Serviços Personalizados
Journal
Artigo
Indicadores
-
Citado por SciELO -
Acessos
Links relacionados
-
Citado por Google -
Similares em
SciELO -
Similares em Google
Compartilhar
Revista colombiana de Gastroenterología
versão impressa ISSN 0120-9957versão On-line ISSN 2500-7440
Rev. colomb. Gastroenterol. vol.37 no.2 Bogotá jan./jun. 2022 Epub 22-Ago-2022
https://doi.org/10.22516/25007440.817
Trabajos originales
Colitis microscópica, serie de casos y revisión de la literatura
1Specialist in gastroenterology and digestive endoscopy, Hospital Central de la Policía Nacional. Bogotá, D. C., Colombia.
2Specialist in gastrointestinal surgery, Hospital Central de la Policía Nacional, Bogotá, D. C., Colombia.
Introducción:
la colitis microscópica es una enfermedad benigna y multifactorial caracterizada por la presencia de diarrea acuosa y alteraciones histológicas en la mucosa colónica. La incidencia de esta enfermedad viene en aumento y su diagnóstico se realiza cada vez con mayor frecuencia.
Métodos:
estudio retrospectivo en el que se revisaron los pacientes por medio de colonoscopia y biopsias por diagnóstico de diarrea crónica en un período de 22 meses en una unidad de gastroenterología, y en quienes mediante la clínica y el análisis histológico se confirmó el diagnóstico de colitis microscópica.
Resultados:
en el período de estudio se realizó un total de 2849 colonoscopias, 116 en pacientes con diarrea crónica. Se identificaron 15 pacientes con colitis microscópica, 12 fueron hombres (80 %) y solo hubo 3 mayores de 60 años (20 %).
Conclusión:
a diferencia de lo informado en la literatura mundial, en este estudio se encontró que la colitis microscópica en nuestros pacientes compromete especialmente al sexo masculino (relación hombre/mujer: 4/1) y se presenta en personas jóvenes, con un promedio de edad de 47,5 años (rango de 21 a 82 años).
Palabras clave: Diarrea; colitis microscópica; linfocítica; colágeno; budesonida
Introduction:
Microscopic colitis is a benign and multifactorial disease characterized by watery diarrhea and histological alterations in the colonic mucosa. The incidence of this disease is increasing, being diagnosed more frequently.
Materials and methods:
In this retrospective study, patients were examined employing colonoscopy and biopsy due to a diagnosis of chronic diarrhea in a gastroenterology unit throughout 22 months. Their diagnosis of colitis was confirmed by clinical picture and microscopic analysis.
Results:
In the study period, a total of 2849 colonoscopies were performed, 116 in patients with chronic diarrhea. We identified 15 patients with microscopic colitis, 12 were men (80 %), and only three were older than 60 (20 %).
Conclusion:
Unlike the world literature, this study found that microscopic colitis in our patients affects the male sex primarily (male/female ratio: 4/1) and occurs in young people, with an average age of 47.5 years (range: 21-82 years).
Keywords: Diarrhea; microscopic colitis; lymphocytic colitis; collagen; budesonide
Introducción
En los últimos años, la incidencia de la colitis microscópica (CM) ha venido en aumento, así como el interés por el estudio de esta enfermedad, acerca de la cual aún se conoce poco. Las probables causas del incremento en la incidencia son el acceso cada vez más fácil a estudios colonoscópicos por parte de los pacientes y la mayor sospecha y conocimiento por parte de gastroenterólogos y patólogos de este tema. La incidencia de la CM ha alcanzado y superando la incidencia de la enfermedad inflamatoria intestinal (EII) y, especialmente, la enfermedad de Crohn (EC) en algunas poblaciones1,2.
Esta enfermedad afecta a personas mayores de 60 años, especialmente al sexo femenino, con una relación mujer/hombre de 9/1 en la colitis colágena (CC) y una proporción menor en la colitis linfocítica (CL)3. De acuerdo con diversos estudios, la CC afecta entre 4,1 y 10/100 000 personas/año, y la CL afecta entre 4,9 y 10/100 000 personas/año; es más común en blancos y judíos, y menos común en los asiáticos e hispanos4.
