Serviços Personalizados
Journal
Artigo
Indicadores
-
Citado por SciELO -
Acessos
Links relacionados
-
Citado por Google -
Similares em
SciELO -
Similares em Google
Compartilhar
Revista colombiana de Gastroenterología
versão impressa ISSN 0120-9957versão On-line ISSN 2500-7440
Rev. colomb. Gastroenterol. vol.37 no.3 Bogotá jul./set. 2022 Epub 21-Dez-2022
https://doi.org/10.22516/25007440.805
Reporte de caso
Exclusión pilórica con dispositivo Ovesco (over-the-scope) en caso de fístula yeyunal en obstrucción duodenal de etiología maligna
1Coordinator of the Gastrointestinal Surgery Group, Instituto Nacional de Cancerología. Bogotá, Colombia.
2Gastrointestinal Surgeon, Instituto Nacional de Cancerología. Bogotá, Colombia.
3Surgeon Oncologist, Universidad Militar Nueva Granada. Bogotá, Colombia.
4Surgeon, Universidad El Bosque. Bogotá, Colombia.
5General Surgery Resident, Universidad El Bosque. Bogotá, Colombia.
6Resident of Radiology and Diagnostic Imaging, Universidad del Norte. Barranquilla, Colombia.
Se reporta el caso de un hombre de 25 años con diagnóstico de tumor de células germinales no seminomatoso que ingresó a urgencias por cuadro clínico de dolor abdominal difuso asociado con distensión y múltiples episodios eméticos. Ante la sospecha clínica de obstrucción intestinal se realizó una tomografía abdominal contrastada que mostró una obstrucción en la tercera porción duodenal por compresión extrínseca ocasionada por múltiples conglomerados retroperitoneales.
Se decidió el tiempo quirúrgico para una derivación gastrointestinal en la que se realizó una gastroyeyunoanastomosis por técnica convencional; hacia el quinto día posoperatorio presentó un deterioro clínico dado por episodios febriles, dolor abdominal y taquicardia. Se realizó una nueva tomografía abdominal que reportó una colección intraabdominal en el flanco izquierdo de 12 x 12 x 5 cm secundaria a proceso fistuloso yeyunal, se realizó un manejo de la colección con drenaje percutáneo por radiología intervencionista y alojamiento de catéteres de drenaje, y se realizó una esofagogastroduodenoscopia con el fin de ejecutar una técnica de exclusión pilórica con dispositivo Ovesco (over-the-scope) como manejo de la fístula yeyunal, con la que se obtuvo éxito técnico.
Durante el posoperatorio se realizó como seguimiento una radiografía de vías digestivas que confirmó la no continuidad pilórica con adecuada permeabilidad de la gastroyeyunoanastomosis, y una tomografía abdominal contrastada que mostró una disminución de la colección intraabdominal sin extravasaciones del medio de contraste.
El desenlace favorable de este caso sugiere la utilidad del dispositivo Ovesco en casos de fístulas del tracto gastrointestinal proximal, sobre todo en aquellos pacientes con múltiples comorbilidades o mal estado general que se favorecen de procedimientos mínimamente invasivos que disminuyan el riesgo de desenlace fatal.
Palabras clave: Clips Ovesco; fístula gastrointestinal; perforación; cierre endoscópico
A 25-year-old man diagnosed with a non-seminomatous germ cell tumor was admitted to the emergency department for diffuse abdominal pain associated with bloating and multiple emetic episodes. Due to the clinical suspicion of intestinal obstruction, a contrasted abdominal tomography was performed, showing an obstruction in the third duodenal portion resulting from extrinsic compression caused by multiple retroperitoneal conglomerates.
Surgical time was scheduled for a gastric bypass surgery where gastrojejunostomy was performed using conventional technique. On the fifth postoperative day, he presented clinical deterioration due to febrile episodes, abdominal pain, and tachycardia. A new abdominal tomography was performed, reporting an intra-abdominal collection of pus on the left flank of 12 x 12 x 5 cm secondary to the jejunal fistula process. Hence, percutaneous drainage management of the collection was performed by interventional radiology and drainage catheter placement. In addition, an EGD was performed to conduct a pyloric exclusion technique with an Ovesco (over-the-scope-clip) device for managing the jejunal fistula, which was technically successful.
