INTRODUCCIÓN
La trombocitopenia inmune primaria (PTI), anteriormente llamada púrpura trombocitopenica idiopática, es un trastorno autoinmune caracterizado por una reducción severa en el recuento de plaquetas por debajo de 100 000 1,2. Aunque la patogénesis de esta condición no es clara, se ha asociado a la existencia de una disfunción de los linfocitos T, con un predominio de respuesta Th-1, junto con una alteración en Linfocitos T reguladores, por lo cual el tratamiento de primera linea son los glucocorticoides, con tasas de respuesta de 80 a 90 %, con la adición de inmunoglo-bulina humana intravenosa (IGIV) en ciertos casos resistentes a esteroides2-4. En algunos casos no existe una respuesta sostenida ante estas primeras lineas de tratamiento, por lo cual se hacen necesarias otras estrategias de manejo; entre ellas el requerimiento de esplenectomia, el uso de Rituximab®, o dosis bajas de esteroides mantenidas a largo plazo. A pesar de esto, algunos casos persisten con recuentos plaquetarios menores de 30 000/ml y con sintomas hemorrágicos o con incapacidad para duplicar el recuento de plaquetas inicial después del uso de dos o más estrategias de tratamiento, situación denominada PTI refractaria 5,6.
Para esta condición se recurre a otros agentes inmunosupresores o manejo combinado, aunque con limitada evidencia para reducir el riesgo de hemorragia clinicamente significativa 6,7. Por lo cual presentamos nuestra experiencia con el uso de terapia combinada en una paciente con PTI refractaria al manejo convencional con adecuada respuesta.
PRESENTACIÓN DEL CASO:
Mujer de 25 años de edad, procedente de zona rural del departamento del Cauca (Colombia). Tenia como antecedente importante una PTI primaria diagnosticada tres meses previos al ingreso, con historia de manejo intrahospitalario en dos ocasiones por trombocitopenia y sangrado cutáneo, recibiendo tratamiento con metilprednisolona por una historia no clara de alergia a la prednisolona, IGIV y agonistas del receptor de trombopoyetina (AR-TPO) con respuesta adecuada. Con estudios previos que descartaron causas secundarias, entre ellos aspirado y biopsia de médula ósea con hiperplasia megacariocitica, sin evidencia de fibrosis y con distribución celular normal. Venia en manejo de mantenimiento ambulatorio con Eltrombopag® 50 mg, via oral, cada 24 horas, sin adherencia al tratamiento por motivos administrativos de su entidad de salud.
Ingresó a una institución de alto nivel de complejidad de la ciudad de Popayán con cuadro clínico de 5 dias de evolución, caracterizado por astenia, mialgias y dolor abdominal generalizado asociado con hematemesis y melenas sin otro tipo de sintomatologia. Al examen clinico de ingreso con signos vitales dentro de rangos normales, se destacaban los siguientes hallazgos: palidez muco-cutánea marcada y la presencia de múltiples petequias en miembros inferiores. En los estudios de laboratorio, un cuadro hemático con recuento de leucocitos dentro de la normalidad, hemoglobina de 5 gr/dl y conteo plaquetario de plaquetario de 2000/ml, tenía un test de Coombs positivo.
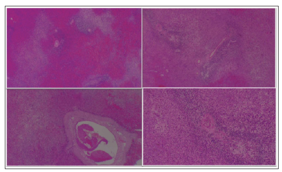
Puesto que presentaba sangrado persistente y anemia severa, se inició manejo con terapia trans-fusional, siendo necesaria la transfusión de una unidad de glóbulos rojos y de 1 aféresis de plaquetas cada 12 horas, junto con un pulso de 40 mg de Dexametasona cada 24 horas por 4 dias, dando continuidad a la misma dosis de Eltrombopag®; sin embargo, con persistencia de recuentos plaquetarios bajos sintomáticos. Considerando el riesgo de sangrado perioperatorio, fue llevada inicialmente a embolización de arteria esplénica con microesferas por cirugia vascular al cuarto dia de hospitalización sin mejoría. Presentó ruptura esplénica secundaria a la embolización, por lo que el sexto dia de estancia hospitalaria fue llevada a esplenectomia abierta (figura 1).

Figuras 1 a-d; 1 a y b: tejido esplénico con congestión y hemorragia con evidencia de trombosis venosa; 1 c: tejido esplénico con zonas de necrosis isquémica en el 30 % de la muestra; 1 d: imagen con folículos linfoides secundarios normales.
El dia 7 manejo de manejo intrahospitalario se realizó un control plaquetario, que no registró incremento en el conteo y con persistencia de sangrado, por lo cual se decidió iniciar terapia con Rituximab® 500 mg intravenoso cada semana, por 4 semanas, y se adicionó Romiplostin® 250 mg por vía subcutánea semanal con vigilancia intrahospitalaria. Después de 14 días de hospitalización, el recuento plaquetario persistia severamente disminuido (figura 2), por lo cual el dia 14 recibió una segunda dosis de Rituximab® conjunto con Romiplostin 250 mg® y una dosis de 2 gr/ kg de inmunoglobulina humana intravenosa, con lo cual se presentó disminución del sangrado, del requerimiento transfusional y mejoría del recuento plaquetario 48 horas después de la segunda dosis de terapia combinada. En los cinco dias siguientes, el recuento de plaquetas aumentó progresivamente, superando un valor de 200 000 /ml; por lo que fue egresada después de una hospitalización de 22 dias.