En cuanto a la etiopatogenia, es una enfermedad multifactorial, relacionada en los últimos años con factores inmunológicos, por lo cual algunos autores consideran a la CM como una etapa inicial de la EII. El diagnóstico se confirma mediante el estudio histológico, pero no hay consenso con respecto a la cantidad de biopsias a tomar; algunos estudios recomiendan la toma de hasta 8 biopsias en cada segmento colónico para lograr el diagnóstico5.
Se consideran 3 tipos de CM: la CL, en la cual se observa una inflamación crónica de la lámina propia, y el criterio diagnóstico es la presencia de más de 20 linfocitos por cada 100 células epiteliales; la CC, en la que el criterio diagnóstico es el engrosamiento de la capa de colágeno > 10 μm; y la colitis microscópica inespecífica (CMI), con síntomas típicos de CM, pero sin los cambios histológicos descritos, la relación de linfocitos y de células plasmáticas es < 10/100, o la capa de colágeno tiene un espesor < 10 μm, razón por la cual diversos investigadores consideran que las dos formas inicialmente mencionadas no corresponden a dos enfermedades diferentes, sino a dos estadios diferentes de una misma enfermedad5.
En Latinoamérica, la mayoría de las publicaciones relacionadas con esta enfermedad corresponde a revisiones de tema o presentación de casos, sin determinar la frecuencia de la enfermedad6-9. El objetivo principal de este estudio fue determinar la cantidad de casos de CM en un período determinado en el Hospital Central de la Policía de Bogotá, Colombia. Como objetivo secundario, se estableció evaluar las características etarias y de sexo de los pacientes con diagnóstico de CM, pertenecientes a nuestro subsistema de salud.
Materiales y métodos
Estudio retrospectivo de una serie de casos de pacientes en el que se revisaron los resultados de patología de las biopsias tomadas a todos los pacientes a quienes se les realizó colonoscopia por diagnóstico de diarrea crónica en un período de 22 meses, entre febrero de 2018 y noviembre de 2019, y cuyo resultado histológico confirmó el diagnóstico de CM. Se revisó la base de datos del servicio de gastroenterología, los registros de informes de patología y las historias clínicas de los pacientes incluidos dentro del estudio.
Criterios de inclusión: pacientes mayores de 18 años con diagnóstico de diarrea crónica (más de 4 semanas), a quienes se les realizó colonoscopia y biopsia, con disponibilidad del informe de patología.
Criterios de exclusión: pacientes a quienes no se les realizó biopsias, o cuyo resultado de patología no estaba disponible.
Variables analizadas: sexo, edad, hallazgos en el hemograma, diagnóstico por colonoscopia y diagnóstico histológico.
Este trabajo contó con la aprobación del comité institucional de ética e investigación y se ajustó a la normativa vigente de investigación bioética.
Por ser un trabajo retrospectivo, basado en la revisión de historias clínicas, no fue necesario solicitar el consentimiento informado por parte de los pacientes.
Resultados
En el período de 22 meses comprendido entre febrero de 2018 y noviembre de 2019, se realizó en nuestra institución un total de 2849 colonoscopias por diferente diagnóstico. En 116 casos la indicación fue diarrea crónica, en todos los casos se tomaron biopsias y se contó con el informe histopatológico, con lo que se encontró un total de 15 pacientes con diagnóstico de CM (Figura 1), dado por el hallazgo de infiltración de linfocitos en la lámina propia, o por el engrosamiento de la capa de colágeno. De acuerdo con los criterios histológicos, se encontró algún tipo de colitis microscópica en el 12,9 % de los pacientes a quienes se les tomó biopsia por diarrea crónica (Figuras 2 y 3).

Figura 1 Hallazgos histológicos de colitis microscópica en pacientes llevados a colonoscopia por diarrea crónica.

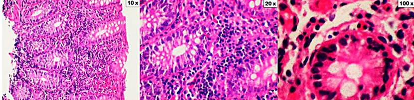
Figura 2 CL. Los cortes muestran la mucosa del colon distorsionada por un importante aumento de linfocitos intraepiteliales (aumento de 10x). En la lámina propia hay un denso infiltrado inflamatorio constituido por linfocitos, células plasmáticas, eosinófilos y neutrófilos ocasionales (aumento de 20x y 100x). Coloración de hematoxilina y eosina (H&E).

Figura 3 CC. Los cortes muestran la mucosa del colon distorsionada por la presencia de una banda de colágeno subepitelial engrosada, con atrapamiento focal de capilares, glóbulos rojos y células inflamatorias. En la lámina propia hay un importante infiltrado inflamatorio, el cual está compuesto por linfocitos, células plasmáticas y eosinófilos (aumento de 10x, 20x y 40x). Coloración de hematoxilina y eosina (H&E).
