Serviços Personalizados
Journal
Artigo
Indicadores
-
Citado por SciELO -
Acessos
Links relacionados
-
Citado por Google -
Similares em
SciELO -
Similares em Google
Compartilhar
Revista Colombiana de Cardiología
versão impressa ISSN 0120-5633
Rev. Colomb. Cardiol. vol.22 no.1 Bogota jan./fev. 2015
https://doi.org/10.1016/j.rccar.2014.08.008
http://dx.doi.org/10.1016/j.rccar.2014.08.008
Coronaria derecha de origen anómalo en adulto
Right coronary of anomalous origin
Eduardo Ramíreza, Mauricio Montoyaa, Arturo Vélezb
aServicio de Cardiología, Facultad de Ciencias de la Salud, Programa de Medicina, Universidad Tecnológica de Pereira, Pereira, Colombia
bServicio de Radiología, Clínica del Country, Bogotá, Colombia D.C.
Recibido el 10 de agosto de 2014: Aceptado el 26 de agosto de 2014
correo electrónico:edrava5@hotmail.com(E. Ramírez).
Resumen
Las anormalidades congénitas de las arterias coronarias se clasifican en alteraciones del origen, del trayecto y de la terminación de las coronarias. El origen anómalo de la coronaria derecha pertenece a las alteraciones del nacimiento de las mismas. Se presenta el caso de una paciente de 54 años de edad que refiere episodios de dolor precordial, en quien se encuentra un origen anómalo de la arteria coronaria derecha naciendo del seno coronario izquierdo. El origen anómalo de las arterias coronarias es una de las principales causas de infarto agudo del miocardio y muerte súbita en atletas y jóvenes, su manejo depende de la ubicación y tipo de anormalidad, pudiendo ser quirúrgico, percutáneo o médico.
Palabras clave: Adultos. Angina. Cardiología. Cardiopatías congénitas del adulto. Coronariografía. Dolor torácico.
Abstract
Congenital anomalies of coronary arteries have been classified in origin alterations, course alterations and alterations of ending. The anomalous origin of the right coronary artery is part of the origin alterations. We present the case of a 54 year-old patient who consulted for chest pain; an anomalous origin of the right coronary artery born in the left Valsalva's sinus was found. The anomalous origin of coronary arteries is one of the main causes of myocardial infarction and sudden cardiac death in athletes and young people. Their approach could be surgical, percutaneous or medical depending on the location and type of the anomalies.
Keywords: Adult. Angina. Cardiology. Congenital heart disease in adults. Coronary angiography. Chest pain.
Introducción
El origen anómalo de la arteria coronaria derecha es una entidad clínica de incidencia baja, se agrupa entre las anomalías de las arterias coronarias que se originan durante la tercera semana del desarrollo fetal1, han existido múltiples clasificaciones, pero la clasificación modificada de Greemberg es la más aceptada en la literatura actual2, puede afectar alrededor del 0,64 hasta el 1% de la población a la que se le realiza una angiografía coronaria1,3, es una de las principales causas de infarto agudo de miocardio, con una prevalencia del 15% en este grupo de pacientes1, además de ser la segunda causa de infarto agudo de miocardio y muerte súbita en atletas y jóvenes, precedida por la miocardiopatía hipertrófica, es responsable del 15 al 25% de estas muertes4. Este grupo de patología regularmente se diagnostica en los infantes y en estos entre las posibilidades de manejo se incluyen la quirúrgica, la percutánea y la médica1. Se presenta el caso de una paciente adulta, sin sintomatología de importancia previa, en quien se encuentra un origen anómalo de la coronaria derecha naciendo del seno coronario izquierdo.
Reporte de caso
Mujer de 54 años de edad, trabajadora del área de la salud, sin antecedentes médicos personales o familiares de importancia, que acude a la consulta por presentar dolor precordial de varias semanas de evolución, no asociado al esfuerzo, sin mejoría con el reposo; en el examen físico no mostraba evidencia de falla cardiaca o ningún otro hallazgo patológico. Se le realiza electrocardiograma de superficie de 12 derivaciones en reposo, sin alteraciones. Posteriormente se solicita una prueba de esfuerzo convencional en banda sinfín (fig. 1). En dicha prueba se encuentran alteraciones de la repolarización ventricular durante el esfuerzo consistentes en: infradesnivel del segmento ST en cara inferior (DII, DIII y AVF), así como en la región septal y lateral (V3, V4, V5 y V6), sin sintomatología durante la prueba. Ante estos hallazgos sugestivos de isquemia miocárdica secundaria a la enfermedad, a la paciente se le efectúan estudios complementarios.
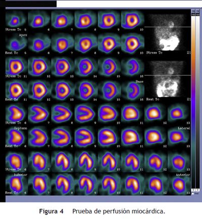
Se efectuó la angio-TAC multicorte coronario con reconstrucción 3 D, en el que se evidencia un origen anómalo de la arteria coronaria derecha, originándose en el seno de Valsalva izquierdo, con trayecto anómalo en su tronco entre la aorta y la arteria pulmonar (fig. 2) configurándose el diagnóstico de un origen anómalo de la arteria coronaria derecha con nacimiento en el seno de Valsalva izquierdo (fig. 3). Posteriormente se realizó una prueba de perfusión miocárdica de estrés farmacológico con dipiridamol, en la que no se evidenciaron signos de isquemia miocárdica (fig. 4).
Ante estos hallazgos, con un equipo interdisciplinario conformado por cardiólogos, cirujanos cardiovasculares y radiólogos intervencionistas para determinar el curso de acción entre intervenir quirúrgicamente, percutáneamente o manejo médico; en conjunto, se determinó la tercera opción y a la paciente se le formuló metoprolol 50 mg cada 12 horas.
