Introducción
El infarto de miocardio sin elevación del ST -NSTEMI- (non-ST elevación myocardial infarction; por sus siglas en inglés) es una enfermedad con alta carga económica. La mediana de edad al momento de presentación del síndrome coronario agudo es de 68 años y los hombres superan en número a las mujeres con una razón de 3:21. La incidencia de síndrome coronario agudo en Estados Unidos superan los 780 000 y de ellos, aproximadamente el 70 % tendrá NSTEMI1.
El trombo del ventrículo derecho y embolismo pulmonar post-NSTEMI se conocen de forma insuficiente, puesto que es muy rara su presentación en el escenario clínico. Se ha detectado un trombo en ventrículo derecho cerca del 4,5 % de los pacientes con embolismo pulmonar y sometidos a ecocardiografía2.
La presentación del trombo en ventrículo derecho está asociada a fibrilación auricular, enfermedad cardiaca estructural o catéter in situ3. Probablemente, el trombo proviene del sistema venoso pulmonar, se encuentra asociado a alta mortalidad y su hallazgo se realiza de forma incidental en la autopsia. Es considerada una emergencia médica, lo que hace imperativo instaurar una opción terapéutica de inmediato. Por lo que un trombo en ventrículo derecho y el embolismo pulmonar representan un verdadero dilema en el manejo terapéutico4.
Se presenta el caso de una paciente con trombo en ventrículo derecho y embolismo pulmonar masivo post-NSTEMI a pesar de terapia anti isquémica, anticoagulante y antiagregante, el cual es un fenómeno muy extraño en el escenario clínico.
Presentación de caso
Una mujer de 80 años acudió al servicio de emergencias por dolor torácico opresivo que se extendía al miembro superior izquierdo, asociado a disnea, tos seca no productiva y posteriormente, pérdida de la conciencia por cinco minutos, más desorientación y disartria. Entre los antecedentes de importancia se destacaba enfermedad pulmonar obstructiva crónica oxígeno dependiente, hipertensión arterial controlada con losartán y artritis reumatoide en manejo con azatioprina.
Al momento de la admisión se encontró una paciente hemodinámicamente estable, afebril, con ingurgitación yugular grado II, ruidos cardiacos rítmicos, no soplos a la auscultación, ruidos respiratorios disminuidos, estertores en ambas bases pulmonares, extremidades con deformidad interfalángica en manos, sin edemas. En sistema nervioso central: alerta, desorientada, reflejos profundos aumentados, pupilas isocóricas reactivas, no signos de focalización, lenguaje adecuado y coherente, escala de coma de Glasgow 13/15.
Al ingreso, los exámenes de sangre mostraron una función renal y hepática conservada; sin alteración electrolítica, sin leucocitosis o neutrofilia. Se realizó electrocardiograma que evidenció infarto agudo de miocardio sin elevación del ST más troponina I de alta sensibilidad alterada (> percentil 99). Se realizó impresión diagnóstica de infarto agudo de miocardio sin elevación del ST, por el cual se inició terapia anti-isquémica, tratamiento anticoagulante pleno y antiagregación dual. Fue valorada por Medicina Interna que solicitó ecocardiograma para estudio de sincope, probablemente de origen cardiogénico y daño cardiaco estructural y medición troponina de control.
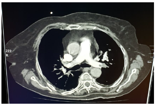
Es valorada por el servicio de Cardiología, que mediante ecocardiograma transtorácico, identifica una imagen de densidad de tejidos blandos, móvil, con un diámetro de 24 x 11 mm, adherido a cuerdas tendinosas en la válvula tricúspide más hipocinesia septal severa, compatible con trombo intracavitario derecho (figura 1). Ante estos hallazgos se sugiere evaluar presunta etiología pulmonar. Se llevó a cabo angiotomografía axial computarizada en la que se observó trombo que ocluye el flujo sanguíneo de arteria pulmonar derecha (figura 2).
Dado que la paciente tenía un NSTEMI, lo cual era una contraindicación para iniciar trombolisis y que se instauró terapia anti-isquémica, antiagregante y anticoagulante; a pesar de ello, fue paradójico descubrir un trombo ventricular derecho y embolia pulmonar. Por esta razón, para la disolución del trombo, se administró warfarina.
En los siguientes días un ecocardiograma de control evidenció ausencia del coagulo en cavidad ventricular derecha y de la obstrucción de arteria pulmonar derecha y arterias segmentarias. La paciente evolucionó y en esas condiciones se da el egreso hospitalario anticoagulado con warfarina y control ambulatorio.
Discusión
El trombo en ventrículo derecho y embolismo pulmonar predicen una condición catastrófica con alta mortalidad. En un reciente estudio estiman una mortalidad alrededor del 27 %5 y Vrey et al. reportan una mortalidad que alcanza hasta 44 %6. En esas circunstancias, el diagnóstico y tratamiento debe iniciarse lo más pronto posible con el fin de evitar ese desenlace.