El 80 % de los pacientes (n = 12) correspondió al sexo masculino y solo 3 pacientes fueron mujeres. La mediana de edad fue de 47,5 años (rango: 21-82 años) con solo 3 pacientes mayores de 60 años. La colonoscopia se describió completamente normal en el 60 % de los pacientes (n = 9), se describieron alteraciones en 6 de ellos, y solo en 2 pacientes se realizó un diagnóstico clínico de colitis inespecífica. El diagnóstico de CM se confirmó histológicamente en 15 pacientes: 3 con CM, 1 con CC y 11 con CMI (Tabla 1).
Tabla 1 Características de los pacientes con diagnóstico de colitis microscópica.
| Paciente | Sexo | Edad (años) | Diagnóstico por colonoscopia | Diagnóstico histológico |
|---|---|---|---|---|
| 1 | Masculino | 37 | Normal | CL |
| 2 | Masculino | 31 | Proctitis inespecífica | CL |
| 3 | Masculino | 35 | Normal | CL |
| 4 | Masculino | 64 | Normal | CC |
| 5 | Masculino | 82 | Normal | Colitis inespecífica |
| 6 | Femenino | 53 | Normal | Colitis inespecífica |
| 7 | Femenino | 48 | Colitis inespecífica | Colitis inespecífica |
| 8 | Masculino | 44 | Pólipos rectal y ascendente | Colitis inespecífica |
| 9 | Masculino | 21 | Normal | Colitis inespecífica |
| 10 | Masculino | 42 | Normal | Colitis inespecífica |
| 11 | Masculino | 52 | Pólipo rectal | Colitis inespecífica |
| 12 | Femenino | 58 | Normal | Colitis inespecífica |
| 13 | Masculino | 35 | Normal | Colitis inespecífica |
| 14 | Masculino | 35 | Pólipo rectal | Colitis inespecífica |
| 15 | Masculino | 76 | Divertículos | Colitis inespecífica |
Al revisar el hemograma realizado durante el mes previo a la colonoscopia y toma de las biopsias, se encontró que solo un paciente presentaba leucocitosis, pero como en todos los demás pacientes, el valor total de linfocitos fue normal (Tabla 2).
Tabla 2 Hemograma de los pacientes con colitis microscópica
| Paciente | Leucocitos | Hb | Plaquetas | Linfocitos | % |
|---|---|---|---|---|---|
| 1 | 5478 | 15,49 | 214 200 | 1890 | 33 |
| 2 | 7550 | 15,2 | 235 000 | 2570 | 34 |
| 3 | 6430 | 15,8 | 364 000 | 2780 | 43 |
| 4 | 11 750 | 15,06 | 525 700 | 2560 | 21 |
| 5 | 6510 | 16,9 | 216 000 | 1820 | 27 |
| 6 | 9060 | 18,1 | 219 000 | 3200 | 35 |
| 7 | 8280 | 15,67 | 237 800 | 1910 | 23 |
| 8 | 7100 | 16,4 | 261 000 | 2190 | 30 |
| 9 | 6250 | 15,1 | 281 000 | 2240 | 35 |
| 10 | 7980 | 17,1 | 261 000 | 2650 | 33 |
| 11 | 8540 | 17,3 | 167 000 | 3260 | 38 |
| 12 | 7990 | 13,3 | 194 000 | 2600 | 32 |
| 13 | 6830 | 16,9 | 153 000 | 1770 | 25 |
| 14 | 3757 | 16,3 | 140 000 | 1320 | 35 |
| 15 | 8120 | 16,3 | 203 000 | 2040 | 25 |
Hb: hemoglobina.
Discusión
Por una parte, la diarrea acuosa crónica puede ser causada por varias enfermedades orgánicas, dentro de las que se han implicado la EII, la CM, infecciones o sobrecrecimiento bacteriano intestinal y cáncer de colon. Por otra parte, existen alteraciones funcionales que también pueden ser causantes de este tipo de diarrea, dentro de ellas se incluyen la diarrea funcional (DF) y el síndrome de intestino irritable con diarrea (SII-D). Los criterios actuales para el diagnóstico de estas dos entidades son los descritos en la clasificación de Roma IV, y se diferencian entre sí por el dolor abdominal que generalmente está ausente en la DF y es muy intenso en el SII-D. Debido a que muchos de los síntomas de estas 2 enfermedades son similares a los causados por la diarrea de tipo orgánico, el diagnóstico final se realiza por exclusión3.
