Serviços Personalizados
Journal
Artigo
Indicadores
-
Citado por SciELO -
Acessos
Links relacionados
-
Citado por Google -
Similares em
SciELO -
Similares em Google
Compartilhar
Revista colombiana de Gastroenterología
versão impressa ISSN 0120-9957versão On-line ISSN 2500-7440
Rev. colomb. Gastroenterol. vol.37 no.2 Bogotá jan./jun. 2022 Epub 24-Ago-2022
https://doi.org/10.22516/25007440.733
Reporte de caso
Esofagitis erosiva secundaria a radioterapia: reporte de un caso
1Internal Medicine Resident, Santa Clara Hospital. Bogotá D. C., Colombia.
2Clinical-surgical Gastroenterologist, Universidad de Caldas. Gastroenterologist, Medilaser Clinic. Manizales, Colombia.
3General Practitioner. Medilaser Clinic. Florencia, Caquetá, Colombia.
4General Practitioner, Adult Intensive Care Unit, La Estancia Clinic. Popayán, Cauca, Colombia.
Introducción:
la esofagitis erosiva secundaria a la radioterapia es una complicación inusual del tratamiento oncológico de los tumores torácicos. Esta entidad patológica está asociada con múltiples complicaciones, lo que resulta un reto clínico para los profesionales en salud que están poco familiarizados con las manifestaciones clínicas.
Caso clínico:
mujer de 64 años con cuadro clínico de 3 días de dolor torácico irradiado al epigastrio con intensidad 10/10. En el examen físico se encontró taquicárdica, hipotensa, con dolor intenso en la región hemiabdominal superior; a la palpación profunda no tenía signos de irritación peritoneal. Los paraclínicos no mostraron signos de infección local o diseminada, pero la endoscopia de vías digestivas reportó esofagitis posirradiación.
Discusión:
la esofagitis erosiva posterior a la radioterapia se presenta en menos del 1 % de los casos, las manifestaciones clínicas como disfagia, odinofagia y dolor abdominal son frecuentes; el manejo sintomático inicial es conservado, con medidas de soporte como hidratación intravenosa e inhibidores de la bomba de protones (IBP). En caso de intolerancia a la vía oral se indica terapia con soporte nutricional por sonda nasogástrica o gastrostomía en los casos más graves.
Palabras clave: Esofagitis; anomalías inducidas por radiación; neoplasias de la mama; sucralfato; omeprazol
Introduction:
Erosive esophagitis secondary to radiotherapy is an unusual complication in the oncological treatment of thoracic tumors. This pathological entity is associated with multiple complications, which is a clinical challenge for health workers unfamiliar with the clinical manifestations.
Clinical case:
A 64-year-old woman with a 3-day clinical picture of chest pain radiating to the epigastrium with 10/10 intensity. On physical examination, she was tachycardic, hypotensive, and with intense pain in the upper hemiabdomen region; she had no signs of peritoneal irritation on deep palpation. Paraclinical tests showed no signs of local or disseminated infection, but endoscopy of the digestive tract reported post-radiation esophagitis.
Discussion:
Erosive esophagitis after radiotherapy occurs in less than 1 % of cases, and clinical manifestations such as dysphagia, odynophagia, and abdominal pain are common. Initial symptomatic management is preserved, with supportive measures such as intravenous hydration and proton pump inhibitors (PPIs). In case of intolerance to the oral route, therapy with nutritional support is indicated via nasogastric tube or gastrostomy in the most severe cases.
Keywords: Esophagitis; radiation-induced anomalies; breast neoplasms; sucralfate; omeprazole
Introducción
La esofagitis por radiación es una complicación frecuente por la exposición a radioterapia, la cual se manifiesta durante el tratamiento de ciertos tipos de cánceres en estados avanzados, como lo son el de pulmón y mama1, aunque esta esofagitis erosiva sintomática requiere de una evaluación clínica, endoscópica e histológica para confirmarla, debido a que su presentación es poco frecuente, la cual afecta a menos del 1 % de los pacientes que reciben radioterapia2. Su patogénesis se basa en el efecto que causa la radiación sobre la capa epitelial basal, que disminuye la mucosa y genera una denudación progresiva del epitelio2,3. Las manifestaciones agudas de la esofagitis por radiación son disfagia, odinofagia y malestar subesternal, iniciando entre las 2 y 3 semanas posteriores a la radioterapia4. Los objetivos del siguiente trabajo son presentar las manifestaciones clínicas y endoscópicas de un paciente con esofagitis erosiva secundaria a radioterapia y describir cómo se obtuvo el diagnóstico de la presente patología.