Es preciso comprender esta entidad puesto que expone un escenario desafiante en la práctica clínica para el abordaje diagnóstico y terapéutico4. Al respecto, se proponen algunas teorías sobre la etio-patogénesis: en primer lugar, el embolismo pulmonar puede enmascararse como un infarto agudo de miocardio, aunque es un fenómeno excepcional en la era de la heparina como pilar fundamental en el tratamiento del infarto. En segundo lugar, considerar el pulmonar como una complicación del infarto que podría darse en casos extraños como la presentación o terapia de revascularización tardía7. En este orden de ideas se ha contemplado que el desarrollo de un trombo en el ventrículo derecho sea debido a un miocardio acinético que produce estasis sanguínea y conduce a la formación del trombo con posterior embolización hacia la vasculatura pulmonar8. Este postulado es bastante sugestivo con lo ocurrido en la paciente, quien presentó trombo en ventrículo derecho y embolismo pulmonar masivo post-NSTEMI; además, en el ecocardiograma se logró constatar la hipocinesia septal.
Boukantar et al. presentan un caso similar de embolismo pulmonar con trombo en ventrículo derecho post-NSTEMI9. Igualmente, se han reportado algunos casos de infarto agudo de miocardio asociado a embolismo pulmonar masivo en foramen ovale permeable10, trombo en ventrículo derecho y embolismo pulmonar masivo debido a un defecto atrial septal11, trombo en ventrículo derecho asociado a síndrome de Behςet12 y síndrome nefrótico13. El trombo en ventrículo derecho ha sido escasamente documentado, observándose en el 4-18 % de los pacientes con embolismo pulmonar masivo14. Según Casazza et al., el trombo en ventrículo derecho y embolismo pulmonar solo ha sido detectado mediante el ecocardiograma en el 4,5 %2.
Los trombos son comunes en las aurículas puesto que hay mayor estasis del flujo sanguíneo. Las alteraciones en las proteínas que afectan el sistema hemostático, tales como la deficiencias de la antitrombina III, el déficit o la resistencia a la proteína C, el déficit de la proteína S, la mutación del gen de la protrombina (factor II), las mutaciones de la metiltetrahidrofolato reductasa, el factor V de Leiden y la protrombina G20210A, favorecen la formación del trombo en cavidades cardiacas15.
Desde el punto de vista morfológico, el trombo intracavitario se divide en dos tipos: los tipo A que tienen forma de gusano, son extremadamente móviles y en su mayoría representan coágulos venosos periféricos que se alojan temporalmente en el corazón derecho. Por su parte, los trombos tipo B que son estructuralmente similares a los trombos tipo A, son menos móviles, se adhieren a la pared auricular o ventricular derecha y tienen una conexión de base amplia por el cual se desarrollan dentro del ventrículo derecho11. De acuerdo a la descripción ecocardiográfica, es posible que en el caso presentado corresponda un coagulo tipo A, móvil y con alto potencial de embolización.
El trombo fácilmente puede ser confundido con otras estructuras fisiológicas o patológicas del corazón, siendo necesario diferenciarlas. Entre las anormalidades congénitas se encuentra la red de Chiari, aneurisma auricular septal y válvulas de Tebesio y Eustaquio persistentes. Por otro lado, las anomalías adquiridas se caracterizan por los tumores intracardiacos, vegetaciones y mixomas16.
La ecocardiografía es una herramienta esencial para investigar la localización del trombo. Los ecocardiogramas transtorácico y transesofágico son usados para detectar las anomalías cardiacas estructurales. Su rendimiento se destaca por ser de fácil acceso, no invasivos, ampliamente disponibles, no ocasionan demasiadas molestias y pueden ser tomado al borde de la cama del paciente11. La ecocardiografía puede evaluar la función ventricular derecha, realizar el control y seguimiento durante y después del tratamiento. El ecocardiograma en serie también es útil cuando el estado clínico se deteriora porque puede evidenciar trombos que no se detectaron en el examen inicial11.
Otras modalidades de imagen pueden caracterizar mejor la lesión en pacientes estables cuando el ecocardiograma no es concluyente. La resonancia magnética con contraste sirve en este escenario detectando trombos murales con una sensibilidad del 88 % y especificidad del 99 %17. Además, brinda información adicional de masas intracardiacas, tumores o vegetaciones, que requieren una intervención terapéutica distinta.
Entre las opciones terapéuticas en pacientes con embolismo pulmonar e inestabilidad hemodinámica está ampliamente aceptada la indicación de trombolisis4. En cuanto a los pacientes con contraindicación para trombolisis y sin mejoría clínica posterior a su administración, está recomendada la embolectomía. En los casos de embolismo pulmonar complicado con trombo en ventrículo derecho, la trombolisis o embolectomía deben ser considerados en ausencia de contraindicaciones en pacientes con un trombo tipo A, aunque se encuentre con estabilidad hemodinámica, pues se ha observado que existe una alta probabilidad de embolización y mortalidad4. En trombos tipo B tiene un resultado más favorable y la trombolisis actualmente no está recomendada11. En este caso, debido a que se trataba de un coagulo tipo A, la terapia más adecuada era la trombolisis o la embolectomía; pero, como padeció NSTEMI existía contraindicación, por lo que se decidió anticoagulación oral.
Conclusiones
Hoy en día, el trombo en ventrículo derecho y embolismo pulmonar masivo post-NSTEMI es muy extraño debido al tratamiento anti isquémico, anticoagulante y antiagregante instaurado para el síndrome coronario agudo. Es una condición clínica con alta mortalidad, por el cual es necesario fomentar la sospecha clínica teniendo en cuenta que es una enfermedad de presentación inusual.