Muchos autores incluyen actualmente a la CM dentro del grupo de la EII, al lado de patologías tan importantes como la EC o la colitis ulcerativa (CU), aunque presenta características muy disímiles en cuanto a la edad, síntomas, evolución de la enfermedad y tratamiento. La EC y la CU a menudo se consideran enfermedades sistémicas, que además de afectar la región colorrectal se asocian frecuentemente con otras enfermedades y con complicaciones de tipo neoplásico, las cuales no se han podido demostrar en relación con la CM10.
Esta enfermedad se describió por primera vez en 1976 por Lindström, quien informó el caso de un paciente con diarrea acuosa y CC. En 1982, Lazenby introdujo los términos de CL y CM. Los estudios epidemiológicos han mostrado una incidencia creciente y una prevalencia que ha alcanzado niveles similares a los de la EC y la CU. La incidencia de CM tanto en el Reino Unido como en los Estados Unidos ha ido en aumento, aunque parece haberse estabilizado en este último país11.
La CM se caracteriza por la presencia de diarrea acuosa no sanguinolenta, asociada con dolor abdominal tipo retorcijón y ocasionalmente con pérdida de peso. Se presenta especialmente en adultos mayores de 60 años y es más frecuente en las mujeres. Se ha informado una tasa de incidencia de aproximadamente 10/100 000 habitantes por año11.
En el presente estudio se encontraron 2 resultados completamente opuestos a lo mencionado en la literatura: el 80 % de los casos (n = 12) correspondió a pacientes masculinos y la gran mayoría de pacientes (n = 12) fue menor de 60 años.
Fisiopatología
Las causas de la CM no se han definido claramente y se considera una enfermedad multifactorial. Se ha implicado la respuesta inmune, la susceptibilidad genética y cambios en la función de la barrera epitelial. Estas alteraciones favorecen una mayor permeabilidad de la mucosa a los antígenos y a las bacterias, y facilita los procesos inflamatorios en la lámina propia, lo que se relaciona con la gravedad de los síntomas, especialmente con la diarrea debida a una disminución en la absorción de cloruro de sodio y a la secreción activa de cloruro4.
Algunos estudios han relacionado la CM con la malabsorción de ácidos biliares. Un estudio español encontró que estaba presente en el 43 % de los pacientes con CM, más comúnmente en la CL (60 %) que en la CC (27 %), y aunque el tratamiento con colestiramina obtuvo respuesta en el 86 % de los pacientes, la misma efectividad no se ha demostrado en otros estudios12. También se ha relacionado con el antígeno leucocitario humano DQ2, el cual se asocia con otras enfermedades autoinmunes y con alteraciones del microbioma fecal (disminución de la bacteria Akkermansia muciniphila)10.
Factores de riesgo
En una revisión sistemática y metaanálisis en el que se evaluó el consumo de cigarrillo como factor de riesgo, se encontró que la mayoría de los estudios considera que fumar es un factor predisponente y que, en general, los pacientes fumadores tienen 3 veces más probabilidad de desarrollar CM que los no fumadores13.
Existen hipótesis que implican el cambio que ocurre en el microbioma intestinal de los pacientes fumadores, el cual lleva a una disbiosis que altera la barrera epitelial en la mucosa, lo que contribuye a la aparición de la diarrea. Se han mencionado otros factores como la ingesta de alcohol y factores dietéticos13.
La presencia de trastornos autoinmunes como la artritis reumatoide, la tiroiditis y la enfermedad celíaca se han relacionado con la aparición de CM, así como factores hormonales femeninos y el consumo de medicamentos como antiinflamatorios no esteroideos (AINE), inhibidores de la bomba de protones (IBP), inhibidores selectivos de la recaptación de serotonina y dosis bajas de aspirina14.
Debido a que no es el objetivo de este estudio y a registros incompletos de las historias clínicas, en este estudio no se establecieron los factores de riesgo relacionados con los pacientes.