Caso clínico
Se presenta el caso de una mujer de 64 años con historial de dos semanas, con dolor torácico constante de intensidad 10/10 de predominio en la región del epigastrio, irradiado a la región posterior, tipo urente, constante asociado con episodios eméticos, síntomas de disfagia y odinofagia, intolerancia a la vía oral de alimentos sólidos y líquidos, con antecedentes de diabetes mellitus tipo 2 (DM2), carcinoma lobulillar infiltrante moderadamente diferenciado, quien fue llevada a mastectomía derecha en 2017, recibió terapia con tamoxifeno y posteriormente en 2020 presentó dolor de espalda crónico y no mejoró con analgesia. Por lo anterior se realizó una resonancia magnética de columna torácica, la cual describió un compromiso óseo metastásico a nivel del manubrio de esternón, en los cuerpos vertebrales de T11 y T12, en la región central de sacro y la articulación sacroilíaca, quien recibió en las 2 semanas previas tratamiento con radioterapia técnica, radiocirugía extracraneal al nivel de columna dorsal T10-T12, dosis/día de 700 CGY hasta 2100 CGY, además de recibir quimioterapia con palbociclib, fulvestrant y ácido zoledrónico.
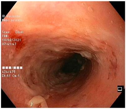
En el examen físico se encontró taquicárdica, hipotensa, con dolor intenso a la palpación profunda del hemiabdomen superior, sin signos de irritación peritoneal (frecuencia cardíaca [FC] 120 latidos por minuto [lpm], frecuencia respiratoria [FR]: 20 respiraciones por minuto [rpm], presión arterial [PA]: 90/50 mm Hg). Los estudios complementarios mostraron anemia leve, leucopenia, sin hipoalbuminemia, función renal dentro de los límites normales (hemoglobina [Hb]: 9,8 mg/dL, leucocitos: 1100, neutrófilos: 700, creatinina: 1,9 mg/dL y albúmina: 4 g/dL). Los perfiles de coagulación y hepático no presentaron alteraciones, así como la troponina y el electrocardiograma (ECG), por lo que se descartó enfermedad coronaria. La endoscopia digestiva alta registró lo siguiente: desde los 20 cm de la arcada dentaria hasta la línea z se observaron múltiples ulceraciones circunferenciales cubiertas por fibrina con sangrado fácil al contacto, esofagitis erosiva grado D de los Ángeles-Savary Miller IV, esofagitis posradiación y gastropatía crónica antral (Figuras 1 y 2).
El paciente se manejó de forma sintomática, con inhibidores de la bomba de protones (IBP) parenterales (omeprazol), antieméticos, sucralfato, analgésico con opioides y líquidos endovenosos durante 1 semana. Cursó con evolución clínica favorable.
Consideraciones éticas
Teniendo en cuenta la resolución 8430 de 1993, se realizó el diligenciamiento del consentimiento informado y la aprobación de este por parte del paciente.
Discusión
La esofagitis erosiva posterior a la radioterapia produce un daño general del epitelio que se limita por la cantidad de dosis utilizadas en la sección de la radioterapia, por lo cual el uso concomitante de quimioterapia aumenta el riesgo de desarrollar esofagitis, llegando a complicarse con estenosis luego de 6 semanas de iniciar el evento5. Es importante tener en cuenta la incidencia y la gravedad de las lesiones producidas por la radioterapia, por lo cual el estudio de Maguire y colaboradores describió frecuentemente toxicidades esofágicas agudas o tardías con niveles de radiación altas, pero rara vez graves, sin tener en cuenta variables sociodemográficas como factores pronósticos6.
La información clínica de la esofagitis por radiación descrita en seres humanos es muy limitada, los estudios realizados por Northway y colaboradores, realizados en zarigüeyas, permitieron visualizar que la radiación generó úlceras a nivel de la mucosa gástrica y anorexia por respuesta a la dosis, que se presentó de 7 a 10 días después de la radioterapia7. Es importante tener en cuenta las complicaciones crónicas presentadas por la radioterapia, las cuales se registran entre 1 y 8 meses, como la disminución de las ondas peristálticas primarias, disminución de la función del esfínter esofágico inferior y necrosis por coagulación focal de la mucosa; aunque en un modelo en ratones, producidos por Phillips y Ross, observaron áreas simultáneas de denudación y regeneración epitelial de 1 a 2 semanas después de la radioterapia, por lo que se pensaría en una regeneración temprana de tejidos8.
En el estudio de Sasso y colaboradores se describió una serie de casos con 29 participantes pasadas las 3 semanas de tratamiento con radioterapia: el 37 % (n = 11) de los pacientes presentó esofagitis, que continuó incluso después del tratamiento de carcinoma bronquial9. Mascarenhast y colaboradores quisieron describir la incidencia y naturaleza de la esofagitis en 38 pacientes, los cuales fueron sometidos a radiación, presentando reportes endoscópicos similares (esofagitis) descritos en el caso que se está presentando, teniendo en cuenta que el paciente recibió terapia dual 2 semanas antes (radioterapia y posterior quimioterapia), lo cual aumenta sustantivamente el riesgo de presentar la complicación descrita en el presente artículo10.
