueden ayudar a mitigar la tos y el desalojo de la endoprótesis 1-3.
REFERENCIAS
1. Kumar B, Munirathinam GK, Mishra AK, Arya VK. Giant Peripheral Pulmonary Artery Aneurysm Rupture Under Anesthesia-A Sequela of Positive-Pressure Ventilation. J Cardiothorac Vasc Anesth. 2017;31(1):279-82. doi: https://doi.org/10.1053/j.jvca.2016.04.011 [ Links ]
2. Greaves SW, Dye L 3rd, Aranda PS, Cain MT, Haasler GB, Almassi GH, Pagel PS, Kreibich M, Beyersdorf F, Elefteriades JA. Perioperative Management of a Large Idiopathic Pulmonary Artery Aneurysm Without Pulmonary Arterial Hypertension. J Cardiothorac Vasc Anesth . 2018;32(5):2402-8. doi: https://doi.org/10.1053/j.jvca.2018.05.003 [ Links ]
3. Malpas G, Hung O, Gilchrist A, Wong C, Kent B, Hirsch GM, Hart RD. The use of extracorporeal membrane oxygenation in the anticipated difficult airway: a case report and systematic review. Can J Anesth. 2018;65:685-97. doi: https://doi.org/10.1007/s12630-018-1099-x [ Links ]
Conflicto de interés Los autores declaran no haber recibido financiación y no tener conflictos de interés.
Recibido: 06 de Noviembre de 2020; Aprobado: 08 de Noviembre de 2020; Aprobado: 21 de Enero de 2021










texto em 