Diagnóstico
Existen muchas guías clínicas que se enfocan en el tratamiento de la diarrea, pero la orientación con respecto al abordaje diagnóstico generalmente es pobre, lo que puede llevar al uso inadecuado de pruebas diagnósticas, causando pérdida de tiempo, gastos innecesarios, molestias en el paciente y resultados inexactos. Infortunadamente, la CM es una enfermedad poco conocida, que no tienen en cuenta los médicos de primera línea, ni incluso algunos especialistas, al tratar pacientes con diarrea crónica.
La CM presenta un espectro sintomático que puede variar desde leve, con episodios autolimitados de diarrea, hasta episodios con síntomas debilitantes y graves como dolor abdominal, artralgias, fatiga y pérdida de peso, pero en ningún caso se ha demostrado que tenga riesgo de mortalidad, ni se ha relacionado con la aparición de cáncer colorrectal. Afecta de forma importante la calidad de vida de los pacientes, con un impacto comparable al de la CU15.
Mediante la historia clínica, se pueden descartar enfermedades que presentan síntomas similares como la EII, la enfermedad celíaca y el SII-D. Los exámenes de laboratorio como el hemograma generalmente son normales, como en el caso de todos nuestros pacientes, y al igual que los estudios radiológicos, pueden ayudar a descartar otras enfermedades. Se pueden encontrar cambios no específicos como la elevación de la proteína C-reactiva (PCR) y anemia. La calprotectina y la lactoferrina fecal tienen una precisión diagnóstica baja. A veces pueden observarse cambios sutiles en la mucosa como edema y alteración del patrón vascular, pero la colonoscopia generalmente es normal16, como ocurrió en la mayoría de nuestros pacientes. En nuestro medio, la colonoscopia con biopsias está indicada en todo paciente que presente diarrea crónica.
En una revisión sistemática y un metaanálisis en el que se evaluaron 10 estudios con más de 3900 casos se encontró una prevalencia combinada de síntomas de SII-D en el 33,4 % de los pacientes con CM. El diagnóstico debe basarse en las características clínicas del paciente y confirmarse mediante la histología de las biopsias escalonadas del colon, mínimo 2 en cada segmento17. En nuestra institución, la cantidad de segmentos y de biopsias tomadas depende del criterio de cada gastroenterólogo, así como de los hallazgos durante la realización del procedimiento; generalmente se toman de forma rutinaria muestras de 3 segmentos (derecho, transverso e izquierdo).
En la CL se observa una inflamación crónica de la lámina propia, dada por una proliferación de células plasmáticas, por la disminución de la cantidad de células caliciformes y por la infiltración de más de 20 linfocitos por cada 100 células epiteliales. En la CC hay un engrosamiento de la capa de colágeno, que sobrepasa el límite superior normal que es de 7 µm, aunque algunos autores consideran como diagnóstico el engrosamiento > 10 μm. Además de estos 2 subtipos histológicos, existe la CMI, que corresponde a la presencia de los síntomas clínicos sugestivos de la enfermedad, con hallazgos histológicos que no cumplen los criterios previamente mencionados. En estos casos, la cantidad de linfocitos y células plasmáticas es < 10/100 células epiteliales, y el colágeno subepitelial es < 10 μm. Estos hallazgos sugieren que las 2 formas clásicas de CM pueden no corresponder a 2 enfermedades diferentes, sino a 2 etapas diferentes en el desarrollo de una misma enfermedad5,10. Lo anteriormente descrito corresponde a los criterios diagnósticos empleados en el servicio de patología de nuestro hospital.
Hasta el momento no se ha encontrado ningún biomarcador específico para evaluar la actividad de la enfermedad. Se han propuesto índices que incluyen la cantidad de deposiciones blandas o líquidas por día, la presencia de deposiciones nocturnas, dolor abdominal, pérdida de peso y urgencia o incontinencia fecal, y se observa una correlación directa con la CM e indirecta con la EII. Un estudio realizado en 116 pacientes con CC encontró que los pacientes presentaban 3 o más deposiciones por día, o una o más deposiciones de aspecto acuoso, lo que representa un efecto negativo sobre la calidad de vida de los pacientes18.
Tratamiento
Uno de los pilares fundamentales consiste en eliminar todos los factores de riesgo relacionados con la CM como el tabaquismo, la ingesta de cafeína, lácteos y alcohol, así como el consumo de los medicamentos, especialmente aspirina, AINE, lansoprazol, omeprazol, ranitidina, sertralina y ticlopidina. Se debe descartar la enfermedad celíaca y la malabsorción de sales biliares, que pueden coexistir con la CM19.