El manejo inicial de las complicaciones tempranas es conservador, mientras que el uso de dilatadores endoscópicos para las estenosis esofágicas es frecuente en casos crónicos. La forma de prevenir estas dificultades se basa en radioprotectores e inhibidores de la vía del metabolismo del ácido araquidónico, así como la modificación de la radiación puede acercarnos a la eliminación de las complicaciones en el tejido esofágico normal, e igualmente mejorando la respuesta localizada en los tumores torácicos5. Se han propuesto múltiples tratamientos farmacológicos, como el uso de antiinflamatorios no esteroideos (AINE), el uso profiláctico de corticosteroides, además de soportes nutricionales, el tratamiento con los IBP o sucralfato, que permiten la disminución de la exposición por parte de la mucosa a los estímulos producidos por la radioterapia, lo que disminuye el riesgo de mucositis; los analgésicos tópicos como la lidocaína mejoran un poco la disfagia, y los antiácidos como el sucralfato pueden mejorar un poco la ingesta de alimentos9,11.
Conclusión
La esofagitis erosiva asociada con radioterapia tiene una incidencia muy baja y sus manifestaciones clínicas son poco frecuentes. Los métodos diagnósticos son prácticos, teniendo en cuenta el antecedente de cáncer con radioterapia para descartar su etiología de forma práctica, dado que la endoscopia de vía digestiva más biopsia es la primera herramienta diagnostica. El tratamiento está basado principalmente en el control de los síntomas y el uso constante de IBP, el control estricto de la dieta y el uso de suplementos nutricionales importantes ya que estos pacientes tienen un alto riesgo de desnutrición y compromiso de su estado de salud en general.
REFERENCIAS
1. Murro D, Jakate S. Radiation esophagitis. Arch Pathol Lab Med. 2015;139(6):827-30. https://doi.org/10.5858/arpa.2014-0111-RS [ Links ]
2. Seaman WB, Ackerman LV. The effect of radiation on the esophagus; a clinical and histologic study of the effects produced by the betatron. Radiology. 1957;68(4):534-41. https://doi.org/10.1148/68.4.534 [ Links ]
3. Emami B, Lyman J, Brown A, Coia L, Goitein M, Munzenrider JE, et al. Tolerance of normal tissue to therapeutic irradiation. Int J Radiat Oncol Biol Phys. 1991;21(1):109-22. https://doi.org/10.1016/0360-3016(91)90171-Y [ Links ]
4. Singh AK, Lockett MA, Bradley JD. Predictors of radiation-induced esophageal toxicity in patients with non-small-cell lung cancer treated with three-dimensional conformal radiotherapy. Int J Radiat Oncol Biol Phys. 2003;55(2):337-41. https://doi.org/10.1016/S0360-3016(02)03937-8 [ Links ]
5. Chowhan NM. Injurious effects of radiation on the esophagus. Am J Gastroenterol. 1990;85(2):115-20. [ Links ]
6. Maguire PD, Sibley GS, Zhou SM, Jamieson TA, Light KL, Antoine PA, et al. Clinical and dosimetric predictors of radiation-induced esophageal toxicity. Int J Radiat Oncol Biol Phys. 1999;45(1):97-103. https://doi.org/10.1016/S0360-3016(99)00163-7 [ Links ]
7. Afifi ANAM, Powerski M, Jechorek D, Brunner TB, Weigt J, Venerito M. Radiation-induced damage in the upper gastrointestinal tract: clinical presentation, diagnostic tests and treatment options. Best Pract Res Clin Gastroenterol. 2020;48-49:101711. https://doi.org/10.1016/j.bpg.2020.101711 [ Links ]
8. Phillips TL, Ross G. Time-dose relationships in the mouse esophagus. Radiology. 1974;113(2):435-40. https://doi.org/10.1148/113.2.435 [ Links ]
9. Sasso FS, Sasso G, Marsiglia HR, de Palma G, Schiavone C, Barone A, et al. Pharmacological and dietary prophylaxis and treatment of acute actinic esophagitis during mediastinal radiotherapy. Dig Dis Sci. 2001;46(4):746-9. https://doi.org/10.1023/A:1010735914163 [ Links ]
10. Mascarenhas F, Silvestre ME, Sá da Costa M, Grima N, Campos C, Chaves P. Acute secondary effects in the esophagus in patients undergoing radiotherapy for carcinoma of the lung. Am J Clin Oncol. 1989;12(1):34-40. https://doi.org/10.1097/00000421-198902000-00008 [ Links ]
11. Sur RK, Kochhar R, Singh DP. Oral sucralfate in acute radiation oesophagitis. Acta Oncol. 1994;33(1):61-3. https://doi.org/10.3109/02841869409098377 [ Links ]
Citación: Calderón-Franco CH, Muñoz-Cerón JG, Giraldo-Rincón D, Andrea-Castro H, Quintero-Cuéllar EA, Piñeros-Torres AM. Esofagitis erosiva secundaria a radioterapia: reporte de un caso. Rev Colomb Gastroenterol. 2022;37(2):206-209. https://doi.org/10.22516/25007440.733
Recibido: 03 de Marzo de 2021; Aprobado: 21 de Junio de 2021










texto em 