Actualmente la paciente se encuentra libre de la sintomatología. Con el propósito de controlarla periódicamente en forma semestral y ante la aparición de síntomas severos o evidencia de isquemia en posteriores estudios de perfusión miocárdica, se decidiría el tratamiento quirúrgico.
Discusión
El origen anómalo de las arterias coronarias es una patología de baja incidencia, se asocia a dolor torácico, muerte súbita, síncope, disnea, arritmias e infarto agudo del miocardio5; regularmente se diagnóstica en edades tempranas en las que el manejo quirúrgico es el más utilizado, existen reportes de la presentación de esta patología en adultos previamente sanos, los cuales inician con síntomas de insuficiencia coronaria, sin tener un antecedente claro3, en estos casos el no siempre es la primer opción y depende de la ubicación de la alteración y del pronóstico de la misma, como en nuestro caso.
El origen anómalo de la coronaria derecha es la variación más común en los hispanos y es al mismo tiempo la variación que más sintomatología presenta y la que más se asocia a desenlaces fatales como el infarto agudo de miocardio y la muerte súbita en adultos3,4 y se presenta en el 0,002% de la población, siendo menos común, en general, que las variaciones del origen de la coronaria izquierda, pero con mayor incidencia de complicaciones Los síntomas dependen de la cantidad de circulación colateral que se produzca alrededor de la anomalía de la arteria5, razón por la cual es más común que la sintomatología se presente en los niños.
El diagnóstico de este grupo de patologías ha presentado avances en los últimos años. Si bien la literatura reporta que los pacientes que se presentan con anomalías de las coronarias presentan cambios electrocardiográficos de isquemia miocárdica6,7, como se muestra en nuestra paciente, estos no son suficientes para hacer el diagnóstico. Y entre las opciones posteriores, se ha publicado acerca de la utilidad de los métodos invasivos como la coronariografía8, pero actualmente se prefieren los métodos no invasivos, como se presenta en nuestro caso, entre los cuales la angio-TAC coronaria es el estándar de oro en la actualidad7.
El manejo de esta entidad es eminentemente quirúrgico4, en especial en los infantes y se basa en la translocación de la arteria anómala, hacia su lugar habitual de origen4, también está descrito el tratamiento percutáneo, pero la dificultad que se presenta para llegar a las arterias anómalas debido a lo estrecho del ángulo que forman en su origen hace que llegar a ellas a través de un catéter percutáneo sea dificultoso y el porcentaje de errores aumente8. La opción más conservadora es el manejo médico con betabloqueadores, que se destina principalmente a pacientes adultos sin sintomatología importante, con riesgo bajo de isquemia en quienes se demuestra mediante pruebas de perfusión, la ausencia de isquemia miocárdica a pesar de la anomalía de la arteria coronaria afectada2,9. En nuestro caso, se opta por el tratamiento conservador, con controles periódicos y la opción de cambiar a manejo quirúrgico si aparecieran síntomas de falla cardiaca o la evidencia de isquemia miocárdica en estudios posteriores.
En conclusión el origen anómalo de las arterias coronarias es una patología rara, asociada a desenlaces trágicos, de la cual no se entiende completamente su mecanismo, además, el objetivo es a mejorar el enfoque que tenemos hacia esta enfermedad, de simple hallazgo incidental, a estudios más completos, que nos permitan entender mejor su etiología y por ende su prevención.
Responsabilidades éticas
Protección de personas y animales: Los autores declaran que para esta investigación no se han realizado experimentos en seres humanos ni en animales.
Confidencialidad de los datos: Los autores declaran que han seguido los protocolos de su centro de trabajo sobre la publicación de datos de pacientes.
Derecho a la privacidad y consentimiento informado: Los autores han obtenido el consentimiento informado de los pacientes y/o sujetos referidos en el artículo. Este documento obra en poder del autor de correspondencia.
Conflicto de intereses
Los autores declaran no tener ningún conflicto de intereses.
Bibliografía
1. Angelini P., Monge J. Coronary artery anomalies. Grossman & Baim's cardiac catheterization, angiography, and intervention, 8th ed., Lippincott Williams & Wilkins, (2014) pp. 335-353. [ Links ]
2. Pleva L., Jonszta T., Kukla P. Congenital coronary anomalies. Cor et Vasa.2014;56:e27-36. [ Links ]
3. Ho J.S., Strickman N.E. Anomalous origin of the right coronary artery from the left coronary sinus: case report and literature review. THIJ.2002;29:37-9. [ Links ]
4. Camarda J., Berger S. Coronary artery abnormalities and sudden cardiac death. Pediatr Cardiol.2012;33:434-8. [ Links ]
5. Angelini P., Velasco J.A., Flamm S. Coronary anomalies: incidence, pathophysiology, and clinical relevance. Circulation.2002;105:2449-54. [ Links ]
6. Parasramka S., Dufresne A. Anomalous origin of right coronary artery from pulmonary artery presenting as chest pain in a young man. JC Cases.2012;5:e20-2. [ Links ]
7. Omura T., Ogawa K., Hashimoto M., Kitada R., Ishikawa S., Koga Y. Acute ST elevation myocardial infarction in an adult patient with anomalous origin of the left coronary artery from the pulmonary artery. JC Cases.2014;9:121-3. [ Links ]
8. Wilson J., Reda H., Gurley J.C. Anomalous right coronary artery originating from the left anterior descending artery: case report and review of the literature. Int J Cardiol.2009;137:195-8. [ Links ]
9. Nakabayashi K., Okada H., Iwanami Y., Sugiura R., Oka T. Anomalous origin of the right coronary artery from the pulmonary artery diagnosed in an adult: A case report. JC Cases2014;10:111-4. [ Links ]
