A gastrointestinal tract X-ray was performed as a follow-up during the postoperative stage, showing no pyloric continuity with adequate patency of the gastrojejunostomy. In addition, a contrasted abdominal CT scan showed a decrease in the intra-abdominal collection without extravasation of the contrast medium.
This case outcome suggests the Ovesco device may be helpful in proximal GI fistulas cases, especially in patients with multiple comorbidities or poor general conditions who may benefit from minimally invasive procedures decreasing the risk of fatal outcomes.
Keywords: Ovesco clips; GI fistula; GI perforation; endoscopic closure
Introducción
Los clips Ovesco (over-the-scope), también conocidos como clips en garra de oso, son un dispositivo endoscópico de clipaje para el afrontamiento de tejidos por abordaje endoscópico1, cuyo uso en principio se dio para el cierre de fístulas y perforaciones del tracto gastrointestinal alto y posteriormente se extendió su utilización para casos de sangrado, resecciones de tumores submucosos y fijaciones de stents esofágicos2, gracias a su capacidad de agarre, fijación y fácil aplicación1,2. Dado que hay pocos reportes en la literatura de su uso en casos de exclusión pilórica con este dispositivo, compartimos este caso sobre un paciente con obstrucción duodenal por compresión extrínseca en relación con un conglomerado retroperitoneal, a quien se le realizó una gastroyeyunoanastomosis con finalidad derivativa, con un posterior proceso fistuloso yeyunal y colección intraabdominal que requirió drenaje percutáneo, ante lo cual se decidió realizar una exclusión pilórica con el dispositivo Ovesco, con el que presentó una adecuada evolución y cierre del proceso fistuloso.
Reporte del caso
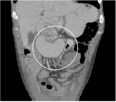
Se trata de un hombre de 25 años con diagnóstico de tumor de células germinales no seminomatoso que ingresó al servicio de urgencias por un cuadro de obstrucción intestinal dado por dolor abdominal difuso asociado con distensión abdominal y múltiples episodios eméticos. Se le realizó una tomografía abdominal contrastada que mostró una obstrucción de la tercera porción duodenal por compresión extrínseca secundaria a múltiples conglomerados retroperitoneales (Figura 1).
El paciente fue llevado a tiempo quirúrgico para la realización de derivación gastrointestinal de vía abierta con hallazgos intraoperatorios de una gran masa retroperitoneal sólida multilobulada de 25 x 20 cm que desplazaba el duodeno y rechazaba hacia abajo las asas yeyunales, el conglomerado de asas hacia el hipocondrio derecho que compromete el duodeno y las primeras asas yeyunales, lo que generó una obstrucción mecánica por adherencias; además de que el asa de yeyuno estaba a 40 cm del ángulo de Treitz, infiltrada por un tumor con obstrucción parcial, por lo que se realizó una gastroyeyunoanastomosis isoperistáltica laterolateral con un asa alimentaria de 200 cm medidos desde la válvula ileocecal y liberación de adherencias de asas yeyunales comprometidas.
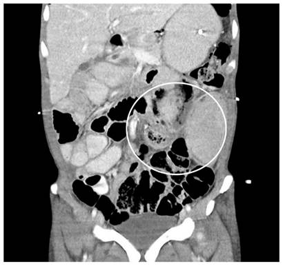
Hacia el quinto día posoperatorio presentó deterioro clínico dado por episodios febriles, dolor abdominal y taquicardia, por lo que se realizó una nueva tomografía abdominal que reportó una colección intraabdominal en el flanco izquierdo de 12 x 12 x 5 cm secundaria al proceso fistuloso yeyunal (Figura 2).