DISCUSIÓN
La PTI primaria parte de un trastorno de regulación inmunitaria, en el que está involucrada tanto la inmunidad celular como la humoral 3,8). Por lo tanto, el tratamiento está basado en la inmu-nosupresión, dividiéndose conceptualmente en terapia de rescate y terapia de mantenimiento. El objetivo de la terapia de rescate es un rápido aumento del recuento de plaquetas en un paciente con hemorragia activa, alto riesgo de hemorragia o necesidad de un procedimiento critico3,8, situación que presentó la paciente del caso. La primera linea de tratamiento de la PTI consiste en el uso de glucocorticoides sistémicos. La prednisona y la dexametasona son los fármacos principalmente utilizados, siendo el ultimo preferido en casos de PTI severa, puesto que ha demostrado mayores tasas de respuesta1. Sin embargo, un 20% de los pacientes con PTI tratados con esteroides son resistentes a esta terapia, por lo que se recurre al uso de IGIV, reservado para estos pacientes dada una rápida pero corta respuesta, aunque no exenta de importantes efectos adversos y su costo elevado9.
En algunos casos, estas terapias no son eficaces, con persistencia de trombocitopenia, siendo necesarias estrategias terapéuticas de segunda linea, que incluye los agonistas del receptor de trombopo-yetina (Eltrombopag® y Romiplostin®), los anticuerpos monoclonales anti-CD20 (Rituximab®) y la esplenectomia 3,7, como el caso de nuestra paciente. Actualmente, para estos casos no existe una estrategia secuencial clara para el inicio de determinada terapia. A pesar de esto, la esplenectomia sigue siendo una de las principales alternativas de tratamiento de segunda linea6, dado que hasta un 80% de los pacientes esplenectomizados pueden presentar mejoria inmediata de las plaquetas con una respuesta duradera en el 50 al 70% de los casos10, siendo preferida en pacientes con trombocitopenia profunda sin respuesta a IGIV y agonistas del receptor de trombopoyetina11. Por otro lado, el Rituximab® puede lograr una adecuada respuesta en el 63% de los pacientes, con una mediana de tiempo de 5,5 semanas y duración de la respuesta de 11 meses12.
A pesar de contar con estos agentes, existen pacientes refractarios, como se estipuló anteriormente, para los cuales no existe claros lineamientos secuenciales, como el caso clinico actualmente presentado. Actualmente, el uso de terapia combinada con diferentes sitios de acción surge como una opción de tratamiento para estos pacientes, los cuales pueden incluir agentes inmunosupresores como la azatioprina, ciclofosfamida, ciclosporina A, danazol, dapsona y el micofenolato mofetilo, junto con agonistas del receptor de trombopoyetina 13. Por lo tanto, el uso de determinado agente depende más del tiempo de respuesta y los probables efectos adversos asociados 14.
Una estrategia actualmente usada es la combinación de AR-TPO con Rituximab® con el fin de inducir una respuesta rápida en el incremento del conteo plaquetario. Esta estrategia ha sido evaluada en un estudio multicéntrico realizado por Zhou y colaboradores, en la que comparó el uso de terapia combinada con Rituximab ® y AR-TPO frente a Rituximab® como monoterapia, y se obtuvo un incremento en el recuento plaquetario en un periodo corto (mediana de 7 días y un rango de 4-28 días) comparado con el grupo de monoterapia (mediana de 28 y un rango de 4-90 dias) (P < .01), pero sin mostrar beneficio a largo plazo2,15. Aunque esta estrategia fue usada en el caso actual con una adecuada respuesta, faltan más estudios para considerarla como una opción terapéutica adecuada para estos pacientes.
La PTI primaria refractaria sigue siendo un reto terapéutico. No es despreciable la proporción de casos que pueden persistir sin respuesta clínica a pesar del uso de las estrategias terapéuticas mencionadas. Nuevos agentes están siendo incluidos en ensayos clínicos, sin embargo, están limitados por el bajo número de pacientes, y los resultados se ven reflejados en bajas tasas de respuesta y/o alta toxicidad2.
CONCLUSIONES
La trombocitopenia inmune primaria refractaria es considerada una entidad con pobres desenlaces y dificultad en el tratamiento. Actualmente es limitado proponer estrategias terapéuticas puntuales para estos casos, dada la limitada frecuencia de presentación. Sin embargo, presentamos este caso clínico en el que el uso de terapias combinadas generó una respuesta clínica corta adecuada y probablemente plantear nuevos ensayos sobre el uso de este tipo de terapias.