Desde hace más de una década se recomienda la budesonida como el medicamento de elección en el tratamiento de la CM. Medicamentos como prednisolona, mesalazina y subsalicilato de bismuto se consideran agentes de segunda línea. Diversos estudios aleatorizados coinciden en la eficacia de la budesonida para inducir la remisión en CC y CL, y los metaanálisis han confirmado su eficacia en el control de la CM activa, en la que se observa una mejoría antes de 2 semanas, dada por la desaparición de la diarrea. Por lo anterior, se ha recomendado el tratamiento de la CM con este medicamento20, el cual es el empleado en nuestros pacientes. Por no ser el objetivo del presente estudio, no se analizaron la respuesta y el seguimiento del mismo.
En un estudio doble ciego controlado, en el que se evaluó la efectividad de la budesonida en los pacientes con CC, se aleatorizaron 28 pacientes, la mitad recibió placebo y la otra mitad recibió 3 cápsulas de 3 mg de Budenofalk® (9 mg/día) durante 8 semanas y se observó una respuesta adecuada (disminución del 50 % de la cantidad de deposiciones a la octava semana), en 8 de 14 pacientes tratados con budesonida, en comparación con 3 de 14 respondedores al placebo (p = 0,05). El seguimiento histológico se realizó mediante la comparación de las biopsias a las semanas 0 y 8, sin observar cambios en la media del espesor de la banda de colágeno, pero con una disminución significativa de la infiltración de la lámina propia (p < 0,001). Se concluyó que la budesonida es eficaz en la inducción de la respuesta clínica a corto plazo en CC21.
Para comparar la eficacia de la budesonida y de la mesalazina en CC, se realizó un estudio multicéntrico de fase 3, en 31 centros europeos, en el que se aleatorizaron 92 pacientes en 3 grupos (Budenofalk®, Salofalk® o placebo) y se observó una mejoría histológica y clínica (mejor consistencia de las heces y mejoría del dolor abdominal) en el 80 % de los pacientes que recibieron budesonida, comparada con el 44 % de los pacientes que recibieron mesalazina (p = 0,0035)22.
Actualmente la budesonida es recomendada por la Asociación Americana de Gastroenterología como terapia de primera línea. La efectividad en CL y el mantenimiento de la remisión clínica con budesonida, a dosis de 4,5 mg por 12 meses, también se ha demostrado en otros estudios23-26.
La azatioprina, la 6-mercaptopurina y algunos biológicos (factor de necrosis antitumorales alfa [anti-FNT-α]) se han utilizado en la CM, especialmente en pacientes con síntomas refractarios o con dependencia de esteroides. La loperamida a dosis de 2-16 mg/día sirve para controlar los síntomas19.
Los corticosteroides solo se recomiendan en pacientes refractarios al tratamiento con budesonida, cuando no haya disponibilidad de esta y cuando se han descartado otras etiologías como la enfermedad celíaca26.
No existe consenso en cuanto a los criterios de remisión, cada tratamiento se debe individualizar, definiendo hasta qué momento extenderlo. El tratamiento a corto plazo debe ser de 6 a 8 semanas y continuar hasta un máximo de 12 meses para evitar recaídas27.
El tratamiento quirúrgico debe ser la última alternativa y reservarse solamente para pacientes que no responden a los medicamentos. Se han informado series pequeñas en las que se han realizado colectomía subtotal, ileostomía o bolsas íleo-anales28.
Como posible sesgo, debemos considerar el hecho de que no fue posible tener en cuenta la cantidad total de pacientes con diarrea crónica, valorados en las diversas consultas realizadas en pacientes de nuestra institución. Por tratarse de un estudio retrospectivo, tampoco se pudo evaluar la presencia de factores de riesgo asociados que explicaran las altas cifras halladas.
Conclusiones
A diferencia de lo informado en la literatura, en este estudio se encontró que la CM afectó especialmente a pacientes jóvenes, con una edad promedio de 47,5 años y que la relación hombre/mujer fue de 4/1, hallazgo no usual.
Según los criterios histológicos, se encontró algún tipo de colitis microscópica en el 12,9 % de los pacientes a quienes se les tomó biopsia por diarrea crónica, una cifra muy alta teniendo en cuenta la incidencia habitualmente informada.