Se realizó el manejo de la colección con drenaje percutáneo por radiología intervencionista y alojamiento de catéteres de drenaje en el que se obtuvo 150 mL de contenido purulento e intestinal, con lo que se logró controlar el proceso infeccioso y optimizar la condición clínica del paciente. 3 días después del drenaje percutáneo, teniendo en cuenta los hallazgos intraoperatorios y la gastroyeyunoanastomisis laterolateral, se decidió realizar manejo endoscópico de la fístula yeyunal proximal por medio de exclusión pilórica, para disminuir el flujo del contenido intraluminal por el asa comprometida, concomitantemente con manejo farmacológico multimodal con inhibidor de bomba de protones (IBP), opioide, antidiarreico y nutrición parenteral. Dadas las comorbilidades del paciente y en busca del procedimiento menos invasivo, se decidió realizar dicha exclusión pilórica con el dispositivo Ovesco, teniendo en cuenta la adecuada funcionalidad de la gastroyeyunoanastomosis, con la que se obtuvo éxito técnico (Figura 3).
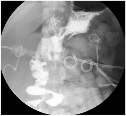
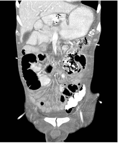
Al quinto día posterior al procedimiento endoscópico se realizó como seguimiento imagenológico una radiografía de vías digestivas que confirmó la no continuidad pilórica con adecuada permeabilidad de la gastroyeyunoanastomosis y tomografía abdominal contrastada que mostró una disminución de la colección intraabdominal sin extravasación del medio de contraste (Figuras 4 y 5).

Figura 4 Radiografía de vías digestivas que muestra exclusión pilórica con adecuado paso de contraste por la gastroyeyunoanastomosis.
Ante la adecuada evolución clínica, control del foco infeccioso y de la fuga intestinal evidenciada por imágenes, se inició la vía oral al sexto día posoperatorio con una adecuada tolerancia, por lo que se indicó el egreso al décimo día de estancia hospitalaria. Se hizo seguimiento del paciente por consulta externa a los 15 días, quien refirió que persiste con buena tolerancia a la vía oral y adecuado tránsito intestinal, sin episodios febriles durante su estancia en casa.
Técnica endoscópica
En sala de endoscopia, bajo sedación asistida por anestesiólogo, se realizó el paso fácil por el cricofaríngeo en el que se observó luz, calibre y mucosa normal hasta el tercio distal, y el cardias franqueable a los 38 cm.
Se exploró el estómago hasta el píloro y se evidenció un abundante lago gástrico, gastroyeyunoanastomosis permeable sobre la pared anterior, se identificó el píloro y por técnica de succión se realizó afrontamiento de los bordes del píloro con clip Ovesco 12/6 GC. En la revisión se observó un ángulo permeable, por lo que se colocó el segundo clip Ovesco 12/6 GC ocluyendo el píloro en su totalidad como parte de la exclusión pilórica indicada.
Discusión
Los clips Ovesco están hechos de una aleación de níquel y titanio denominada nitanol, que pertenece a las llamadas aleaciones con memoria, por lo que han tenido una gran variabilidad de usos desde su descubrimiento por la marina estadounidense hacia los años 19501,3.
La introducción de los dispositivos Ovesco para uso en humanos se remonta al año 2007, desde entonces con aproximadamente 10 series de casos publicadas con alrededor de 79 pacientes a los que se les trató dehiscencias de anastomosis intestinales, fístulas y sangrados gastrointestinales, y demostró una eficacia para los casos de fístulas de hasta un 65 %4.
La evolución de la utilización de estos clips ha sido tan importante que, en la actualidad, más allá de estar en el armamento de los equipos médicos de cirugía del tracto digestivo y gastroenterología para el cierre de fístulas y perforaciones, se describen en la literatura casos en los que se tratan defectos mucho más complejos del tracto gastrointestinal luminal e incluso durante el cierre multimodal de defectos de la pared abdominal, pero tal vez uno de los usos más instaurados de la actualidad corresponde al control de úlceras sangrantes ubicadas en posiciones difíciles, ya que su diseño en forma de barril con tapa transparente permite succionar la lesión sangrante, además de algunas ventajas sobre otros clips como una mayor fuerza de agarre de 8 a 9 Newtons cuando se libera y la capacidad de agarre (cierre de defectos, cierre de orificios y afrontamiento de bordes) de hasta 30 mm1,4,5.
Es por esta gran diversidad de usos que es importante para los endoscopistas tener claro el escenario para desempeñar un control de la patología a tratar con los clips Ovesco, de ahí la iniciativa de presentar este caso de exclusión pilórica con dicho dispositivo, a pesar de que es la perforación duodenal, ya sea iatrogénica o traumática, la principal indicación para la realización de una exclusión pilórica, al igual que la diverticulización duodenal y la pancreatoduodenectomía según el grado de la lesión6, sobre todo por los factores de buen pronóstico para el cierre de la fístula en nuestro caso: una fístula de bajo gasto y una derivación gastrointestinal previa (gastroyeyunoanastomosis), lo que disminuye el tránsito intestinal por el asa afectada.
Conclusión
Según lo reportado en la literatura, aunque la experiencia clínica es limitada, el Ovesco es un dispositivo seguro y eficaz para el cierre de perforaciones, fugas anastomóticas y sangrado del tracto gastrointestinal, aunque es menor su eficacia terapéutica en casos de fístulas crónicas por fibrosis asociada4,7. Se necesitan más estudios para confirmar la seguridad y eficacia de los clips Ovesco en todos los escenarios en los que se pueden desempeñar y establecer un algoritmo de manejo en el que se incluya el tratamiento con dicho dispositivo.
REFERENCIAS
1. Mönkemüller K, Martínez-Alcalá A, Schmidt AR, Kratt T. The Use of the Over the Scope Clips Beyond Its Standard Use: A Pictorial Description. Gastrointest Endosc Clin N Am. 2020;30(1):41-74. https://doi.org/10.1016/j.giec.2019.09.003 [ Links ]
2. Mosquera-Klinger G, Torres-Rincón R, Jaime-Carvajal J. Endoscopic closure of gastrointestinal perforations and fistulas using the Ovesco Over-The-Scope Clip system at a tertiary care hospital center. Rev Gastroenterol Mex. 2019;84(2):263-6. https://doi.org/10.1016/j.rgmx.2018.10.004 [ Links ]
3. Ribeiro-Parenti L, De Courville G, Daikha A, Arapis K, Chosidow D, Marmuse JP. Classification, surgical management and outcomes of patients with gastrogastric fistula after Roux-En-Y gastric bypass. Surg Obes Relat Dis. 2017;13(2):243-8. http://doi.org/10.1016/j.soard.2016.09.027 [ Links ]
4. Mangiavillano B, Caruso A, Manta R, Di Mitri R, Arezzo A, Pagano N, et al. Over-the-scope clips in the treatment of gastrointestinal tract iatrogenic perforation: A multicenter retrospective study and a classification of gastrointestinal tract perforations. World J Gastrointest Surg. 2016;8(4):315. https://doi.org/10.4240/wjgs.v8.i4.315 [ Links ]
5. Lee HL, Cho JY, Cho JH, Park JJ, Kim CG, Kim SH, et al. Efficacy of the over-the-scope clip system for treatment of gastrointestinal fistulas, leaks, and perforations: A Korean multi-center study. Clin Endosc. 2018;51(1):61-5. https://doi.org/10.5946/ce.2017.027 [ Links ]
6. Schroeppel TJ, Saleem K, Sharpe JP, Magnotti LJ, Jordan AW, Fischer PE, et al. Penetrating duodenal trauma: A 19-year experience. J Trauma Acute Care Surg. 2016;80(3):461-5. https://doi.org/10.1097/TA.0000000000000934 [ Links ]
7. Kobara H, Mori H, Nishiyama N, Fujihara S, Okano K, Suzuki Y, et al. Over-the-scope clip system: A review of 1517 cases over 9 years. J Gastroenterol Hepatol. 2019;34(1):22-30. https://doi.org/10.1111/jgh.14402 [ Links ]
Citación: Pinilla-Morales RE, Facundo-Navia H, Sánchez EF, Jiménez-Lafourie IC, Sánchez-Hernández AE, Llorente-Portillo LC. Exclusión pilórica con dispositivo Ovesco (over-the-scope) en caso de fístula yeyunal en obstrucción duodenal de etiología maligna. Rev Colomb Gastroenterol. 2022;37(3):320-324. https://doi.org/10.22516/25007440.805
Recibido: 12 de Julio de 2021; Aprobado: 14 de Diciembre de 2021










texto em 