El objetivo de este estudio fue identificar la presencia de la enfermedad en nuestro grupo poblacional y, dados los hallazgos, se recomienda la realización de estudios prospectivos en los que se tenga en cuenta los antecedentes, el tratamiento y el seguimiento de los pacientes.
Agradecimientos
Al Dr. Jorge Monroy, jefe del Servicio de Patología del Hospital Central de la Policía, por su apoyo con las imágenes de histología.
REFERENCIAS
1. Miehlke S, Verhaegh B, Tontini GE, Madisch A, Langner C, Münch A. Microscopic colitis: pathophysiology and clinical management. Lancet Gastroenterol Hepatol. 2019;4(4):305-314. https://doi.org/10.1016/S2468-1253(19)30048-2 [ Links ]
2. Pardi DS. Diagnosis and Management of Microscopic Colitis. Am J Gastroenterol. 2017;112(1):78-85. https://doi.org/10.1038/ajg.2016.477 [ Links ]
3. Carrasco-Labra A, Lytvyn L, Falck-Ytter Y, Surawicz CM, Chey WD. AGA Technical Review on the Evaluation of Functional Diarrhea and Diarrhea-Predominant Irritable Bowel Syndrome in Adults (IBS-D). Gastroenterology. 2019;157(3):859-880. https://doi.org/10.1053/j.gastro.2019.06.014 [ Links ]
4. Hempel KA, Sharma AV. Collagenous And Lymphocytic Colitis. 2021. In: StatPearls [Internet]. Treasure Island (FL): StatPearls Publishing; 2022. [ Links ]
5. Tulassay Z, Mihaly E, Herszényi L. Microscopic Colitis: A Challenging Disorder. Dig Dis. 2020;38(2):117-121. https://doi.org/10.1159/000505263 [ Links ]
6. Bielsa-Fernández MV. Enteritis y colitis microscópicas. Rev Gastroenterol México. 2017;82(Supl 1):85-87. [ Links ]
7. Prieto-Ortíz RG, Prieto-Ortíz JE. Colitis microscópica, un diagnóstico en aumento. Rev Colomb Gastroenterol. 2019;34(4):399-403. https://doi.org/10.22516/25007440.377 [ Links ]
8. Bauta J, Pupo A. Colitis microscópica. Correo Científico Médico. 2017;21(2):526-539. [ Links ]
9. Rojas R. Diagnóstico y manejo de la colitis microscópica. Gastroenterol Latinoam. 2019;30(Supl 1):S35-S38. [ Links ]
10. Solberg F, Ohlsson B. Microscopic colitis and its associations with complications observed in classic inflammatory bowel disease: a systematic review. Scand J Gastroenterol. 2020;55(3):312-320. https://doi.org/10.1080/00365521.2020.1739325 [ Links ]
11. Tong J, Zheng Q, Zhang C, Lo R, Shen J, Ran Z. Incidence, prevalence, and temporal trends of microscopic colitis: a systematic review and meta-analysis. Am J Gastroenterol. 2015;110(2):265-76; quiz 277. https://doi.org/10.1038/ajg.2014.431 [ Links ]
12. Fernandez-Bañares F, Esteve M, Salas A, Forné TM, Espinos JC, Martín-Comin J, et al. Bile acid malabsorption in microscopic colitis and in previously unexplained functional chronic diarrhea. Dig Dis Sci. 2001;46(10):2231-8. https://doi.org/10.1023/a:1011927302076 [ Links ]
13. Jaruvongvanich V, Poonsombudlert K, Ungprasert P. Smoking and Risk of Microscopic Colitis: A Systematic Review and Meta-analysis. Inflamm Bowel Dis. 2019;25(4):672-678. https://doi.org/10.1093/ibd/izy296 [ Links ]
14. Larsson JK, Sonestedt E, Ohlsson B, Manjer J, Sjöberg K. The association between the intake of specific dietary components and lifestyle factors and microscopic colitis. Eur J Clin Nutr. 2016;70(11):1309-1317. https://doi.org/10.1038/ejcn.2016.130. [ Links ]
15. Townsend T, Campbell F, O›Toole P, Probert C. Microscopic colitis: diagnosis and management. Frontline Gastroenterol. 2019;10(4):388-393. https://doi.org/10.1136/flgastro-2018-101040 [ Links ]
16. Ingle SB, Adgaonkar BD, Ingle CR. Microscopic colitis: Common cause of unexplained nonbloody diarrhea. World J Gastrointest Pathophysiol. 2014;5(1):48-53. https://doi.org/10.4291/wjgp.v5.i1.48 [ Links ]
17. Münch A, Sanders DS, Molloy-Bland M, Hungin APS. Undiagnosed microscopic colitis: a hidden cause of chronic diarrhoea and a frequently missed treatment opportunity. Frontline Gastroenterol. 2019;11(3):228-234. https://doi.org/10.1136/flgastro-2019-101227 [ Links ]
18. Cotter TG, Binder M, Loftus EV Jr, Abboud R, McNally MA, Smyrk TC, et al. Development of a Microscopic Colitis Disease Activity Index: a prospective cohort study. Gut. 2018;67(3):441-446. https://doi.org/10.1136/gutjnl-2016-313051 [ Links ]
19. Shor J, Churrango G, Hosseini N, Marshall C. Management of microscopic colitis: challenges and solutions. Clin Exp Gastroenterol. 2019;12:111-120. https://doi.org/10.2147/CEG.S165047 [ Links ]
20. Miehlke S, Acosta MB, Bouma G, Carpio D, Magro F, Moreels T, et al. Oral budesonide in gastrointestinal and liver disease: A practical guide for the clinician. J Gastroenterol Hepatol. 2018. https://doi.org/10.1111/jgh.14151 [ Links ]
21. Baert F, Schmit A, D›Haens G, Dedeurwaerdere F, Louis E, Cabooter M, et al. Budesonide in collagenous colitis: a double-blind placebo-controlled trial with histologic follow-up. Gastroenterology. 2002;122(1):20-5. https://doi.org/10.1053/gast.2002.30295 [ Links ]
22. Miehlke S, Madisch A, Kupcinskas L, Petrauskas D, Böhm G, Marks HJ, et al. Budesonide is more effective than mesalamine or placebo in short-term treatment of collagenous colitis. Gastroenterology. 2014;146(5):1222-30.e1-2. https://doi.org/10.1053/j.gastro.2014.01.019 [ Links ]
23. Münch A, Bohr J, Miehlke S, Benoni C, Olesen M, Öst Å, et al. Low-dose budesonide for maintenance of clinical remission in collagenous colitis: a randomised, placebo-controlled, 12-month trial. Gut. 2016;65(1):47-56. https://doi.org/10.1136/gutjnl-2014-308363 [ Links ]
24. Miehlke S, Aust D, Mihaly E, Armerding P, Böhm G, Bonderup O, et al. Efficacy and Safety of Budesonide, vs Mesalazine or Placebo, as Induction Therapy for Lymphocytic Colitis. Gastroenterology. 2018;155(6):1795-1804.e3. https://doi.org/10.1053/j.gastro.2018.08.042 [ Links ]
25. Rojo E, Casanova MJ, Gisbert JP. Tratamiento de la colitis microscópica: papel de la budesonida y nuevas alternativas en pacientes refractarios. Rev Esp Enferm Dig. 2020;112(1):53-58. https://doi.org/10.17235/reed.2019.6655/2019 [ Links ]
26. Nguyen GC, Smalley WE, Vege SS, Carrasco-Labra A; Clinical Guidelines Committee. American Gastroenterological Association Institute Guideline on the Medical Management of Microscopic Colitis. Gastroenterology. 2016;150(1):242-6; quiz e17-8. https://doi.org/10.1053/j.gastro.2015.11.008 [ Links ]
27. Chande N, Al Yatama N, Bhanji T, Nguyen TM, McDonald JW, MacDonald JK. Interventions for treating lymphocytic colitis. Cochrane Database Syst Rev. 2017;7(7):CD006096. https://doi.org/10.1002/14651858.CD006096.pub4 [ Links ]
28. Münch A, Söderholm JD, Wallon C, Ost A, Olaison G, Ström M. Dynamics of mucosal permeability and inflammation in collagenous colitis before, during, and after loop ileostomy. Gut. 2005;54(8):1126-8. https://doi.org/10.1136/gut.2004.058750 [ Links ]
Citación: Prieto-Ortiz RG, Rendón-Hernández J, Ballén-Párraga H. Colitis microscópica, serie de casos y revisión de la literatura. Rev Colomb Gastroenterol. 2022;37(2):155-162. https://doi.org/10.22516/25007440.817
Recibido: 22 de Agosto de 2021; Aprobado: 05 de Noviembre de 2021










texto em 



